Click here to close Hello! We notice that you are using Internet Explorer, which is not supported by Xenbase and may cause the site to display incorrectly. We suggest using a current version of Chrome, FireFox, or Safari.
XB-ART-51424
Dev Dyn 2016 Jan 01;2451:34-46. doi: 10.1002/dvdy.24358.
Show Gene links Show Anatomy links

lin28 proteins promote expression of 17∼92 family miRNAs during amphibian development.

Warrander F, Faas L, Kovalevskiy O, Peters D, Coles M, Antson AA, Genever P, Isaacs HV.


???displayArticle.abstract???
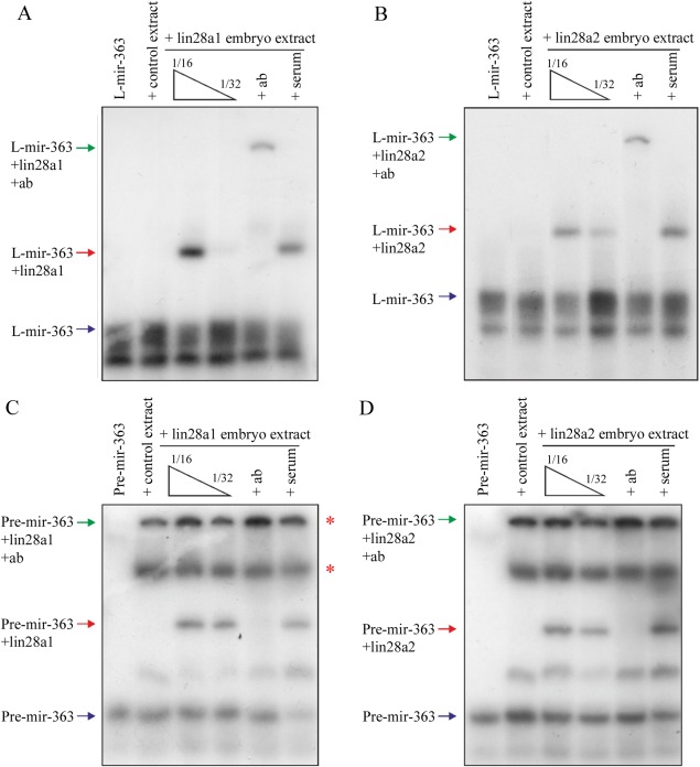
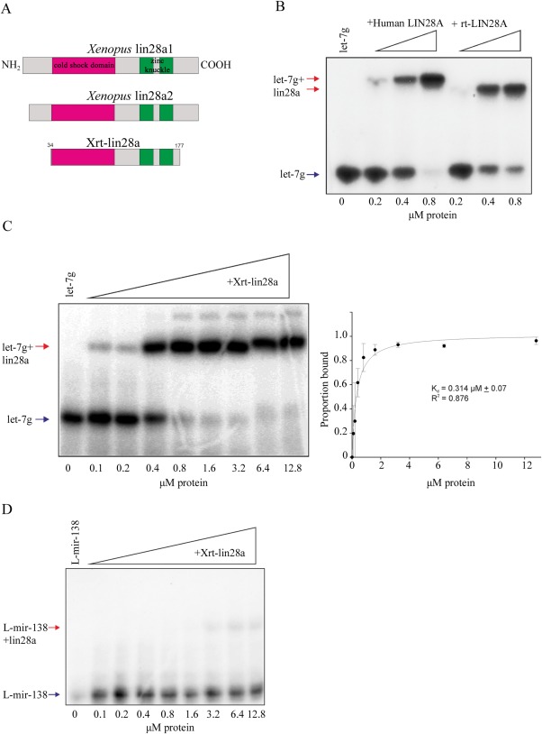
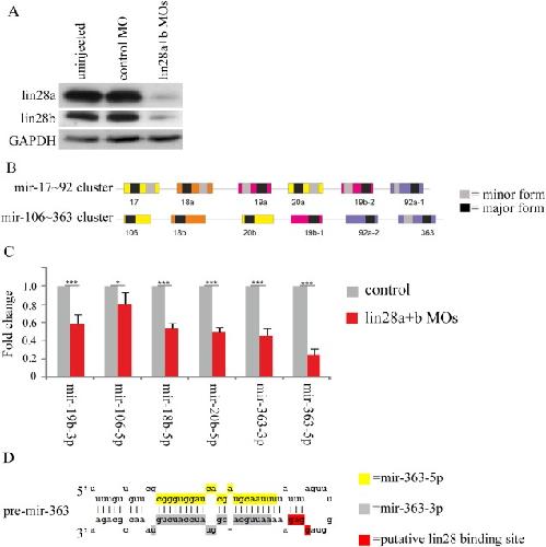
BACKGROUND: Lin28 proteins are post-transcriptional regulators of gene expression with multiple roles in development and the regulation of pluripotency in stem cells. Much attention has focussed on Lin28 proteins as negative regulators of let-7 miRNA biogenesis; a function that is conserved in several animal groups and in multiple processes. However, there is increasing evidence that Lin28 proteins have additional roles, distinct from regulation of let-7 abundance. We have previously demonstrated that lin28 proteins have functions associated with the regulation of early cell lineage specification in Xenopus embryos, independent of a lin28/let-7 regulatory axis. However, the nature of lin28 targets in Xenopus development remains obscure. RESULTS: Here, we show that mir-17∼92 and mir-106∼363 cluster miRNAs are down-regulated in response to lin28 knockdown, and RNAs from these clusters are co-expressed with lin28 genes during germ layer specification. Mature miRNAs derived from pre-mir-363 are most sensitive to lin28 inhibition. We demonstrate that lin28a binds to the terminal loop of pre-mir-363 with an affinity similar to that of let-7, and that this high affinity interaction requires to conserved a GGAG motif. CONCLUSIONS: Our data suggest a novel function for amphibian lin28 proteins as positive regulators of mir-17∼92 family miRNAs.

???displayArticle.pubmedLink??? 26447465
???displayArticle.pmcLink??? PMC4982076
???displayArticle.link??? Dev Dyn
???displayArticle.grants??? [+]

Species referenced: Xenopus
Genes referenced: lin28a lin28b


???attribute.lit??? ???displayArticles.show???
References [+] :
Branney, Characterisation of the fibroblast growth factor dependent transcriptome in early development. 2009, Pubmed, Xenbase