Click here to close Hello! We notice that you are using Internet Explorer, which is not supported by Xenbase and may cause the site to display incorrectly. We suggest using a current version of Chrome, FireFox, or Safari.
XB-ART-52013
Nature 2016 Mar 10;5317593:237-40. doi: 10.1038/nature16974.
Show Gene links Show Anatomy links

MARCKS-like protein is an initiating molecule in axolotl appendage regeneration.

Sugiura T, Wang H, Barsacchi R, Simon A, Tanaka EM.


???displayArticle.abstract???
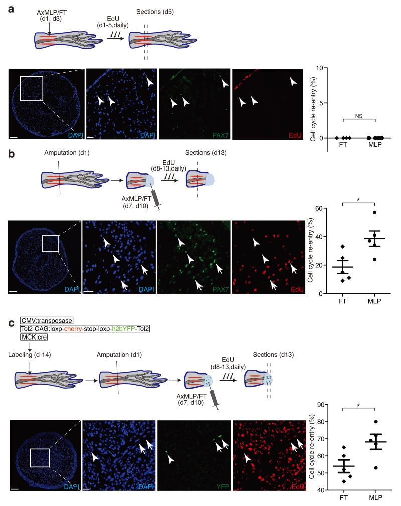
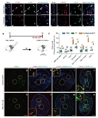
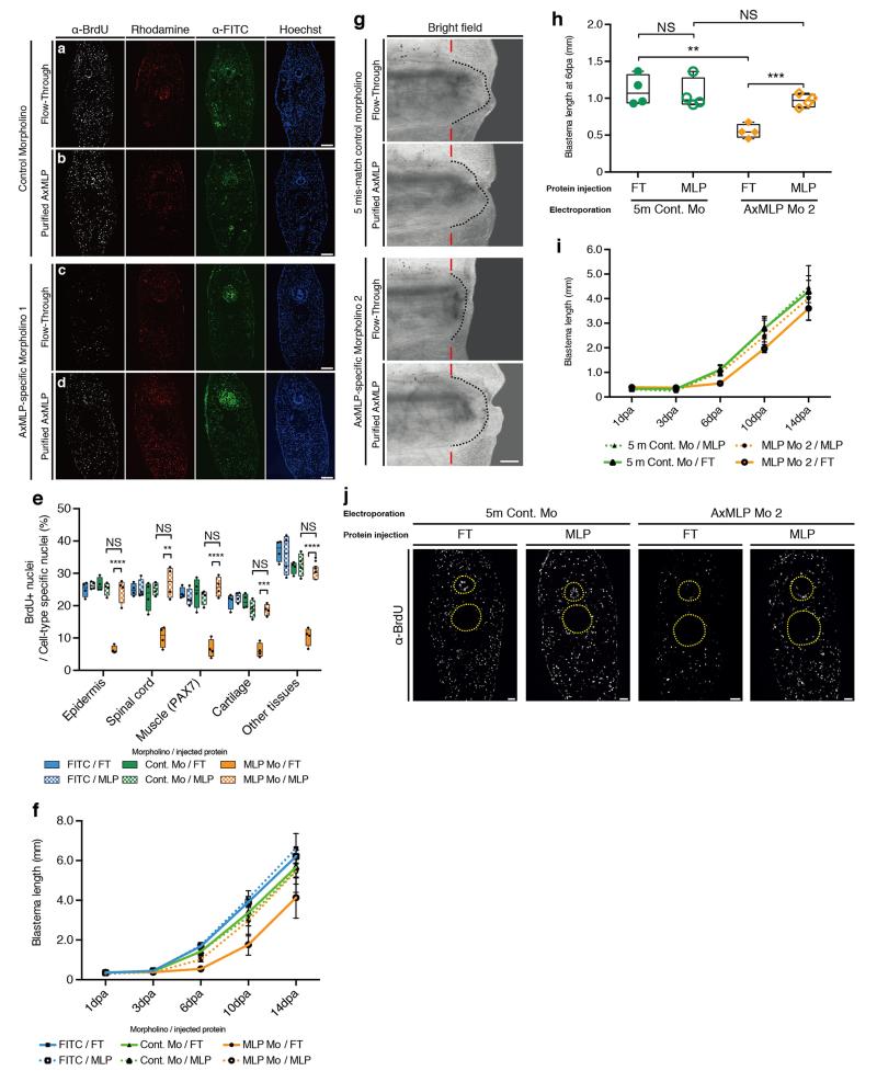
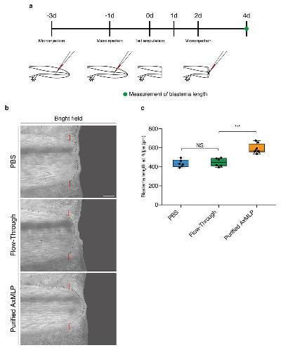
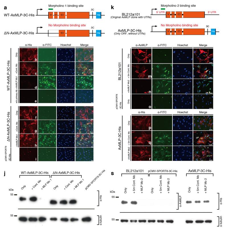
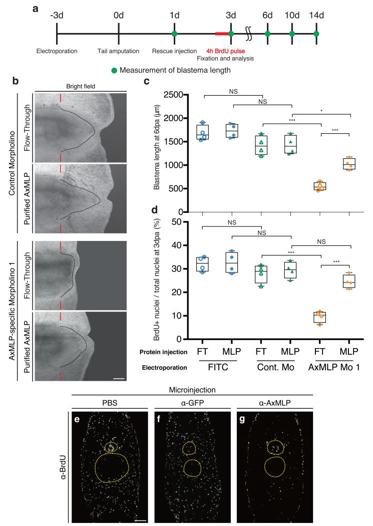
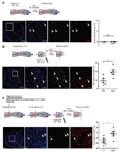
Identifying key molecules that launch regeneration has been a long-sought goal. Multiple regenerative animals show an initial wound-associated proliferative response that transits into sustained proliferation if a considerable portion of the body part has been removed. In the axolotl, appendage amputation initiates a round of wound-associated cell cycle induction followed by continued proliferation that is dependent on nerve-derived signals. A wound-associated molecule that triggers the initial proliferative response to launch regeneration has remained obscure. Here, using an expression cloning strategy followed by in vivo gain- and loss-of-function assays, we identified axolotl MARCKS-like protein (MLP) as an extracellularly released factor that induces the initial cell cycle response during axolotl appendage regeneration. The identification of a regeneration-initiating molecule opens the possibility of understanding how to elicit regeneration in other animals.

???displayArticle.pubmedLink??? 26934225
???displayArticle.pmcLink??? PMC4795554
???displayArticle.link??? Nature
???displayArticle.grants??? [+]

Species referenced: Xenopus
Genes referenced: gnl3 marcks marcksl1


???attribute.lit??? ???displayArticles.show???
References [+] :
Aderem, The MARCKS brothers: a family of protein kinase C substrates. 1992, Pubmed