Click here to close
Hello! We notice that you are using Internet Explorer, which is not supported by Xenbase and may cause the site to display incorrectly.
We suggest using a current version of Chrome,
FireFox, or Safari.
Figure 1. A schema for retinal regeneration in X. tropicalis: stem/progenitor cells in the ciliary marginal zone regenerate the whole retina.(A) Normal eye. During the growth of the eye, stem/progenitor cells in the ciliary marginal zone (CMZ) produce retinal progenitor cells, which are incorporated into the retina at the periphery. (B) An eye immediately after retinal removal. An incision is made at the dorsal periphery of the eye, and the lens fibers are removed, leaving the retinal vascular membrane (RVM) in the posterior chamber. Some of the retinal pigmented epithelial (RPE) cells begin to be detached and migrate to the RVM, where they form a new RPE layer (as seen in Figure C). (C) At the later stage of regeneration (days 15â20), the regenerating retina extends further to the posterior. At the posterior edge of the regenerating retina, a proliferating zone (progenitor zone) is observed (consisting of actively proliferating cells). At the peripheral end of the regenerating retina (closer to the iris) there still remain progenitor cells that are intensely labeled for BrdU. The regenerating retina is sandwiched by progenitor cell zones at both ends. In X. tropicalis, RPE cells in the newly formed epithelium do not appear to transdifferentiate into neuronal cells, although some cells at the boundary to the regenerating retina become less pigmented. These cells are gradually lost as the regenerating retina extends more posteriorly. Contrary to X. tropicalis, the RPE cells on the RVM transdifferentiate into the retina in X. laevis. The schema is modified from the original figure (Miyake and Araki, 2014).
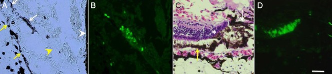
Figure 2. BrdU labeling of stem/progenitor cells at the early stage of regeneration (day 5) (A, B) and late stage (day 20) (C, D).(A, B) At the early stage, there is an actively proliferating cell zone (asterisk in A) juxtaposed to the presumable ciliary marginal zone (CMZ) (yellow arrowhead) and the iris (white arrowhead). This proliferating cell zone (progenitor cells) appear continuous to the newly formed retinal pigmented epithelial (RPE) layer (white arrow). The original RPE layer is shown by yellow arrows. A is a phase contrast micrograph image and is identical to B. (C, D) At the later stage, there is another progenitor cell clusters (asterisk) at the posterior end of regenerating retina. There still remain some RPE cells (white arrow). The original RPE is shown by a yellow arrow. C is a micrograph of a section stained with hematoxylin and eosin, and is identical to D. Scale bar in D is 45 μm and applied to AâC.
Borday,
Antagonistic cross-regulation between Wnt and Hedgehog signalling pathways controls post-embryonic retinal proliferation.
2012, Pubmed,
Xenbase
Borday,
Antagonistic cross-regulation between Wnt and Hedgehog signalling pathways controls post-embryonic retinal proliferation.
2012,
Pubmed
,
Xenbase Del Rio-Tsonis,
Eye regeneration at the molecular age.
2003,
Pubmed
,
Xenbase Fischer,
Neural regeneration in the chick retina.
2005,
Pubmed Lenkowski,
Müller glia: Stem cells for generation and regeneration of retinal neurons in teleost fish.
2014,
Pubmed Matsushita,
Immediate differentiation of neuronal cells from stem/progenitor-like cells in the avian iris tissues.
2014,
Pubmed Miyake,
Retinal stem/progenitor cells in the ciliary marginal zone complete retinal regeneration: a study of retinal regeneration in a novel animal model.
2014,
Pubmed
,
Xenbase Perron,
A novel function for Hedgehog signalling in retinal pigment epithelium differentiation.
2003,
Pubmed
,
Xenbase Wohl,
Neurogenic potential of stem/progenitor-like cells in the adult mammalian eye.
2012,
Pubmed Yoshii,
Neural retinal regeneration in the anuran amphibian Xenopus laevis post-metamorphosis: transdifferentiation of retinal pigmented epithelium regenerates the neural retina.
2007,
Pubmed
,
Xenbase