Click here to close
Hello! We notice that you are using Internet Explorer, which is not supported by Xenbase and may cause the site to display incorrectly.
We suggest using a current version of Chrome,
FireFox, or Safari.
???displayArticle.abstract???
This paper reports the cloning of the full length Xenopus laevis Lmx1b gene, Xlmx1b. Xlmx1b is a LIM homeodomain protein with high conservation to homologues identified in human, mouse, hamster and chick. In situ hybridisation and RT-PCR analysis showed that Xlmx1b has a specific temporal expression pattern which can be separated into three main spatial domains. An Xlmx1b probe hybridized to regions of the nervous system from stage 13 onwards; these regions included the placodes and otic vesicles, the eye and specific sets of neurons. Sectioning of in situ hybridised embryos confirmed the location of transcripts as discreet regions of staining in ventrolateral regions of the neural tube. From stage 27, transcripts could be detected in the capsule of pronephric glomus. Finally, transcripts were detected by Northern blot analysis in the developing fore and hind limbs. Xlmx1b transcripts were also detected by Northern blot analysis in eye, brain, muscle and mesonephrostissue in metamorphosing tadpoles. RT-PCR analysis showed that zygotic expression of Xlmx1b is initiated at stage 10.5 and the temporal sequence of Xlmx1b expression is identical in both neural and presumptive pronephros regions. The effects of the growth factors activin A, retinoic acid (RA) and basic fibroblast growth factor (bFGF) on the regulation of Xlmx1b were also studied. Xlmx1b was found to be upregulated by activin A and RA inhibited this upregulation in a concentration dependant manner. In contrast, bFGF had no effect on the regulation of Xlmx1b.
Fig. 2. Temporal expression pattern of Xlmx1b. RT-PCR analysis shows the expression pattern of Xlmx1b transcripts in Xenopus laevis unfertilised egg and embryo stages. Zygotic expression is upregulated at stage 10.5 with further upregulation after stage 12.5 which is when the glomus is initially specified. Expression is then maintained throughout early development and into tailbud stages. Expression of the glomus marker xWT-1 is not initiated until approximately stage 20.
Fig. 4. Wholemount in situ hybridisation of Xlmx1b. (A) Dorsal view of a stage 13 embryo showing placodal region expression. (B) A stage 15 embryo showing expression on the neural plate, along the neural folds and in the placodal regions. (C) A stage 19 embryo showing two intense patches of expression in the placodal regions, the otic anlagen. These will eventually develop into the otic vesicle and the embryos hearing system. (D) A cleared stage 21 embryo with neurons visible all down the dorsal side of the embryo. Some staining is noticeable in the anterior region, which may develop into the eye expression or the midbrain neurons. (E) A stage 24 embryo, the first stage at which expression is visible in the dorsal region of the eye. Staining is also seen in a population of migrating neural crest cells near the otic vesicle. (F) A stage 27 embryo showing neuron expression down the back. Staining is also apparent in the otic vesicle, eye and in a population of neurons in the midbrain region. (G) A stage 32 embryo showing more defined glomus and otic vesicle expression, staining in the optic nerve and neurons all down the back. (H) A stage 36 embryo showing precise expression in the eye and otic vesicle. (I) A stage 39 embryo close-up showing neuron and otic vesicle expression and a well developed glomus. (J) Cross-section through a stage 15 embryo showing exact areas of expression of Xlmx1b in the placodes and neural plate. (K,L) Cross-sections through a stage 33 embryo showing exact areas of expression of Xlmx1b in the otic vesicles, neurons, floor plate and glomus. (M) Cross-section through a stage 36 embryo showing expression of Xlmx1b in the eye. Abbreviations: A, archenteron; BB, mid-hindbrain boundary; CF, choroid fissure; E, eye; FP, floor plate; G, glomus; N, neurons; NC, neural crest cells; NF, neural folds; NP, neural plate; O, otic vesicles; ON, optic nerve; Pl , placodal regions.
Fig. 5. Xlmx1b is expressed in the nervous system and glomus domains at the same time. RT-PCR analysis shows Xlmx1b expression is initiated ubiquitously at stage 10.5. Transcripts are then found in dorsal and lateral regions of stage 13 and 20 embryos, as these two regions will eventually form the nervous system and glomus tissues respectively. At stage 25 and 35, expression is seen in the head from the nervous system expression domain, in the mid region from both nervous system and glomus domains and in the tail region from the neurons. xWT-1 was used to identify the glomus domain and show that Xlmx1b expression in these regions is initiated prior to xWT-1. This experiment cannot rule out expression in those regions being due to some contamination with the neural domain. Dissection was as follows; W, whole embryos; D, dorsal; L, lateral; V, ventral; H, head; M, middle and T, tail regions. (cDNA was not equalised in this experiment in order to establish a genuine relative expression level between components).
Fig. 6. Activin A and RA affect Xlmx1b induction. Animal cap explants taken at stage 8/9 and treated with activin A show induction of Xlmx1b by stage 22 equivalence. This induction is inhibited by the addition of RA in a concentration dependant manner. As xWT-1 is not induced in all the samples in which Xlmx1b is induced, the expression of Xlmx1b may also be from induction of the neural domain. Otx-2 and Hoxb9 were used to identify formation of anterior and posterior neural tissues that could be contributing to Xlmx1b expression. (Expression of Otx-2 in untreated caps is an established phenomenon, Lamb and Harland, 1995). Cardiac actin expression shows the growth factors were effective in inducing mesoderm.
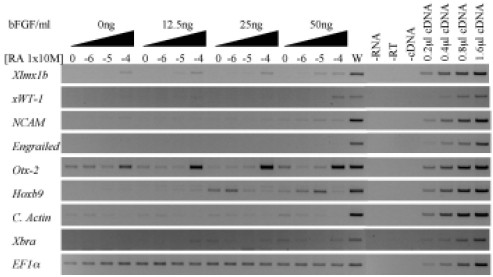
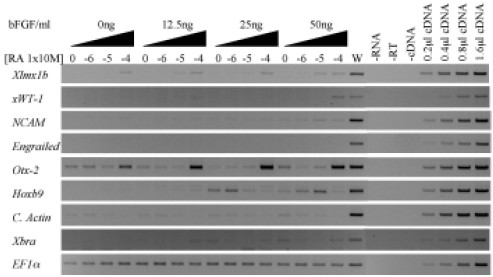
Fig. 7. bFGF and RA affect Xlmx1b induction. Animal cap explants taken at stage 8/9 and treated with bFGF and RA show induction of Xlmx1b by stage 22. xWT-1 expression at the highest concentrations shows glomustissue is being induced. Otx-2 and Hoxb9 were used to identify formation of neural tissues that could be contributing to Xlmx1b expression. Cardiac actin and XBra expression shows that growth factors were effective in inducing mesoderm.