XB-ART-52368
Mol Psychiatry
2018 Feb 01;232:222-230. doi: 10.1038/mp.2016.135.
Show Gene links
Show Anatomy links
De novo and inherited mutations in the X-linked gene CLCN4 are associated with syndromic intellectual disability and behavior and seizure disorders in males and females.
???displayArticle.abstract???
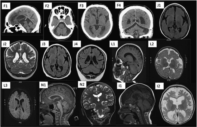
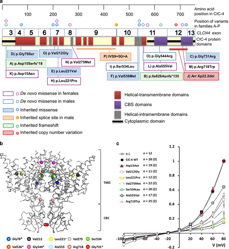
Variants in CLCN4, which encodes the chloride/hydrogen ion exchanger CIC-4 prominently expressed in brain, were recently described to cause X-linked intellectual disability and epilepsy. We present detailed phenotypic information on 52 individuals from 16 families with CLCN4-related disorder: 5 affected females and 2 affected males with a de novo variant in CLCN4 (6 individuals previously unreported) and 27 affected males, 3 affected females and 15 asymptomatic female carriers from 9 families with inherited CLCN4 variants (4 families previously unreported). Intellectual disability ranged from borderline to profound. Behavioral and psychiatric disorders were common in both child- and adulthood, and included autistic features, mood disorders, obsessive-compulsive behaviors and hetero- and autoaggression. Epilepsy was common, with severity ranging from epileptic encephalopathy to well-controlled seizures. Several affected individuals showed white matter changes on cerebral neuroimaging and progressive neurological symptoms, including movement disorders and spasticity. Heterozygous females can be as severely affected as males. The variability of symptoms in females is not correlated with the X inactivation pattern studied in their blood. The mutation spectrum includes frameshift, missense and splice site variants and one single-exon deletion. All missense variants were predicted to affect CLCN4's function based on in silico tools and either segregated with the phenotype in the family or were de novo. Pathogenicity of all previously unreported missense variants was further supported by electrophysiological studies in Xenopus laevis oocytes. We compare CLCN4-related disorder with conditions related to dysfunction of other members of the CLC family.
???displayArticle.pubmedLink??? 27550844
???displayArticle.pmcLink??? PMC5794876
???displayArticle.link??? Mol Psychiatry
???displayArticle.grants???
Species referenced: Xenopus laevis
Genes referenced: cic clcn4
GO keywords: chloride channel activity
???displayArticle.disOnts??? syndromic intellectual disability
???displayArticle.omims??? RAYNAUD-CLAES SYNDROME; MRXSRC
???attribute.lit??? ???displayArticles.show???
References [+] :
Adkins,
Potential role of cardiac chloride channels and transporters as novel therapeutic targets.
2015, Pubmed
