|
Fig. 1. Phenotype grading scale used for the visual analysis of the gross response of embryos to MeHg exposure. The scale applies to pre and post hatching embryos. The scores are: 5, normal development; 4, cell loss in vitelline membrane obscuring b 25% of the embryo without gross deformity for pre-, or minor deformities with no loss of morphology, such as spine curling for post-; 3, two or more stages behind paired non-exposed controls; 2, large amount of cell loss to vitelline membrane obscuring N25% of embryo for pre-, or large amount of deformity causing loss of morphological features in post-; 1, ball of cells that has ceased to develop. Not shown is score 0, which is full lysis and removal. Scale bar represents 1 mm. |
|
Fig. 2.
Stacked percentages of embryos in each post hatching phenotype score at stage 33 + for a given exposure level of MeHgCl in solution. (A) Percentage of scores for embryos exposed at a density of 1 e/ml. N = 12 experiments, with 134 embryos total on average per dose. (B) and (C) are percentages of scores for embryo densities of 2 e/ml and 3 e/ml respectively. N = 17 experiments, with 320 embryos total on average; and N = 6 experiments, with 172 embryos total on average per dose, respectively. |
|
Fig. 3.
Average response and MeHg uptake of embryos exposed to MeHgCl at a density of 1 e/ml. (A) Scatter plot of the average phenotype score of all embryos in an experiment by the starting concentration of MeHgCl in solution, as measured by DMA. Each triangle point represents one exposure experiment consisting of 10 to 20 embryos. A sigmoidal curve fit of Ï2 = 4.36 is shown with its associated R2. N = 32 experiments, with 370 embryos total. (B) Concentration of total Hg detected in embryo dry weight tissue per MeHgCl solution exposure at different embryonic stages as measured by DMA-80. N = 4 experiments, 20 embryos total per dose for stages 4 â8 and 12, and 3 experiments and 15 embryos total per dose for stages 10 and 14â45. Error bars represent standard deviation. (C) Images of embryos at stages 45â46 exposed to indicated amounts of MeHgCl in solution. N = 12 experiments, with 138 total embryos on average per dose. |
|
Fig. 4. Expression of early neural patterning and late neural phenotype genes in embryos exposed to varying concentrations of MeHgCl in solution, as assayed by ISH. Stages 23â24 embryos are seen from a dorsal (left) and lateral (right) view probed for sox2 (AâC), en2 (DâF), and delta (GâI). Similarly, shown is the dorsal view of stage 12 embryos probed sox2 (JâM) and delta (NâQ). For neural phenotypes, a lateral view of stage 35 embryos is shown stained for xVGlut (RâU), GAD (VâY) and xGAT (ZâCC) expression. Dark purple-blue areas indicate positive expression of mRNA. For all images, anterior is on the right, and for lateral views dorsal is up. N = 2 experiments, with the total number of evaluated embryos shown at the lower right of each image. The number of embryos out of the total matching each image is also shown; where counts were evenly split, the embryos most similar to controls are displayed. Abbreviations: e, eye; fb, forebrain; hb, hindbrain; mb, midbrain; olf, olfactory; pg, pineal gland; sc, spinal cord; VII, cranial nerve VII; VIII, cranial nerve VIII; IX, cranial nerve IX. Scale bars represent 1 mm. |
|
Fig. 5. Expression pattern of PCNA at several developmental stages during MeHgCl solution exposure, as detected by ISH. Stages 14â15 (AâF), stages 19â20 (GâL), and stages 25â26 (MâR) embryos are seen from a dorsal view. Stages 37â38 embryos (SâX) are shown from a dorsal (left) and lateral (right) view, except for 200 μg/l, which is a featureless ball of cells. All embryos shown are representative near the average phenotype score from exposure at each dose. For all images, anterior is on the right. Dark purple-blue areas indicate positive PCNA expression. N = 2 experiments, with the total number of evaluated embryos shown at the lower right of each image. The number of embryos out of the total matching each image is also shown. (Y) qRT-PCR results of relative PCNA expression in stage 37 embryos at each MeHgCl dose. Values for the δδCÑ score in each condition have been normalized to the expression level of the 0 μg/l control and are shown using 2â δδCÑ scale. N = 1 biological experiment pooled from 10 embryos, and 3 technical replicates, for each dose. Scale bars represent 1 mm. |
|
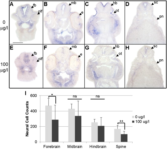
Fig. 6. Transverse histological cryosections through stage 37 embryos stained for PCNA expression (blue regions) by ISH. Forebrain, midbrain, hindbrain, and spinal cord sections of control (AâD) and MeHgCl solution exposed (EâH) embryos are shown oriented dorsal on top. Two of the four MeHgCl exposed embryos displayed abnormally reduced or absent forebrain structures as seen in (E). N = 2 experiments, with 4 embryos sectioned from each condition. (I) Neural cell counts using DAPI stain compared between unexposed and MeHgCl exposed embryos averaged over each CNS region. N = 4 experiments, with 7 embryos sectioned from 0 μg/l and 8 from 100 μg/l total. Error bars represent standard deviation. *p = 0.039, **p = 0.0056, ns = not significant as determined by Student's t-test for each region. Abbreviations: e, eye; fb, forebrain; hb, hindbrain; mb, midbrain; olf, olfactory; ot, otic vesicle; pn, pronephros; sc, spinal cord. Scale bar represents 150 μm. |
|
Fig. 7.
TUNEL staining for cells undergoing apoptosis in whole mount embryos exposed to MeHgCl solution. Shown dorsally are stages 10–12 (A–B), stages 14–15 (C–D), stages 19–20 (E–F), and stages 25–26 embryos (G–H). Stages 37–38 embryos (I–J) are seen from a lateral view. For all images, anterior is on the right. For controls, a low (top) and high (bottom) staining embryo is shown. For the MeHgCl exposed, an average (top) and below average (bottom) ranked embryo is shown for each stage. N = 2 experiments, and 10 embryos total for each. Scale bars represent 1 mm. |
|
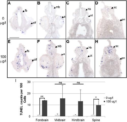
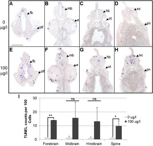
Fig. 8.
Histological sections cut transversely by cryosectioning though stage 37 embryos stained for apoptotic cells (blue dots) by TUNEL assay. Forebrain, midbrain, hindbrain, and spinal cord sections of control (AâD) and MeHgCl solution exposed (EâH) embryos are shown oriented dorsal on top. N = 2 experiments, with 4 embryos sectioned from each concentration. (I) Number of TUNEL positive cells per 100 neural cells compared between unexposed and MeHgCl exposed embryos averaged over each CNS region. N = 2 experiments, with 3 embryos sectioned from each condition. Error bars represent standard deviation. *p = 0.019, **p = 10â 6, ns = not significant as determined by Student's t-test for each region. Abbreviations: e, eye; fb, forebrain; hb, hindbrain; mb, midbrain; olf, olfactory; ot, otic vesicle; pn, pronephros; sc, spinal cord. Scale bar represents 150 μm. |