XB-ART-51665
PLoS One
2015 Jan 01;1012:e0145412. doi: 10.1371/journal.pone.0145412.
Show Gene links
Show Anatomy links
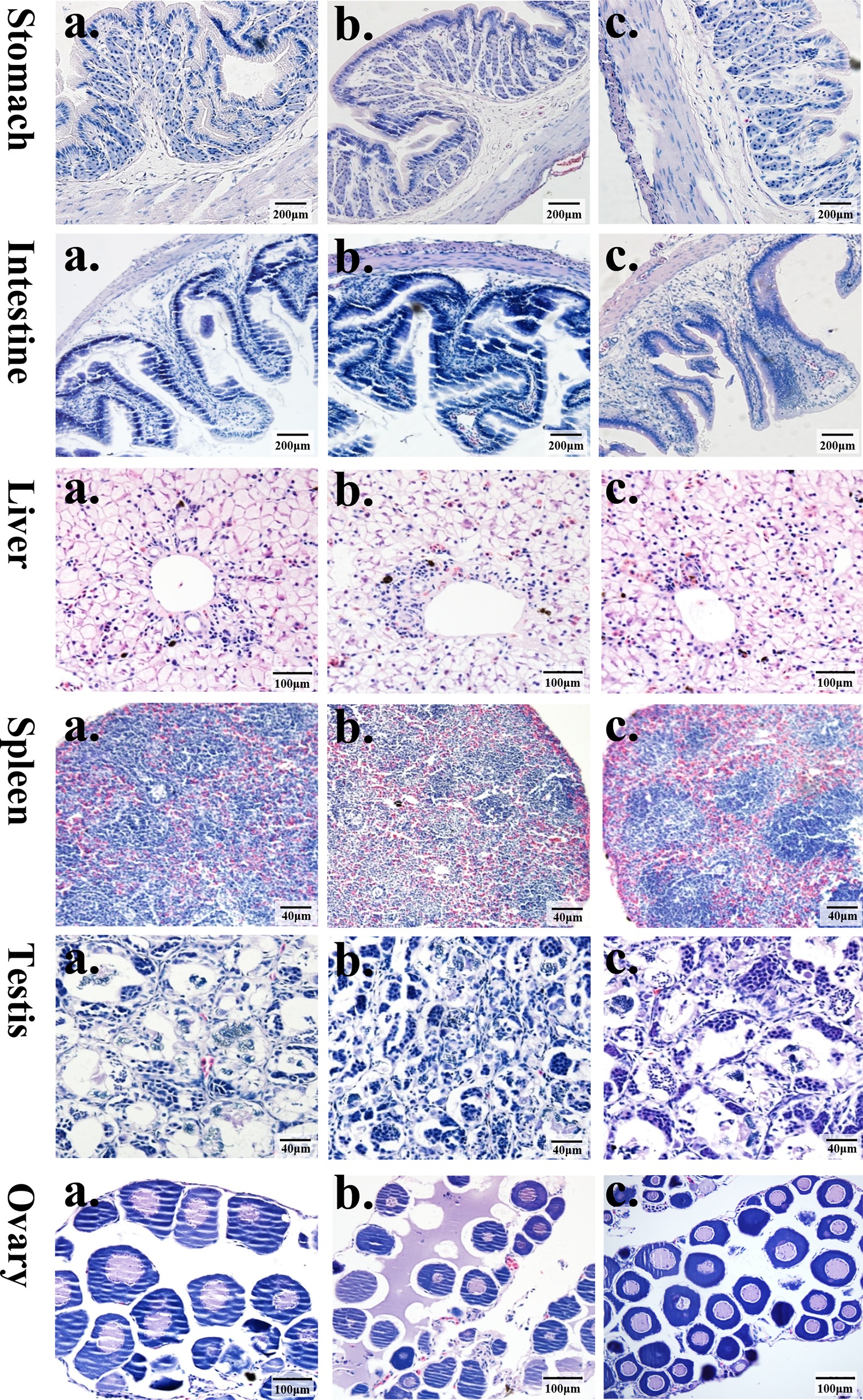
Effects of Transgenic cry1Ca Rice on the Development of Xenopus laevis.
???displayArticle.abstract???
???displayArticle.pubmedLink??? 26695426
???displayArticle.pmcLink??? PMC4690606
???displayArticle.link??? PLoS One
Species referenced: Xenopus laevis
Genes referenced: crygdl.43
???attribute.lit??? ???displayArticles.show???
References [+] :
Akhtar,
Impacts of six bt rice lines on nontarget rice feeding thrips under laboratory and field conditions.
2010, Pubmed
Akhtar, Impacts of six bt rice lines on nontarget rice feeding thrips under laboratory and field conditions. 2010, Pubmed
Blaustein, The complexity of amphibian population declines: understanding the role of cofactors in driving amphibian losses. 2011, Pubmed , Xenbase
Bøhn, Demographic responses of Daphnia magna fed transgenic Bt-maize. 2010, Pubmed
Bøhn, Reduced fitness of Daphnia magna fed a Bt-transgenic maize variety. 2008, Pubmed
Cao, Safety assessment of Cry1C protein from genetically modified rice according to the national standards of PR China for a new food resource. 2010, Pubmed
Carstens, Genetically modified crops and aquatic ecosystems: considerations for environmental risk assessment and non-target organism testing. 2012, Pubmed
Chambers, Responses of stream macroinvertebrates to Bt maize leaf detritus. 2010, Pubmed
Coady, Effects of atrazine on metamorphosis, growth, laryngeal and gonadal development, aromatase activity, and sex steroid concentrations in Xenopus laevis. 2005, Pubmed , Xenbase
Dobrovoljc, Cd, Cu, Zn, Se, and metallothioneins in two amphibians, Necturus maculosus (Amphibia, Caudata) and Bufo bufo (Amphibia, Anura). 2012, Pubmed
Douville, Occurrence and persistence of Bacillus thuringiensis (Bt) and transgenic Bt corn cry1Ab gene from an aquatic environment. 2007, Pubmed
Douville, Occurrence of the transgenic corn cry1Ab gene in freshwater mussels (Elliptio complanata) near corn fields: evidence of exposure by bacterial ingestion. 2009, Pubmed
Geng, Acute toxicity of the pesticide dichlorvos and the herbicide butachlor to tadpoles of four anuran species. 2005, Pubmed
Hayes, Pesticide mixtures, endocrine disruption, and amphibian declines: are we underestimating the impact? 2006, Pubmed , Xenbase
Hofmann, Specificity of Bacillus thuringiensis delta-endotoxins is correlated with the presence of high-affinity binding sites in the brush border membrane of target insect midguts. 1988, Pubmed
Indermaur, Spatial variation in abiotic and biotic factors in a floodplain determine anuran body size and growth rate at metamorphosis. 2010, Pubmed
Jensen, Exposure and nontarget effects of transgenic Bt corn debris in streams. 2010, Pubmed
Jones, Very highly toxic effects of endosulfan across nine species of tadpoles: lag effects and family-level sensitivity. 2009, Pubmed
Li, Tier-1 assays for assessing the toxicity of insecticidal proteins produced by genetically engineered plants to non-target arthropods. 2014, Pubmed
Li, Bt rice producing Cry1C protein does not have direct detrimental effects on the green lacewing Chrysoperla sinica (Tjeder). 2014, Pubmed
Lu, Mirid bug outbreaks in multiple crops correlated with wide-scale adoption of Bt cotton in China. 2010, Pubmed
Lu, The first approved transgenic rice in China. 2010, Pubmed
Mannakkara, Zero effect of Bt rice on expression of genes coding for digestion, detoxification and immune responses and developmental performances of brown planthopper Nilaparvata lugens (Stål). 2013, Pubmed
Oka, Effect of atrazine on metamorphosis and sexual differentiation in Xenopus laevis. 2008, Pubmed , Xenbase
O'Rourke, Amphibians used in research and teaching. 2007, Pubmed
Raybould, Non-target organism effects tests on Vip3A and their application to the ecological risk assessment for cultivation of MIR162 maize. 2011, Pubmed
Rosi-Marshall, Toxins in transgenic crop byproducts may affect headwater stream ecosystems. 2007, Pubmed
Schrøder, A 90-day safety study of genetically modified rice expressing Cry1Ab protein (Bacillus thuringiensis toxin) in Wistar rats. 2007, Pubmed
Sparling, Comparative toxicity of chlorpyrifos, diazinon, malathion and their oxon derivatives to larval Rana boylii. 2007, Pubmed
Tank, Occurrence of maize detritus and a transgenic insecticidal protein (Cry1Ab) within the stream network of an agricultural landscape. 2010, Pubmed
Tian, Transgenic Cry1Ab rice does not impact ecological fitness and predation of a generalist spider. 2012, Pubmed
Wang, Effect of straw leachates from Cry1Ca-expressing transgenic rice on the growth of Chlorella pyrenoidosa. 2014, Pubmed
Wang, Comparison of three transgenic Bt rice lines for insecticidal protein expression and resistance against a target pest, Chilo suppressalis (Lepidoptera: Crambidae). 2016, Pubmed
Yang, Consumption of Bt rice pollen containing Cry1C or Cry2A protein poses a low to negligible risk to the silkworm Bombyx mori (Lepidoptera: Bombyxidae). 2014, Pubmed
Yao, Toxicological assessment of pollen from different bt rice lines on Bombyx mori (Lepidoptera: Bombyxidae). 2008, Pubmed
Zhang, [Exposure degree of important non-target arthropods to Cry2Aa in Bt rice fields]. 2013, Pubmed
Zheng, Resistance performances of transgenic bt rice lines T(2A)-1 and T1c-19 against Cnaphalocrocis medinalis (Lepidoptera: Pyralidae). 2011, Pubmed
Zhou, Bioaccumulation of Cry1Ab protein from an herbivore reduces anti-oxidant enzyme activities in two spider species. 2014, Pubmed
Zhu, A 90 day safety assessment of genetically modified rice expressing Cry1Ab/1Ac protein using an aquatic animal model. 2015, Pubmed , Xenbase
