Click here to close
Hello! We notice that you are using Internet Explorer, which is not supported by Xenbase and may cause the site to display incorrectly.
We suggest using a current version of Chrome,
FireFox, or Safari.
BMC Cancer
2005 Sep 12;5:113. doi: 10.1186/1471-2407-5-113.
Show Gene links
Show Anatomy links
Translation elongation factor eEF1A2 is a potential oncoprotein that is overexpressed in two-thirds of breast tumours.
Tomlinson VA, Newbery HJ, Wray NR, Jackson J, Larionov A, Miller WR, Dixon JM, Abbott CM.
???displayArticle.abstract???
The tissue-specific translation elongation factor eEF1A2 was recently shown to be a potential oncogene that is overexpressed in ovarian cancer. Although there is no direct evidence for an involvement of eEF1A2 in breast cancer, the genomic region to which EEF1A2 maps, 20q13, is frequently amplified in breast tumours. We therefore sought to establish whether eEF1A2 expression might be upregulated in breast cancer. eEF1A2 is highly similar (98%) to the near-ubiquitously expressed eEF1A1 (formerly known as EF1-alpha) making analysis with commercial antibodies difficult. We have developed specific anti-eEF1A2 antibodies and used them in immunohistochemical analyses of tumour samples. We report the novel finding that although eEF1A2 is barely detectable in normal breast it is moderately to strongly expressed in two-thirds of breast tumours. This overexpression is strongly associated with estrogen receptor positivity. eEF1A2 should be considered as a putative oncogene in breast cancer that may be a useful diagnostic marker and therapeutic target for a high proportion of breast tumours. The oncogenicity of eEF1A2 may be related to its role in protein synthesis or to its potential non-canonical functions in cytoskeletal remodelling or apoptosis.
???displayArticle.pubmedLink???
16156888 ???displayArticle.pmcLink???PMC1236916 ???displayArticle.link???BMC Cancer ???displayArticle.grants???[+]
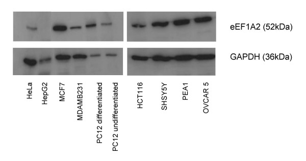
Figure 1. Western blot analysis using an anti-eEF1A2 antibody on a range of cell lines. The loading control is GAPDH.
Figure 2. (A) Real-time RT-PCR analysis of RNA from breast tumours. Each block on the à axis represents a different tumour. The amount of eEF1A2 message is shown normalised to GAPDH and expressed relative to the level of expression in the normal breast RNA samples (=1). ER-negative tumours are shown in white, ER-positive tumours are shown in black. The difference in mean expression between ER-positive and ER-negative samples is 7.2 units (p = 0.0087), 95% Confidence Interval 2.0 to 12.4 units. (B) Average standardised RNA levels in ER-negative and ER-positive breast tumours. This difference is significant (P = 0.0087, t-test).
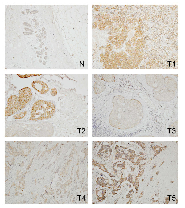
Figure 3. Immunohistochemistry of eEF1A2 in the breast. The panel labelled N shows the antibody staining weakly in a normal breast section. Panels T1 to T5 show breast tumours staining strongly with the anti-eEF1A2 antibody. Magnification ×10.
Anand,
Protein elongation factor EEF1A2 is a putative oncogene in ovarian cancer.
2002, Pubmed
Anand,
Protein elongation factor EEF1A2 is a putative oncogene in ovarian cancer.
2002,
Pubmed Ann,
Isolation and characterization of the rat chromosomal gene for a polypeptide (pS1) antigenically related to statin.
1991,
Pubmed Baselga,
Focus on breast cancer.
2002,
Pubmed Chambers,
The lethal mutation of the mouse wasted (wst) is a deletion that abolishes expression of a tissue-specific isoform of translation elongation factor 1alpha, encoded by the Eef1a2 gene.
1998,
Pubmed Condeelis,
Elongation factor 1 alpha, translation and the cytoskeleton.
1995,
Pubmed Edmonds,
Elongation factor-1 alpha is an overexpressed actin binding protein in metastatic rat mammary adenocarcinoma.
1996,
Pubmed Gilmour,
Neuregulin expression, function, and signaling in human ovarian cancer cells.
2002,
Pubmed Iwabuchi,
Genetic analysis of benign, low-grade, and high-grade ovarian tumors.
1995,
Pubmed Kallioniemi,
Detection and mapping of amplified DNA sequences in breast cancer by comparative genomic hybridization.
1994,
Pubmed Kato,
Upregulation of the elongation factor-1alpha gene by p53 in association with death of an erythroleukemic cell line.
1997,
Pubmed Knudsen,
Tissue-dependent variation in the expression of elongation factor-1 alpha isoforms: isolation and characterisation of a cDNA encoding a novel variant of human elongation-factor 1 alpha.
1993,
Pubmed Lee,
Tissue-specific expression in mammalian brain, heart, and muscle of S1, a member of the elongation factor-1 alpha gene family.
1992,
Pubmed Munshi,
Overexpression of translation elongation factor 1A affects the organization and function of the actin cytoskeleton in yeast.
2001,
Pubmed Ruest,
Peptide elongation factor eEF1A-2/S1 expression in cultured differentiated myotubes and its protective effect against caspase-3-mediated apoptosis.
2002,
Pubmed Slobin,
The role of eucaryotic factor Tu in protein synthesis. The measurement of the elongation factor Tu content of rabbit reticulocytes and other mammalian cells by a sensitive radioimmunoassay.
1980,
Pubmed Suda,
Overproduction of elongation factor 1alpha, an essential translational component, causes aberrant cell morphology by affecting the control of growth polarity in fission yeast.
1999,
Pubmed Talukder,
Regulation of elongation factor-1alpha expression by growth factors and anti-receptor blocking antibodies.
2001,
Pubmed Tatsuka,
Elongation factor-1 alpha gene determines susceptibility to transformation.
1992,
Pubmed Zhu,
Combination of microdissection and microarray analysis to identify gene expression changes between differentially located tumour cells in breast cancer.
2003,
Pubmed