Click here to close
Hello! We notice that you are using Internet Explorer, which is not supported by Xenbase and may cause the site to display incorrectly.
We suggest using a current version of Chrome,
FireFox, or Safari.
Sci Rep
2016 Mar 31;6:23825. doi: 10.1038/srep23825.
Show Gene links
Show Anatomy links
Sex reversal assessments reveal different vulnerability to endocrine disruption between deeply diverged anuran lineages.
Tamschick S, Rozenblut-Kościsty B, Ogielska M, Lehmann A, Lymberakis P, Hoffmann F, Lutz I, Kloas W, Stöck M.
???displayArticle.abstract???
Multiple anthropogenic stressors cause worldwide amphibian declines. Among several poorly investigated causes is global pollution of aquatic ecosystems with endocrine disrupting compounds (EDCs). These substances interfere with the endocrine system and can affect the sexual development of vertebrates including amphibians. We test the susceptibility to an environmentally relevant contraceptive, the artificial estrogen 17α-ethinylestradiol (EE2), simultaneously in three deeply divergent systematic anuran families, a model-species, Xenopus laevis (Pipidae), and two non-models, Hyla arborea (Hylidae) and Bufo viridis (Bufonidae). Our new approach combines synchronized tadpole exposure to three EE2-concentrations (50, 500, 5,000 ng/L) in a flow-through-system and pioneers genetic and histological sexing of metamorphs in non-model anurans for EDC-studies. This novel methodology reveals striking quantitative differences in genetic-male-to-phenotypic-female sex reversal in non-model vs. model species. Our findings qualify molecular sexing in EDC-analyses as requirement to identify sex reversals and state-of-the-art approaches as mandatory to detect species-specific vulnerabilities to EDCs in amphibians.
Figure 1. Quantities of sex reversal (contradiction between genetic and phenotypic sex) under the influence of 17α-ethinylestradiol (EE2) in three deeply diverged anuran amphibians.Percentages of genetic-male-to-phenotypic-female sex reversal in African clawed frogs (Xenopus laevis, red), European tree frogs (Hyla arborea, green), and European green toads (Bufo viridis, blue) exposed to three concentrations of EE2 and in control animals; pooled data from two replicate experiments for each treatment or control. Susceptibility differences in genetic-male-to-phenotypic-female sex reversal occurred at all concentrations: (*) significant differences between clawed frogs and tree frogs (p ≤ 0.010); (x) significant differences between clawed frogs and green toads (p ≤ 0.001). Statistical analyses were conducted using cross-tabulation, Chi square and Fisher´s exact tests (α = 0.05).
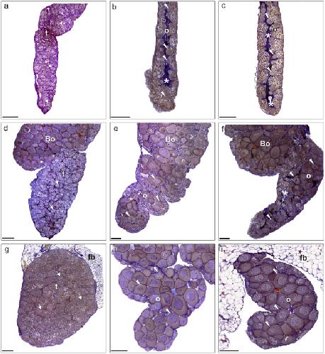
Figure 2. Histological sections of three anuran species under the influence of 17α-ethinylestradiol (EE2).(aâc) Normal male, normal female and phenotypically sex-reversed gonad of African clawed frog (Xenopus laevis). (dâf) Normal male, normal female and phenotypically sex-reversed gonad of European green toad (Bufo viridis). (gâi) Normal male, normal female and phenotypically sex-reversed gonad of European tree frog (Hyla arborea). Bo â Bidderâs organ, characteristic of bufonid gonads (for details: Methods); fb â fat body; o â ovary; t â testis; arrows indicate seminiferous tubules; *ovarian cavity; arrowheads â diplotene oocytes. Scale bars are 100 micrometers.
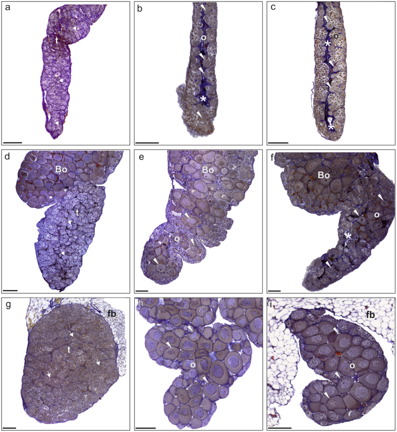
Figure 3. Histological sections of mixed sex gonads of three anuran species under the influence of 17α-ethinylestradiol (EE2).(a) African clawed frog (Xenopus laevis), (b) European green toad (Bufo viridis), (c) European tree frog (Hyla arborea); Fig. 2 for control and sex-reversed individuals. Bo â Bidderâs organ, specific of bufonid toadsâ gonads; fb â fat body; m â meiocytes; o â ovary; st â seminiferous tubules; t â testis; *a cavity separating testicular and ovarian parts of the mixed sex gonad; white arrow indicates ovarian cavity in the ovarian portion of the mixed gonad; white arrowheads show diplotene oocytes; yellow dotted lines separate testicular and ovarian parts of the mixed sex gonads. Scale bars represent 100 micrometers.
Arens,
Microsatellite markers for the european tree frog Hyla arborea.
2000, Pubmed
Arens,
Microsatellite markers for the european tree frog Hyla arborea.
2000,
Pubmed Aris,
Occurrence of 17α-ethynylestradiol (EE2) in the environment and effect on exposed biota: a review.
2014,
Pubmed Berset-Brändli,
A sex-specific marker reveals male heterogamety in European tree frogs.
2006,
Pubmed Berset-Brändli,
Isolation and characterization of microsatellite loci for the European tree frog (Hyla arborea).
2008,
Pubmed Bhandari,
Effects of the environmental estrogenic contaminants bisphenol A and 17α-ethinyl estradiol on sexual development and adult behaviors in aquatic wildlife species.
2015,
Pubmed Bögi,
Functional genomics and sexual differentiation in amphibians.
2002,
Pubmed
,
Xenbase Brelsford,
Homologous sex chromosomes in three deeply divergent anuran species.
2013,
Pubmed
,
Xenbase Brühl,
Terrestrial pesticide exposure of amphibians: an underestimated cause of global decline?
2013,
Pubmed Cevasco,
Endocrine disrupting chemicals (EDC) with (anti)estrogenic and (anti)androgenic modes of action affecting reproductive biology of Xenopus laevis: II. Effects on gonad histomorphology.
2008,
Pubmed
,
Xenbase CHANG,
Genic control and hormonal reversal of sex differentiation in Xenopus.
1956,
Pubmed
,
Xenbase Coady,
Effects of atrazine on metamorphosis, growth, laryngeal and gonadal development, aromatase activity, and sex steroid concentrations in Xenopus laevis.
2005,
Pubmed
,
Xenbase Crisp,
Environmental endocrine disruption: an effects assessment and analysis.
1998,
Pubmed Daszak,
Emerging infectious diseases of wildlife--threats to biodiversity and human health.
2000,
Pubmed Fites,
The invasive chytrid fungus of amphibians paralyzes lymphocyte responses.
2013,
Pubmed
,
Xenbase Garmshausen,
17α-Ethinylestradiol can disrupt hemoglobin catabolism in amphibians.
2015,
Pubmed
,
Xenbase Haczkiewicz,
Gonadal sex differentiation in frogs: how testes become shorter than ovaries.
2013,
Pubmed Hayes,
Pesticide mixtures, endocrine disruption, and amphibian declines: are we underestimating the impact?
2006,
Pubmed
,
Xenbase Hecker,
Plasma sex steroid concentrations and gonadal aromatase activities in African clawed frogs (Xenopus laevis) from South Africa.
2004,
Pubmed
,
Xenbase Hedges,
TimeTree: a public knowledge-base of divergence times among organisms.
2006,
Pubmed Hof,
Additive threats from pathogens, climate and land-use change for global amphibian diversity.
2011,
Pubmed Hoffmann,
Estrogens can disrupt amphibian mating behavior.
2012,
Pubmed
,
Xenbase Jobling,
Endocrine disruption, parasites and pollutants in wild freshwater fish.
2003,
Pubmed Juul,
Possible fetal determinants of male infertility.
2014,
Pubmed Kabir,
A review on endocrine disruptors and their possible impacts on human health.
2015,
Pubmed Ke,
Characterization of estrogen-degrading bacteria isolated from an artificial sandy aquifer with ultrafiltered secondary effluent as the medium.
2007,
Pubmed Khunjar,
Sorption of carbamazepine, 17α-ethinylestradiol, iopromide and trimethoprim to biomass involves interactions with exocellular polymeric substances.
2011,
Pubmed Kloas,
Amphibians as a model to study endocrine disruptors: II. Estrogenic activity of environmental chemicals in vitro and in vivo.
1999,
Pubmed
,
Xenbase Kolpin,
Pharmaceuticals, hormones, and other organic wastewater contaminants in U.S. streams, 1999-2000: a national reconnaissance.
2002,
Pubmed Lambert,
Suburbanization, estrogen contamination, and sex ratio in wild amphibian populations.
2015,
Pubmed Levy,
Bisphenol A induces feminization in Xenopus laevis tadpoles.
2004,
Pubmed
,
Xenbase Liebig,
Evaluation of measured and predicted environmental concentrations of selected human pharmaceuticals and personal care products.
2006,
Pubmed Lima,
Application of dispersive liquid-liquid microextraction for estrogens' quantification by enzyme-linked immunosorbent assay.
2014,
Pubmed Lorenz,
The synthetic gestagen levonorgestrel impairs metamorphosis in Xenopus laevis by disruption of the thyroid system.
2011,
Pubmed
,
Xenbase Lutz,
Development, standardization and refinement of procedures for evaluating effects of endocrine active compounds on development and sexual differentiation of Xenopus laevis.
2008,
Pubmed
,
Xenbase Martel,
Wildlife disease. Recent introduction of a chytrid fungus endangers Western Palearctic salamanders.
2014,
Pubmed Newbold,
Global effects of land use on local terrestrial biodiversity.
2015,
Pubmed Nichols,
Controlling the familywise error rate in functional neuroimaging: a comparative review.
2003,
Pubmed Oetken,
Evidence for endocrine disruption in invertebrates.
2004,
Pubmed Ogielska,
Pattern and rate of ovary differentiation with reference to somatic development in anuran amphibians.
2004,
Pubmed
,
Xenbase Oka,
All ZZ male Xenopus laevis provides a clear sex-reversal test for feminizing endocrine disruptors.
2006,
Pubmed
,
Xenbase Olmstead,
Genotyping sex in the amphibian, Xenopus (Silurana) tropicalis, for endocrine disruptor bioassays.
2010,
Pubmed
,
Xenbase Orton,
Do hormone-modulating chemicals impact on reproduction and development of wild amphibians?
2015,
Pubmed
,
Xenbase Pettersson,
Environmentally relevant concentrations of ethynylestradiol cause female-biased sex ratios in Xenopus tropicalis and Rana temporaria.
2007,
Pubmed
,
Xenbase Pettersson,
Persistent sex-reversal and oviducal agenesis in adult Xenopus (Silurana) tropicalis frogs following larval exposure to the environmental pollutant ethynylestradiol.
2006,
Pubmed
,
Xenbase Piprek,
Bidder's organ--structure, development and function.
2014,
Pubmed Piprek,
Differential effects of testosterone and 17β-estradiol on gonadal development in five anuran species.
2012,
Pubmed
,
Xenbase Stöck,
Low rates of X-Y recombination, not turnovers, account for homomorphic sex chromosomes in several diploid species of Palearctic green toads (Bufo viridis subgroup).
2013,
Pubmed Stöck,
A cryptic heterogametic transition revealed by sex-linked DNA markers in Palearctic green toads.
2011,
Pubmed Stuart,
Status and trends of amphibian declines and extinctions worldwide.
2004,
Pubmed Tamschick,
Sex chromosome conservation, DMRT1 phylogeny and gonad morphology in diploid Palearctic green toads (Bufo viridis subgroup).
2014,
Pubmed
,
Xenbase Tompsett,
Effects of 17α-ethynylestradiol on sexual differentiation and development of the African clawed frog (Xenopus laevis).
2012,
Pubmed
,
Xenbase Villalpando,
Determination of the sensitive stages for gonadal sex-reversal in Xenopus laevis tadpoles.
1990,
Pubmed
,
Xenbase Wake,
Ecology. Facing extinction in real time.
2012,
Pubmed Wedekind,
Fish populations surviving estrogen pollution.
2014,
Pubmed Wolf,
Effects of 17 beta-estradiol exposure on Xenopus laevis gonadal histopathology.
2010,
Pubmed
,
Xenbase Yoshimoto,
Opposite roles of DMRT1 and its W-linked paralogue, DM-W, in sexual dimorphism of Xenopus laevis: implications of a ZZ/ZW-type sex-determining system.
2010,
Pubmed
,
Xenbase Yoshimoto,
Degradation of estrogens by Rhodococcus zopfii and Rhodococcus equi isolates from activated sludge in wastewater treatment plants.
2004,
Pubmed Yoshimoto,
A W-linked DM-domain gene, DM-W, participates in primary ovary development in Xenopus laevis.
2008,
Pubmed
,
Xenbase