Click here to close
Hello! We notice that you are using Internet Explorer, which is not supported by Xenbase and may cause the site to display incorrectly.
We suggest using a current version of Chrome,
FireFox, or Safari.
???displayArticle.abstract???
The homeobox gene siamois is one of the earliest genes expressed in the Spemann organizer and plays a critical role in the formation of the dorsoventral axis. It is directly regulated by maternal Wnt signalling and functions as an essential zygotic intermediary between maternal factors and the formation of the Spemann organizer. The maternal T domain transcription factor VegT interacts with Wnt signalling and is also involved in the formation of the Spemann organizer. However, the molecular mechanism of this functional interaction is not fully understood. Here we show that VegT is required for siamois expression through direct binding to the T-box binding sites in the siamois promoter. Mutational analysis of each of the five consensus T-box binding sites suggests that the proximal site close to the transcription start site is essential for activation of siamois promoter by VegT, while individual mutation of the four distal sites has no effect. VegT and Wnt signalling also functionally interact and are mutually required for siamois expression. In particular, VegT synergizes with Tcf1, but not Tcf3 and Tcf4, to induce siamois expression, and this is independent of Tcf/Lef-binding sites or the proximal T-box binding site in the siamois promoter. We further extend previous observations by showing that VegT cooperates with maternal Wnt signalling in the formation of the dorsoventral axis. These results demonstrate that maternal VegT directly regulates siamois gene transcription in the formation of the Spemann organizer, and provide further insight into the mechanism underlying the functional interaction between VegT and Wnt signalling during development.
Figure 1. T domain transcription factors induce ectopic siamois expression in ectoderm cells. (A)
Comparison of the siamois inducing activity between Wnt3a and different T domain transcription
factors. Embryos at the 2-cell stage were injected with indicated synthetic mRNA in the animal pole
region and ectoderm explants were dissected at the early gastrula stage for RT-PCR analysis of gene
expression, as indicated. Wnt3a induces the expression of both siamois and Xnr3, but not other
mesoderm and endoderm genes. Tbx6, Tbx16 and VegT similarly induce the expression of siamois,
Wnt8 and Sox17α genes, but not Xnr3. Xbra only induces the expression of Wnt8. (B) VegT induces
siamois expression in a dose-dependent manner. The expression of siamois is induced by high and
intermediate doses of VegT mRNA, while low dose of VegT mRNA only induces Wnt8 expression.
The endoderm gene Sox17α is induced by a high dose of VegT mRNA. ODC was used as a loading
control for input RNAs.
Figure 2. VegT activates siamois promoter reporter independently of Tcf/Lef-binding sites. (A)
Schematic representation of wild-type (S01234) and mutated (S24) siamois promoter luciferase
reporters, with the location of Tcf/Lef sites indicated (not in scale). (B) Both Wnt3a and VegT
activate the S01234 siamois promoter with 3 sites (S0, S1, and S3) that conform to the Tcf/Lefconsensus
binding sites and 2 sites (S2 and S4) that diverge at the 3'-most base. VegT, but not
Wnt3a, also activates the S24 siamois promoter mutated at the S0, S1 and S3 Tcf/Lef-binding sites.
Data represent the mean of triplicate experiments (error bars indicate s.d.).
Figure 3. VegT activates siamois promoter through T-box binding sites. (A) Nucleotide sequence of
the 0.4 kb siamois promoter fragment. The first 12 nucleotides of the siamois coding sequence with
its deduced amino acids and 402 nucleotides of siamois promoter region 5' to the transcription start
site (arrow) are shown. The Tcf/Lef-binding sites are indicated as S0, S1, S2, S3 and S4, as
26
previously reported (Brannon et al. 1997). The putative T-box binding sites are boxed and identified
above the sequence, as VB1, VB2, VB3, VB4 and VB5. All these sites conform to the T-box binding
consensus. (B) Schematic representation of siamois reporter constructs mutated at the VegT-binding
sites. (C-E) Luciferase reporter assay using ectoderm explants previously injected with wild-type or
mutant siamois promoter reporter DNAs and synthetic mRNAs, as indicated. Mutation of VB1, VB2,
VB3 or VB4 does not affect the response of siamois promoter to Wnt3a or VegT. Mutation of VB5
abolishes the activation of siamois promoter induced by VegT, but not by Wnt3a. Data represent the
mean of triplicate experiments (error bars indicate s.d.).
Figure 4. Binding of VegT to the siamois promoter and overlapping expression domains between
VegT and siamois at blastula and gastrula stages. (A) ChIP assays were performed using early
gastrula stage embryos previously injected at the 1-cell stage with Flag-tagged VegT mRNA. A
representative semi-quantitative PCR result is shown with siamois and goosecoid promoters. P1 and
P2 refer to siamois primer pair 1 and 2. PCR amplifications were also performed on chromatin
isolated before immunoprecipitation to control the input level. (B) Schematic representation of the
regions dissected at blastula and gastrula stages. (C) RT-PCR analysis of the expression of siamois,
VegT and chordin in blastulachordin- and noggin-expressing (BCNE) center and Nieuwkoop center
(NC) at the blastula stage, and in the Spemann organizer (O) and anteriorendoderm (AE) at the early
gastrula stage. ODC was a loading control.
Figure 5. VegT synergizes with Wnt signalling to activate siamois promoter reporter. Two-cell stage
embryos were injected with synthetic mRNA along with wild-type or different mutant siamois
promoter DNAs, as indicated, in the animal pole region and ectoderm explants were dissected at the
early gastrula stage for luciferase assay. (A) At low dose, VegT synergizes with Wnt3a or Tcf1 to
activate luciferase activity driven by the S01234 wild-type siamois promoter. (B) A similar synergy
can be observed using the S24 mutant promoter lacking the three canonical Tcf/Lef-binding sites. (C)
27
VegT cooperates with Wnt3a or Tcf1 to activate the VB5- siamois promoter reporter mutated at VB5
site. (D) The dominant negative VegT mutant blocks activation of the S01234 wild-type siamois
promoter reporter induced by injection of high dose of Wnt3a or Tcf1 mRNA. Data represent the
mean of triplicate experiments (error bars indicate s.d.).
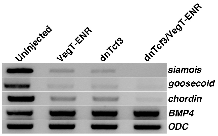
Figure 6. Functional interaction between VegT and Wnt signalling in regulating Spemann organizer
formation. (A) RT-PCR analysis of siamois ectopic expression in ectoderm explants injected with
indicated mRNAs. VegT synergizes with Wnt signalling to induce siamois expression. It is also
required for siamois expression activated by Wnt signalling. ODC was a loading control. (B-E) In
situ hybridization analysis of chordin expression in control (B) and stage 10.5 early gastrula
previously injected with dnTcf3 (C) or VegT-ENR (D) mRNA, or coinjected with dnTcf3 and VegTENR
mRNAs (E). Ã-gal staining was used to localise the injected region. Coinjection of dnTcf3 and
VegT-ENR more efficiently blocks chordin expression than single injection of dnTcf3 or VegT-ENR.
(F-I) Phenotypic analysis of control (F) and embryos injected with VegT-ENR (G), dnTcf3 (H) or
dnTcf3 and VegT-ENR (I), at the late tail-bud stage. (J) Statistical analysis of the phenotypes.
Numbers on the top of each stacked column indicate total embryos scored from two independent
experiments.
Figure S1. Identification of siamois as a target gene of T domain transcription factors using a
hormone-inducible form of Tbx6VP16. (A) Schematic representation of the Tbx6VP16-GR fusion
protein. (B) Synthetic mRNA corresponding to Tbx6VP16-GR was injected in the animal pole region
of Xenopus embryos at the 2-cell stage. Ectoderm cells were dissected at the early gastrula stage and
incubated in DEX for 1.5 hours. RT-PCR analysis shows the induction of siamois, but not Xnr3, by
Tbx6VP16-GR. ODC was a loading control.
Figure S2. Differential activation of siamois promoter reporter by T cell factors. Indicated synthetic
mRNAs were injected in the animal pole region at the 2-cell stage and ectoderm explants were
dissected at the early gastrula stage for luciferase assay. Tcf1 strongly activates the siamois promoter,
Tcf3 did not activate the promoter and Tcf4 exhibited a weak activity. Single injection of Tcf1, Tcf3
or Tcf4 mRNA was done at high dose (500 pg), while single injection of VegT mRNA was done at
low dose (100 pg). Combined injection was done at low dose (100 pg for Tcf3 and Tcf4 mRNAs and
100 pg for VegT mRNA). Data represent the mean of triplicate experiments (error bars indicate s.d.).
Figure S3. Absence of Tcf/Lef-binding sites and VB2 to VB5 sites abolishes the cooperation of
VegT and Tcf1 to activate siamois promoter. (A) Schematic representation of the mutated reporter
with only VB1 site. (B) Luciferase assays using wild-type and mutant siamois promoter reporters.
Data represent the mean of triplicate experiments (error bars indicate s.d.).
Figure S4. Wnt signalling is required for the expression of siamois gene induced by VegT. RT-PCR
analysis of siamois expression in ectoderm explants overexpressing indicated mRNAs. ODC was a
loading control.
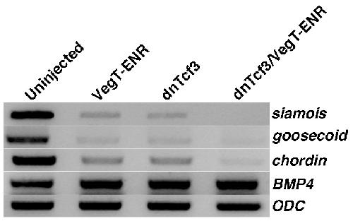
Figure S5. Simultaneous inhibition of VegT and Wnt signalling suppresses Spemann organizer gene
expression in the early gastrula. Four-cell stage embryos were radially injected in the equatorial
29
region with indicated mRNAs and RT-PCR analysis of the expression level of goosecoid, chordin
and BMP4 genes was performed at the early gastrula stage. ODC was a loading control.
Figure S6. Cooperation between VegT and Wnt signalling is required for the initiation of siamois
transcription. Embryos at the 4-cell stage were radially injected with indicated mRNA at the
equatorial region. RT-PCR analysis of siamois expression was examined at the start of zygotic
transcription (stage 8) and at a 1.5 hours interval. Simultaneous inhibition of VegT and Wnt
signalling prevents siamois transcription. ODC was a loading control.
Figure S7. Inhibition of Nodal signalling by Cerberus-short differentially affects the expression of
Xnr genes induced by VegT and Wnt8. Indicated synthetic mRNAs were injected in the animal pole
region at the 2-cell stage and ectoderm explants were dissected at the early gastrula stage for RTPCR
analysis. Coinjection of cer-S mRNA inhibited the expression of Xnr2, Xnr4 and Xnr6, but not
Xnr1 and Xnr3. ODC was a loading control.