Click here to close
Hello! We notice that you are using Internet Explorer, which is not supported by Xenbase and may cause the site to display incorrectly.
We suggest using a current version of Chrome,
FireFox, or Safari.
???displayArticle.abstract???
Vertebrate neurogenesis requires inhibition of endogenous bone morphogenetic protein (BMP) signals in the ectoderm. Blocking of BMPs in animal cap explants causes the formation of anterior neural tissues as a default fate. To identify genes involved in the anterior neural specification, we analyzed gene expression profiles using a Xenopus Affymetrix Gene Chip after BMP-4 inhibition in animal cap explants. We found that the xCyp26c gene, encoding a retinoic acid (RA) degradation enzyme, was upregulated following inhibition of BMP signaling in early neuroectodermal cells. Whole-mount in situ hybridization analysis showed that xCyp26c expression started in the anterior region during the early neurula stage. Overexpression of xCyp26c weakly induced neural genes in animal cap explants. xCyp26c abolished the expression of all trans-/cis-RA-induced posterior genes, but not basic FGF-induced posterior genes. Depletion of xCyp26c by morpholino-oligonucleotides suppressed the normal formation of the axis and head, indicating that xCyp26c plays a critical role in the specification of anterior neural tissue in whole embryos. In animal cap explants, however, xCyp26c morpholinos did not alter anterior-to-posterior neural tissue formation. Together, these results suggest that xCyp26c plays a specific role in anterior-posterior (A-P) neural patterning of Xenopus embryos.
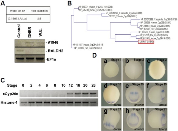
Fig. 1. Induction of xCyp26c by blocking BMP in animal cap explants and the expression pattern of xCyp26c in whole embryos. (A) Selection of the ‘Xl.1946.1.A1_at’ gene induced by DNBR in a cDNA microarray. The expression of ‘Xl.1946.1.A1_at’ was confirmed by RT-PCR. (B) Phylogenetic relationships among the xCYP26 proteins. (C) Developmental expression of xCyp26c. RT-PCR analysis was performed at various stages, as indicated (Nieuwkoop and Faber, 1956). Histone 4 or EF1α serve as an RNA loading control. (D) Spatial expression patterns of xCyp26c. Whole-mount in situ hybridization analysis of xCyp26c was performed during oocyte to tail bud stages. Views of whole embryos at the stages are indicated on top of each column. xCyp26c was expressed in the presumptive anterior neural ectoderm, and the expression continued to the tail bud stage.
Fig. 2. Induction of neural genes by overexpression of xCyp26c in animal cap explants. Xenopus embryos at the one cell stage or two-cell stage were injected in the animal pole with xCyp26c mRNA. Animal caps were dissected from the injected embryos at stages 8–9 and cultured to stage 12 (A) or 24 (B). RT-PCR was then performed to detect expression of the indicated genes. EF1α serves as a RNA loading control.
Fig. 3. Inhibition of all-trans and 9-cis retinoic acid-induced posteriorization by overexpression of xCyp26c in animal cap explants. xCyp26c was injected with DNBR, and animal caps were treated with all-trans retinoic acid (AT-RA) (A), 9-cis retinoic acid (9cRA) (B), and basic FGF (bFGF) (C) at stage 8 and then cultured to stage 24. The expression pattern of marker genes were analyzed by RT-PCR.
Fig. 4. Inhibition of normal head and axis formation by depletion of endogenous xCyp26c. Morpholino activity was confirmed by Western blot. (B) Embryos injected with 40 ng of MO-xCyp26c did not have head structures and had short axis formation. (C) xCyp26c was injected with DNBR and animal caps were cultured to stage 24. Expression patterns of Otx2 and HoxB9 were analyzed by RT-PCR.
Abu-Abed,
The retinoic acid-metabolizing enzyme, CYP26A1, is essential for normal hindbrain patterning, vertebral identity, and development of posterior structures.
2001, Pubmed
Abu-Abed,
The retinoic acid-metabolizing enzyme, CYP26A1, is essential for normal hindbrain patterning, vertebral identity, and development of posterior structures.
2001,
Pubmed Blumberg,
An essential role for retinoid signaling in anteroposterior neural patterning.
1997,
Pubmed
,
Xenbase Dale,
Bone morphogenetic protein 4: a ventralizing factor in early Xenopus development.
1992,
Pubmed
,
Xenbase de Roos,
Expression of retinoic acid 4-hydroxylase (CYP26) during mouse and Xenopus laevis embryogenesis.
1999,
Pubmed
,
Xenbase Doniach,
Basic FGF as an inducer of anteroposterior neural pattern.
1995,
Pubmed Dosch,
Bmp-4 acts as a morphogen in dorsoventral mesoderm patterning in Xenopus.
1997,
Pubmed
,
Xenbase Fujii,
Metabolic inactivation of retinoic acid by a novel P450 differentially expressed in developing mouse embryos.
1997,
Pubmed Gamse,
Vertebrate anteroposterior patterning: the Xenopus neurectoderm as a paradigm.
2000,
Pubmed
,
Xenbase Gavalas,
Retinoid signalling and hindbrain patterning.
2000,
Pubmed Glinka,
Head induction by simultaneous repression of Bmp and Wnt signalling in Xenopus.
1997,
Pubmed
,
Xenbase Graff,
Studies with a Xenopus BMP receptor suggest that ventral mesoderm-inducing signals override dorsal signals in vivo.
1994,
Pubmed
,
Xenbase Harland,
Formation and function of Spemann's organizer.
1997,
Pubmed Harland,
In situ hybridization: an improved whole-mount method for Xenopus embryos.
1991,
Pubmed
,
Xenbase Hemmati-Brivanlou,
Ventral mesodermal patterning in Xenopus embryos: expression patterns and activities of BMP-2 and BMP-4.
1995,
Pubmed
,
Xenbase Hemmati-Brivanlou,
Inhibition of activin receptor signaling promotes neuralization in Xenopus.
1994,
Pubmed
,
Xenbase Hollemann,
Regionalized metabolic activity establishes boundaries of retinoic acid signalling.
1998,
Pubmed
,
Xenbase Hwang,
Antimorphic PV.1 causes secondary axis by inducing ectopic organizer.
2002,
Pubmed
,
Xenbase Hwang,
Active repression of organizer genes by C-terminal domain of PV.1.
2003,
Pubmed
,
Xenbase Jones,
Establishment of a BMP-4 morphogen gradient by long-range inhibition.
1998,
Pubmed
,
Xenbase Jones,
DVR-4 (bone morphogenetic protein-4) as a posterior-ventralizing factor in Xenopus mesoderm induction.
1992,
Pubmed
,
Xenbase Kessler,
Vertebrate embryonic induction: mesodermal and neural patterning.
1994,
Pubmed
,
Xenbase Knecht,
Mechanisms of dorsal-ventral patterning in noggin-induced neural tissue.
1997,
Pubmed
,
Xenbase Kolm,
Xenopus hindbrain patterning requires retinoid signaling.
1997,
Pubmed
,
Xenbase Kudoh,
Distinct roles for Fgf, Wnt and retinoic acid in posteriorizing the neural ectoderm.
2002,
Pubmed Lee,
The function of heterodimeric AP-1 comprised of c-Jun and c-Fos in activin mediated Spemann organizer gene expression.
2011,
Pubmed
,
Xenbase Lee,
Direct response elements of BMP within the PV.1A promoter are essential for its transcriptional regulation during early Xenopus development.
2011,
Pubmed
,
Xenbase MacLean,
Cloning of a novel retinoic-acid metabolizing cytochrome P450, Cyp26B1, and comparative expression analysis with Cyp26A1 during early murine development.
2001,
Pubmed Mason,
Neural induction: do fibroblast growth factors strike a cord?
1996,
Pubmed Nebert,
Clinical importance of the cytochromes P450.
2002,
Pubmed Ray,
CYP26, a novel mammalian cytochrome P450, is induced by retinoic acid and defines a new family.
1997,
Pubmed Ruiz i Altaba,
Retinoic acid modifies the pattern of cell differentiation in the central nervous system of neurula stage Xenopus embryos.
1991,
Pubmed
,
Xenbase Sakai,
The retinoic acid-inactivating enzyme CYP26 is essential for establishing an uneven distribution of retinoic acid along the anterio-posterior axis within the mouse embryo.
2001,
Pubmed Schmidt,
Drosophila short gastrulation induces an ectopic axis in Xenopus: evidence for conserved mechanisms of dorsal-ventral patterning.
1995,
Pubmed
,
Xenbase Sirbu,
Shifting boundaries of retinoic acid activity control hindbrain segmental gene expression.
2005,
Pubmed Smith,
Dorsalization and neural induction: properties of the organizer in Xenopus laevis.
1983,
Pubmed
,
Xenbase Summerton,
Morpholino antisense oligomers: design, preparation, and properties.
1997,
Pubmed
,
Xenbase Suzuki,
A truncated bone morphogenetic protein receptor affects dorsal-ventral patterning in the early Xenopus embryo.
1994,
Pubmed
,
Xenbase Tahayato,
Cyp26C1 encodes a novel retinoic acid-metabolizing enzyme expressed in the hindbrain, inner ear, first branchial arch and tooth buds during murine development.
2003,
Pubmed Tanibe,
Retinoic acid metabolizing factor xCyp26c is specifically expressed in neuroectoderm and regulates anterior neural patterning in Xenopus laevis.
2008,
Pubmed
,
Xenbase Wawersik,
Conditional BMP inhibition in Xenopus reveals stage-specific roles for BMPs in neural and neural crest induction.
2005,
Pubmed
,
Xenbase White,
Identification of the retinoic acid-inducible all-trans-retinoic acid 4-hydroxylase.
1996,
Pubmed Xu,
A dominant negative bone morphogenetic protein 4 receptor causes neuralization in Xenopus ectoderm.
1995,
Pubmed
,
Xenbase Xu,
Studies on the role of fibroblast growth factor signaling in neurogenesis using conjugated/aged animal caps and dorsal ectoderm-grafted embryos.
1997,
Pubmed
,
Xenbase Xu,
Opposite effects of FGF and BMP-4 on embryonic blood formation: roles of PV.1 and GATA-2.
1999,
Pubmed
,
Xenbase Yoon,
PV.1 induced by FGF-Xbra functions as a repressor of neurogenesis in Xenopus embryos.
2014,
Pubmed
,
Xenbase Yoon,
PV.1 suppresses the expression of FoxD5b during neural induction in Xenopus embryos.
2014,
Pubmed
,
Xenbase