|
Figure 1. Time course of amputation callus formation in P1 neonatal mice. The whole‐mount samples were stained with alcian blue and alizarin red. (A), (B) Intact forelimbs of P1 (A) and P15 (B) neonates. (C)−(H) Formation of the amputation callus at 1 dpa (C), 3 dpa (D), 5 dpa (E), 7 dpa (F), 10 dpa (G), and 14 dpa (H). The arrowheads indicate the amputation level. The arrows indicate the points where ossification begins in the cartilaginous calluses. Skeletal tissues are indicated; R, radius; U, ulna; Hu, humerus. Scale bar 1 mm (applicable to all photographs). |
|
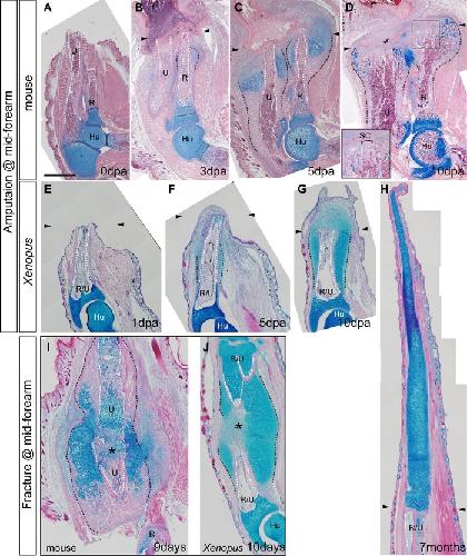
Figure 2. Comparison of regenerative responses in mice and Xenopus. Tissue sections were stained with hematoxylin and eosin and alcian blue. (A)−(D) Amputated forelimbs of P1 mice at 0 dpa (A), 3 dpa (B), 5 dpa (C), and 10 dpa (D). (E)−(H) Amputated forelimbs of Xenopus froglets at 1 dpa (E), 3 dpa (F), 5 dpa (G), and after 7 months (H). The inset of (D) is a highly magnified image of the squared area and shows the skeletal cap that seals the medullary cavity of the amputated bones. (I), (J) Fracture healing in P1 mice (9 days) (I) and Xenopus froglets (10 days) (J). The arrowheads indicate the amputation level. The asterisks indicate the gap between broken bones. Skeletal tissues are indicated; R, radius; U, ulna; R/U, radio‐ulna; Hu, humerus; SC, skeletal cap. The amputation calluses and the outline of the medullary cavity are delineated by black and white dotted lines, respectively. Scale bar 500 μm (applicable to all photographs). |
|
Figure 3. Lineage tracing of BrdU‐labeled proliferating cells in amputated limbs. (A)−(E) In mice, BrdU was injected intraperitoneally at 3 dpa, and tissue samples were fixed 4 h (A)−(C) and 3 days (D), (E) after injection. (F)−(I) In Xenopus, BrdU was injected intraperitoneally at 4 dpa, and tissue samples were fixed 4 h (F), (G), and 16 days (H), (I), after injection. In both animals, adjacent sections were stained by hematoxylin and eosin and alcian blue (A, D, F, H) and anti‐BrdU antibody (magenta in B, C, E, G, I). BrdU‐stained sections were also stained by anti‐type II collagen antibody (green in B, C, E, G, I). Areas in (B), (C), (E), (G), and (I) are high magnifications of the squared areas in (A), (D), (F) and (H). (J)−(M) Repeated BrdU injection was performed in 5‐dpa mice (J), (K) and 3 weeks post‐amputation Xenopus (L), (M). Adjacent sections were stained by hematoxylin and eosin and alcian blue (J, K) and anti‐BrdU antibody (green in K and M). The arrowheads indicate the amputation level. Skeletal tissues are indicated; R, radius; U, ulna; R/U, radio‐ulna; Hu, humerus; GP, growth plate; CC, cartilaginous callus; S, spike cartilage. The amputation calluses and the outline of the medullary cavity are delineated by black and white dotted lines, respectively. Scale bars in (A) (applicable to D, F, H) and (J) (applicable to K−M) 500 μm. |
|
Figure 4. Formation of the amputation and fracture calluses in Clo‐lipo injected mice and Xenopus. Tissue sections were stained with hematoxylin and eosin and alcian blue. (A)−(F) Clo‐lipo injection results in inhibition of amputation calluses (A, B, D, E) in mice (7 dpa) (A−C) and Xenopus (10 dpa) (D−F), compared to controls (C, F). Two typical phenotypes are shown. In (A) and (D), no round‐shaped chondrocytes are found around the cut edge of the amputated bones. In (B) and (E), the size of the cartilaginous calluses is dramatically reduced. In Xenopus, the thickened epidermis is formed on the amputation plane in both strong inhibition phenotype (D) and reduced‐size phenotype (E), although a blastema is not formed. In a control limb (F), a small blastema already appears. (G)−(J) Clo‐lipo injection also inhibits formation of the fracture callus in mice (7 days) (G, H) and Xenopus (14 days) (I, J). (H), (J) Control‐lipo injected limbs. The granulation tissue between the broken bones is also dramatically reduced by Clo‐lipo injection (G, I). (A), (C), (G)−(J) Locally injected samples. (D)−(F) Intraperitoneally injected samples. Skeletal tissues are indicated; R, radius; U, ulna; R/U, radio‐ulna; Hu, humerus. The amputation calluses and the outline of the medullary cavity are delineated by black and white dotted lines, respectively. An arrow in (G) and an asterisk in (H) indicate the gap between the broken bones. Scale bar 500 μm. |
|
Figure 5. Amputation callus formation in denervated limbs of mice and Xenopus. Illustrations in the upper row show the surgeries that each limb was given. Tissue sections were stained with hematoxylin and eosin and alcian blue. Amputation calluses were formed in both mice at day 7 (A)−(C) and Xenopus at day 10 (D) even after limb denervation (A, D) or limb tissue transplantation (B, C). Significant differences were found between normal (see Fig. 2) and denervated limbs (A, D). Calluses were also formed in the transplanted limb tissues but the size was various (B, normal; C, reduced). Radius and ulna were indistinguishable in the transplants. The amputation calluses and the outline of the medullary cavity are delineated by black and white dotted lines, respectively. Skeletal tissues are indicated; R, radius; U, ulna; R/U, radio‐ulna. Scale bar 500 μm (applicable to all photographs). |
|
Figure 6. Distribution of deviated nerve fibers in the wound epithelium of mice and Xenopus. (A) Illustrations show the surgeries that each limb was given. By this surgery, blastema formation is induced in Xenopus (B) (2 weeks after surgery) but not in mice (not shown). (C), (D) Immunohistochemistry for nerve fibers in the WE. Compared to the intact epidermis of each animal, fewer nerve fibers were found in the WE of mice (C) (6 days after surgery), whereas the WE in Xenopus is more innervated (D) (7 days after surgery). The arrowheads indicate the WE innervated by the deviated nerves. Scale bar 500 μm (applicable to C). |
|
Figure 7. A schematic model of differences in nerve‐dependent and independent regenerative responses between Xenopus and mice. In Xenopus, regenerating axons innervate into the WE, and induce conversion of the WE into the AEC and conclusively formation of a blastema. In mice, however, axons do not innervate into the WE. Blastema formation does not occur, presumably because of failure in AEC formation (this is a speculation from the ALM experiment). Amputation callus formation at the bone terminus is a nerve‐independent and common response between mice and Xenopus. |