Click here to close
Hello! We notice that you are using Internet Explorer, which is not supported by Xenbase and may cause the site to display incorrectly.
We suggest using a current version of Chrome,
FireFox, or Safari.
Gen Comp Endocrinol
2015 Aug 01;219:16-23. doi: 10.1016/j.ygcen.2014.10.018.
Show Gene links
Show Anatomy links
Changes in gastric sodium-iodide symporter (NIS) activity are associated with differences in thyroid gland sensitivity to perchlorate during metamorphosis.
Carr JA, Murali S, Hu F, Goleman WL, Carr DL, Smith EE, Wages M.
???displayArticle.abstract???
We investigated stage-dependent changes in sensitivity of the thyroid gland to perchlorate during development of African clawed frog tadpoles (Xenopus laevis) in relation to non-thyroidal iodide transporting tissues. Perchlorate-induced increases in thyroidfollicle cell size and colloid depletion were blunted when exposures began at Nieuwkoop-Faber (NF) stage 55 compared to when exposures began at NF stages 49 or 1-10. To determine if the development of other iodide transporting tissues may contribute to this difference we first examined which tissues expressed transcripts for the sodium dependent iodide symporter (NIS). RT-PCR analysis revealed that NIS was expressed in stomach and small intestine in addition to the thyroid gland of X. laevis tadpoles. NIS mRNA was not detected in lung, kidney, skin, gill, muscle, heart or liver. Perchlorate sensitive (125)I uptake was found in stomach, lung, kidney, gill, and small intestine but not muscle, liver, or heart. Perchlorate-sensitive (125)I uptake by stomach was 6-10 times greater than in any other non-thyroidal tissue in tadpoles. While NF stage 49 tadpoles exhibited perchlorate-sensitive uptake in stomach it was roughly 4-fold less than that observed in NF stage 55 tadpoles. Although abundance of NIS gene transcripts was greater in stomachs from NF stage 55 compared to NF stage 49 tadpoles this difference was not statistically significant. We conclude that gastric iodide uptake increases between NF stages 49 and 55, possibly due to post-translational changes in NIS glycosylation or trafficking within gastric mucosal cells. These developmental changes in gastric NIS gene expression may affect iodide availability to the thyroid gland.
Fig. 1.
Thyroid follicle cell hypertrophy (A) and colloid depletion scores (B) in X. laevis tadpoles exposed to untreated FETAX medium (control) or 14 mg ClO4−/L beginning at Nieuwkoop–Faber (NF) stages 1–10, 49, or 55. Bars represent the mean + S.E.M. of 5–10 animals per group. Asterisks indicate significant difference (p < 0.05) between ClO4− and controls based upon nonparametric t-test.
Fig. 2.
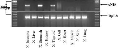
2% agarose gels showing RT-PCR analysis of nis mRNA in various tissues of NieuwkoopâFaber stage 58 X. laevis. Two micrograms of total RNA from each tissue were reversed transcribed before PCR amplification and separation on a 2% gel. Relative expression of the ribosomal protein L8 (RPL8) is shown as a housekeeping control for the integrity of the total RNA. Primer sequences based upon Carr et al. (2008).
Fig. 3.
Radioactivity (cpm) in thyroid glands of Nieuwkoop–Faber (NF) stage 58 tadpoles injected with 125I (1 μCi) with or without the addition of 1 mg ClO4−/g. Bars represent the mean + S.E.M. of 5–6 animals per group. Asterisk indicates significant difference from control based upon Student’s two-tailed t-test.
Fig. 4.
Radioactivity (cpm) in various non-thyroidal tissues of Nieuwkoop–Faber (NF) stage 58 tadpoles injected with 125I (1 μCi) with or without the addition of 1 mg ClO4−/g. Bars represent the mean + S.E.M. of 5–6 animals per group. Asterisk indicates significant difference from control based upon Student’s two-tailed t-test.
Fig. 5.
Radioactivity (cpm) in various non-thyroidal tissues of Nieuwkoop–Faber (NF) stage 49 (A) and NF 55 (B) tadpoles injected with 125I (1 μCi) with or without the addition of 1 mg ClO4−/g. Asterisk indicates significant difference from control based upon Student’s two-tailed t-test.
Fig. 6.
Changes in NIS activity (A) and mRNA abundance (B) between Nieuwkoop–Faber (NF) stages 49 and 55. (A) Radioactivity in stomach of stage 49 and NF 55 tadpoles injected with 125I (1 μCi). Radioactivity in stomach was expressed as a ratio of radioactivity in skeletal muscle, a non epithelial and non-I− transporting tissue. (B) Change in nis mRNA abundance relative to rpl8 between NF 49 and 55. Asterisk indicates significant difference from control based upon Student’s two-tailed t-test.
Fig. 7.
Our ‘recirculating pump’ hypothesis for how developmental increases in gastric I− transport can elevate I−/ClO4− ratios in the blood supply and thereby reduce ClO4− competition for NIS transporters in thyroid follicle cells. (1) Dietary I− and ClO4− are absorbed via NIS located in the apical plasma membrane of absorptive cells in the small intestine (Nicola et al., 2009). (2) Dietary I− and ClO4− in the bloodstream are secreted into the gastric lumen via NIS located in the basolateral plasma membrane of surface epithelial cells in the stomach (Portulano et al., 2014). (3, 4) Recycled I− and ClO4− are again reabsorbed across the intestinal lining whereas I− only is reabsorbed by the ClO4− insensitive biotin transporter SLC5A6 (Delmondes de Carvalho and Quick, 2011). (5) After several re-circulating cycles ClO4− may be subject to biological reduction by enteric bacteria. (6) The combined effects of I− recirculation and conservation, biological ClO4− reduction in the gut lumen, and ClO4− insensitive absorption by the small intestine may lead to quicker elevation in the I−: ClO4− ratio in the blood stream and thus mitigate the adverse effects of ClO4− on thyroid follicle cells.