|
Figure 1: Schematic overview of the Platinum Gate TALEN construction system. Four or fewer modules were ligated into array plasmids in the first step. Constructed arrays were subsequently joined into a mammalian expression vector in the second step. Bases in white and pink boxes represent overhangs left by BsaI and Esp3I, respectively. Blue letters indicate RVDs. Red letters indicate non-RVD variations. Yellow boxes represent last half repeats. Spec, spectinomycin; Amp, ampicillin; CMV, cytomegalovirus promoter. |
|
Figure 2: Comprehensive analysis of four types of TALEN framework using the SSA assay. (A) Schematic drawing of scaffold and module swapping analysis. Underlined red letters indicate RVDs. Four types of non-RVD variant are indicated in blue, orange, purple, and green letters, respectively. Repeating pattern of VRs is represented using blue, orange, purple, and green boxes. (B) Schematic design of TALENs used in this assay. Seven TALENs with different numbers of TALE repeats (red bars) were constructed for both left (L14–L20) and right (R14–R20) target sequences. Minimum spacer region is indicated by blue lines and letters. Maximum spacer region is illustrated by red lines and letters. Spacer lengths for all the combinations of left and right TALENs are represented in the table. (C) Relative activities (fold to positive control ZFN9) of all the TALENs are shown in the tables. Red, black, and blue letters indicate high (>2), intermediate (1–2), and low (<1) activities, respectively. Data are expressed as means ± SEM (n = 3). |
|
Figure 3: Repeating pattern of non-RVD variations enhances the activity of TALENs. (A) Schematic design of TALENs used in this assay. Red bars indicate left and right TALENs. Red lines and letters indicate spacer regions. The target sequences of ATM and APC were originally described by Reyon et al. The target sequence of eGFP was originally described by Sakuma et al (B) SSA assay for four types of TALEN targeting three genes. Data are expressed as means ± SEM (n = 2). (C) Cel-I assay for four types of TALEN targeting ATM and APC. Arrowheads indicate the expected positions of the digested products. NHEJ (nonhomologous end joining) was estimated using ImageJ software as previously described. |
|
Figure 4: Highly efficient targeted gene disruption in Xenopus laevis using Platinum TALENs. (A) Schematic design of TALEN used in this assay. Red bars indicate left and right TALENs. Red lines and letters indicate spacer region. (B) Phenotypes of uninjected and Platinum tyr TALEN-injected embryos. Embryos were reared to the hatching stage. An asterisk indicates sequenced embryo related to Supplementary Fig. S3. (C) Percentages of phenotypes in the uninjected and Platinum tyr TALEN groups. Total numbers of individuals in this experiment are shown at the top of each graph. Strong, near complete loss of pigmentation in retina pigmented epithelium (RPE); Moderate, more than half loss of pigmentation in RPE; Weak, less than half loss of pigmentation in RPE; Normal, no alteration of pigmentation. Representative phenotypes were shown in a previous report12. (D) RFLP analysis of tyr paralogs. Due to its allotetraploid genome, there are two paralogs, tyr a and tyr b, in X. laevis. PCR products of tyr a (left panel) and tyr b (right panel) paralogs were purified, digested by HinfI and analyzed by agarose gel electrophoresis. |
|
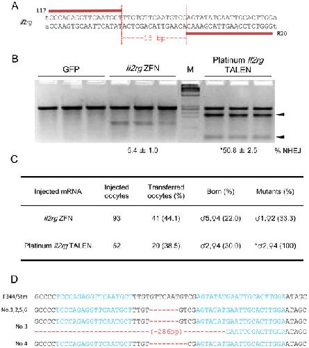
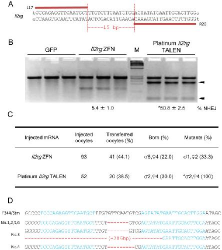
Figure 5: Highly efficient targeted gene disruption in rats using Platinum TALENs. (A) Schematic design of TALEN used in this assay. Red bars indicate left and right TALENs. Red lines and letters indicate spacer region. (B) Cel-I assay for ZFN- or TALEN-induced mutations in rat Il2rg gene. Arrowheads indicate the expected positions of the TALEN-digested products. % NHEJ (nonhomologous end joining) was estimated using ImageJ software as previously described29. Data are expressed as means ± SEM (n = 3). *P < 0.01 by Student's t-test: Il2rg ZFN vs. Platinum Il2rg TALEN. (C) Microinjection of ZFNs or TALENs targeting Il2rg into fertilized eggs of F344 rats. *P < 0.01 by chi-square test: Il2rg ZFN vs. Platinum Il2rg TALEN. (D) Sequence analyses of TALEN-induced mutant rats. Blue letters indicate TALEN target sites. Gaps generated by deletion are shown as dashes in red. |
|
Figure 1. Schematic overview of the Platinum Gate TALEN construction system.Four or fewer modules were ligated into array plasmids in the first step. Constructed arrays were subsequently joined into a mammalian expression vector in the second step. Bases in white and pink boxes represent overhangs left by BsaI and Esp3I, respectively. Blue letters indicate RVDs. Red letters indicate non-RVD variations. Yellow boxes represent last half repeats. Spec, spectinomycin; Amp, ampicillin; CMV, cytomegalovirus promoter. |
|
Figure 2. Comprehensive analysis of four types of TALEN framework using the SSA assay.(A) Schematic drawing of scaffold and module swapping analysis. Underlined red letters indicate RVDs. Four types of non-RVD variant are indicated in blue, orange, purple, and green letters, respectively. Repeating pattern of VRs is represented using blue, orange, purple, and green boxes. (B) Schematic design of TALENs used in this assay. Seven TALENs with different numbers of TALE repeats (red bars) were constructed for both left (L14–L20) and right (R14–R20) target sequences. Minimum spacer region is indicated by blue lines and letters. Maximum spacer region is illustrated by red lines and letters. Spacer lengths for all the combinations of left and right TALENs are represented in the table. (C) Relative activities (fold to positive control ZFN9) of all the TALENs are shown in the tables. Red, black, and blue letters indicate high (>2), intermediate (1–2), and low (<1) activities, respectively. Data are expressed as means ± SEM (n = 3). |
|
Figure 3. Repeating pattern of non-RVD variations enhances the activity of TALENs.(A) Schematic design of TALENs used in this assay. Red bars indicate left and right TALENs. Red lines and letters indicate spacer regions. The target sequences of ATM and APC were originally described by Reyon et al4. The target sequence of eGFP was originally described by Sakuma et al9. (B) SSA assay for four types of TALEN targeting three genes. Data are expressed as means ± SEM (n = 2). (C) Cel-I assay for four types of TALEN targeting ATM and APC. Arrowheads indicate the expected positions of the digested products. % NHEJ (nonhomologous end joining) was estimated using ImageJ software as previously described29. |
|
Figure 4. Highly efficient targeted gene disruption in Xenopus laevis using Platinum TALENs.(A) Schematic design of TALEN used in this assay. Red bars indicate left and right TALENs. Red lines and letters indicate spacer region. (B) Phenotypes of uninjected and Platinum tyr TALEN-injected embryos. Embryos were reared to the hatching stage. An asterisk indicates sequenced embryo related to Supplementary Fig. S3. (C) Percentages of phenotypes in the uninjected and Platinum tyr TALEN groups. Total numbers of individuals in this experiment are shown at the top of each graph. Strong, near complete loss of pigmentation in retina pigmented epithelium (RPE); Moderate, more than half loss of pigmentation in RPE; Weak, less than half loss of pigmentation in RPE; Normal, no alteration of pigmentation. Representative phenotypes were shown in a previous report12. (D) RFLP analysis of tyr paralogs. Due to its allotetraploid genome, there are two paralogs, tyr a and tyr b, in X. laevis. PCR products of tyr a (left panel) and tyr b (right panel) paralogs were purified, digested by HinfI and analyzed by agarose gel electrophoresis. |
|
Figure 5. Highly efficient targeted gene disruption in rats using Platinum TALENs.(A) Schematic design of TALEN used in this assay. Red bars indicate left and right TALENs. Red lines and letters indicate spacer region. (B) Cel-I assay for ZFN- or TALEN-induced mutations in rat Il2rg gene. Arrowheads indicate the expected positions of the TALEN-digested products. % NHEJ (nonhomologous end joining) was estimated using ImageJ software as previously described29. Data are expressed as means ± SEM (n = 3). *P < 0.01 by Student's t-test: Il2rg ZFN vs. Platinum Il2rg TALEN. (C) Microinjection of ZFNs or TALENs targeting Il2rg into fertilized eggs of F344 rats. *P < 0.01 by chi-square test: Il2rg ZFN vs. Platinum Il2rg TALEN. (D) Sequence analyses of TALEN-induced mutant rats. Blue letters indicate TALEN target sites. Gaps generated by deletion are shown as dashes in red. |