Click here to close Hello! We notice that you are using Internet Explorer, which is not supported by Xenbase and may cause the site to display incorrectly. We suggest using a current version of Chrome, FireFox, or Safari.
XB-ART-52598
Sci Rep 2016 Oct 14;6:35264. doi: 10.1038/srep35264.
Show Gene links Show Anatomy links

CRISPR/Cas9 mediated knockout of rb1 and rbl1 leads to rapid and penetrant retinoblastoma development in Xenopus tropicalis.

Naert T, Colpaert R, Van Nieuwenhuysen T, Dimitrakopoulou D, Leoen J, Haustraete J, Boel A, Steyaert W, Lepez T, Deforce D, Willaert A, Creytens D, Vleminckx K.


???displayArticle.abstract???
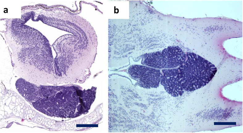
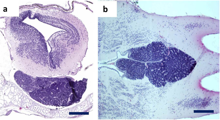
Retinoblastoma is a pediatric eye tumor in which bi-allelic inactivation of the Retinoblastoma 1 (RB1) gene is the initiating genetic lesion. Although recently curative rates of retinoblastoma have increased, there are at this time no molecular targeted therapies available. This is, in part, due to the lack of highly penetrant and rapid retinoblastoma animal models that facilitate rapid identification of targets that allow therapeutic intervention. Different mouse models are available, all based on genetic deactivation of both Rb1 and Retinoblastoma-like 1 (Rbl1), and each showing different kinetics of retinoblastoma development. Here, we show by CRISPR/Cas9 techniques that similar to the mouse, neither rb1 nor rbl1 single mosaic mutant Xenopus tropicalis develop tumors, whereas rb1/rbl1 double mosaic mutant tadpoles rapidly develop retinoblastoma. Moreover, occasionally presence of pinealoblastoma (trilateral retinoblastoma) was detected. We thus present the first CRISPR/Cas9 mediated cancer model in Xenopus tropicalis and the first genuine genetic non-mammalian retinoblastoma model. The rapid kinetics of our model paves the way for use as a pre-clinical model. Additionally, this retinoblastoma model provides unique possibilities for fast elucidation of novel drug targets by triple multiplex CRISPR/Cas9 gRNA injections (rb1 + rbl1 + modifier gene) in order to address the clinically unmet need of targeted retinoblastoma therapy.

???displayArticle.pubmedLink??? 27739525
???displayArticle.pmcLink??? PMC5064383
???displayArticle.link??? Sci Rep


Species referenced: Xenopus tropicalis
Genes referenced: pcna rb1 rbl1 syk
???displayArticle.antibodies??? Pcna Ab1
gRNAs referenced: rb1 gRNA2 rb1 gRNA3 rbl1 gRNA2 rbl1 gRNA3 syk gRNA1

???displayArticle.disOnts??? retinoblastoma
???displayArticle.omims??? RETINOBLASTOMA; RB1
Phenotypes: Xtr Wt + rb1 CRISPR + rbl1 CRISPR(Fig.1.b) [+]

???attribute.lit??? ???displayArticles.show???
References [+] :
Abramson, Treatment of Retinoblastoma in 2015: Agreement and Disagreement. 2015, Pubmed