Click here to close
Hello! We notice that you are using Internet Explorer, which is not supported by Xenbase and may cause the site to display incorrectly.
We suggest using a current version of Chrome,
FireFox, or Safari.
???displayArticle.abstract???
Vasculogenesis is an important, multistep process leading to the formation of a functional primary network of blood vessels in the developing embryo. A series of interactions between secreted growth factors and their specific receptors leads to the specification of mesodermal cells to become hemangioblasts, which then differentiate into angioblasts. These subsequently proliferate, coalesce into cords and finally form tubular vascular structures. For proper function of these primary blood vessels, the close connection of endothelial cells is required. This is conferred by the interaction of an endothelium specific cadherin (Cadherin-5), starting during early vascular development. However, this interaction remains important throughout life and ageing. Therefore, cadherin-5 is a useful marker for late stages of vasculogenesis in several vertebrate species. To establish cadherin-5 as a marker for vascular studies in Xenopus, we cloned the Xenopus laevis ortholog and analyzed its expression pattern during embryogenesis.
Fig. 1. Sequence alignements of vertebrate CDH5 proteins. (A) Comparison of the putative amino acid sequence of the newly cloned cdh5 cDNA from Xenopus laevis with the cdh5 amino acid sequences from Xenopus tropicalis demonstrates that cdh5 is well conserved between the two frog species, sharing 89% identity to each other. (B) Comparison of the deduced cdh5 amino acid sequences from Xenopus laevis (Xla; GenBank Accession no. KF279630), Homo sapiens (Hsa; GenBank Accession no. NP_001786), Mus musculus (Mmu; GenBank Accession no. AAH54790), Gallus gallus (Gga; GenBank Accession no. AAN33002), Danio rerio (Dre; GenBank Accession no. AY496430). The N-terminal signal peptide is boxed in red, the five typical extracellular Ca2+-binding Cadherin repeats are boxed in yellow, the transmembrane region is boxed in blue and the intracellular, catenin binding domain is boxed in green. Percentage identities are indicated at the end of the aligned sequences.
Fig. 2 (Left). Alignment of the putative amino acid sequence from both cadherin-5 paralogs. Both sequences are highly conserved, showing 97.5% similarity.
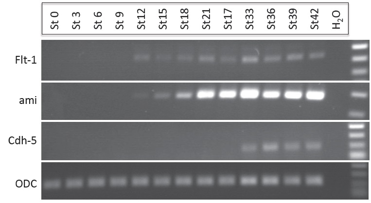
Fig. 3 (Right). Temporal analyses of cadherin-5 expression. Expression of xl cdh5 mRNA was compared to the expression of early vasculogenesis marker genes flt1 and ami by semi quantitative rt-PCR. Expression of flt1 and ami could be detected already at low levels at NF stage 12, whereas expression of cdh5 was not detectable before stage 27, demonstrating that cdh5 expression in Xenopus is restricted to later stages of vessel formation. To exclude false results from genomic DNA contamination we used intron spanning primer pairs. ODC1 was used to control the amount of input RNA.
Fig. 4. Comparison of the temporal expression of the two cadherin-5 paralogs. Two primer pairs, specific for either locus A or locus B were used to compare the temporal expression of both paralogs. In figure 4a a part of the nucleotide sequence is shown, demonstrating the high degree of sequence conservation on the nucleotide level. Sequences used for primer pair A are marked in bold letters. <semi-quantitative rt-PCR in figure 4b shows that transcripts from both paralogs could be detected as early as st 27.
Fig. 5. Spatial analyses of cadherin-5 expression. Whole-mount in situ hybridization of wild type embryos at developmental stages 27 to 37. Earliest cdh5 expression was detectable at NF stage 27 when first vascular structures developed. Subsequently cdh5 expression could be detected in all newly formed vascular structures. The tissue of a NF stage 37 embryo was cleared before pictures were taken. Abbreviations: (aa) aortic arches, (da) dorsal aorta, (dc) duct of cuvier, (dlav) dorsal longitudinal anastomosing vessel, (ha) heart anlage, (isv) intersomitic veins, (pcv) posterior cardinal vein, (rv) retinal vein, (vv) vitelline veins.
Fig. 6. Spatial analyses of cadherin-5 expression on sectioned embryos. Sagittal section (A) and coronary sections at different positions of st 36 embryos (B,C,D) show, that cdh5 expression is restricted to the endothelial linings of the developing vascular structures. Abbreviations: (aa) aortic arches, (ba) branchial arch, (da) dorsal aorta, (dc) duct of cuvier, (ha) heart anlage, (isv) intersomitic veins, (pcv) posterior cardinal vein, (rv) retinal vein, (va) ventralaorta, (vv) vitelline veins.