XB-ART-50027
Dev Dyn
2015 Feb 01;2442:181-210. doi: 10.1002/dvdy.24229.
Show Gene links
Show Anatomy links
Microarray identification of novel genes downstream of Six1, a critical factor in cranial placode, somite, and kidney development.
???displayArticle.abstract???
Six1 plays an important role in the development of several vertebrate organs, including cranial sensory placodes, somites, and kidney. Although Six1 mutations cause one form of branchio-otic syndrome (BOS), the responsible gene in many patients has not been identified; genes that act downstream of Six1 are potential BOS candidates. We sought to identify novel genes expressed during placode, somite and kidney development by comparing gene expression between control and Six1-expressing ectodermal explants. The expression patterns of 19 of the significantly up-regulated and 11 of the significantly down-regulated genes were assayed from cleavage to larval stages. A total of 28/30 genes are expressed in the otocyst, a structure that is functionally disrupted in BOS, and 26/30 genes are expressed in the nephric mesoderm, a structure that is functionally disrupted in the related branchio-otic-renal (BOR) syndrome. We also identified the chick homologues of five genes and show that they have conserved expression patterns. Of the 30 genes selected for expression analyses, all are expressed at many of the developmental times and appropriate tissues to be regulated by Six1. Many have the potential to play a role in the disruption of hearing and kidney function seen in BOS/BOR patients.
???displayArticle.pubmedLink??? 25403746
???displayArticle.pmcLink??? PMC4428348
???displayArticle.link??? Dev Dyn
???displayArticle.grants??? [+]
R01 DE022065 NIDCR NIH HHS, R01 NS023158 NINDS NIH HHS , R03 DE018723 NIDCR NIH HHS
Species referenced: Xenopus laevis
Genes referenced: arnt arrb2 cdca7l cdca8 clcnkb cnfn ctrl dnaja4 dnaja4.2 dpm1 fam89a foxi1 fzd10 hoxa3 hprt1 ism1 lsm1 nfya nrp1 otx1 pbx1 rab40b ralgds rbm42 rp2 septin5 six1 snai1 socs3 tbc1d31 tent2 trhd uncx XB5850668 xxylt1 zbtb43 zic2
???displayArticle.morpholinos??? six1 MO1 six1 MO2
???attribute.lit??? ???displayArticles.show???
|
|
Figure 2. Examples of changes in gene expression of putative Six1 targets after knock-down of endogenous Six1 levels by injection of antisense morpholino oligonucleotides (Six1 MOs), increased levels of wild-type Six1 by mRNA injection (Six1 WT), activation of Six1 targets by mRNA injection of an activating construct (Six1-VP16), or repression of Six1 targets by mRNA injection of a repressive construct (EnR-Six1) (see Brugmann et al., 2004 for validation of these constructs). Six1 MOs: Expression of Cdca7l in the segmenting somites (arrows on control [ctrl] side) is lost on the injected (inj) side (side views, anterior to left). Expression of HoxA3 in the neural crest (nc) is greatly reduced on the injected side, whereas hindbrain (hb) expression is maintained (side views, anterior to left). Expression of Ism1 is lost in the midbrain (arrow) (frontal view, dorsal to the top). Expression of IMAGE 3399268 is expanded in the neural plate (line depicts width from midline to lateral border) on the injected side (dorsal view, anterior to the bottom). Expression patterns of Cnfn1-a in the hatching gland (arrows) and of Snail1 in the migrating neural crest are reduced and disrupted on the injected sides (frontal views, dorsal to the top). Six1 WT: Expression of BG022063 is broader in the neural plate (line) and neural crest (bracket) on the injected side (frontal view, dorsal to the top). Expression of Nfya is broader in the neural tube (line) on the injected side (dorsal view, anterior to the top). Expression of IMAGE 3399268 in the segmented somites (arrows, ctrl side) is lost on the injected side (side views, anterior to left). Expression of IMAGE 4057931 in the neural crest (bracket), otocyst (oto) and trigeminal ganglion (arrow) is greatly diminished on the injected side (side views, anterior to left). Six1-VP16: Expression of Frizzled10b, Pbx1, and Zic2 in the neural plate is expanded (line) on the injected side (frontal views, dorsal to the top). EnR-Six1: Expression of Frizzled10b in the neural plate is reduced (line) on the injected side (frontal view, dorsal to the top). Expression of IMAGE 4057931 is reduced in the PPR (arrows on the control side; frontal view, dorsal to the top). Expression of Zic2 and Otx1 in the neural tube is reduced (line) on the injected sides (arrows; frontal views, dorsal to the top). In MO-injected embryos, injected sides were confirmed by the use of lysamine-labeled MOs (not shown). In mRNA-injected embryos, injected sides were confirmed by the presence of nuclear β-galactosidase lineage labeling (pink dots visible in most images). |
|
|
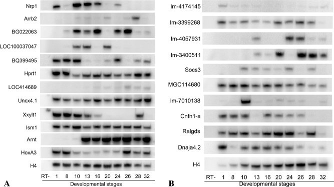
Figure 3. Semiquantitative RT-PCR assays illustrate the temporal expression patterns of previously uncharacterized up-regulated (A) and down-regulated (B) genes in normal, unmanipulated Xenopus embryos. RT−, minus RT step; numbers across the bottom indicate the developmental stages. H4 is an internal control. Im, IMAGE |
|
|
Figure 4. Whole-mount in situ hybridization assays at early developmental stages illustrating the common expression patterns of 14 up-regulated genes: Nrp1, Arrb2, BG022063, LOC100037047, BQ399495, Hrpt1, Rbm42-6, LOC414689, Uncx4.1, Xxylt1, Nfya, Tbc1d31, Cdca7l, Papd4-a. For all genes, expression is enhanced in the animal cells (an) of cleavage and blastula embryos (side views). At gastrula stages, expression is throughout the ectoderm, occasionally enhanced in the animal cells (e.g., Arrb2) or the dorsal cells (e.g., Nrp1) (side views). At early neural plate stages, all genes are expressed in the epidermis (epi), often more intensely on the dorsal (d) side, including neural plate (np) and border zone (bz) (all except Nrp1 are side views with anterior [a] to the left; Nrp1 is an anterior view with dorsal to the top). At late neural plate and neural tube stages, expression is strongest in the neural crest (nc), pre-placodal region (ppr), neural tube (nt) and occasionally cement gland (cem) (all are anterior views). For Nrp1, embryos were sectioned in the horizontal plane to demonstrate that the ppr stripe in the whole embryo is due to expression in the deep (d) layer of the ectoderm, not the superficial (s) layer of the ectoderm or the pharyngeal endoderm (phe); ph, lumen of pharynx. |
|
|
Figure 5. Whole-mount in situ hybridization assays at tail bud to larval stages illustrating more divergent expression patterns of 14 up-regulated genes: Nrp1, Arrb2, BG022063, LOC100037047, BQ399495, Hrpt1, Rbm42-6, LOC414689, Uncx4.1, Xxylt1, Nfya, Tbc1d31, Cdca7l, Papd4-a. Side views at tail bud (left column) and larval (middle column) stages, with anterior to the left and dorsal to the top, and transverse sections at larval stages (right side) with dorsal to the top. ba, branchial arches; cem, cement gland; ep, epibranchial placodes; epi, epidermis; fb, forebrain; h, heart; hb, hindbrain; IX/Xg, glossopharyngeal/vagal ganglion; l, lens; mb, midbrain; ne, nephric mesoderm; olf, olfactory placode; oto, otocyst; p, pineal; r, retina; spcd, spinal cord; so, somites; Vg, trigeminal ganglion; VIIg, facial ganglion. |
|
|
Figure 6. Whole-mount in situ hybridization assays illustrating the expression patterns of previously characterized up-regulated (Trhd-a, Pbx1b, Ism1, Arnt, HoxA3) or down-regulated (Foxi1-Xema) genes at stages previously unpublished. Abbreviations are as in Figures 4 and 5. |
|
|
Figure 7. Four examples of cleavage stage gene expression in embryos that were bisected before the in situ hybridization protocol to facilitate probe access to all of the cells. In each case the probe was detected in the animal pole blastomeres (a) and in marginal zone animal blastomeres (arrows), but not in vegetal blastomeres (v). |
|
|
Figure 8. Examples of embryos bisected after the in situ hybridization protocol to reveal expression patterns in internal cells. BQ399495: At blastula (left image, sagittal section), expression is primarily in the animal cap (AC) cells, and barely detected in the equatorial (eq) zone. At neural plate stages (right image, transverse section), expression is observed in the neural plate (np), somites (so), and epidermis (epi). Hprt1: At blastula (left image, sagittal section), expression is in both animal cap and equatorial cells. At gastrula stages (right image, sagittal section, anterior to the left), expression is observed in the surface ectoderm (ecto) and involuting mesoderm (meso); bl, dorsal blastoporal lip. Xxylt1: At blastula (left image, sagittal section), expression is in both animal cap and equatorial cells. At neural plate stages (right image, sagittal section, anterior to the left), expression is observed in the neural plate and underlying dorsal mesoderm (meso). IMAGE 3399268: At blastula (left image, sagittal section), expression is in both animal cap and equatorial cells. At gastrula stages (right image, sagittal section, anterior to the left), expression is observed in the animal ectoderm, but barely detected in the involuting mesoderm. Cnfn1-a: At gastrula stages (sagittal section, anterior to the left), expression is observed in the animal ectoderm, but not in the involuting mesoderm. IMAGE 7010138: At blastula (left image, sagittal section), expression is primarily in the animal cap cells, and barely detected in the equatorial zone. At gastrula stages (middle image, sagittal section, anterior to the left), there is strong expression in both the ectoderm and involuting mesoderm. At neural plate stages (right image, sagittal section, anterior to the left), weak expression is observed in both the neural plate and underlying dorsal mesoderm. |
|
|
Figure 9. Examples of Xenopus embryos hybridized with sense RNA probes to evaluate the extent of nonspecific staining at the early stages when expression patterns are diffuse (cf. Figs. 4, 5, 6, 10). |
|
|
Figure 10. Whole-mount in situ hybridization assays at early stages illustrating common expression patterns of 10 down-regulated genes: IMAGE 4174145, IMAGE 3399268, IMAGE 4057931, IMAGE 3400511, Socs3, MGC114680, IMAGE 7010138, Cnfn1-a, Ralgds, Dnaja4.2. For all genes, expression is enhanced in the animal cells (an) of cleavage and blastula embryos, and is throughout the ectoderm at gastrula stages (side views). At early neural plate stages, all genes are expressed in the epidermis (epi), often more intensely on the dorsal (d) side, including neural plate (np) and border zone (bz) (all except IMAGE 3400511 are side views with anterior [a] to the left; IMAGE 3400511 is an anterior view). At later neural plate and neural tube stages, expression is strongest in the neural crest (nc), pre-placodal region (ppr), neural tube (nt) and epidermis (epi) (anterior views). Cnfn1-a is uniquely expressed in the hatching gland (hg). |
|
|
Figure 11. Whole-mount in situ hybridization assays at tail bud to larval stages illustrating more divergent expression patterns of 10 down-regulated genes: IMAGE 4174145, IMAGE 3399268, IMAGE 4057931, IMAGE 3400511, Socs3, MGC 114680, IMAGE 7010138, Cnfn1-a, Ralgds, Dnaja4.2. Side views at tail bud (left column) and larval (middle column) stages, with anterior to the left and dorsal to the top, and transverse sections at larval stages (right side) with dorsal to the top. Abbreviations are as in Figure 10. For Cnfn1-a: hg, hatching gland; clo, cloaca. |
|
|
socs3 (suppressor of cytokine signaling 3) gene expression in Xenopus laevis embryo, assayed via in situ hybridization, NF stage 24, lateral view, anterior left, dorsal up. Key: Branchial arch (ba), Otocyst (oto), Somites (so), Nephric mesoderm (ne). |
|
|
|
|
|
References [+] :
Abdelhak,
A human homologue of the Drosophila eyes absent gene underlies branchio-oto-renal (BOR) syndrome and identifies a novel gene family.
1997, Pubmed
Abdelhak, A human homologue of the Drosophila eyes absent gene underlies branchio-oto-renal (BOR) syndrome and identifies a novel gene family. 1997, Pubmed
Ahrens, Tissues and signals involved in the induction of placodal Six1 expression in Xenopus laevis. 2005, Pubmed , Xenbase
Anderson, Dual transcriptional activities of SIX proteins define their roles in normal and ectopic eye development. 2012, Pubmed
Bailey, Lens specification is the ground state of all sensory placodes, from which FGF promotes olfactory identity. 2006, Pubmed
Bailey, Sensory organs: making and breaking the pre-placodal region. 2006, Pubmed
Bessarab, Expression of zebrafish six1 during sensory organ development and myogenesis. 2004, Pubmed
Bollérot, Molecular cloning and embryonic expression of the Xenopus Arnt gene. 2001, Pubmed , Xenbase
Bosman, Catweasel mice: a novel role for Six1 in sensory patch development and a model for branchio-oto-renal syndrome. 2009, Pubmed
Bricaud, Balancing cell numbers during organogenesis: Six1a differentially affects neurons and sensory hair cells in the inner ear. 2011, Pubmed
Bricaud, The transcription factor six1 inhibits neuronal and promotes hair cell fate in the developing zebrafish (Danio rerio) inner ear. 2006, Pubmed
Brodbeck, Genetic determination of nephrogenesis: the Pax/Eya/Six gene network. 2004, Pubmed
Brugmann, Induction and specification of the vertebrate ectodermal placodes: precursors of the cranial sensory organs. 2005, Pubmed , Xenbase
Brugmann, Six1 promotes a placodal fate within the lateral neurogenic ectoderm by functioning as both a transcriptional activator and repressor. 2004, Pubmed , Xenbase
Chen, Initiation of olfactory placode development and neurogenesis is blocked in mice lacking both Six1 and Six4. 2009, Pubmed
Cheyette, The Drosophila sine oculis locus encodes a homeodomain-containing protein required for the development of the entire visual system. 1994, Pubmed
Christophorou, Activation of Six1 target genes is required for sensory placode formation. 2009, Pubmed
Coletta, The Six1 homeoprotein stimulates tumorigenesis by reactivation of cyclin A1. 2004, Pubmed
Crews, Remembrance of things PAS: regulation of development by bHLH-PAS proteins. 1999, Pubmed
Esterberg, dlx3b/4b are required for the formation of the preplacodal region and otic placode through local modulation of BMP activity. 2009, Pubmed
Ford, Abrogation of the G2 cell cycle checkpoint associated with overexpression of HSIX1: a possible mechanism of breast carcinogenesis. 1998, Pubmed
Fougerousse, Six and Eya expression during human somitogenesis and MyoD gene family activation. 2002, Pubmed
Garcez, Combinatorial activity of Six1-2-4 genes in cephalic neural crest cells controls craniofacial and brain development. 2014, Pubmed
Ghanbari, Molecular cloning and embryonic expression of Xenopus Six homeobox genes. 2001, Pubmed , Xenbase
Graham, The origin and evolution of the ectodermal placodes. 2013, Pubmed
Grifone, Six1 and Six4 homeoproteins are required for Pax3 and Mrf expression during myogenesis in the mouse embryo. 2005, Pubmed
Grocott, The peripheral sensory nervous system in the vertebrate head: a gene regulatory perspective. 2012, Pubmed
Guo, A Tbx1-Six1/Eya1-Fgf8 genetic pathway controls mammalian cardiovascular and craniofacial morphogenesis. 2011, Pubmed
Hong, The activity of Pax3 and Zic1 regulates three distinct cell fates at the neural plate border. 2007, Pubmed , Xenbase
Ikeda, Six1 is indispensable for production of functional progenitor cells during olfactory epithelial development. 2010, Pubmed
Ikeda, Six1 is essential for early neurogenesis in the development of olfactory epithelium. 2007, Pubmed
Ito, SIX1 mutation associated with enlargement of the vestibular aqueduct in a patient with branchio-oto syndrome. 2006, Pubmed
Jusiak, Regulation of Drosophila eye development by the transcription factor Sine oculis. 2014, Pubmed
Kawakami, Six family genes--structure and function as transcription factors and their roles in development. 2000, Pubmed
Kawakami, Structure, function and expression of a murine homeobox protein AREC3, a homologue of Drosophila sine oculis gene product, and implication in development. 1996, Pubmed
Kochhar, SIX1 mutation screening in 247 branchio-oto-renal syndrome families: a recurrent missense mutation associated with BOR. 2008, Pubmed
Koestner, Semaphorin and neuropilin expression during early morphogenesis of Xenopus laevis. 2008, Pubmed , Xenbase
Konishi, Six1 and Six4 promote survival of sensory neurons during early trigeminal gangliogenesis. 2006, Pubmed
Kuliyev, Expression of Xenopus suppressor of cytokine signaling 3 (xSOCS3) is induced by epithelial wounding. 2005, Pubmed , Xenbase
Kumar, Branchio-oto-renal syndrome: identification of novel mutations, molecular characterization, mutation distribution, and prospects for genetic testing. , Pubmed
Kwon, Identification of early requirements for preplacodal ectoderm and sensory organ development. 2010, Pubmed
Labrecque, The aryl hydrocarbon receptor nuclear translocator (ARNT) family of proteins: transcriptional modifiers with multi-functional protein interfaces. 2013, Pubmed
Laclef, Thymus, kidney and craniofacial abnormalities in Six 1 deficient mice. 2003, Pubmed
Ladher, From shared lineage to distinct functions: the development of the inner ear and epibranchial placodes. 2010, Pubmed
Léger, Fgf8 and Fgf3 are required for zebrafish ear placode induction, maintenance and inner ear patterning. 2002, Pubmed
Li, Xenopus NF-Y pre-sets chromatin to potentiate p300 and acetylation-responsive transcription from the Xenopus hsp70 promoter in vivo. 1998, Pubmed , Xenbase
Li, Six1 promotes proliferation of pancreatic cancer cells via upregulation of cyclin D1 expression. 2013, Pubmed
Litsiou, A balance of FGF, BMP and WNT signalling positions the future placode territory in the head. 2005, Pubmed
Liu, Fgf3 and Fgf8 dependent and independent transcription factors are required for otic placode specification. 2003, Pubmed
Maeda, Xpbx1b and Xmeis1b play a collaborative role in hindbrain and neural crest gene expression in Xenopus embryos. 2002, Pubmed , Xenbase
Maroon, Fgf3 and Fgf8 are required together for formation of the otic placode and vesicle. 2002, Pubmed
Martin, Competence of cranial ectoderm to respond to Fgf signaling suggests a two-step model of otic placode induction. 2006, Pubmed
Matsuo-Takasaki, An essential role of Xenopus Foxi1a for ventral specification of the cephalic ectoderm during gastrulation. 2005, Pubmed , Xenbase
McCabe, Essential role for PDGF signaling in ophthalmic trigeminal placode induction. 2008, Pubmed
Moody, Cell lineage analysis in Xenopus embryos. 2000, Pubmed , Xenbase
Mosrati, A novel dominant mutation in SIX1, affecting a highly conserved residue, result in only auditory defects in humans. 2011, Pubmed
Noguchi, Audiovestibular findings in a branchio-oto syndrome patient with a SIX1 mutation. 2011, Pubmed
Ohto, Cooperation of six and eya in activation of their target genes through nuclear translocation of Eya. 1999, Pubmed
Ohto, Tissue and developmental distribution of Six family gene products. 1998, Pubmed
Oliver, Six3, a murine homologue of the sine oculis gene, demarcates the most anterior border of the developing neural plate and is expressed during eye development. 1995, Pubmed
Ozaki, Impaired interactions between mouse Eyal harboring mutations found in patients with branchio-oto-renal syndrome and Six, Dach, and G proteins. 2002, Pubmed
Ozaki, Six1 controls patterning of the mouse otic vesicle. 2004, Pubmed
Pandur, Xenopus Six1 gene is expressed in neurogenic cranial placodes and maintained in the differentiating lateral lines. 2000, Pubmed , Xenbase
Park, NULL 2010, Pubmed
Park, Hindbrain-derived Wnt and Fgf signals cooperate to specify the otic placode in Xenopus. 2008, Pubmed , Xenbase
Patrick, Biochemical and functional characterization of six SIX1 Branchio-oto-renal syndrome mutations. 2009, Pubmed
Patrick, Structure-function analyses of the human SIX1-EYA2 complex reveal insights into metastasis and BOR syndrome. 2013, Pubmed
Patthey, Early development of the central and peripheral nervous systems is coordinated by Wnt and BMP signals. 2008, Pubmed
Patthey, Wnt-regulated temporal control of BMP exposure directs the choice between neural plate border and epidermal fate. 2009, Pubmed
Pera, Isthmin is a novel secreted protein expressed as part of the Fgf-8 synexpression group in the Xenopus midbrain-hindbrain organizer. 2002, Pubmed , Xenbase
Phillips, Zebrafish fgf3 and fgf8 encode redundant functions required for otic placode induction. 2001, Pubmed
Pieper, Differential distribution of competence for panplacodal and neural crest induction to non-neural and neural ectoderm. 2012, Pubmed , Xenbase
Quinonez, Human HOX gene disorders. 2014, Pubmed
Rodríguez Soriano, Branchio-oto-renal syndrome. 2003, Pubmed
Rouhana, Vertebrate GLD2 poly(A) polymerases in the germline and the brain. 2005, Pubmed , Xenbase
Rozen, Primer3 on the WWW for general users and for biologist programmers. 2000, Pubmed
Ruf, SIX1 mutations cause branchio-oto-renal syndrome by disruption of EYA1-SIX1-DNA complexes. 2004, Pubmed
Saint-Jeannet, Establishing the pre-placodal region and breaking it into placodes with distinct identities. 2014, Pubmed , Xenbase
Sanggaard, Branchio-oto-renal syndrome: detection of EYA1 and SIX1 mutations in five out of six Danish families by combining linkage, MLPA and sequencing analyses. 2007, Pubmed
Sato, Regulation of Six1 expression by evolutionarily conserved enhancers in tetrapods. 2012, Pubmed
Sato, Conserved expression of mouse Six1 in the pre-placodal region (PPR) and identification of an enhancer for the rostral PPR. 2010, Pubmed , Xenbase
Schlosser, How old genes make a new head: redeployment of Six and Eya genes during the evolution of vertebrate cranial placodes. 2007, Pubmed , Xenbase
Schlosser, Making senses development of vertebrate cranial placodes. 2010, Pubmed , Xenbase
Schlosser, Eya1 and Six1 promote neurogenesis in the cranial placodes in a SoxB1-dependent fashion. 2008, Pubmed , Xenbase
Schwarz, Neuropilin 1 and 2 control cranial gangliogenesis and axon guidance through neural crest cells. 2008, Pubmed
Spitz, Expression of myogenin during embryogenesis is controlled by Six/sine oculis homeoproteins through a conserved MEF3 binding site. 1998, Pubmed
Spruijt, Identification of a novel EYA1 mutation presenting in a newborn with laryngomalacia, glossoptosis, retrognathia, and pectus excavatum. 2006, Pubmed
Streit, Combined whole-mount in situ hybridization and immunohistochemistry in avian embryos. 2001, Pubmed
Streit, The preplacodal region: an ectodermal domain with multipotential progenitors that contribute to sense organs and cranial sensory ganglia. 2007, Pubmed
Streit, Early development of the cranial sensory nervous system: from a common field to individual placodes. 2004, Pubmed
Suri, Xema, a foxi-class gene expressed in the gastrula stage Xenopus ectoderm, is required for the suppression of mesendoderm. 2005, Pubmed , Xenbase
Vazquez, Developmental changes in nerve growth factor (NGF) binding and NGF receptor proteins trkA and p75 in the facial nerve. 1994, Pubmed
Wessely, Analysis of Spemann organizer formation in Xenopus embryos by cDNA macroarrays. 2004, Pubmed , Xenbase
Wu, Tumorhead, a Xenopus gene product that inhibits neural differentiation through regulation of proliferation. 2001, Pubmed , Xenbase
Xu, Six1 is required for the early organogenesis of mammalian kidney. 2003, Pubmed
Yajima, Six1 is a key regulator of the developmental and evolutionary architecture of sensory neurons in craniates. 2014, Pubmed , Xenbase
Yan, Microarray identification of novel downstream targets of FoxD4L1/D5, a critical component of the neural ectodermal transcriptional network. 2010, Pubmed , Xenbase
Yan, foxD5 plays a critical upstream role in regulating neural ectodermal fate and the onset of neural differentiation. 2009, Pubmed , Xenbase
Zheng, The role of Six1 in mammalian auditory system development. 2003, Pubmed
Zou, Eya1 and Six1 are essential for early steps of sensory neurogenesis in mammalian cranial placodes. 2004, Pubmed
Zou, Patterning of the third pharyngeal pouch into thymus/parathyroid by Six and Eya1. 2006, Pubmed
