XB-ART-50344
Dev Biol
2015 Dec 15;4082:229-43. doi: 10.1016/j.ydbio.2015.03.009.
Show Gene links
Show Anatomy links
Regeneration of Xenopus laevis spinal cord requires Sox2/3 expressing cells.
???displayArticle.abstract???
Spinal cord regeneration is very inefficient in humans, causing paraplegia and quadriplegia. Studying model organisms that can regenerate the spinal cord in response to injury could be useful for understanding the cellular and molecular mechanisms that explain why this process fails in humans. Here, we use Xenopus laevis as a model organism to study spinal cord repair. Histological and functional analyses showed that larvae at pre-metamorphic stages restore anatomical continuity of the spinal cord and recover swimming after complete spinal cord transection. These regenerative capabilities decrease with onset of metamorphosis. The ability to study regenerative and non-regenerative stages in Xenopus laevis makes it a unique model system to study regeneration. We studied the response of Sox2(/)3 expressing cells to spinal cord injury and their function in the regenerative process. We found that cells expressing Sox2 and/or Sox3 are present in the ventricular zone of regenerative animals and decrease in non-regenerative froglets. Bromodeoxyuridine (BrdU) experiments and in vivo time-lapse imaging studies using green fluorescent protein (GFP) expression driven by the Sox3 promoter showed a rapid, transient and massive proliferation of Sox2(/)3(+) cells in response to injury in the regenerative stages. The in vivo imaging also demonstrated that Sox2(/)3(+) neural progenitor cells generate neurons in response to injury. In contrast, these cells showed a delayed and very limited response in non-regenerative froglets. Sox2 knockdown and overexpression of a dominant negative form of Sox2 disrupts locomotor and anatomical-histological recovery. We also found that neurogenesis markers increase in response to injury in regenerative but not in non-regenerative animals. We conclude that Sox2 is necessary for spinal cord regeneration and suggest a model whereby spinal cord injury activates proliferation of Sox2/3 expressing cells and their differentiation into neurons, a mechanism that is lost in non-regenerative froglets.
???displayArticle.pubmedLink??? 25797152
???displayArticle.pmcLink??? PMC4826040
???displayArticle.link??? Dev Biol
???displayArticle.grants??? [+]
Species referenced: Xenopus laevis
Genes referenced: dcx dpt neurod1 neurog2 neurog3 sox2 sox3
???displayArticle.morpholinos??? sox2 MO2 sox2 MO5 sox3 MO4
???attribute.lit??? ???displayArticles.show???
|
|
Fig. 1. Characterization of regenerative stages of Xenopus laevis. Hematoxylin and eosin staining of longitudinal sections of spinal cord from uninjured animals and at 2, 6, 10 and 20 dpt in pre-metamorphic stage 50 (AâE) and 54 (FâJ) respectively. Magnifications shown in black box for stage 50 (Aâ²âEâ²) and 54 (Fâ²âJâ²). Samples of swim trajectories (top, single representative animals for each step) and graphs of the total time animals spent swimming in 5 min at stage 50 (K) and stage 54 (L) in sham-operated animals and in animals with spinal cord transection at 0, 5, 10, 20 and 30 dpt. Dotted line: injury site or ablation gap, yellow arrowheads: meningeal layer, arrow: cell clusters, vz: ventricular zone, svz: sub-ventricular zone. Scale bar (AâJ) 100 µm; (Aâ²âJâ²) 30 µm. * Pâ¤0.05. (For interpretation of the references to color in this figure legend, the reader is referred to the web version of this article.) |
|
|
Fig. 2. Characterization of non-regenerative stages of Xenopus laevis. Hematoxylin and eosin staining of longitudinal sections of spinal cords from uninjured animals and at 2, 6, 10 and 20 dpt in pro-metamorphic stage 56 (AâE) and post-metamorphic stage 66 (FâJ) respectively. Black boxes indicate magnifications for stage 56 (Aâ²âEâ²) and 66 (Fâ²âJâ²). Samples of swim trajectories (top, single representative animals for each step) and graphs of the total time animals spent swimming in 5 min at stage 56 (K) and stage 66 (L) in sham-operated animals and in animals with spinal cord transection at 0, 5, 10, 20 and 30 dpt. Dotted line: injury site or ablation gap, yellow arrowheads: meningeal layer, arrow: cell clusters, vz: ventricular zone, svz: sub-ventricular zone. Scale bar (AâE) 100 µm; (FâJ) 200 µm; (Aâ²âJâ²) 30 µm. (For interpretation of the references to color in this figure legend, the reader is referred to the web version of this article.) |
|
|
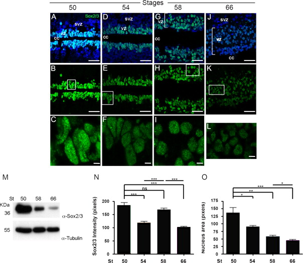
Fig. 3. Analysis of Sox2/3 expression in the spinal cord in non-regenerative and regenerative stages. (A–L) Longitudinal cryosections through the spinal cord of animals at stage 50 (A–C), 54 (D–F), 58 (G–I) and 66 (J–L), analyzed by immunostaining for Sox2/3 (green) and staining for TOTO3 (nuclei, blue). A, D, G and J. Double labeling for Sox2/3 and TOTO3. B,E,H and K. Sox2/3 only. (C, F, I and L) Higher magnification images of regions shown in white boxes in B, E, H, K. (M) Western blot showing immunolabeling for Sox2/3 in tadpoles (stage 50–58) and froglets (stage 66). α-tubulin immunolabeling is shown as a loading control. (N) Analysis of the signal intensity of Sox2/3 immunolabeling in of B,E,H and K. (O) Analysis of the area of the nuclei of C,F,I and L. cc: central channel, vz: ventricular zone and svz: sub-ventricular zone. Scale bars (A, B, D, E, G, H, J and K) 20 µm; (C, F, I and L) 2 µm. *P <0.05, **P<0.01, and ***P<0.001. (For interpretation of the references to color in this figure legend, the reader is referred to the web version of this article.) |
|
|
Fig. 4. Proliferation of Sox2/3+ cells in response to spinal cord injury. (AâP) Immunolabeling for BrdU and Sox2/3 in stage 50 or 66 animals at designated times after spinal cord transection show dramatic increases in proliferation in regenerative stages but not non-regenerative stages. Spinal cords were transected and animals were treated for 16 h with BrdU and fixed at 2, 6 or 10 dpt. Horizontal sections through the spinal cord were analyzed by double immunofluorescence BrdU (green) and Sox2/3 (red) from uninjured animals and at 2, 6 and 20 dpt in tadpoles stage 50 (AâH) and uninjured, 2, 6 and 10 dpt in froglets stage 66 (IâP). (B, D, F, H, J, L, N and P) Higher magnifications of regions shown in black boxes for A, C, E, G, I, K, M and O. Arrow and arrowheads in C, D and F: BrdU+Sox2/3+ cells and BrdU+ Sox2/3- respectively. vz: ventricular zone and svz: sub-ventricular zone. Nuclei: TOTO3 (blue). Scale bars are as indicated. (For interpretation of the references to color in this figure legend, the reader is referred to the web version of this article.) |
|
|
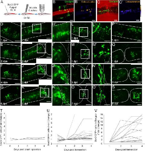
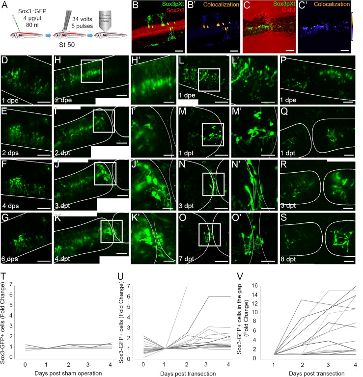
Fig. 5. In vivo time-lapse imaging of Sox2/3+ cells in response to spinal cord injury. (A) Schematic representation of in vivo electroporation and imaging by 2 Photon Microscopy of pSox3: GFP in the spinal cord of stage 50 tadpoles. Double immunofluorescence in sagittal sections of the spinal cord for (B) GFP (green), Sox2 immunolabeling (red), (C) CldU (red). Co-localization analysis is shown in (Bâ² and Câ²) in a pseudo-color scale. (DâS) Z-stacks of in vivo 2 photon microscope images of GFP-expressing cells after electroporation, show a control sham animal at (D) 1 day after electroporation (dpe), (E) 2 dps, (F) 4 dps, (G) 6 dps. After SCI, the increase in total number of GFP+ cells is shown in (H) at 2 dpe, (I) 2 dpt, (J) 3 dpt, (K) 4 dpt, (Hâ²âKâ²) magnifications of (HâK). (LâS) Migration of GFP+ cells to the gap injury site is shown in (L) at 1 dpe, (M) 1 dpt, (N) 3 dpt, (O) 7 dpt, magnifications of (LâO) in (Lâ²âOâ²), and no migration in (P) at 1 dpe, (Q) 1 dpt, (R) 3 dpt, (S) 8 dpt. Fold change of Sox3-GFP+ cells in sham control animals (T), after injury (U) and migration to the gap injury (V). Scale bar in (BâCâ²; DâG; HâK; LâO; PâS) 100 µm, (Hâ²âKâ²; Lâ²âOâ²) 50 µm. (For interpretation of the references to color in this figure legend, the reader is referred to the web version of this article.) |
|
|
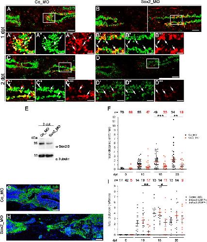
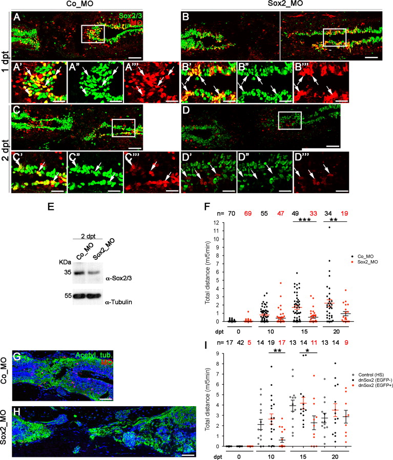
Fig. 6. Sox2 is required for functional recovery after spinal cord injury. (AâDâ²â²) Tadpoles at stage 50 were electroporated with control lissamine-tagged morpholino (Co_MO, red) and Sox2 lissamine-tagged morpholino (Sox2_MO, red), transected, and analyzed by immunofluorescence against Sox2/3 (green) in longitudinal sections at 1 (AâBâ²â²) and 2 (CâDâ²â²) dpt. (Aâ², Aâ², Aâ²â²), (Bâ², Bâ², Bâ²â²), (Câ², Câ², Câ²â²) and (Dâ², Dâ², Dâ²â²) magnification of insets showed in A, B, C, D respectively. Arrows: co-localization of morpholino with Sox2/3 antibody. (E) Western blot of Sox2/3 in Co_MO and Sox2_MO. (F) Graph of the total distance swam by tadpoles electroporated with Co_MO (black circles) and Sox2_MO (red circles). (GâH) Immunofluorescence of acetylated tubulin in spinal cord longitudinal sections of electroporated Co_MO tadpoles (G) and Sox2_MO (H) after 15 days post electroporation and transection. Morpholino (red) acetylated tubulin (green) and nuclei (blue). Pictures are representative of the results observed in two independent experiments. (I) Graph of the total distance swam by transgenic tadpoles. All animals received a heat shock one day before transection and at 1 and 2 dpt. Red circles: animals that overexpress dnSox2 (EGFP+), black circles transgenic animals that do not overexpress the transgene (EGFPâ) and empty circles correspond to control animals. m/5 min: meters in 5 min. Scale bar in (AâD) 100 µm, (Aâ²âAâ²; BââBâ²; Câ²âCâ²; Dâ²âDâ²; GâH) 20 µm. *P<0.05, **P<0.01, and ***P<0.001. (For interpretation of the references to color in this figure legend, the reader is referred to the web version of this article.) |
|
|
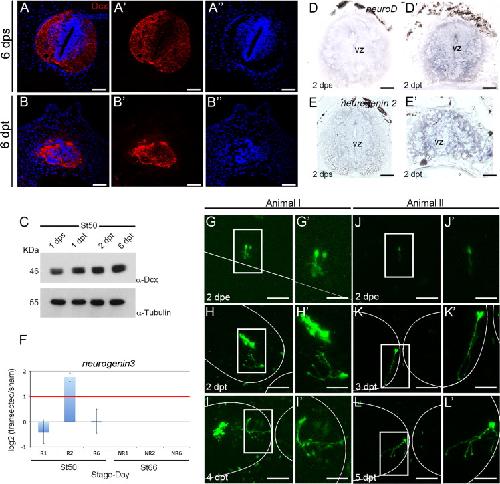
Fig. 7. SCI induces neurogenesis in regenerative stage animals. (AâBâ²) Immunofluorescence of the Doublecortin (Dcx, red) in spinal cord transversal cryosections at stage 50 in sham (A, Aâ²) and 2 dpt (B, Bâ²) animals. Nuclei: Hoescht (blue). (C) Western blot of Dcx in sham and 1, 2, 6 dpt tadpoles (upper panel) and Tubulin (bottom panel) as loading control. (DâEâ²) In situ hybridization of neuroD and neurogenin2 in 2 dps (D, E) and 2 dpt (Dâ²âEâ²) tadpoles. (F) Dynamic expression of neurogenin3 for RT-qPCR in tadpoles (R) and froglets (NR) in 1, 2 and 6 dpt. (GâLâ²) Z-stack of in vivo imaging of Sox3: GFP electroporated cells after spinal injury showing early differentiation to neuronal morphology in: animal I at (G) 2 dpe, (H) 2 dpt and (I) 4 dpt, and animal II at (J) 2 dpe, (K) 3 dpt and (L) 5 dpt. Magnifications of (GâI) and (JâL) are show in (Gâ²âIâ²) and (Jâ²âLâ²) respectively. vz: ventricular zone. Scale bar in (AâBâ²) 20 µm (GâL) 100 µm, (Gâ²âLâ²) 50 µm. (For interpretation of the references to color in this figure legend, the reader is referred to the web version of this article.) |
|
|
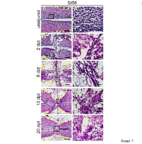
Fig. S1: Stage 58 animals are non-regenerative. Regenerative capability evaluated by histological analysis. Hematoxilin and eosin stain of longitudinal sections of spinal cord in untransected (uninjured) animals and at 2, 6, 10 and 20 dpt in pro-metamorphic stage 58 (A, B, C, D, E). Magnifications shown in black box are respectively (A′, B′, C′, D′, E′). Dotted line: injury site or ablation gap, yellow arrowheads: meningeal layer. Scale bar (A–E) 100 µm; (A′–E′) 30 µm. |
|
|
Fig. S2: Sox2/ Sox3 expression during metamorphosis. (A and B) Dynamic expression of Sox2 and Sox3 for RT-qPCR during metamorphosis. (C) Quantification of Sox2/3+/BrdU+ cells present in the spinal cord at different stages of metamorphosis (see Fig. 3 A and I). ⁎P<0.05, ⁎⁎P<0.01, and ⁎⁎⁎P<0.001. |
|
|
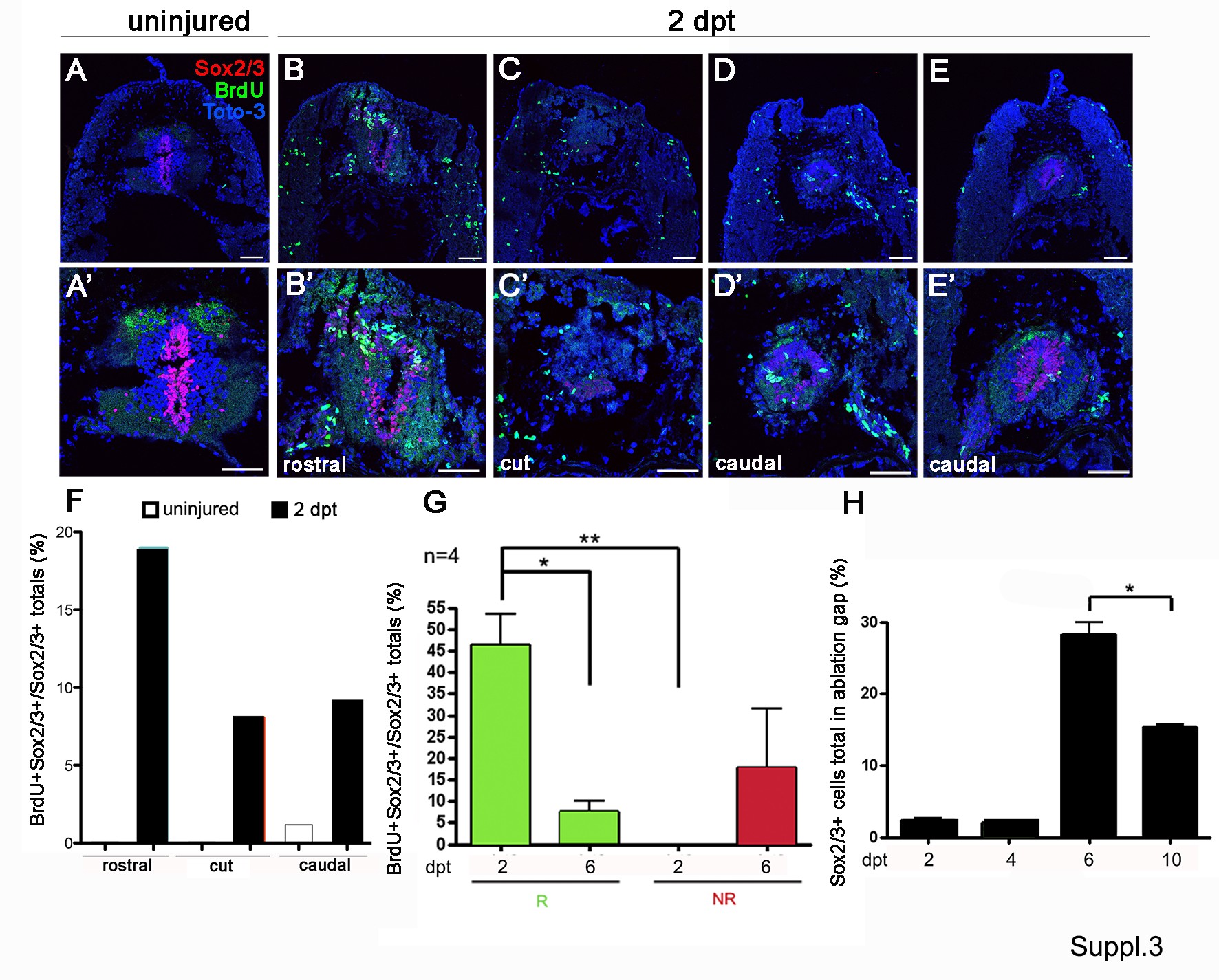
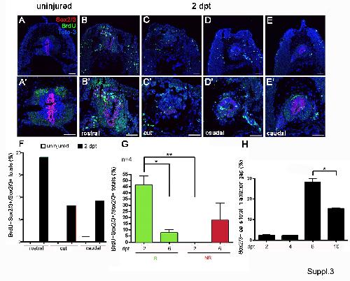
Fig. S3: Proliferation of Sox2/3+cells in response to spinal cord injury in transverse sections. Animals at stage 50 were analyzed by double immunofluorescence BrdU (green) and Sox2/3 (red) from spinal cord in transverse sections in uninjured animals (uninjured, A, A′) and at 2 dpt (B–E′). Magnifications of (A–E) are show in (A′ –E′). (F) Quantification of Sox2/3+/BrdU+ cells present in different areas of the injured spinal cord shown in (A′–E′). (G) Quantification of Sox2/3+/BrdU+ cells present in the ablation gap shown in (Fig. 4). (H) Quantification of Sox2/3+ cells present in the ablation gap shown in (Fig. 4). Scale bar in (A–E) 100 µm (A′–E′) 50 µm. ⁎P<0.05, ⁎⁎P<0.01, and ⁎⁎⁎P<0.001. |
|
|
Fig. S4: Transgenesis for Sox3: GFP. (A–D) One-cell stage embryos were injected with 50pg of pSox3: GFP. At stage 20 (A–B) and 40 (C–D) its transgenesis was confirmed by observing their fluorescence in the stereoscope. |
|
|
Fig. S5: cDNA and morpholino sequences. Alignments of sequences of cDNAs with the sequences of morpholino antisense oligonucleotides used. |
|
|
Fig. S6: Effect of dnSox2 in spinal cord regeneration. (A) Schematic representation of the protocol used for the heat shock and transection in stage 50 tadpoles. (B–C) dnSox2 F1 tadpoles were analyzed at stage 50 by immunofluorescence in flat mounts at 15 dpt. dnSox2 (EGFP+, B–B″) and dnSox2 (EGFP-, C–C″). EGFP (green), acetylated tubulin (red) and nuclei (blue). Scale bar in (B–C″) 100 µm. |
|
|
Fig. S7: Effect of Sox3_MO in spinal cord regeneration. Graph of the total distance swam by tadpoles electroporated with Co_MO (black circles), Sox2a_MO (red circles), Sox3_MO (blue circles) and Sox2a_MO+Sox3_MO (green circles). m/5 min: meters in 5 min. |
|
|
Fig. S8: In vivoelectroporation of pSox3: GFP reveals neuronal differentiation in response to spinal cord injury in stage 50 tadpoles. (A) Schematic time line of in vivo electroporation of pSox3: GFP in the spinal cord and imaging by in vivo time lapse 2 photon microscopy. (B) Fold change of GFP+ cells with neural morphology after SCI. |
References [+] :
Arnold,
Sox2(+) adult stem and progenitor cells are important for tissue regeneration and survival of mice.
2011, Pubmed
Arnold, Sox2(+) adult stem and progenitor cells are important for tissue regeneration and survival of mice. 2011, Pubmed
Avilion, Multipotent cell lineages in early mouse development depend on SOX2 function. 2003, Pubmed
Barnabé-Heider, Stem cells for spinal cord repair. 2008, Pubmed
Barnabé-Heider, Origin of new glial cells in intact and injured adult spinal cord. 2010, Pubmed
Beattie, Metamorphosis alters the response to spinal cord transection in Xenopus laevis frogs. 1990, Pubmed , Xenbase
Becker, Axonal regrowth after spinal cord transection in adult zebrafish. 1997, Pubmed
Benraiss, Neurogenesis during caudal spinal cord regeneration in adult newts. 1999, Pubmed
Bertrand, Proneural genes and the specification of neural cell types. 2002, Pubmed
Bestman, In vivo time-lapse imaging of cell proliferation and differentiation in the optic tectum of Xenopus laevis tadpoles. 2012, Pubmed , Xenbase
Briona, Radial glial progenitors repair the zebrafish spinal cord following transection. 2014, Pubmed
Brunelli, Expression of Sox3 throughout the developing central nervous system is dependent on the combined action of discrete, evolutionarily conserved regulatory elements. 2003, Pubmed , Xenbase
Bylund, Vertebrate neurogenesis is counteracted by Sox1-3 activity. 2003, Pubmed
Cai, Doublecortin expression in adult cat and primate cerebral cortex relates to immature neurons that develop into GABAergic subgroups. 2009, Pubmed
Dee, Sox3 regulates both neural fate and differentiation in the zebrafish ectoderm. 2008, Pubmed
des Portes, A novel CNS gene required for neuronal migration and involved in X-linked subcortical laminar heterotopia and lissencephaly syndrome. 1998, Pubmed
Diaz Quiroz, Spinal cord regeneration: where fish, frogs and salamanders lead the way, can we follow? 2013, Pubmed
Du, miR-200 and miR-96 families repress neural induction from human embryonic stem cells. 2013, Pubmed
Echeverri, Electroporation as a tool to study in vivo spinal cord regeneration. 2003, Pubmed
Eisen, Controlling morpholino experiments: don't stop making antisense. 2008, Pubmed , Xenbase
Ellis, SOX2, a persistent marker for multipotential neural stem cells derived from embryonic stem cells, the embryo or the adult. 2004, Pubmed
Fan, Short-term environmental enrichment exposure induces proliferation and maturation of doublecortin-positive cells in the prefrontal cortex. 2014, Pubmed
Fei, CRISPR-mediated genomic deletion of Sox2 in the axolotl shows a requirement in spinal cord neural stem cell amplification during tail regeneration. 2014, Pubmed
Ferretti, Changes in spinal cord regenerative ability through phylogenesis and development: lessons to be learnt. 2003, Pubmed
Ferri, Sox2 deficiency causes neurodegeneration and impaired neurogenesis in the adult mouse brain. 2004, Pubmed
Forehand, Anatomical and behavioral recovery from the effects of spinal cord transection: dependence on metamorphosis in anuran larvae. 1982, Pubmed
Francis, Doublecortin is a developmentally regulated, microtubule-associated protein expressed in migrating and differentiating neurons. 1999, Pubmed
Gaete, Spinal cord regeneration in Xenopus tadpoles proceeds through activation of Sox2-positive cells. 2012, Pubmed , Xenbase
Georgi, Dicer is required for the transition from early to late progenitor state in the developing mouse retina. 2010, Pubmed
Gibbs, Metamorphosis and the regenerative capacity of spinal cord axons in Xenopus laevis. 2011, Pubmed , Xenbase
Gleeson, Doublecortin is a microtubule-associated protein and is expressed widely by migrating neurons. 1999, Pubmed
Godwin, The promise of perfect adult tissue repair and regeneration in mammals: Learning from regenerative amphibians and fish. 2014, Pubmed
Goldshmit, Fgf-dependent glial cell bridges facilitate spinal cord regeneration in zebrafish. 2012, Pubmed
Guo, Transcription factor Sox11b is involved in spinal cord regeneration in adult zebrafish. 2011, Pubmed
Harland, Xenopus research: metamorphosed by genetics and genomics. 2011, Pubmed , Xenbase
Horky, Fate of endogenous stem/progenitor cells following spinal cord injury. 2006, Pubmed
Horner, Proliferation and differentiation of progenitor cells throughout the intact adult rat spinal cord. 2000, Pubmed
Ishibashi, Generation of Transgenic Xenopus laevis: II. Sperm Nuclei Preparation. 2007, Pubmed , Xenbase
Ishibashi, Generation of Transgenic Xenopus laevis: III. Sperm Nuclear Transplantation. 2007, Pubmed , Xenbase
Ishibashi, Generation of Transgenic Xenopus laevis: I. High-Speed Preparation of Egg Extracts. 2007, Pubmed , Xenbase
Javaherian, Coordinated motor neuron axon growth and neuromuscular synaptogenesis are promoted by CPG15 in vivo. 2005, Pubmed , Xenbase
Kamachi, Sox proteins: regulators of cell fate specification and differentiation. 2013, Pubmed
Kishi, Requirement of Sox2-mediated signaling for differentiation of early Xenopus neuroectoderm. 2000, Pubmed , Xenbase
Klempin, Properties of doublecortin-(DCX)-expressing cells in the piriform cortex compared to the neurogenic dentate gyrus of adult mice. 2011, Pubmed
Koyano, The Xenopus Sox3 gene expressed in oocytes of early stages. 1997, Pubmed , Xenbase
Koyano-Nakagawa, Activation of Xenopus genes required for lateral inhibition and neuronal differentiation during primary neurogenesis. 1999, Pubmed , Xenbase
Kutsuna, Decrease in doublecortin expression without neuronal cell death in rat retrosplenial cortex after stress exposure. 2012, Pubmed
Lee, Conversion of Xenopus ectoderm into neurons by NeuroD, a basic helix-loop-helix protein. 1995, Pubmed , Xenbase
Lee-Liu, Spinal cord regeneration: lessons for mammals from non-mammalian vertebrates. 2013, Pubmed
Lee-Liu, Genome-wide expression profile of the response to spinal cord injury in Xenopus laevis reveals extensive differences between regenerative and non-regenerative stages. 2014, Pubmed , Xenbase
Lemaire, A role for cytoplasmic determinants in mesoderm patterning: cell-autonomous activation of the goosecoid and Xwnt-8 genes along the dorsoventral axis of early Xenopus embryos. 1994, Pubmed , Xenbase
Levy, Nuclear size is regulated by importin α and Ntf2 in Xenopus. 2010, Pubmed , Xenbase
Liu, Loss of BETA2/NeuroD leads to malformation of the dentate gyrus and epilepsy. 2000, Pubmed , Xenbase
Masui, Pluripotency governed by Sox2 via regulation of Oct3/4 expression in mouse embryonic stem cells. 2007, Pubmed
Meletis, Spinal cord injury reveals multilineage differentiation of ependymal cells. 2008, Pubmed
Meyer, Selective expression of doublecortin and LIS1 in developing human cortex suggests unique modes of neuronal movement. 2002, Pubmed
Michel, Axonal-ependymal associations during early regeneration of the transected spinal cord in Xenopus laevis tadpoles. 1979, Pubmed , Xenbase
Miyata, NeuroD is required for differentiation of the granule cells in the cerebellum and hippocampus. 1999, Pubmed
Mizuseki, Xenopus Zic-related-1 and Sox-2, two factors induced by chordin, have distinct activities in the initiation of neural induction. 1998, Pubmed , Xenbase
Mothe, Neural stem/progenitor cells from the adult human spinal cord are multipotent and self-renewing and differentiate after transplantation. 2011, Pubmed
Nacher, Doublecortin expression in the adult rat telencephalon. 2001, Pubmed
Okuda, Comparative genomic and expression analysis of group B1 sox genes in zebrafish indicates their diversification during vertebrate evolution. 2006, Pubmed
Parrinello, EphB signaling directs peripheral nerve regeneration through Sox2-dependent Schwann cell sorting. 2010, Pubmed
Peng, A unilateral negative feedback loop between miR-200 microRNAs and Sox2/E2F3 controls neural progenitor cell-cycle exit and differentiation. 2012, Pubmed
Pevny, Sox2 roles in neural stem cells. 2010, Pubmed
Reimer, Motor neuron regeneration in adult zebrafish. 2008, Pubmed
Rex, cSox21 exhibits a complex and dynamic pattern of transcription during embryonic development of the chick central nervous system. 1997, Pubmed
Rogers, Xenopus Sox3 activates sox2 and geminin and indirectly represses Xvent2 expression to induce neural progenitor formation at the expense of non-neural ectodermal derivatives. 2009, Pubmed , Xenbase
Rogers, Sox3 expression is maintained by FGF signaling and restricted to the neural plate by Vent proteins in the Xenopus embryo. 2008, Pubmed , Xenbase
Sabelström, Resident neural stem cells restrict tissue damage and neuronal loss after spinal cord injury in mice. 2013, Pubmed
Sandberg, Sox21 promotes the progression of vertebrate neurogenesis. 2005, Pubmed
Sarkar, The sox family of transcription factors: versatile regulators of stem and progenitor cell fate. 2013, Pubmed
Schlosser, Development of neurogenic placodes in Xenopus laevis. 2000, Pubmed , Xenbase
Schlosser, Thyroid hormone promotes neurogenesis in the Xenopus spinal cord. 2002, Pubmed , Xenbase
Shihabuddin, Adult spinal cord stem cells generate neurons after transplantation in the adult dentate gyrus. 2000, Pubmed
SIMS, Transection of the spinal cord in developing Xenopus laevis. 1962, Pubmed , Xenbase
Tanaka, Considering the evolution of regeneration in the central nervous system. 2009, Pubmed
Tetzlaff, A systematic review of cellular transplantation therapies for spinal cord injury. 2011, Pubmed
Thomson, Pluripotency factors in embryonic stem cells regulate differentiation into germ layers. 2011, Pubmed
Thuret, Therapeutic interventions after spinal cord injury. 2006, Pubmed
Tuszynski, Concepts and methods for the study of axonal regeneration in the CNS. 2012, Pubmed
Van Raay, Frizzled 5 signaling governs the neural potential of progenitors in the developing Xenopus retina. 2005, Pubmed , Xenbase
Walters, Shaping the nucleus: factors and forces. 2012, Pubmed
Xiong, Doublecortin-expressing cells are present in layer II across the adult guinea pig cerebral cortex: partial colocalization with mature interneuron markers. 2008, Pubmed
Yoshino, Successful reconstitution of the non-regenerating adult telencephalon by cell transplantation in Xenopus laevis. 2004, Pubmed , Xenbase
Zukor, Meningeal cells and glia establish a permissive environment for axon regeneration after spinal cord injury in newts. 2011, Pubmed
