XB-ART-52488
Elife
2016 Aug 31;5. doi: 10.7554/eLife.17666.
Show Gene links
Show Anatomy links
Dissecting the pre-placodal transcriptome to reveal presumptive direct targets of Six1 and Eya1 in cranial placodes.
Riddiford N, Schlosser G.
???displayArticle.abstract???
The pre-placodal ectoderm, marked by the expression of the transcription factor Six1 and its co-activator Eya1, develops into placodes and ultimately into many cranial sensory organs and ganglia. Using RNA-Seq in Xenopus laevis we screened for presumptive direct placodal target genes of Six1 and Eya1 by overexpressing hormone-inducible constructs of Six1 and Eya1 in pre-placodal explants, and blocking protein synthesis before hormone-inducing nuclear translocation of Six1 or Eya1. Comparing the transcriptome of explants with non-induced controls, we identified hundreds of novel Six1/Eya1 target genes with potentially important roles for placode development. Loss-of-function studies confirmed that target genes encoding known transcriptional regulators of progenitor fates (e.g. Sox2, Hes8) and neuronal/sensory differentiation (e.g. Ngn1, Atoh1, Pou4f1, Gfi1) require Six1 and Eya1 for their placodal expression. Our findings provide insights into the gene regulatory network regulating placodal neurogenesis downstream of Six1 and Eya1 suggesting new avenues of research into placode development and disease.
???displayArticle.pubmedLink??? 27576864
???displayArticle.pmcLink??? PMC5035141
???displayArticle.link??? Elife
Species referenced: Xenopus laevis
Genes referenced: atoh1 crem emx1 eya1 fosb foxd3 gad1.2 gfi1 hes2 hes5.2 hes5.4 hes5.6 hes5.7 isl1 isl2 lhx5 mab21l2 neurog1 pou3f2 pou4f1 pou4f4 ripply3 sim1 six1 sox2 sox21 sox3 tbx15 tbx6 tlx1
???displayArticle.morpholinos??? eya1 MO1 eya1 MO2 six1 MO1 six1 MO2
???attribute.lit??? ???displayArticles.show???
|
|
Figure 1. Experimental pipeline and overview of bioinformatic analysis.(A) Both blastomeres of two-cell stage embryos were injected with Six1-GR, Eya1-GR or Six1-GR+Eya1-GR and explants were cut from pre-placodal ectoderm. Explants were incubated in CHX for 30 min before being split into two groups; 50% were kept in CHX for 2.5 hr and 50% were transferred to CHX+DEX for 2.5 hr. RNA was extracted from both treatment groups and submitted to RNA-Sequencing. (B) On average, 80 million reads were generated in sequencing for each treatment group, and 65 million quality-trimmed reads were successfully mapped to the Xenopus genome. An average of 49,000 transcript models were assembled, of which 80% (39,000) were successfully annotated against a Xenopus mRNA database. Annotated transcript models were then filtered to condense duplicate annotations into 15,794 uniquely annotated transcript models, and differential expression analysis was then performed using CHX treated explants as a control for those treated with CHX+DEX.DOI: http://dx.doi.org/10.7554/eLife.17666.003 |
|
|
Figure 2. Differentially expressed genes after overexpression of Six1 and Eya1 in the PPE.Plots A and B show number of genes differentially regulated after overexpression of Six1 alone (Six1i; yellow), Eya1 alone (Eya1i; blue) or Six1 and Eya1 combined (Six1+Eya1i; green). Each Venn diagram shows the number of genes (red) unique for each treatment group or shared between them. (A) Number of genes up-regulated and (B) down-regulated after injection with Six1, Eya1 or Six1+Eya1. (C) The merged analysis resulted in hundreds of significantly differentially expressed genes in the PPE data set. Plot shows log2 transformed (FPKM+1) values after overexpression of Six1 or Eya1 (combination of all treatment groups; Six1+Eya1m). Green points represent significantly (q<0.05) up-regulated genes and red points show significantly down-regulated genes. Plot D shows the enrichment of molecular function terms after overexpression of Six1 or Eya1 based on significantly differentially expressed genes from the merged data set (Six1+Eya1m; Supplementary file 3, Table 5). The area of the pie represents the total number of functional terms contained in the analysis, with each slice representing the percentage of genes against this total. Molecular functions shown can be broadly divided into five categories: Green slices are related to binding functions (53%); purple/blue represents enzyme activity (30%); pink/red shows transmembrane proteins (13%); orange cytoskeleton (3%) and yellow anti-oxidant (1%).DOI: http://dx.doi.org/10.7554/eLife.17666.004 |
|
|
Figure 3. Gene set enrichment analysis (GSEA) showing enriched clusters of functional terms for up-regulated genes in different treatment groups.In each case, treatment groups considered are highlighted and outlined in bold in the accompanying Venn diagram. Yellow colouring indicates Six1 treatment; blue shows Eya1 and green Six1+Eya1. Enrichment scores â¥1.5 are reported for individual treatment groups (Ind.) and, where available, â¥0.5 for merged treatment groups (Merg.). (A) Up-regulated genes from all treatment groups included in analysis; (B) Six1 overexpression only; (C) Eya1 overexpression only. (D) Genes differentially expressed after overexpression of both Six1 and Eya1; (E) exclusively after Six1 overexpression; (F) exclusively after Eya1 overexpression.DOI: http://dx.doi.org/10.7554/eLife.17666.005Figure 3âfigure supplement 1. Gene set enrichment analysis (GSEA) showing enriched clusters of functional terms for down-regulated genes in different treatment groups.In each case, treatment groups considered are highlighted and outlined in bold in the accompanying Venn diagram. Yellow colouring indicates Six1 treatment; blue shows Eya1 and green Six1+Eya1. Enrichment scores â¥1.5 are reported for individual treatment groups (Ind.) and, where available, â¥0.5 for merged treatment groups (Merg.). (A) Down-regulated genes from all treatment groups included in analysis; (B) Six1 overexpression only; (C) Eya1 overexpression only. (D) Genes differentially expressed after overexpression of both Six1 and Eya1; (E) exclusively after Six1 overexpression.DOI: http://dx.doi.org/10.7554/eLife.17666.006 |
|
|
Figure 4. Expression of selected presumptive direct targets of Six1/Eya1 in whole-mount Xenopus embryos. Genes expressed at neural plate stages (stages 14â18) are shown in panels AâL, and those only expressed at later stages are shown at mid/late tail bud stage (stages 28â32) in panels MâT. Several of the genes surveyed (Lhx5, Pou3f2b, Tbx15, Tbx6, Emx1.2 and Sim1 (AâD, M and N), were not expressed in the PPE, nor any placodal derivatives in later stages. Instead, such genes were expressed in the adjacent neural folds (Lhx5, Pou3f2b and Tbx15), ectoderm (Tbx6), or in the forebrain at later stages (Emx1.2). Several other genes were expressed broadly across the cranial ectoderm, at least partially overlapping with the PPE at neural plate stages (Ripply3, Crem, FosB and Znf214; E,OâQ), some of which are also maintained in placodal derivatives such as Znf214 in the otic vesicle (Q). The remaining genes (FâL, RâT) are expressed in parts of the PPE and maintained in some placodes (Hes2, Hes8, Hes9, Mab21l2b, Sox21, Isl2, Pou4f1.2, and Tlx1) or are expressed in a subset of placodes only (Atoh1, Gfi1a) (see Figure 4âfigure supplements 1â4 for additional stages). Yellow arrows mark placodal expression. Arrowheads mark non-placodal expression. Abbreviations: pA: anterior placodal region; pAD: anterior lateral line placode; pE: epibranchial placode; pL: lens placode; L: lens; pM: middle lateral line placode; pO: olfactory placode; pP: posterior placodal region; pPrV: profundal/trigenimal placodes; vOt: otic vesicle. Plots U and V show qPCR after Six1 or Eya1 overexpression. Log2 fold change values were calculated from qPCR data obtained after overexpression of Six1-GR (U) or Eya1-GR (V) in placodal explants and are shown next to corresponding fold change values obtained from the RNA-Seq data. In all cases shown, qPCR values broadly corroborate those from the RNA-Seq data - showing up-regulation of target genes after either Six1 or Eya1 overexpression. Vertical error bars show the standard deviation of the mean of biological triplicates. |
|
|
Figure 5. Effects of Eya1 knockdown on target genes. Tail bud (AâG) and neural plate (HâI) stage embryos after unilateral injection of Eya1-MO1+2. In each case, lacZ was co-injected as a lineage tracer and panels A1âG1 show the control (un-injected) side and A2âG2 show the injected side (lacZ staining out of frame in most specimens). The injected side is positioned to the right in HâJ, as marked by blue lacZ staining. Arrows and arrowheads mark reductions in marker gene expression in placodal and non-placodal derivatives, respectively. |
|
|
Figure 4âfigure supplement 1. Expression of targets not expressed in placodes in whole-mount Xenopus embryos. Expression dynamics for each target are shown across a range of developmental stages: A1âF1 show expression in neural plate stage embryos, A2âF2 show early tail bud stage embryos and A3âF3 show late tail bud stage embryos. (A) Expression of PPE marker gene Six1 is shown as reference for placodal domains (for details see Pandur and Moody, 2000; Schlosser and Ahrens, 2004). (B) Emx1.2 is expressed broadly in the neural plate in neural plate stages (B1), and becomes restricted to the forebrain in late tail bud stages (B3; asterisk). (C) Lhx5 is expressed in the forebrain at all developmental stages (C1âC3; asterisk), and at early and late tail bud stages Lhx5 is also expressed in the hindbrain and spinal cord (C3; arrowhead). (D) Pou3f2b is expressed in the neural plate and developing neural tube (D1; asterisk) at neural plate stages. Expression in the brain and spinal cord is maintained during early and late tail bud stages (D2 and D3 ; arrowhead and asterisk, respectively). (E) Tbx15 is expressed in a restricted domain of the anterolateral neural folds in neural plate stages (E1; asterisk). At tail bud stages expression is prominent in somites (E2 and E3; arrowhead) and migrating neural crest cells of the hyoid and first branchial neural crest streams (Nc). Both of these expression domains are maintained into late tail bud stages (E3 and E4). E4 shows section at the level indicated in E3 (dotted line). Bar in E4: 100 μm. (F) Throughout all developmental stages (F1âF3) Tbx6 is expressed strongly in the posterior paraxial and lateral plate mesoderm (F1 and F2; asterisk) with weaker expression in the pharyngeal arches (F2; arrowhead). Subsequently, itâs expressed in somites, as indicated by a diamond in F2. Abbreviations: pA: anterior placodal region; pAD: anterior lateral line placode; pE: epibranchial placode; pM: middle lateral line placode; pO: olfactory placode; vOt: otic vesicle; pPrV: profundal/trigeminal placodes. |
|
|
Figure 4âfigure supplement 2. Expression of targets that broadly overlap with PPE in whole-mount Xenopus embryos. Expression dynamics for each target are shown across a range of developmental stages: A1âE1 show expression in neural plate stage embryos, A2âE2 show early tail bud stage embryos and A3âE3 show late tail bud stage embryos. (A) Expression of PPE marker gene Six1 is shown as reference for placodal domains (for details see Pandur and Moody, 2000; Schlosser and Ahrens, 2004). (B) Crem is initially expressed broadly in paraxial mesoderm (B1; asterisk) and cranial ectoderm (B1; arrowhead) at neural plate stages and in pharyngeal arches and overlying ectoderm at early and late tail bud stages (B2 and B3 ; diamond). (C) FosB is expressed in a broad pattern across the cranial ectoderm and trunk mesoderm at both neural fold and early tail bud stages (C1 and C2). At late tail bud stages expression is maintained in cranial ectoderm as well as becoming apparent in the migrating neural crest cells (Nc) and weakly in the somites (C3; arrowhead). (D) Znf214 is expressed broadly across the ectoderm at all developmental stages (D1âD3). At both early and late tail bud stages there is expression in the migrating neural crest cells (Nc) as well as in the retina (D2 and D3; asterisk), and in late tail bud stages Znf214 is expressed in the otic vesicle and lens. (E) Ripply3 is expressed broadly in the posterior placodal region at neural fold stages (E1). At both early and late tail bud stages expression is confined to posterior cranial ectoderm (E2 and E3; asterisk). Yellow arrows mark placodal expression. Abbreviations: pA: anterior placodal region; pAD: anterior lateral line placode; pE: epibranchial placode; L: lens; pM: middle lateral line placode; pO: olfactory placode; vOt: otic vesicle; pP: posterior placodal region; pPrV: profundal/trigeminal placodes. |
|
|
Figure 4âfigure supplement 3. Expression of targets with dynamic/transient expression pattern in placodes in whole-mount Xenopus embryos. Expression dynamics for each target are shown across a range of developmental stages: A1âE1 show expression in neural plate stage embryos, A2âE2 show early tail bud stage embryos and A3âE3 show late tail bud stage embryos. (A) Expression of PPE marker gene Six1 is shown as reference for placodal domains (for details see Pandur and Moody, 2000; Schlosser and Ahrens, 2004). (B) Hes2 is expressed very strongly in a broad region corresponding to the posterior placodal domain including the prospective otic and lateral line placodes, as well as weakly in a scattered subset of neuroectodermal cells (B1; asterisk) at neural plate stages (see Figure 4âfigure supplement 5 for section). Expression is later restricted to the otic vesicle and a new expression domain becomes established in the developing retina at early and late tail bud stages (B2 and B3; arrowhead). (C) During neural plate stages (C1), Hes8 is expressed in the developing profundal and trigeminal placodes as well as in the anterior placodal region, the anterior neural plate (C1 ; asterisk) and the primary neurons (motor neurons, intermediary neurons and sensory neurons) of the posterior neural plate (C1; arrowheads; see Figure 4â figure supplement 5 for section). In early tail bud stages (C2) trigeminal expression is lost and replaced by expression in the otic vesicle, as well as lateral line, epibranchial and olfactory placodes. Throughout late tail bud stages (C3), expression is maintained in these regions and the brain (C3; cross) and is initiated in the retina (C3; diamond). (D) During neural plate stages (D1), Hes9 is expressed in the developing profundal and trigeminal placodes as well as in the anterior placodal region, the anterior neural plate (D1; asterisk) and the primary neurons (motor neurons, intermediary neurons and sensory neurons) of the posterior neural plate (D1; arrowheads; see Figure 4âfigure supplement 5 for section). In early tail bud stages (D2) trigeminal expression is lost but expression is apparent in the olfactory placodes, as well as in the otic and lateral line placodes and retina (D2; diamond). In late tail bud stages (D3) Hes9 is expressed broadly thoughout the brain (D3 ; cross), and is maintained in the lateral line and olfactory placodes as well as the otic vesicle. (E) During neural plate stages (E1), Mab21l2b is expressed in the prospective lens placode, as well as in the eye field (prospective retina) of the forebrain (E1; asterisk) and the prospective midbrain (E1; arrowhead). At early tail bud stages expression in the lens and midbrain is maintained and its expression becomes apparent in the hindbrain (E2; diamond). In late tail bud stages Mab21l2b is additionally prominently expressed in migrating neural crest cells (E3 ; Nc). (F) During neural plate stages Sox21 is expressed broadly throughout the anterior neural plate (F1; asterisk). At early tail bud stages (F2), this expression becomes confined to the forebrain (asterisk in F2) and midbrain-hindbrain boundary (arrowhead in F2) and is maintained into late tail bud stages, (F3). In late tail bud stages, Sox21 is also expressed in the olfactory placode, otic vesicle and becomes up-regulated in the hindbrain (F3; diamond). Yellow arrows mark placodal expression. Dotted lines in B1âD1 indicate levels of sections shown in Figure 4âfigure supplement 5. Abbreviations: pA: anterior placodal region; pAD: anterior lateral line placode; pE: epibranchial placode; pLl: lateral line placodes; L: lens; pL: lens placode; pM: middle lateral line placode; pO: olfactory placode; vOt: otic vesicle; pP: posterior placodal region; pPrV: profundal/trigeminal placodes. |
|
|
Figure 4âfigure supplement 4. Expression of targets with persistent expression in placodes in whole-mount Xenopus embryos. Expression dynamics for each target are shown across a range of developmental stages: A1âF1 show expression in neural plate stage embryos, A2âF2 show early tail bud stage embryos and A3âF3 show late tail bud stage embryos. B4âD4 and B5 âD5 shows sections at level indicated in B3âD3, respectively (dotted lines). (A) Expression of PPE marker gene Six1 is shown as reference for placodal domains (for details see Pandur and Moody, 2000; Schlosser and Ahrens, 2004). (B) Atoh1 is initially expressed at very low levels in presumptive otic placodes at neural plate stages (B1). This expression becomes more pronounced in the otic vesicle at early tail bud stages (B2) concomitant with the initiation of expression in lateral line ganglia and strong expression in the hindbrain (B2; asterisk). Expression becomes more pronounced in all three regions at late tail bud stages (B3 âB5). (C) Gfi1a is expressed at high levels in haematopoietic cells during neural plate stages (C1; asterisk). At early tail bud stages (C2) expression becomes more pronounced and diffuse, and expression is also initiated in the otic vesicle. At late tail bud stages Gfi1a is expressed in lateral line placodes as well as otic vesicles as the haematopoietic expression begins to subside (C3âC5). (D) During neural plate stages Isl2 is expressed in the profundal and trigeminal placodes and in the anterior placodal region along the anterior edge of the neural plate (D1). At early tail bud stages Isl2 expression is maintained in the profundal and trigeminal placodes/ganglia as well as in otic and lateral line placodes/ganglia and primary neurons in the spinal cord (D2; asterisk). Expression is maintained in cranial ganglia at late tail bud stages (D3âD5) and becomes apparent in the forebrain and lens (D3; arrowhead). (E) During neural plate stages Pou4f1.2 is expressed in the profundal and trigeminal placodes as well as in a stripe of primary sensory neurons (E1; asterisk; see Figure 4âfigure supplement 5 for section). In early tail bud stages (E2) expression in the profundal/trigeminal placodes/ganglia and primary neurons is maintained, and expression in the otic and lateral line placodes is strengthened. Expression is maintained in all domains as well as in the cranial ganglia derived from placodes into late tail bud stages when expression becomes up-regulated in the retina (E3; diamond). Dotted line in E1 indicates the level of section shown in Figure 4â figure supplement 5. (F) Tlx1 is expressed in the presumptive ventral visceral arches at neural plate stages (F1; asterisk). This is maintained into early and late tail bud stages (F2 and F3), which also exhibit prominent expression in the profundal/trigeminal placodes and ganglia and the otic vesicle. Yellow and black arrows mark placodal expression. Bar in B4, C4 and D4: 100 μm (also for B5, C5 and D5, respectively). Abbreviations: pA: anterior placodal region; pAD: anterior lateral line placode; gAD: ganglion of the anterodorsal lateral line nerve; pE: epibranchial placode; pLl: lateral line placodes; L: lens; pL: lens placode; pM: middle lateral line placode; pO: olfactory placode; vOt: otic vesicle; pOt: presumptive otic placode; pPr: profundal placode; pP: posterior placodal region; pPL: posterior lateral line placode; pPrV: profundal/trigeminal placodes; pV: trigeminal placode; gV: ganglion of the trigeminal nerve. |
|
|
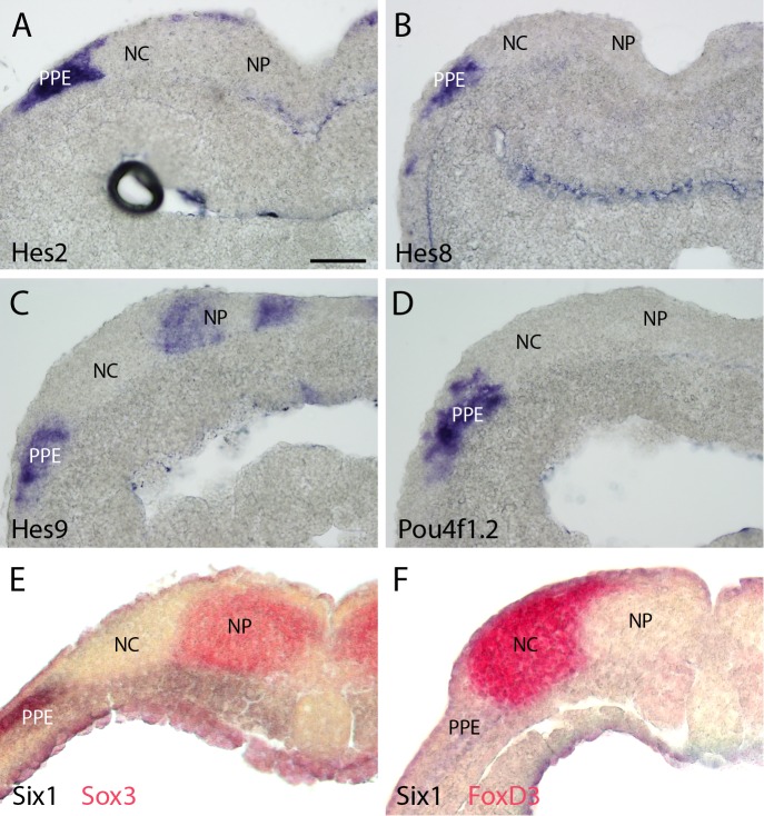
Figure 4âfigure supplement 5. Expression of selected targets in pre-placodal ectoderm (PPE) in sections through neural plate stage Xenopus embryos. Neural crest and (NC) and neural plate (NP) domains are indicated. (AâD): Hes2 (A), Hes8 (B), Hes9 (C) and Pou4f1.2 (D) are all expressed in parts of the PPE (for level of sections see Figure 4 âfigure supplements 3 and 4). While the exact boundaries of NC and NP cannot be determined in these sections, comparisons with sections through embryos stained by double in-situ-hybridisation for the PPE marker Six1 and the NP marker Sox3 (E) or Six1 and the NC marker FoxD3 (F) indicate that expression of each of these target genes is largely confined to the PPE although some overlap with the lateral NC region cannot be ruled out (E and F modified from Schlosser and Ahrens, 2004; Figure 6). Bar in A: 100 μm (also for BâF). |
|
|
Figure 5âfigure supplement 1. Effects of Six1 knockdown on target genes. Tail bud stage (AâG) and neural plate stage (HâJ) embryos after unilateral injection of Six1-MO1+2. In each case, lacZ was co-injected as a lineage tracer and panels A1âG1 show the control (un-injected) side and A2âG2 show the injected side. The injected side is positioned to the right in HâJ, as marked by blue lacZ staining (lacZ staining out of frame in some specimens). Arrows mark reductions in marker gene expression in placodal derivatives, and asterisks indicate increased expression. |
|
|
Figure 5âfigure supplement 2. Repression of Six1 target genes by Six1-EnR injection. Tail bud stage (AâC) and neural plate stage (DâI) embryos after unilateral injection of Six1-EnR. In each case, lacZ was co-injected as a lineage tracer and panels A1âC1 show the control (un-injected) side and A2âC2 show the injected side. The injected side is positioned to the right in DâI, as marked by blue lacZ staining (lacZ staining out of frame in some specimens). Arrows mark reductions in marker gene expression in placodal derivatives, and asterisks indicate increased expression. |
|
|
Figure 6. Up-regulation of target gene expression domains after overexpression of Six1. Tail bud stage embryos (AâF) after unilateral injection of Six1-GR and DEX induction at neural plate stage (16â18). In each case, lacZ was co-injected as a lineage tracer and panels A1âF1 show the control (un-injected) side and A2âF2 show the injected side. Arrows and arrowheads mark expansions in marker gene expression in placodal and non-placodal derivatives, respectively. |
|
|
Figure 7. Up-regulation of target gene expression domains after overexpression of Eya1. Tail bud stage embryos (AâG) after unilateral injection of Eya1-GR and DEX induction at neural plate stage (16â18). In each case, lacZ was co-injected as a lineage tracer and panels A1âG1 show the control (un-injected) side and A2âG2 show the injected side. Arrows and arrowheads mark expansions in marker gene expression in placodal and non-placodal derivatives, respectively. |
|
|
Figure 8. Down-regulation of target gene expression domains after overexpression of Six1. Tail bud stage embryos (AâH) after unilateral injection of Six1-GR and DEX induction at neural plate stage (16â18). In each case, lacZ was co-injected as a lineage tracer and panels A1âH1 show the control (un-injected) side and A2âH2 show the injected side. Arrows mark reductions in marker gene expression in placodal derivatives. |
|
|
Figure 9. Down-regulation of target gene expression domains after overexpression of Eya1. Tail bud stage embryos (AâJ) after unilateral injection of Eya1-GR and DEX induction at neural plate stage (16â18). In each case, lacZ was co-injected as a lineage tracer and panels A1âJ1 show the control (un-injected) side and A2âJ2 show the injected side. Arrows mark reductions in marker gene expression in placodal derivatives. |
|
|
Figure 10. Network summary for Six1/Eya1-activated gene regulation in the PPE. Six1/Eya1 act to promote neuronal differentiation, by activation of pro-neural genes (Ngn1, Atoh1), as well as progenitor state maintenance, by activation of genes such as SoxB1 and Hes genes. Arrows indicate direct (solid line) and indirect (dotted line) activation; barred lines show direct (solid line) and indirect (dotted line) repression. Evidence for interactions: Six1 positively autoregulates (Sato et al., 2012); Six1/Eya1 directly activate Sox2, Sox3, Hes8, Hes9, Ngn1, Atoh1, Isl2, Pou4f1.2, Tlx1 and Gfi1a (this study); Sox2 synergises with Six1/Eya1 (Ahmed et al., 2012b, 2012a); Sox2 directly activates Atoh1 (Ahmed et al., 2012a) and Ngn1 (Cimadamore et al., 2011); Atoh1 and Ngn1 indirectly repress each other (Gowan et al., 2001); Ngn1 indirectly represses Sox2 (Evsen et al., 2013); Ngn1 directly activates NeuroD1 (Seo et al., 2007); Atoh1 positively autoregulates (Helms et al., 2000); Atoh1 indirectly represses Sox2 (Neves et al., 2012) and activates Gfi1 (Wallis et al., 2003); NeuroD1 directly activates Pou4f1.2 (Hutcheson and Vetter, 2001) and Isl1 (Lee et al., 1995); Pou4f1.2 directly activates Gfi1 (Hertzano et al., 2004) and indirectly activates Tlx1 (Hutcheson and Vetter, 2001). |
|
|
crem (cAMP responsive element modulator ) gene expression in Xenopus laevis embryo, assayed via in situ hybridization, NF stage 24, lateral view, anterior right, dorsal up. |
|
|
fosb (FBJ murine osteosarcoma viral oncogene homolog B ) gene expression in Xenopus laevis embryo, assayed via in situ hybridization, NF stage 24, lateral view, anterior left, dorsal up. |
|
|
hes8 (hairy and enhancer of split 8) gene expression in Xenopus laevis embryo, assayed via in situ hybridization, NF stage 24, lateral view, anterior right, dorsal up. |
|
|
isl2 (ISL LIM homeobox 2) gene expression in Xenopus laevis embryo, assayed via in situ hybridization, NF stage 18, anterior view, dorsal up. |
|
|
isl2 (ISL LIM homeobox 2) gene expression in Xenopus laevis embryo, assayed via in situ hybridization, NF stage 24, lateral view, anterior left, dorsal up. |
|
|
tbx15 (T-box 15) gene expression in Xenopus laevis embryo, assayed via in situ hybridization, NF stage 18, anterior view, dorsal up. |
|
|
tbx15 (T-box 15 ) gene expression in Xenopus laevis embryo, assayed via in situ hybridization, NF stage 24, lateral view, anterior left, dorsal up. |
|
|
tlx1 (T cell leukemia homeobox 1) gene expression in Xenopus laevis embryo, assayed via in situ hybridization, NF stage 24, lateral view, anterior right, dorsal up. |
|
|
tlx1 (T cell leukemia homeobox 1) gene expression in Xenopus laevis embryo, at NF stage 18/19 (F1), NF stage 24 (F2) and NF stage 28 (F3), assayed via in situ hybridization. key: pPr profundal placode, pLl: lateral line placode, vOT: otic vesicle, pV: trigeminal; ganglion/nerve, * indicates expression in ventral mesoderm surrounding pharynx, heart and anterior foregut regions. |
|
|
mab21l2 (mab-21-like 2l) gene expression in Xenopus laevis embryo, at NF stage 18/19 (E1), NF stage 24 (E2) and NF stage 28 (E3), assayed via in situ hybridization. key: pL: lens placode; L. lens; Nc; neural crest; arrowheads: midbrain; diamond: spinal cord |
|
|
hes5.4 (hairy and enhancer of split 5 gene 4) gene expression in Xenopus laevis embryo, at NF stage 18/19 (C1), NF stage 24 (C2) and NF stage 28 (C3), assayed via in situ hybridization. key: pPrzV profundal/trigeminal placodes; pA anterior placodal area; pAD anterior lateral line placode; pE: epibranchial placode; pO: olfactory placode; vOt: otic vesicle; pLl: lateral line placodes;pM: middle lateral line placode |
|
|
hes5.7 (hairy and enhancer of split 5, gene 7) gene expression in Xenopus laevis embryo, at NF stage 18/19 (D1), NF stage 24-28 (D2) and NF stage 28/30 (D3), assayed via in situ hybridization. KEY: pA: anterior placodal area; pAD: anterior lateral line placode; pM: middle lateral line placode; pO: olfactory placode; vOt: otic vesicle; pPrV: profundal/trigeminal placodes. |
|
|
sim1 (SIM bHLH transcription factor 1) gene expression in Xenopus laevis embryo, head region, assayed via in situ hybridization, NF stage 28, lateral view, anterior left, dorsal up. |
|
|
Figure 4âfigure supplement 2. Expression of targets that broadly overlap with PPE in whole-mount Xenopus embryos.Expression dynamics for each target are shown across a range of developmental stages: A1âE1 show expression in neural plate stage embryos, A2âE2 show early tail bud stage embryos and A3âE3 show late tail bud stage embryos. (A) Expression of PPE marker gene Six1 is shown as reference for placodal domains (for details see Pandur and Moody, 2000; Schlosser and Ahrens, 2004). (B) Crem is initially expressed broadly in paraxial mesoderm (B1; asterisk) and cranial ectoderm (B1; arrowhead) at neural plate stages and in pharyngeal arches and overlying ectoderm at early and late tail bud stages (B2 and B3Â ; diamond). (C) FosB is expressed in a broad pattern across the cranial ectoderm and trunk mesoderm at both neural fold and early tail bud stages (C1and C2). At late tail bud stages expression is maintained in cranial ectoderm as well as becoming apparent in the migrating neural crest cells (Nc) and weakly in the somites (C3; arrowhead). (D) Znf214 is expressed broadly across the ectoderm at all developmental stages (D1âD3). At both early and late tail bud stages there is expression in the migrating neural crest cells (Nc) as well as in the retina (D2Â and D3; asterisk), and in late tail bud stages Znf214 is expressed in the otic vesicle and lens. (E) Ripply3 is expressed broadly in the posterior placodal region at neural fold stages (E1). At both early and late tail bud stages expression is confined to posterior cranial ectoderm (E2Â and E3; asterisk). Yellow arrows mark placodal expression. Abbreviations: pA: anterior placodal region; pAD: anterior lateral line placode; pE: epibranchial placode; L: lens; pM: middle lateral line placode; pO: olfactory placode; vOt: otic vesicle; pP: posterior placodal region; pPrV: profundal/trigeminal placodes.DOI: http://dx.doi.org/10.7554/eLife.17666.011 |
|
|
Figure 4âfigure supplement 3. Expression of targets with dynamic/transient expression pattern in placodes in whole-mount Xenopus embryos.Expression dynamics for each target are shown across a range of developmental stages: A1âE1 show expression in neural plate stage embryos, A2âE2 show early tail bud stage embryos and A3âE3 show late tail bud stage embryos. (A) Expression of PPE marker gene Six1 is shown as reference for placodal domains (for details see Pandur and Moody, 2000; Schlosser and Ahrens, 2004). (B) Hes2 is expressed very strongly in a broad region corresponding to the posterior placodal domain including the prospective otic and lateral line placodes, as well as weakly in a scattered subset of neuroectodermal cells (B1; asterisk) at neural plate stages (see Figure 4âfigure supplement 5 for section). Expression is later restricted to the otic vesicle and a new expression domain becomes established in the developing retina at early and late tail bud stages (B2 and B3; arrowhead). (C) During neural plate stages (C1), Hes8 is expressed in the developing profundal and trigeminal placodes as well as in the anterior placodal region, the anterior neural plate (C1 ; asterisk) and the primary neurons (motor neurons, intermediary neurons and sensory neurons) of the posterior neural plate (C1; arrowheads; see Figure 4â figure supplement 5 for section). In early tail bud stages (C2) trigeminal expression is lost and replaced by expression in the otic vesicle, as well as lateral line, epibranchial and olfactory placodes. Throughout late tail bud stages (C3), expression is maintained in these regions and the brain (C3; cross) and is initiated in the retina (C3; diamond). (D) During neural plate stages (D1), Hes9 is expressed in the developing profundal and trigeminal placodes as well as in the anterior placodal region, the anterior neural plate (D1; asterisk) and the primary neurons (motor neurons, intermediary neurons and sensory neurons) of the posterior neural plate (D1; arrowheads; see Figure 4âfigure supplement 5 for section). In early tail bud stages (D2) trigeminal expression is lost but expression is apparent in the olfactory placodes, as well as in the otic and lateral line placodes and retina (D2; diamond). In late tail bud stages (D3) Hes9 is expressed broadly thoughout the brain (D3 ; cross), and is maintained in the lateral line and olfactory placodes as well as the otic vesicle. (E) During neural plate stages (E1), Mab21l2b is expressed in the prospective lens placode, as well as in the eye field (prospective retina) of the forebrain (E1; asterisk) and the prospective midbrain (E1; arrowhead). At early tail bud stages expression in the lens and midbrain is maintained and its expression becomes apparent in the hindbrain (E2; diamond). In late tail bud stages Mab21l2b is additionally prominently expressed in migrating neural crest cells (E3 ; Nc). (F) During neural plate stages Sox21 is expressed broadly throughout the anterior neural plate (F1; asterisk). At early tail bud stages (F2), this expression becomes confined to the forebrain (asterisk in F2) and midbrain-hindbrain boundary (arrowhead in F2) and is maintained into late tail bud stages, (F3). In late tail bud stages, Sox21 is also expressed in the olfactory placode, otic vesicle and becomes up-regulated in the hindbrain (F3; diamond). Yellow arrows mark placodal expression. Dotted lines in B1âD1 indicate levels of sections shown in Figure 4âfigure supplement 5. Abbreviations: pA: anterior placodal region; pAD: anterior lateral line placode; pE: epibranchial placode; pLl: lateral line placodes; L: lens; pL: lens placode; pM: middle lateral line placode; pO: olfactory placode; vOt: otic vesicle; pP: posterior placodal region; pPrV: profundal/trigeminal placodes.DOI: http://dx.doi.org/10.7554/eLife.17666.012 |
|
|
Figure 4âfigure supplement 4. Expression of targets with persistent expression in placodes in whole-mount Xenopus embryos.Expression dynamics for each target are shown across a range of developmental stages: A1âF1 show expression in neural plate stage embryos, A2âF2 show early tail bud stage embryos and A3âF3 show late tail bud stage embryos. B4âD4 and B5 âD5 shows sections at level indicated in B3âD3, respectively (dotted lines). (A) Expression of PPE marker gene Six1 is shown as reference for placodal domains (for details see Pandur and Moody, 2000; Schlosser and Ahrens, 2004). (B) Atoh1 is initially expressed at very low levels in presumptive otic placodes at neural plate stages (B1). This expression becomes more pronounced in the otic vesicle at early tail bud stages (B2) concomitant with the initiation of expression in lateral line ganglia and strong expression in the hindbrain (B2; asterisk). Expression becomes more pronounced in all three regions at late tail bud stages (B3 âB5). (C) Gfi1a is expressed at high levels in haematopoietic cells during neural plate stages (C1; asterisk). At early tail bud stages (C2) expression becomes more pronounced and diffuse, and expression is also initiated in the otic vesicle. At late tail bud stages Gfi1a is expressed in lateral line placodes as well as otic vesicles as the haematopoietic expression begins to subside (C3âC5). (D) During neural plate stages Isl2 is expressed in the profundal and trigeminal placodes and in the anterior placodal region along the anterior edge of the neural plate (D1). At early tail bud stages Isl2 expression is maintained in the profundal and trigeminal placodes/ganglia as well as in otic and lateral line placodes/ganglia and primary neurons in the spinal cord (D2; asterisk). Expression is maintained in cranial ganglia at late tail bud stages (D3âD5) and becomes apparent in the forebrain and lens (D3; arrowhead). (E) During neural plate stages Pou4f1.2 is expressed in the profundal and trigeminal placodes as well as in a stripe of primary sensory neurons (E1; asterisk; see Figure 4âfigure supplement 5 for section). In early tail bud stages (E2) expression in the profundal/trigeminal placodes/ganglia and primary neurons is maintained, and expression in the otic and lateral line placodes is strengthened. Expression is maintained in all domains as well as in the cranial ganglia derived from placodes into late tail bud stages when expression becomes up-regulated in the retina (E3; diamond). Dotted line in E1 indicates the level of section shown in Figure 4â figure supplement 5. (F) Tlx1 is expressed in the presumptive ventral visceral arches at neural plate stages (F1; asterisk). This is maintained into early and late tail bud stages (F2 and F3), which also exhibit prominent expression in the profundal/trigeminal placodes and ganglia and the otic vesicle. Yellow and black arrows mark placodal expression. Bar in B4, C4 and D4: 100 μm (also for B5, C5 and D5, respectively). Abbreviations: pA: anterior placodal region; pAD: anterior lateral line placode; gAD: ganglion of the anterodorsal lateral line nerve; pE: epibranchial placode; pLl: lateral line placodes; L: lens; pL: lens placode; pM: middle lateral line placode; pO: olfactory placode; vOt: otic vesicle; pOt: presumptive otic placode; pPr: profundal placode; pP: posterior placodal region; pPL: posterior lateral line placode; pPrV: profundal/trigeminal placodes; pV: trigeminal placode; gV: ganglion of the trigeminal nerve.DOI: http://dx.doi.org/10.7554/eLife.17666.013 |
|
|
Figure 4âfigure supplement 5. Expression of selected targets in pre-placodal ectoderm (PPE) in sections through neural plate stage Xenopus embryos.Neural crest and (NC) and neural plate (NP) domains are indicated. (AâD): Hes2 (A), Hes8 (B), Hes9 (C) and Pou4f1.2 (D) are all expressed in parts of the PPE (for level of sections see Figure 4 âfigure supplements 3 and 4). While the exact boundaries of NC and NP cannot be determined in these sections, comparisons with sections through embryos stained by double in-situ-hybridisation for the PPE marker Six1 and the NP marker Sox3 (E) or Six1 and the NC marker FoxD3 (F) indicate that expression of each of these target genes is largely confined to the PPE although some overlap with the lateral NC region cannot be ruled out (E and F modified from Schlosser and Ahrens, 2004; Figure 6). Bar in A: 100 μm (also for BâF).DOI: http://dx.doi.org/10.7554/eLife.17666.014 |
|
|
Figure 5âfigure supplement 2. Repression of Six1 target genes by Six1-EnR injection.Tail bud stage (AâC) and neural plate stage (DâI) embryos after unilateral injection of Six1-EnR. In each case, lacZ was co-injected as a lineage tracer and panels A1âC1 show the control (un-injected) side and A2âC2 show the injected side. The injected side is positioned to the right in DâI, as marked by blue lacZ staining (lacZ staining out of frame in some specimens). Arrows mark reductions in marker gene expression in placodal derivatives, and asterisks indicate increased expression.DOI: http://dx.doi.org/10.7554/eLife.17666.017 |
|
|
Figure 3—figure supplement 1. Gene set enrichment analysis (GSEA) showing enriched clusters of functional terms for down-regulated genes in different treatment groups.In each case, treatment groups considered are highlighted and outlined in bold in the accompanying Venn diagram. Yellow colouring indicates Six1 treatment; blue shows Eya1 and green Six1+Eya1. Enrichment scores ≥1.5 are reported for individual treatment groups (Ind.) and, where available, ≥0.5 for merged treatment groups (Merg.). (A) Down-regulated genes from all treatment groups included in analysis; (B) Six1 overexpression only; (C) Eya1 overexpression only. (D) Genes differentially expressed after overexpression of both Six1 and Eya1; (E) exclusively after Six1 overexpression.DOI: http://dx.doi.org/10.7554/eLife.17666.006 |
References [+] :
Abdolazimi,
Selection of cell fate in the organ of Corti involves the integration of Hes/Hey signaling at the Atoh1 promoter.
2016, Pubmed
Abdolazimi, Selection of cell fate in the organ of Corti involves the integration of Hes/Hey signaling at the Atoh1 promoter. 2016, Pubmed
Ahmed, EYA1 and SIX1 drive the neuronal developmental program in cooperation with the SWI/SNF chromatin-remodeling complex and SOX2 in the mammalian inner ear. 2012, Pubmed
Ahmed, Eya1-Six1 interaction is sufficient to induce hair cell fate in the cochlea by activating Atoh1 expression in cooperation with Sox2. 2012, Pubmed
Ahrens, Tissues and signals involved in the induction of placodal Six1 expression in Xenopus laevis. 2005, Pubmed , Xenbase
Akam, Hox genes: from master genes to micromanagers. 1998, Pubmed
Ando, Slc12a2 is a direct target of two closely related homeobox proteins, Six1 and Six4. 2005, Pubmed
Bachy, The LIM-homeodomain gene family in the developing Xenopus brain: conservation and divergences with the mouse related to the evolution of the forebrain. 2001, Pubmed , Xenbase
Bergsland, Sequentially acting Sox transcription factors in neural lineage development. 2011, Pubmed
Bermingham, Math1: an essential gene for the generation of inner ear hair cells. 1999, Pubmed
Bhattacharyya, Segregation of lens and olfactory precursors from a common territory: cell sorting and reciprocity of Dlx5 and Pax6 expression. 2004, Pubmed
Blevins, The SIX1-EYA transcriptional complex as a therapeutic target in cancer. 2015, Pubmed
Bolger, Trimmomatic: a flexible trimmer for Illumina sequence data. 2014, Pubmed
Bricaud, Balancing cell numbers during organogenesis: Six1a differentially affects neurons and sensory hair cells in the inner ear. 2011, Pubmed
Brugmann, Six1 promotes a placodal fate within the lateral neurogenic ectoderm by functioning as both a transcriptional activator and repressor. 2004, Pubmed , Xenbase
Bylund, Vertebrate neurogenesis is counteracted by Sox1-3 activity. 2003, Pubmed
Chai, Transcriptional activation of the SALL1 by the human SIX1 homeodomain during kidney development. 2006, Pubmed
Cheng, Tlx3 and Tlx1 are post-mitotic selector genes determining glutamatergic over GABAergic cell fates. 2004, Pubmed
Christophorou, Activation of Six1 target genes is required for sensory placode formation. 2009, Pubmed
Cimadamore, Human ESC-derived neural crest model reveals a key role for SOX2 in sensory neurogenesis. 2011, Pubmed
Coletta, The Six1 homeoprotein stimulates tumorigenesis by reactivation of cyclin A1. 2004, Pubmed
Coolen, Phylogenomic analysis and expression patterns of large Maf genes in Xenopus tropicalis provide new insights into the functional evolution of the gene family in osteichthyans. 2005, Pubmed , Xenbase
Cunningham, Cloning and developmental expression of the soxB2 genes, sox14 and sox21, during Xenopus laevis embryogenesis. 2008, Pubmed , Xenbase
Davis, Pituitary gland development and disease: from stem cell to hormone production. 2013, Pubmed
De Robertis, Patterning by genes expressed in Spemann's organizer. 1997, Pubmed , Xenbase
Dhorne-Pollet, Validation of novel reference genes for RT-qPCR studies of gene expression in Xenopus tropicalis during embryonic and post-embryonic development. 2013, Pubmed , Xenbase
Dykes, Brn3a and Islet1 act epistatically to regulate the gene expression program of sensory differentiation. 2011, Pubmed
Eng, Coordinated regulation of gene expression by Brn3a in developing sensory ganglia. 2004, Pubmed
Evsen, Progression of neurogenesis in the inner ear requires inhibition of Sox2 transcription by neurogenin1 and neurod1. 2013, Pubmed
Ghanbari, Molecular cloning and embryonic expression of Xenopus Six homeobox genes. 2001, Pubmed , Xenbase
Gowan, Crossinhibitory activities of Ngn1 and Math1 allow specification of distinct dorsal interneurons. 2001, Pubmed
Graham, SOX2 functions to maintain neural progenitor identity. 2003, Pubmed
Green, EBF factors drive expression of multiple classes of target genes governing neuronal development. 2011, Pubmed , Xenbase
Grifone, Eya1 and Eya2 proteins are required for hypaxial somitic myogenesis in the mouse embryo. 2007, Pubmed
Grocott, The peripheral sensory nervous system in the vertebrate head: a gene regulatory perspective. 2012, Pubmed
Harland, In situ hybridization: an improved whole-mount method for Xenopus embryos. 1991, Pubmed , Xenbase
Helms, Autoregulation and multiple enhancers control Math1 expression in the developing nervous system. 2000, Pubmed
Hertzano, Transcription profiling of inner ears from Pou4f3(ddl/ddl) identifies Gfi1 as a target of the Pou4f3 deafness gene. 2004, Pubmed
Hopwood, MyoD expression in the forming somites is an early response to mesoderm induction in Xenopus embryos. 1989, Pubmed , Xenbase
Huang, Systematic and integrative analysis of large gene lists using DAVID bioinformatics resources. 2009, Pubmed
Huang, The DAVID Gene Functional Classification Tool: a novel biological module-centric algorithm to functionally analyze large gene lists. 2007, Pubmed
Hudson, Xsox17alpha and -beta mediate endoderm formation in Xenopus. 1997, Pubmed , Xenbase
Hutcheson, The bHLH factors Xath5 and XNeuroD can upregulate the expression of XBrn3d, a POU-homeodomain transcription factor. 2001, Pubmed , Xenbase
Janesick, RIPPLY3 is a retinoic acid-inducible repressor required for setting the borders of the pre-placodal ectoderm. 2012, Pubmed , Xenbase
Jin, Identification of novel direct targets of Drosophila Sine oculis and Eyes absent by integration of genome-wide data sets. 2016, Pubmed
Jusiak, Regulation of Drosophila eye development by the transcription factor Sine oculis. 2014, Pubmed
Kim, TopHat2: accurate alignment of transcriptomes in the presence of insertions, deletions and gene fusions. 2013, Pubmed
Kobayashi, Expression dynamics and functions of Hes factors in development and diseases. 2014, Pubmed
Kochhar, Branchio-oto-renal syndrome. 2007, Pubmed
Kolm, Efficient hormone-inducible protein function in Xenopus laevis. 1995, Pubmed , Xenbase
Kozlowski, The zebrafish dog-eared mutation disrupts eya1, a gene required for cell survival and differentiation in the inner ear and lateral line. 2005, Pubmed
Kumar, The sine oculis homeobox (SIX) family of transcription factors as regulators of development and disease. 2009, Pubmed
Laclef, Thymus, kidney and craniofacial abnormalities in Six 1 deficient mice. 2003, Pubmed
Langmead, Fast gapped-read alignment with Bowtie 2. 2012, Pubmed
Lanier, Brn3a regulates the transition from neurogenesis to terminal differentiation and represses non-neural gene expression in the trigeminal ganglion. 2009, Pubmed
Lee, Conversion of Xenopus ectoderm into neurons by NeuroD, a basic helix-loop-helix protein. 1995, Pubmed , Xenbase
Li, Eya protein phosphatase activity regulates Six1-Dach-Eya transcriptional effects in mammalian organogenesis. 2003, Pubmed
Li, Six1 promotes proliferation of pancreatic cancer cells via upregulation of cyclin D1 expression. 2013, Pubmed
Liu, Six1 regulates MyoD expression in adult muscle progenitor cells. 2013, Pubmed
Liu, The DACH/EYA/SIX gene network and its role in tumor initiation and progression. 2016, Pubmed
Ma, neurogenin1 is essential for the determination of neuronal precursors for proximal cranial sensory ganglia. 1998, Pubmed , Xenbase
Ma, Identification of neurogenin, a vertebrate neuronal determination gene. 1996, Pubmed , Xenbase
Maier, Sensational placodes: neurogenesis in the otic and olfactory systems. 2014, Pubmed
Martin, Hedgehog signaling regulates the amount of hypaxial muscle development during Xenopus myogenesis. 2007, Pubmed , Xenbase
McCabe, Discovery of genes implicated in placode formation. 2004, Pubmed
Mi, PANTHER in 2013: modeling the evolution of gene function, and other gene attributes, in the context of phylogenetic trees. 2013, Pubmed
Millimaki, Zebrafish atoh1 genes: classic proneural activity in the inner ear and regulation by Fgf and Notch. 2007, Pubmed
Mizuseki, Xenopus Zic-related-1 and Sox-2, two factors induced by chordin, have distinct activities in the initiation of neural induction. 1998, Pubmed , Xenbase
Neves, The prosensory function of Sox2 in the chicken inner ear relies on the direct regulation of Atoh1. 2012, Pubmed
Nieber, Comparative expression analysis of the neurogenins in Xenopus tropicalis and Xenopus laevis. 2009, Pubmed , Xenbase
Nitta, Expression of Sox1 during Xenopus early embryogenesis. 2006, Pubmed , Xenbase
Northcutt, The genesis of neural crest and epidermal placodes: a reinterpretation of vertebrate origins. 1983, Pubmed
Ohto, Cooperation of six and eya in activation of their target genes through nuclear translocation of Eya. 1999, Pubmed
Oschwald, Localization of a nervous system-specific class II beta-tubulin gene in Xenopus laevis embryos by whole-mount in situ hybridization. 1991, Pubmed , Xenbase
Pandur, Xenopus Six1 gene is expressed in neurogenic cranial placodes and maintained in the differentiating lateral lines. 2000, Pubmed , Xenbase
Patterson, Hox11-family genes XHox11 and XHox11L2 in xenopus: XHox11L2 expression is restricted to a subset of the primary sensory neurons. 1999, Pubmed , Xenbase
Penzel, Characterization and early embryonic expression of a neural specific transcription factor xSOX3 in Xenopus laevis. 1997, Pubmed , Xenbase
Petit, Molecular genetics of hearing loss. 2001, Pubmed
Pevny, SOX genes and neural progenitor identity. 2005, Pubmed
Pieper, Origin and segregation of cranial placodes in Xenopus laevis. 2011, Pubmed , Xenbase
Rezsohazy, Cellular and molecular insights into Hox protein action. 2015, Pubmed
Ruf, SIX1 mutations cause branchio-oto-renal syndrome by disruption of EYA1-SIX1-DNA complexes. 2004, Pubmed
Saint-Jeannet, Establishing the pre-placodal region and breaking it into placodes with distinct identities. 2014, Pubmed , Xenbase
Salanga, ETS family protein ETV2 is required for initiation of the endothelial lineage but not the hematopoietic lineage in the Xenopus embryo. 2010, Pubmed , Xenbase
Sato, Regulation of Six1 expression by evolutionarily conserved enhancers in tetrapods. 2012, Pubmed
Schlosser, Induction and specification of cranial placodes. 2006, Pubmed , Xenbase
Schlosser, Molecular anatomy of placode development in Xenopus laevis. 2004, Pubmed , Xenbase
Schlosser, Vertebrate cranial placodes as evolutionary innovations--the ancestor's tale. 2015, Pubmed , Xenbase
Schlosser, Development of neurogenic placodes in Xenopus laevis. 2000, Pubmed , Xenbase
Schlosser, Eya1 and Six1 promote neurogenesis in the cranial placodes in a SoxB1-dependent fashion. 2008, Pubmed , Xenbase
Schlosser, Making senses development of vertebrate cranial placodes. 2010, Pubmed , Xenbase
Seo, Neurogenin and NeuroD direct transcriptional targets and their regulatory enhancers. 2007, Pubmed , Xenbase
Simões-Costa, Transcriptome analysis reveals novel players in the cranial neural crest gene regulatory network. 2014, Pubmed
Sölter, Characterization and function of the bHLH-O protein XHes2: insight into the mechanisms controlling retinal cell fate decision. 2006, Pubmed , Xenbase
Streit, Extensive cell movements accompany formation of the otic placode. 2002, Pubmed
Su, Control of hair cell development by molecular pathways involving Atoh1, Hes1 and Hes5. 2015, Pubmed
Tadjuidje, The Eyes Absent proteins in development and disease. 2013, Pubmed
Taverner, Microarray-based identification of VegT targets in Xenopus. 2005, Pubmed , Xenbase
Thompson, Pax genes during neural development and their potential role in neuroregeneration. 2011, Pubmed
Trapnell, Differential gene and transcript expression analysis of RNA-seq experiments with TopHat and Cufflinks. 2012, Pubmed
von Bubnoff, The Xenopus laevis homeobox gene Xgbx-2 is an early marker of anteroposterior patterning in the ectoderm. 1996, Pubmed , Xenbase
Wallis, The zinc finger transcription factor Gfi1, implicated in lymphomagenesis, is required for inner ear hair cell differentiation and survival. 2003, Pubmed
Xiang, Requirement for Brn-3c in maturation and survival, but not in fate determination of inner ear hair cells. 1998, Pubmed
Xu, Eya1-deficient mice lack ears and kidneys and show abnormal apoptosis of organ primordia. 1999, Pubmed
Xu, The EYA-SO/SIX complex in development and disease. 2013, Pubmed
Xu, Fine-grained fate maps for the ophthalmic and maxillomandibular trigeminal placodes in the chick embryo. 2008, Pubmed
Yan, Microarray identification of novel genes downstream of Six1, a critical factor in cranial placode, somite, and kidney development. 2015, Pubmed , Xenbase
Yu, The homeoprotein six1 transcriptionally activates multiple protumorigenic genes but requires ezrin to promote metastasis. 2006, Pubmed
Zheng, The role of Six1 in mammalian auditory system development. 2003, Pubmed
Zou, Eya1 and Six1 are essential for early steps of sensory neurogenesis in mammalian cranial placodes. 2004, Pubmed
Zou, Eya1 gene dosage critically affects the development of sensory epithelia in the mammalian inner ear. 2008, Pubmed
