|
Fig. 1. Comparative gene expression of sipa1l3 and epha4. (A) WMISH shows that sipa1l3 and epha4 are similarly expressed in the early eye field (white arrowheads). Scale bar: 500â
µm. (B) sipa1l3 and epha4 are expressed in the developing eye (white arrowheads) including the retina (black arrowheads) and lens (red arrowheads). Dashed lines in B, stage 37 indicate level of transversal sections. Scale bars: 500â
µm in stages 30/35; 250â
µm in stages 35/37. |
|
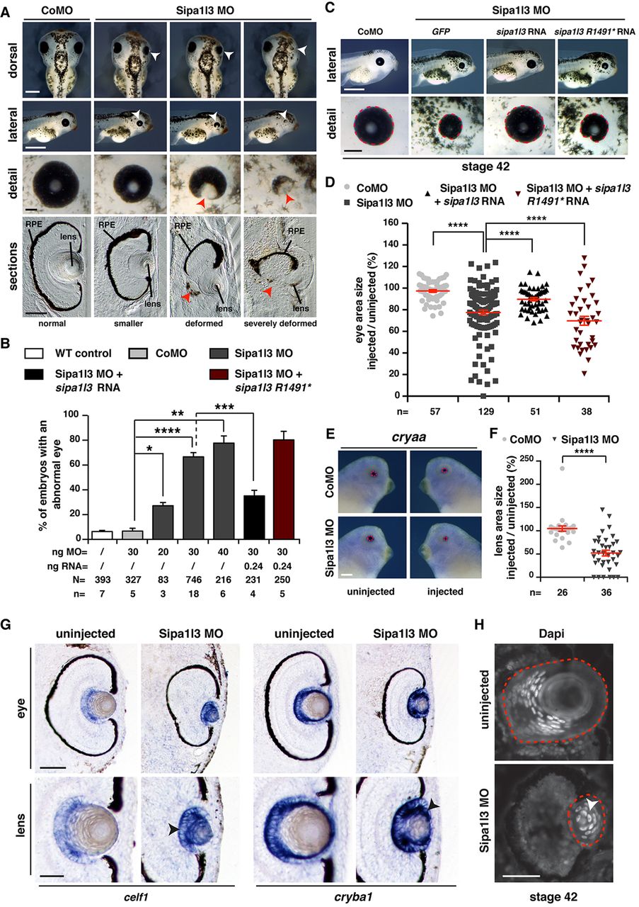
Fig. 2. Sipa1l3 is required for Xenopus ocular development. (A) Loss of Sipa1l3 through injection with Sipa1l3 MO leads to smaller and deformed eyes (white arrowheads) at stage 42, including a disturbed RPE (red arrowheads) in comparison with uninjected side and control MO (CoMO) injected embryos. Scale bars: 500â
µm in dorsal views; 1000â
µm in ventral views; 100â
µm in detail and section views. (B) Quantification of data in A reveals an abnormal eye phenotype in a dose-dependent manner upon Sipa1l3 deficiency (dark gray columns). The Sipa1l3 MO phenotype was rescued by co-injecting a full-length rat sipa1l3 RNA (black column) but not a mutated rat sipa1l3 R1491* RNA (red column). The sipa1l3 R1491* construct reflects the nonsense point mutations identified in human patients (Evers et al., 2015). (C) Measurement of the eye area size at stage 42. Red circles indicate the eye areas. Scale bars: 1000â
µm in upper row; 200â
µm in lower row. (D) Quantification of the data in C revealed a significant reduction in eye size upon Sipa1l3 depletion compared with control. Wild-type rat sipa1l3 but not sipa1l3 R1491* RNA restores the microphthalmia phenotype. (E) Lens area measurement of cryaa-stained embryos at stage 36 upon loss of Sipa1l3 compared with uninjected side and control MO-injected embryos. Note that the cryaa staining is not absent. Red circles indicate the lens area. Scale bar: 250â
µm. (F) Quantification of the data in E revealed a significant reduction in lens size upon Sipa1l3 depletion. (G) Sipa1l3 MO injection does not reduce the expression of celf1 and cryba1 (black arrowheads). Scale bars: 100â
µm in upper row; 50â
µm in lower row. (H) DAPI staining on cryosections revealed nuclei in the lens center upon loss of Sipa1l3 (injected side, white arrowhead) whereas the uninjected side shows no nuclei in the lens center. The dotted line indicates the lenses. Scale bar: 50â
µm. RPE, retinal pigmented epithelium; N, number of analyzed embryos in total; n, number of independent experiments; ng, nanogram. Error bars indicate standard error of the means (s.e.m.); *Pâ¤0.05; **Pâ¤0.01; ***Pâ¤0.001; ****Pâ¤0.0001. P-values were calculated by a nonparametric, one-tailed MannâWhitney rank sum test. |
|
Fig. 3. Sipa1l3/Epha4 interaction. (A) Pulldown experiments using immunoprecipitated full-length GFP-Sipa1l3, Myc-Sipa1l3PDZ, GFP-Sipa1l3_C-term-CC, GFP and mouse brain lysate (P2 fraction) as indicated. Endogenous Epha4 was only pulled down by full-length GFP-Sipa1l3 and Myc-Sipa1l3PDZ. (B,C) Interaction of Sipa1l3 and Epha4 is shown by immunoprecipitation. (B) Anti-GFP beads were used for IP of the GFP-Epha4C-term/Myc-Sipa1l3PDZ interaction complex. Western blotting was performed with anti-Myc as indicated. (C) IP control was performed in an independent experiment with anti-GFP as indicated. (D) The interaction of Sipa1l3 and Epha4 was substantiated by co-transfection of both constructs in Cos7 cells followed by immunostaining with anti-Myc antibody. The GFP signal and the fluorescent staining of the Myc-tag show a complete overlay in cell clusters (white arrowheads). |
|
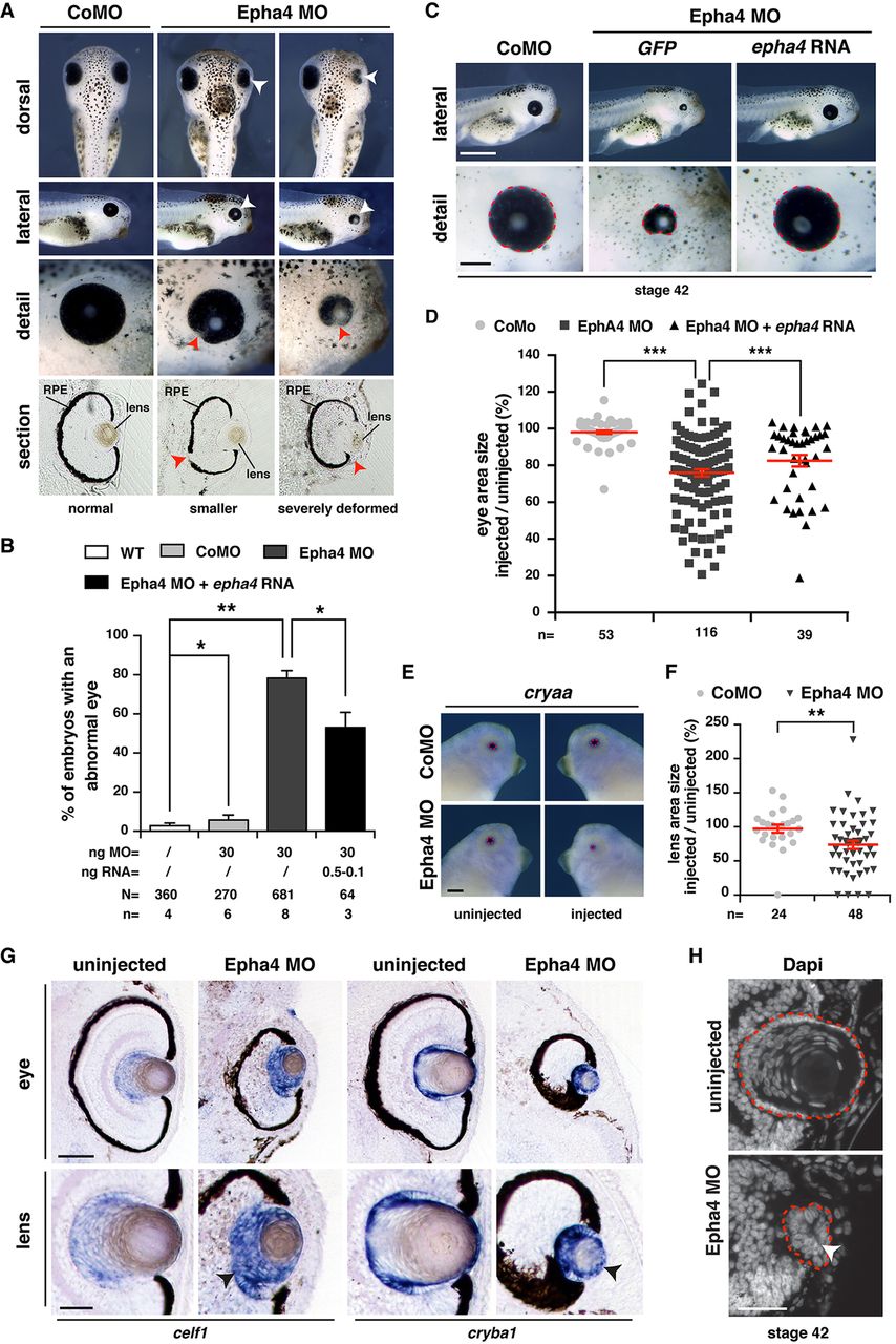
Fig. 4. Loss of Epha4 phenocopies the loss of Sipa1l3 in Xenopus.
(A) Loss of Epha4 through injection with Epha4 MO phenocopies the eye phenotype upon Sipa1l3 deficiency including smaller and deformed eyes (white arrowheads) with disturbed RPE (red arrowheads) in comparison with uninjected side and control MO (CoMO).
(B) Quantification of the data shown in A. The abnormal eye phenotype is rescued by epha4 RNA co-injection (black column).
(C) Measurement of eye area size at stage 42. Red circles indicate eye areas. Scale bars: 1000â
µm in upper row; 200â
µm in lower row.
(D) Quantification of the data in C revealed a significant reduction in eye size upon Epha4 depletion. Epha4 RNA restores the microphthalmia phenotype upon Epha4 depletion.
(E) Lens area measurement of cryaa-stained embryos at stage 36 upon loss of Epha4 compared with uninjected side and control MO-injected embryos. Red circles indicate lens areas. Scale bar: 250â
µm. Note that cryaa staining is not absent.
(F) Quantification of the data in E revealed a significant reduction in lens size upon Epha4 depletion. (
G) Epha4 MO injection does not reduce celf1 and cryba1 expression (black arrowheads). Scale bars: 100â
µm in upper row; 50â
µm in lower row.
(H) DAPI staining on cryosections revealed nuclei in the lens after loss of Epha4 (injected side, white arrowhead), compared with internal control (uninjected side). The dotted lines indicate the lenses.
Scale bar: 50â
µm. N, number of analyzed embryos in total; n, number of independent experiments; ng, nanogram. Error bars indicate standard error of the means (s.e.m.); *Pâ¤0.05; **Pâ¤0.01; ***Pâ¤0.001. P-values were calculated by a nonparametric, one-tailed MannâWhitney rank sum test. |
|
Fig. 5. Sipa1l3 acts downstream of Epha4 during Xenopus eye development. (A) Injection of Sipa1l3 and Epha4 MO showed a synergistic effect. Injection of low Sipa1l3 or Epha4 MO doses resulted in a mild eye phenotype in some embryos. Co-injection of both MOs, however, resulted in a severe eye phenotype in a more than additive manner. (B) Quantification of the data in A. (C) The eye phenotype upon Epha4 MO injection was rescued by sipa1l3 RNA co-injection. Red circles indicate eye areas. (D) Quantification of the data in C. (E) Quantification of eye area size at stage 42 showed that sipa1l3 RNA restores the microphthalmia phenotype resulting from Epha4 deficiency. N, number of analyzed embryos in total; n, number of independent experiments; ng, nanogram. Error bars indicate standard error of the means (s.e.m.); *Pâ¤0.05; **Pâ¤0.01; ***Pâ¤0.001; ****Pâ¤0.0001. P-values were calculated by a nonparametric, one-tailed MannâWhitney rank sum test. |
|
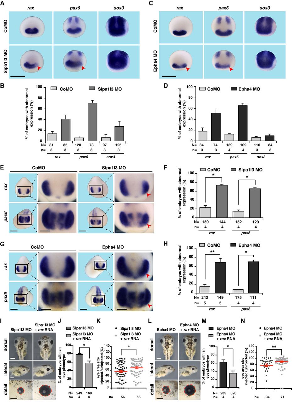
Fig. 6. Sipa1l3 and Epha4 influence early eye specification. (A,C) WMISH at stage 13 revealed that Sipa1l3 (A) or Epha4 (C) function is required for proper rax and pax6 expression whereas sox3 is not affected. Red arrowheads indicate reduced marker gene expression at the injected side. Scale bars: 1000â
µm. (B,D) Quantification of the data in A,C. (E,G) Knockdown of Sipa1l3 (E) and Epha4 (G) resulted in significantly reduced rax and pax6 expression domains (red arrowheads) compared with internal control as well as control MO-injected embryos at stage 23. Scale bars: 500â
µm in overview; 250â
µm in close-up views. (F,H) Quantification of the data in E,G. (I) rax RNA restores the Sipa1l3 MO-induced ocular phenotype. Red circles indicate eye areas. Scale bars: 500â
µm in dorsal, lateral views; 250â
µm in detail views. (J) Quantification of the data in I. (K) rax RNA rescues the Sipa1l3 MO-induced microphthalmia phenotype. (L) rax RNA restores the Epha4 MO-induced ocular phenotype. Red circles indicate eye areas. Scale bars: 500â
µm in dorsal, lateral views; 250â
µm in detail views. (M) Quantification of the data in L. (N) rax RNA rescues the Epha4 MO-induced microphthalmia phenotype. N, number of analyzed embryos in total; n, number of independent experiments. Error bars indicate standard error of the means (s.e.m.); *Pâ¤0.05; **Pâ¤0.01. P-values were calculated by a nonparametric, one-tailed MannâWhitney rank sum test. |
|
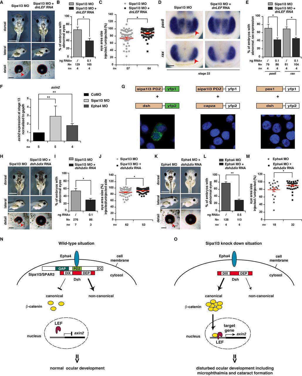
Fig. 7. Epha4 and Sipa1l3 act through non-canonical Wnt signaling. (A) Loss of Sipa1l3 function (red arrowhead) is rescued by co-injecting dnLEF RNA at stage 42. Red circles indicate eye areas. (B) Quantification of the data in A. (C) Injection of dnLEF RNA restores the microphthalmia phenotype induced by Sipa1l3 downregulation. (D) Marker gene reduction (red arrowhead) at stage 23 upon loss of Sipa1l3 is rescued by dnLEF RNA. Scale bar: 200â
µm. (E) Quantification of the data in D. (F) axin2 is upregulated upon Sipa1l3 or Epha4 depletion as shown by qPCR using cDNA of Xenopus neuralized ACs at stage 13. (G) Split YFP complementation assay. The PDZ domain of rat Sipa1l3 interacts with Xenopus Dsh. For negative controls, the interaction with unrelated proteins (CapZa and Pes1) was analyzed. (H) Loss of Sipa1l3 (red arrowhead) is rescued by dshδdix RNA co-injection. Red circles indicate eye areas. Scale bar: 1000â
µm in dorsal and lateral view; 200â
µm in detail view. (I) Quantification of the data in H. (J) Injection of dshδdix RNA restores the microphthalmia phenotype induced by Sipa1l3 downregulation. (K) Loss of Epha4 function (red arrowhead) is rescued by dshδdix RNA co-injection. Red circles indicate lens areas. Scale bar: 1000â
µm in dorsal and lateral view; 200â
µm in detail view. (L) Quantification of the data in K. (M) Injection of dshδdix RNA restores the microphthalmia phenotype induced by Epha4 depletion. (N) Scheme of the predicted mechanism in the wild-type situation. Interaction of Epha4 and Sipa1l3 leads to normal ocular development by blocking Wnt/β-catenin signaling and activation of the non-canonical Wnt pathway. (O) Scheme of the predicted mechanism in the Sipa1l3 loss-of-function situation. Sipa1l3 deficiency results in eye defects by upregulation of β-catenin and axin2. N, number of analyzed embryos in total; n, number of independent experiments; ng, nanogram. Error bars indicate standard error of the means (s.e.m.); *Pâ¤0.05; **Pâ¤0.01. P-values were calculated by a nonparametric, one-tailed MannâWhitney rank sum test. |
|
Figure S1: MO efficiency tests
A Sequence of the Sipa1l3 MO-binding site (bs). Red letters indicate the start codon of sipa1l3. B Injection of 1ng sipa1l3 MO-bs GFP together with 10ng Control MO leads to GFP translation. Co-injection of 1ng sipa1l3 MO-bs GFP with 0.1ng, 0.5ng as well as 1ng Sipa1l3 MO blocks GFP translation in a dose dependent manner. C Western blot analysis at stage 15 revealed a decrease in endogenous Sipa1l3 protein level upon Sipa1l3 MO injection in a dose dependent manner. 10 and 20ng of Sipa1l3 MO was injected bilaterally in 2-cell stage Xenopus embryos. ï¢-Tubulin was used as loading control. D The sequence of the Epha4 MO-binding site (bs) and Epha4 MO-bs chicken (MT) constructs. Red letters indicate the start codon of epha4. E Epha4 MO efficiently blocks GFP translation in a dose dependent manner. Co-injection of 1ng epha4 MO-bs chicken (MT) GFP with 10ng Epha4 MO however leads to GFP translation. |
|
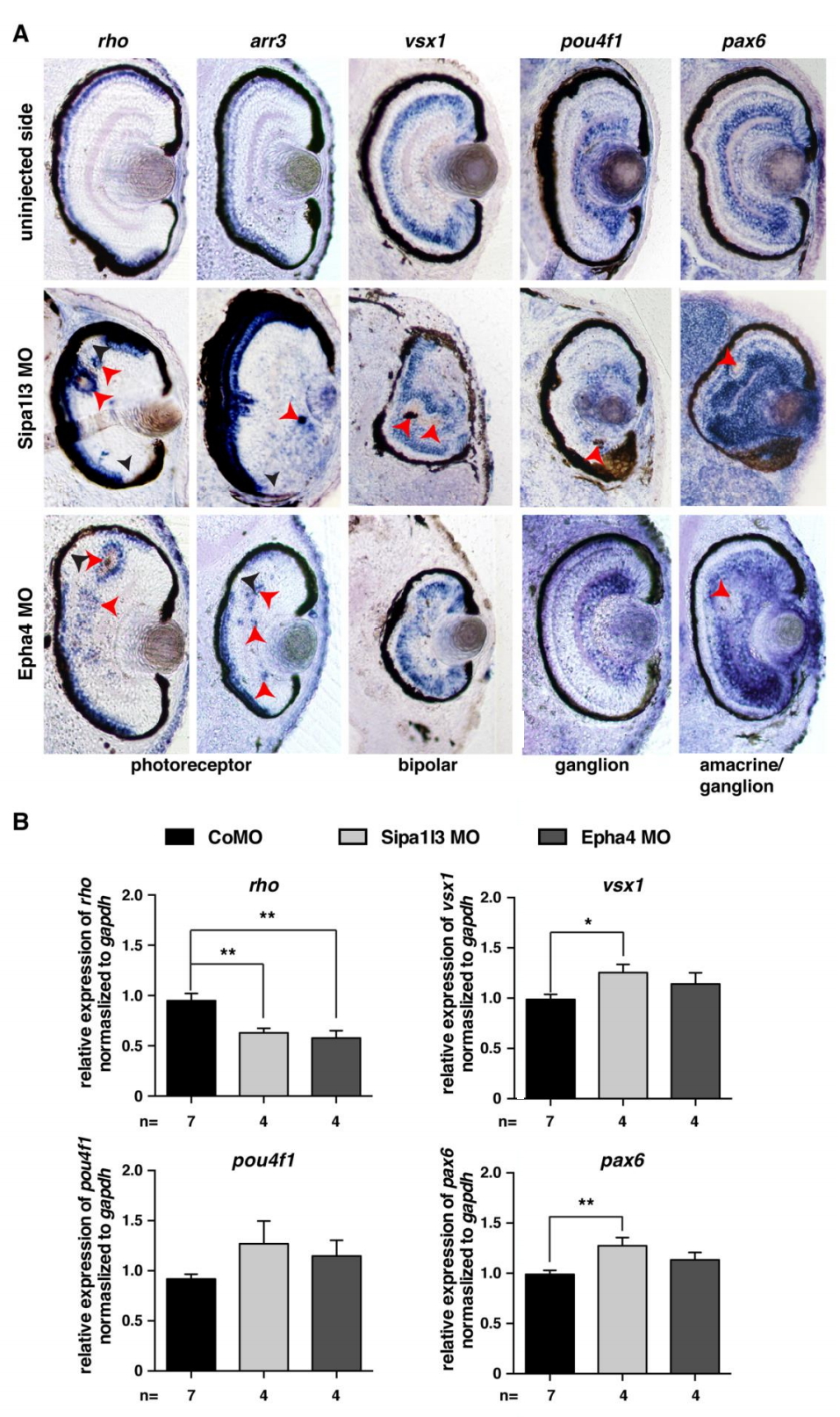
Figure S2: Retinal lamination is affected upon Sipa1l3 and Epha4 loss of function in Xenopus.
Sipa1l3 as well as Epha4 depletion results in disorganized retinal layers in the eye including rosette-like structures formed by displaced photoreceptor cells from the outer layer (black arrowheads) to the inner layers (red arrowheads) of the retina. Following marker genes were used to stain for retinal cell types at stage 42: arr3 and rho to determine photoreceptor cells; pax6 to detect amacrine and ganglion cells; vsx1 to visualize bipolar cells and pou4f1 to stain for ganglion cells. B qPCR experiments using cDNA of Sipa1l3 or Epha4 depleted stage 42 eyes revealed a down-regulation of rho, whereas the other analyzed marker genes were slightly up-regulated. CoMO injected embryos were used as control. Gapdh was used for normalization. n, number of independent experiments; ng, nanogram. Error bars indicate standard error of the means (s.e.m.); * pï£0.05; ** pï£0.01. P-values were calculated by a nonparametric, one-tailed Mann-Whitney rank sum test. |
|
Figure S3: qPCR with Xenopus eyes
A celf1, a specific marker gene for mature LFCs, is significantly up-regulated by Sipa1l3 or Epha4 down-regulation. B cryba1, a marker of the lens epithelium, is not affected by neither Sipa1l3 nor Epha4 depletion. n, number of independent experiments; ng, nanogram; n.s., not significant. Error bars indicate standard error of the means (s.e.m.); * pï£0.05; ** pï£0.01. P-values were calculated by a nonparametric, one-tailed Mann-Whitney rank sum test. |
|
Figure S4: Comparative expression of epha4 and rax
At stages 13 and 14, epha4 and rax showed a partial overlapping expression in the early eye field (white arrowheads). Scale bar: 500µm. |
|
Figure S5: TUNEL staining in Sipa1l3 depleted embryos
A Sipa1l3 deficient embryos demonstrate a significant increase in cell apoptosis. TUNEL positive cells were counted at each side in defined areas. B Quantification of the data in A. n, number of independent evaluated embryos. Error bars indicate standard error of the means (s.e.m.); ** p<=0.01. P-values were calculated by a nonparametric, one-tailed Mann-Whitney rank sum test. |
|
vsx1 (visual system homeobox 1) gene expression in a Xenopus laevis embryo eye, assayed via in situ hybridization, NF stage 42, |
|
The photoreceptor layer of the retina, adjacent to the black retinal pigmented epilthelium], is marked by arr3 (arrestin 3, retinal (X-arrestin)) and rho (rhodopsin) gene expression. |
|
pax6 (paired box 6 ) gene expression in retinal ganglionic cell layer of sectioned Xenopus eye. |