Click here to close
Hello! We notice that you are using Internet Explorer, which is not supported by Xenbase and may cause the site to display incorrectly.
We suggest using a current version of Chrome,
FireFox, or Safari.
???displayArticle.abstract???
Neuroblastoma (NB), although rare, accounts for 15% of all paediatric cancer mortality. Unusual among cancers, NBs lack a consistent set of gene mutations and, excluding large-scale chromosomal rearrangements, the genome seems to be largely intact. Indeed, many interesting features of NB suggest that it has little in common with adult solid tumours but instead has characteristics of a developmental disorder. NB arises overwhelmingly in infants under 2 years of age during a specific window of development and, histologically, NB bears striking similarity to undifferentiated neuroblasts of the sympathetic nervous system, its likely cells of origin. Hence, NB could be considered a disease of development arising when neuroblasts of the sympathetic nervous system fail to undergo proper differentiation, but instead are maintained precociously as progenitors with the potential for acquiring further mutations eventually resulting in tumour formation. To explore this possibility, we require a robust and flexible developmental model to investigate the differentiation of NB's presumptive cell of origin. Here, we use Xenopus frog embryos to characterise the differentiation of anteroventral noradrenergic (AVNA) cells, cells derived from the neural crest. We find that these cells share many characteristics with their mammalian developmental counterparts, and also with NB cells. We find that the transcriptional regulator Ascl1 is expressed transiently in normal AVNA cell differentiation but its expression is aberrantly maintained in NB cells, where it is largely phosphorylated on multiple sites. We show that Ascl1's ability to induce differentiation of AVNA cells is inhibited by its multi-site phosphorylation at serine-proline motifs, whereas overexpression of cyclin-dependent kinases (CDKs) and MYCN inhibit wild-type Ascl1-driven AVNA differentiation, but not differentiation driven by a phospho-mutant form of Ascl1. This suggests that the maintenance of ASCL1 in its multiply phosphorylated state might prevent terminal differentiation in NB, which could offer new approaches for differentiation therapy in NB.
???displayArticle.pubmedLink???
25786414 ???displayArticle.pmcLink???PMC4415893 ???displayArticle.link???Dis Model Mech ???displayArticle.grants???[+]
Fig. 1. Migration of neural crest is required for expression of noradrenergic markers in the anteroventral region
Xenopus embryos were injected in one of the two-cell stage with beta-galactosidase (light blue) as a tracer along with either GFP as a control, or mRNA encoding a dominant negative form of Slug (dnSlug) to inhibit neural crest migration, injected side to the right. (A) Embryos were fixed at stage 17/18 and subject to in situ hybridization for the neural crest markers Slug, Snail, and FoxD3 and noradrenergic markers Phox2a and Hand2. (B) Embryos were scored compared to the uninjected side based on inhibition of migration for neural crest markers and reduced expression of noradrenergic markers (See Supplementary Fig.2). For scoring data, [n=28-45]. Kruskal-Wallis non-parametric ANOVA was performed comparing GFP control with dnSlug-injected embryos (p-values of <0.05 = *, <0.0005 = **, and <0.000005 = ***).
Fig. 2. Ascl1 is expressed transiently during noradrenergic development in the anteroventral region
Xenopus embryos were fertilized and allowed to develop to the developmental stage indicated before fixing and staining by ISH for NA neuron markers Ascl1, Hand2, Phox2a, and TH along with the neural crest marker Sox10. Embryos are all orientated with the ventral side imaged and head to the top. The anteroventral region where AVNA cell markers are expressed is expanded in the lower panel.
Fig. 3. p27Xic knock-down by morpholino injection inhibits neurogenesis
Xenopus laevis embryos were injected in one of the two-cell stage with beta-galactosidase (light blue) as a tracer along with either Xic1 mRNA or Xic1 antisense morpholino (MO) as indicated, injected side to the right. (A) At stage 19-20 embryos were subject to in situ hybridization to detect neural-β-tubulin, Phox2a, Hand2 and TH. (B) Embryos were scored for marker expression on the injected side relative to the uninjected side. For scoring data, [n=12-34]. Kruskal-Wallis non-parametric ANOVA was performed on control MO compared to Xic1 MO and uninjected compared to Xic1 mRNA (p-values of <0.05 = *, <0.0005 = **, and <0.000005 = ***).
Fig. 4. Neuroblastoma expresses the proneural protein Ascl1 and noradrenergic markers
Relative expression of Ascl1 in neuroblastoma primary tumors and normal tissue (A) and across tumor types (B) were determined by analyzing publicly available microarray data (see Materials and Methods). Ascl1 expression in neuroblastoma cell lines and Ewing Sarcoma line, TC-71, as a negative control, was determined by western blot (C) and qPCR (D).
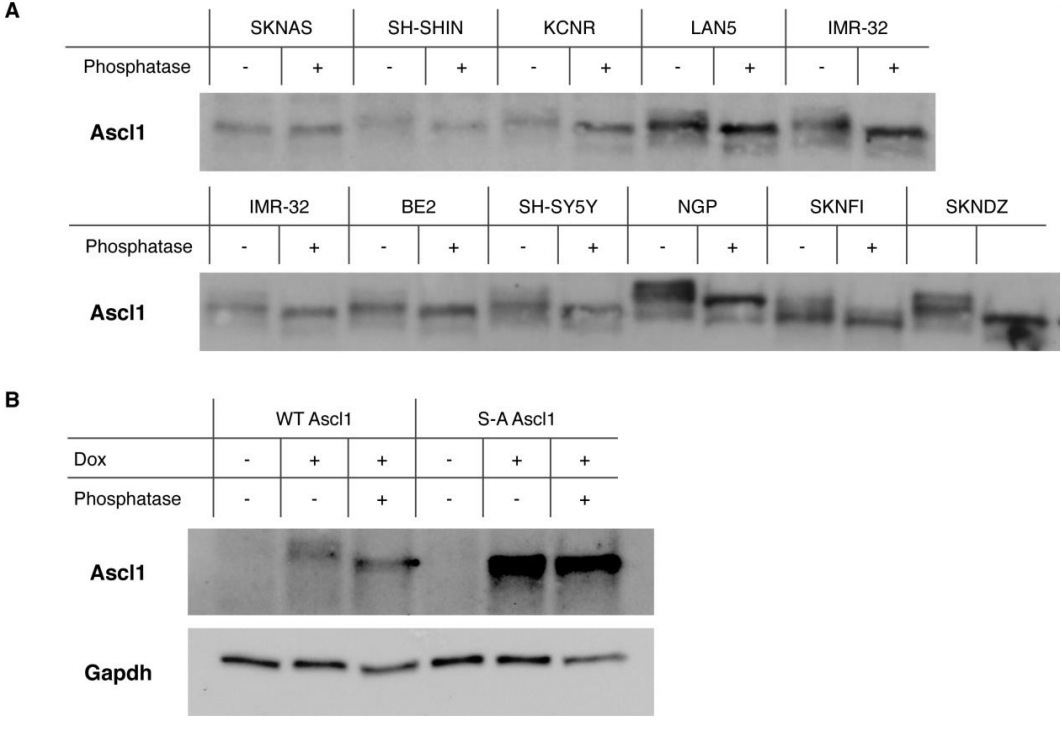
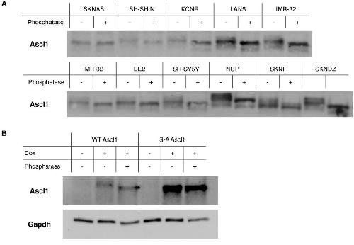
Fig. 5. Ascl1 is phosphorylated on multiple sites in NB cells
(A) Protein extracts from Fig. 4 were normalized based on Ascl1 expression and treated with and without lamda phosphatase. Samples were then separated by SDS PAGE and subject to western blotting for Ascl1 protein. (B) Human Ascl1 or phosphomutant S-A Ascl1 were
over-expressed in SY5Y cells, and treated with and without lamda phosphatase. Slowed migration observed on SDS PAGE can be attributed to phosphorylation on serine-proline sites.
Fig. 6. CDK activity inhibits AVNA cell differentiation induced by WT Ascl1 but not SA Ascl1
Xenopus embryos were injected in one of the two-cell stage with beta-galactosidase (light blue) as a tracer along with mRNA encoding Cyclin A/CDK2 and/or mouse WT/S-A Ascl1, as indicated, injected side to the right. (A) Embryos were subject to in situ hybridization for AVNA markers at stage 18-19, as labeled, (see Supplementary Fig. 2 for scoring scheme). (B) Embryos were scored for marker expression comparing the injected and ininjected side. For scoring data, [n=20-32]. Kruskal-Wallis non-parametric ANOVA was performed comparing WT Ascl1 with S-A Ascl1 without and with Cyclin A/CDK2 (p-values of <0.05 = *, <0.0005 = **, and <0.000005 = ***).
Fig. 7. N-Myc inhibits AVNA cell differentiation induced by WT Ascl1 but not S-A Ascl1
Xenopus embryos were injected in one of the two-cell stage with beta-galactosidase (light blue) as a tracer along with mRNA encoding N-Myc with or without mouse WT/S-A Ascl1, as indicated. (A) Embryos were subject to in situ hybridization for AVNA markers as indicated at stage 18-19. (B) Embryos were scored for marker expression comparing the injected and ininjected side. For scoring data, [n=24-32]. Kruskal-Wallis non-parametric ANOVA was performed comparing WT Ascl1 and S-A Ascl1 with and without N-Myc (pvalues of <0.05 = *, <0.0005 = **, and <0.000005 = ***).
Figure. S1. Sox10 expression on the dorsal region of Xenopus embryos Xenopus embryos were fertilised and allowed to develop to the indicated developmental stage before fixing and staining by in situ hybridisation for neural crest marker Sox10. Embryos are orientated with the dorsal side imaged and head to the top.
Ali,
Cell cycle-regulated multi-site phosphorylation of Neurogenin 2 coordinates cell cycling with differentiation during neurogenesis.
2011, Pubmed,
Xenbase
Ali,
Cell cycle-regulated multi-site phosphorylation of Neurogenin 2 coordinates cell cycling with differentiation during neurogenesis.
2011,
Pubmed
,
Xenbase Ali,
The phosphorylation status of Ascl1 is a key determinant of neuronal differentiation and maturation in vivo and in vitro.
2014,
Pubmed
,
Xenbase Bellmeyer,
The protooncogene c-myc is an essential regulator of neural crest formation in xenopus.
2003,
Pubmed
,
Xenbase Berry,
The ALK(F1174L) mutation potentiates the oncogenic activity of MYCN in neuroblastoma.
2012,
Pubmed Britsch,
The transcription factor Sox10 is a key regulator of peripheral glial development.
2001,
Pubmed Brodeur,
Neuroblastoma: biological insights into a clinical enigma.
2003,
Pubmed Castro,
A novel function of the proneural factor Ascl1 in progenitor proliferation identified by genome-wide characterization of its targets.
2011,
Pubmed De Preter,
Human fetal neuroblast and neuroblastoma transcriptome analysis confirms neuroblast origin and highlights neuroblastoma candidate genes.
2006,
Pubmed Ernsberger,
Proliferation and differentiation of embryonic chick sympathetic neurons: effects of ciliary neurotrophic factor.
1989,
Pubmed Guillemot,
Mammalian achaete-scute homolog 1 is required for the early development of olfactory and autonomic neurons.
1993,
Pubmed Hardwick,
Nervous decision-making: to divide or differentiate.
2014,
Pubmed Honoré,
Sox10 is required for the early development of the prospective neural crest in Xenopus embryos.
2003,
Pubmed
,
Xenbase Howard,
Mechanisms and perspectives on differentiation of autonomic neurons.
2005,
Pubmed Kim,
SOX10 maintains multipotency and inhibits neuronal differentiation of neural crest stem cells.
2003,
Pubmed Knoepfler,
N-myc is essential during neurogenesis for the rapid expansion of progenitor cell populations and the inhibition of neuronal differentiation.
2002,
Pubmed LaBonne,
Snail-related transcriptional repressors are required in Xenopus for both the induction of the neural crest and its subsequent migration.
2000,
Pubmed
,
Xenbase Lange,
Cdk4/cyclinD1 overexpression in neural stem cells shortens G1, delays neurogenesis, and promotes the generation and expansion of basal progenitors.
2009,
Pubmed Lei,
Targeted deletion of Hand2 in enteric neural precursor cells affects its functions in neurogenesis, neurotransmitter specification and gangliogenesis, causing functional aganglionosis.
2011,
Pubmed Maris,
Neuroblastoma.
2007,
Pubmed Maris,
Recent advances in neuroblastoma.
2010,
Pubmed Matsuo,
p27Kip1: a key mediator of retinoic acid induced growth arrest in the SMS-KCNR human neuroblastoma cell line.
1998,
Pubmed Matthay,
Treatment of high-risk neuroblastoma with intensive chemotherapy, radiotherapy, autologous bone marrow transplantation, and 13-cis-retinoic acid. Children's Cancer Group.
1999,
Pubmed Mestdagh,
MYCN/c-MYC-induced microRNAs repress coding gene networks associated with poor outcome in MYCN/c-MYC-activated tumors.
2010,
Pubmed Molenaar,
Cyclin D1 and CDK4 activity contribute to the undifferentiated phenotype in neuroblastoma.
2008,
Pubmed Molenaar,
Inactivation of CDK2 is synthetically lethal to MYCN over-expressing cancer cells.
2009,
Pubmed Molenaar,
Sequencing of neuroblastoma identifies chromothripsis and defects in neuritogenesis genes.
2012,
Pubmed Nakamura,
Accumulation of p27 KIP1 is associated with BMP2-induced growth arrest and neuronal differentiation of human neuroblastoma-derived cell lines.
2003,
Pubmed Pang,
Induction of human neuronal cells by defined transcription factors.
2011,
Pubmed Parlier,
Xenopus zinc finger transcription factor IA1 (Insm1) expression marks anteroventral noradrenergic neuron progenitors in Xenopus embryos.
2008,
Pubmed
,
Xenbase Pattyn,
The homeobox gene Phox2b is essential for the development of autonomic neural crest derivatives.
1999,
Pubmed Pugh,
The genetic landscape of high-risk neuroblastoma.
2013,
Pubmed Rader,
Dual CDK4/CDK6 inhibition induces cell-cycle arrest and senescence in neuroblastoma.
2013,
Pubmed Rheinbay,
An aberrant transcription factor network essential for Wnt signaling and stem cell maintenance in glioblastoma.
2013,
Pubmed Richard-Parpaillon,
G1/S phase cyclin-dependent kinase overexpression perturbs early development and delays tissue-specific differentiation in Xenopus.
2004,
Pubmed
,
Xenbase Rohrer,
Transcriptional control of differentiation and neurogenesis in autonomic ganglia.
2011,
Pubmed Sarkar,
Perspectives on integration of cell extrinsic and cell intrinsic pathways of signaling required for differentiation of noradrenergic sympathetic ganglion neurons.
2006,
Pubmed Schwab,
Amplified DNA with limited homology to myc cellular oncogene is shared by human neuroblastoma cell lines and a neuroblastoma tumour.
,
Pubmed Söderholm,
Human achaete-scute homologue 1 (HASH-1) is downregulated in differentiating neuroblastoma cells.
1999,
Pubmed Sonnenberg-Riethmacher,
Development and degeneration of dorsal root ganglia in the absence of the HMG-domain transcription factor Sox10.
2001,
Pubmed Southard-Smith,
Sox10 mutation disrupts neural crest development in Dom Hirschsprung mouse model.
1998,
Pubmed Talikka,
Characterization of Xenopus Phox2a and Phox2b defines expression domains within the embryonic nervous system and early heart field.
2004,
Pubmed
,
Xenbase Thiele,
Regulation of N-myc expression is a critical event controlling the ability of human neuroblasts to differentiate.
1988,
Pubmed Thiele,
Decreased expression of N-myc precedes retinoic acid-induced morphological differentiation of human neuroblastoma.
,
Pubmed Unsicker,
The chromaffin cell and its development.
2005,
Pubmed Valentijn,
Functional MYCN signature predicts outcome of neuroblastoma irrespective of MYCN amplification.
2012,
Pubmed Vernon,
The cdk inhibitor p27Xic1 is required for differentiation of primary neurones in Xenopus.
2003,
Pubmed
,
Xenbase Vierbuchen,
Direct conversion of fibroblasts to functional neurons by defined factors.
2010,
Pubmed Vosper,
Ubiquitylation on canonical and non-canonical sites targets the transcription factor neurogenin for ubiquitin-mediated proteolysis.
2009,
Pubmed
,
Xenbase Vosper,
Regulation of neurogenin stability by ubiquitin-mediated proteolysis.
2007,
Pubmed
,
Xenbase Wang,
EZH2 Mediates epigenetic silencing of neuroblastoma suppressor genes CASZ1, CLU, RUNX3, and NGFR.
2012,
Pubmed Weiss,
Targeted expression of MYCN causes neuroblastoma in transgenic mice.
1997,
Pubmed Zhu,
Activated ALK collaborates with MYCN in neuroblastoma pathogenesis.
2012,
Pubmed