XB-ART-49627
J Biol Chem
2014 Dec 19;28951:35468-81. doi: 10.1074/jbc.M114.609123.
Show Gene links
Show Anatomy links
Small ubiquitin-like modifier (SUMO)-mediated repression of the Xenopus Oocyte 5 S rRNA genes.
Malik MQ, Bertke MM, Huber PW.
???displayArticle.abstract???
The 5 S rRNA gene-specific transcription factor IIIA (TFIIIA) interacts with the small ubiquitin-like modifier (SUMO) E3 ligase PIAS2b and with one of its targets, the transcriptional corepressor, XCtBP. PIAS2b is restricted to the cytoplasm of Xenopus oocytes but relocates to the nucleus immediately after fertilization. Following the midblastula transition, PIAS2b and XCtBP are present on oocyte-type, but not somatic-type, 5 S rRNA genes up through the neurula stage, as is a limiting amount of TFIIIA. Histone H3 methylation, coincident with the binding of XCtBP, also occurs exclusively on the oocyte-type genes. Immunohistochemical staining of embryos confirms the occupancy of a subset of the oocyte-type genes by TFIIIA that become positioned at the nuclear periphery shortly after the midblastula transition. Inhibition of SUMOylation activity relieves repression of oocyte-type 5 S rRNA genes and is correlated with a decrease in methylation of H3K9 and H3K27 and disruption of subnuclear localization. These results reveal a novel function for TFIIIA as a negative regulator that recruits histone modification activity through the CtBP repressor complex exclusively to the oocyte-type 5 S rRNA genes, leading to their terminal repression.
???displayArticle.pubmedLink??? 25368327
???displayArticle.pmcLink??? PMC4271232
???displayArticle.link??? J Biol Chem
???displayArticle.grants??? [+]
Species referenced: Xenopus laevis
Genes referenced: apcs ctbp2 gtf3a mbp mt-tr pias2 pigy sumo1 sumo2 tp53 trna ube2i
???attribute.lit??? ???displayArticles.show???
|
|
FIGURE 1. TFIIIA interacts with PIAS2b and XCtBP. A, colony lift filter assay used to measure interactions between PIAS2b and TFIIIA in a yeast two-hybrid system. Triplicate assays are presented in each column, with the following bait/prey combinations: lane 1, lamC/T antigen (negative control); lane 2, TFIIIA (fingers 1–3)/PIAS2b; lane 3, TFIIIA (fingers 1–4)/PIAS2b; lane 4, p53/PIAS2b. B, MBP-TFIIIA or MBP-L5 (negative control) fusion protein was incubated with reticulocyte lysate containing 35S-labeled PIAS2b. The fusion protein was recovered by binding to amylose resin. Precipitated samples were analyzed by SDS-PAGE followed by autoradiography. C, reticulocyte lysate containing 35S-labeled XCtBP was incubated with either TFIIIA or PIAS2b alone or with both proteins together. Complexes were collected by immunoprecipitation using either anti-TFIIIA (lanes 1 and 2) or anti-PIAS2b (lanes 3 and 4) antibody adsorbed to protein A-Sepharose. Control assays used unmodified protein A-Sepharose. Precipitated samples were analyzed by SDS-PAGE followed by autoradiography. |
|
|
FIGURE 2. Expression of PIAS2b and XCtBP during early Xenopus development. A, RNase protection analysis of PIAS2b mRNA. Total RNA from 10 oocytes at the indicated Dumont stage (85) was hybridized with an antisense 32P-labeled RNA probe. The sample was then digested with RNase One, analyzed on a denaturing polyacrylamide gel, and detected by autoradiography. B, Western blot analysis of PIAS2b. Protein extracts (2 oocyte or 1.5 embryo equivalents) were prepared from developmentally staged oocytes and embryos (86) as indicated, including progesterone-matured oocytes (M) and unfertilized eggs (E). The position of molecular weight standards (in kilodaltons) is indicated. C, Western blot analysis of XCtBP. |
|
|
FIGURE 3. Subcellular localization of PIAS2b during early development. Staged albino oocytes and embryos were stained using PIAS2b primary antibody and secondary antibody conjugated to Alexa Fluor 568. A, PIAS2b is exclusively cytoplasmic at all stages of oogenesis. B, protein extract prepared from nuclei and enucleated oocytes (1.5 oocyte equivalents per stage) was analyzed by Western blotting using PIAS2b antiserum. Oocyte stages are indicated above each lane. Top panel, a blot of extract from enucleated oocytes. Bottom panel, extract prepared from isolated nuclei. Also shown is immunohistochemical staining of embryos at mid-blastula (C and D) and early gastrula (E and F) stages for PIAS2b. D, overlay of PIAS2b and TOPRO-3 nuclear staining of the midblastula embryo shown in C. Arrows point to individual nuclei. Images were collected at Ã10 magnification unless indicated otherwise. |
|
|
FIGURE 4. Depletion of SUMOylation activity prevents repression of oocyte 5 S rRNA genes. A, SUMO activation (E1) activity in extract prepared from Gam1-injected embryos was measured by Western blot analysis using a 25-kDa SUMO substrate peptide. Lane 1, peptide alone; lane 2, peptide incubated with extract from water-injected (control) embryos; lane 3, peptide incubated with extract from Gam1-injected embryos. The reactions in lanes 2 and 3 also contained E2 (Ubc9) enzyme, SUMO1, and ATP. Positions of molecular weight markers (in kilodaltons) are indicated. B, one-cell embryos were injected with [32P]UTP and TFIIIA mRNA, which activates transcription of the oocyte-type genes after the midblastula transition, or Gam1 mRNA. RNA was isolated at early gastrula stage, and three embryo equivalents were analyzed by electrophoresis/autoradiography. Lane 1, control embryos injected with [32P]UTP only; lane 2, injection with TFIIIA mRNA (7 ng); lane 3, injection with Gam1 mRNA (5 ng). C, autoradiographs for four experiments were scanned, and 5 S rRNA was quantitated relative to tRNA using ImageJ software. The ratio is given in arbitrary units. Error bars indicate mean ± S.D. D, one-cell embryos were injected with Gam1 mRNA (lanes 1, 3, and 5) or water (lanes 2, 4, and 6). Whole cell extract was prepared, and four embryo equivalents were analyzed by Western blot developed with TFIIIA antibody. |
|
|
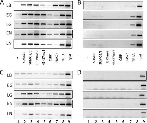
FIGURE 5. Occupancy of the 5 S rRNA genes during early development. ChIP assays of embryos at the indicated stage of development tested for the presence of the specified protein or histone modification. A, oocyte 5 S rRNA genes. LB, late blastula stage; EG, early gastrula stage; LG, late gastrula stage; EN, early neurula stage; LN, late neurula stage. B, somatic 5 S rRNA genes. C, oocyte 5 S rRNA genes from Gam1-injected embryos. D, somatic 5 S rRNA genes from Gam1-injected embryos. The antibodies used were as follows: lane 1, beads only (negative control); lane 2, SUMO1; lane 3, SUMO2/3; lane 4, H3K9me2; lane 5, H3K27me3; lane 6, CtBP; lane 7, PIAS2b; lane 8, TFIIIA; lane 9, input. |
|
|
FIGURE 6. Localization of TFIIIA to the nuclear periphery. TFIIIA antibody directly conjugated to Alexa Fluor 568 was used to immunohistochemically stain embryos at the indicated stage of development. A, two-cell embryo. B, midblastula stage (stage 8) embryo. C, late blastula stage (stage 9) embryo. D, midneurula stage (stage 19) embryo. E, nucleus of a midneurula embryo injected with Gam1 mRNA counterstained with DAPI. F, nucleus of a midneurula embryo injected with water and counterstained with DAPI. Images were collected at ×20 magnification unless indicated otherwise. C' and D' are magnifications of the indicated regions of the images in the corresponding panels. |
|
|
FIGURE 7. SUMOylation of TFIIIA. In vitro SUMOylation of TFIIIA was tested using purified E1 and E2 enzymes. Products of the reactions were analyzed by a Western blot analysis developed with TFIIIA antibody. Lane 1, TFIIIA with SUMO1 and E1 and E2 enzymes; lane 2, TFIIIA alone. The positions of molecular weight markers (in kilodaltons) are indicated. |
|
|
FIGURE 8. Model for the repression of the oocyte-type 5 S rRNA genes following the midblastula transition. A, repression of the oocyte-type genes is largely due to histone H1-dependent positioning of a nucleosome over the binding site for TFIIIA (nucleotides 45–96). The A:T-rich sequence flanking the 3′ end of the gene, which is the binding site for the linker histone, is required for repression. In addition, ∼1% of the oocyte-type genes are bound by TFIIIA, which can interact with PIAS2b and the CtBP corepressor complex. This complex may be stabilized by an interaction between the SAP domain of PIAS2b and the A:T-rich sequence that immediately flanks the 3′ end of the oocyte-type genes. B, the somatic-type genes are flanked by G:C-rich sequences, providing no contact site for PIAS2b. Histone octamers are weakly positioned on the somatic-type gene, and the binding site for TFIIIA is exposed. Binding of the transcription factor is sufficient to reposition the octamer that possibly leads to dissociation of the H1 linker histone (18). |
References [+] :
Almouzni,
Histone acetylation influences both gene expression and development of Xenopus laevis.
1994, Pubmed,
Xenbase
Almouzni, Histone acetylation influences both gene expression and development of Xenopus laevis. 1994, Pubmed , Xenbase
Andrews, Coordinate inactivation of class III genes during the Gastrula-Neurula Transition in Xenopus. 1991, Pubmed , Xenbase
Andrews, Transient activation of oocyte 5S RNA genes in Xenopus embryos by raising the level of the trans-acting factor TFIIIA. 1987, Pubmed , Xenbase
Barski, Pol II and its associated epigenetic marks are present at Pol III-transcribed noncoding RNA genes. 2010, Pubmed
Boddy, PIC 1, a novel ubiquitin-like protein which interacts with the PML component of a multiprotein complex that is disrupted in acute promyelocytic leukaemia. 1996, Pubmed
Boggio, Targeting SUMO E1 to ubiquitin ligases: a viral strategy to counteract sumoylation. 2007, Pubmed
Boggio, A mechanism for inhibiting the SUMO pathway. 2004, Pubmed
Bouvet, Specific regulation of Xenopus chromosomal 5S rRNA gene transcription in vivo by histone H1. 1994, Pubmed , Xenbase
Brannon, XCtBP is a XTcf-3 co-repressor with roles throughout Xenopus development. 1999, Pubmed , Xenbase
Brown, Specific gene amplification in oocytes. Oocyte nuclei contain extrachromosomal replicas of the genes for ribosomal RNA. 1968, Pubmed
Burn, Regulation of early Xenopus development by the PIAS genes. 2011, Pubmed , Xenbase
Busby, Fate of amplified nucleoli in Xenopus laevis embryos. 1982, Pubmed , Xenbase
Camier, The only essential function of TFIIIA in yeast is the transcription of 5S rRNA genes. 1995, Pubmed
Chinnadurai, Transcriptional regulation by C-terminal binding proteins. 2007, Pubmed
Chipev, Chromosomal organization of Xenopus laevis oocyte and somatic 5S rRNA genes in vivo. 1992, Pubmed , Xenbase
Cubeñas-Potts, SUMO: a multifaceted modifier of chromatin structure and function. 2013, Pubmed
Damjanovski, Function of thyroid hormone receptors during amphibian development. 2002, Pubmed , Xenbase
Dimitrov, Chromatin transitions during early Xenopus embryogenesis: changes in histone H4 acetylation and in linker histone type. 1993, Pubmed , Xenbase
Dumont, Oogenesis in Xenopus laevis (Daudin). I. Stages of oocyte development in laboratory maintained animals. 1972, Pubmed , Xenbase
Duval, The 'PINIT' motif, of a newly identified conserved domain of the PIAS protein family, is essential for nuclear retention of PIAS3L. 2003, Pubmed
Dworkin-Rastl, The maternal histone H1 variant, H1M (B4 protein), is the predominant H1 histone in Xenopus pregastrula embryos. 1994, Pubmed , Xenbase
Ferreira, The PIAS homologue Siz2 regulates perinuclear telomere position and telomerase activity in budding yeast. 2011, Pubmed
Flynn, The synthesis of histone H1 during early amphibian development. 1980, Pubmed , Xenbase
Garcia-Dominguez, SUMO association with repressor complexes, emerging routes for transcriptional control. 2009, Pubmed
Ghose, Restricted specificity of Xenopus TFIIIA for transcription of somatic 5S rRNA genes. 2004, Pubmed , Xenbase
Gottesfeld, Nonrandom alignment of nucleosomes on 5S RNA genes of X. laevis. 1980, Pubmed , Xenbase
Hari, The Drosophila Su(var)2-10 locus regulates chromosome structure and function and encodes a member of the PIAS protein family. 2001, Pubmed
Harper, Chromosomal mapping of Xenopus 5S genes: somatic-type versus oocyte-type. 1983, Pubmed , Xenbase
Hay, SUMO: a history of modification. 2005, Pubmed
Howe, Transcriptionally active Xenopus laevis somatic 5 S ribosomal RNA genes are packaged with hyperacetylated histone H4, whereas transcriptionally silent oocyte genes are not. 1998, Pubmed , Xenbase
Howe, Histone H1 binding does not inhibit transcription of nucleosomal Xenopus laevis somatic 5S rRNA templates. 1998, Pubmed , Xenbase
Howe, Nucleosome translational position, not histone acetylation, determines TFIIIA binding to nucleosomal Xenopus laevis 5S rRNA genes. 1998, Pubmed , Xenbase
Jerzmanowski, Flanking sequences of Xenopus 5 S RNA genes determine differential inhibition of transcription by H1 histone in vitro. Mitotic phosphorylation of H1 decreases its inhibitory power. 1990, Pubmed , Xenbase
Johnson, Protein modification by SUMO. 2004, Pubmed
Kagey, The polycomb protein Pc2 is a SUMO E3. 2003, Pubmed
Kandolf, The H1A histone variant is an in vivo repressor of oocyte-type 5S gene transcription in Xenopus laevis embryos. 1994, Pubmed , Xenbase
Klocke, Proteins of the Xenopus laevis zinc finger multigene family as targets for CK II phosphorylation. 1995, Pubmed , Xenbase
Kolev, VgRBP71 stimulates cleavage at a polyadenylation signal in Vg1 mRNA, resulting in the removal of a cis-acting element that represses translation. 2003, Pubmed , Xenbase
Kotaja, PIAS proteins modulate transcription factors by functioning as SUMO-1 ligases. 2002, Pubmed
Kroll, A homolog of FBP2/KSRP binds to localized mRNAs in Xenopus oocytes. 2002, Pubmed , Xenbase
Lallemand-Breitenbach, PML nuclear bodies. 2010, Pubmed
Lin, Opposed regulation of corepressor CtBP by SUMOylation and PDZ binding. 2003, Pubmed
Mao, A position-dependent transcription-activating domain in TFIIIA. 1993, Pubmed , Xenbase
Matic, In vivo identification of human small ubiquitin-like modifier polymerization sites by high accuracy mass spectrometry and an in vitro to in vivo strategy. 2008, Pubmed
McConkey, TFIIIA binds with equal affinity to somatic and major oocyte 5S RNA genes. 1988, Pubmed , Xenbase
Nathan, Histone sumoylation is a negative regulator in Saccharomyces cerevisiae and shows dynamic interplay with positive-acting histone modifications. 2006, Pubmed
Nolte, Differing roles for zinc fingers in DNA recognition: structure of a six-finger transcription factor IIIA complex. 1998, Pubmed , Xenbase
Oler, Human RNA polymerase III transcriptomes and relationships to Pol II promoter chromatin and enhancer-binding factors. 2010, Pubmed
Pardue, Location of the genes for 5S ribosomal RNA in Xenopus laevis. 1973, Pubmed , Xenbase
Peck, Transcriptionally inactive oocyte-type 5S RNA genes of Xenopus laevis are complexed with TFIIIA in vitro. 1987, Pubmed , Xenbase
Pelham, Related 5S RNA transcription factors in Xenopus oocytes and somatic cells. 1981, Pubmed , Xenbase
Perkowska, Gene amplification in the oocyte nucleus of mutant and wild-type Xenopus laevis. 1968, Pubmed , Xenbase
Pinheiro, Prdm3 and Prdm16 are H3K9me1 methyltransferases required for mammalian heterochromatin integrity. 2012, Pubmed
Pozzebon, Inhibition of the SUMO pathway by Gam1. 2009, Pubmed
Raha, Close association of RNA polymerase II and many transcription factors with Pol III genes. 2010, Pubmed
Ross, SUMO-1 modification represses Sp3 transcriptional activation and modulates its subnuclear localization. 2002, Pubmed
Rytinki, PIAS proteins: pleiotropic interactors associated with SUMO. 2009, Pubmed
Sapetschnig, Transcription factor Sp3 is silenced through SUMO modification by PIAS1. 2002, Pubmed
Schlissel, The transcriptional regulation of Xenopus 5s RNA genes in chromatin: the roles of active stable transcription complexes and histone H1. 1984, Pubmed , Xenbase
Schmidt, Members of the PIAS family act as SUMO ligases for c-Jun and p53 and repress p53 activity. 2002, Pubmed
Sera, Role of histone H1 as an architectural determinant of chromatin structure and as a specific repressor of transcription on Xenopus oocyte 5S rRNA genes. 1998, Pubmed , Xenbase
Shastry, Altered levels of a 5 S gene-specific transcription factor (TFIIIA) during oogenesis and embryonic development of Xenopus laevis. 1984, Pubmed , Xenbase
Shi, Coordinated histone modifications mediated by a CtBP co-repressor complex. 2003, Pubmed
Shiio, Histone sumoylation is associated with transcriptional repression. 2003, Pubmed
Stielow, SUMO-modified Sp3 represses transcription by provoking local heterochromatic gene silencing. 2008, Pubmed
Sun, Quantitative proteomics of Xenopus laevis embryos: expression kinetics of nearly 4000 proteins during early development. 2014, Pubmed , Xenbase
Takizawa, The meaning of gene positioning. 2008, Pubmed
Tomaszewski, Both the 5S rRNA gene and the AT-rich flanks of xenopus laevis oocyte-type 5S rDNA repeat are required for histone H1-dependent repression of transcription of pol III-type genes in in vitro reconstituted chromatin. 1998, Pubmed , Xenbase
Tomaszewski, The AT-rich flanks of the oocyte-type 5S RNA gene of Xenopus laevis act as a strong local signal for histone H1-mediated chromatin reorganization in vitro. 1997, Pubmed , Xenbase
Towbin, Mechanisms of heterochromatin subnuclear localization. 2013, Pubmed
Towbin, Step-wise methylation of histone H3K9 positions heterochromatin at the nuclear periphery. 2012, Pubmed
Vertegaal, Distinct and overlapping sets of SUMO-1 and SUMO-2 target proteins revealed by quantitative proteomics. 2006, Pubmed
Westmark, Phosphorylation of Xenopus transcription factor IIIA by an oocyte protein kinase CK2. 2002, Pubmed , Xenbase
White, RNA polymerases I and III, growth control and cancer. 2005, Pubmed
Wolffe, Dominant and specific repression of Xenopus oocyte 5S RNA genes and satellite I DNA by histone H1. 1989, Pubmed , Xenbase
Wolffe, Developmental regulation of two 5S ribosomal RNA genes. 1988, Pubmed , Xenbase
Wormington, Onset of 5 S RNA gene regulation during Xenopus embryogenesis. 1983, Pubmed , Xenbase
Wuttke, Solution structure of the first three zinc fingers of TFIIIA bound to the cognate DNA sequence: determinants of affinity and sequence specificity. 1997, Pubmed , Xenbase
Young, Regular arrangement of nucleosomes on 5S rRNA genes in Xenopus laevis. 1983, Pubmed , Xenbase
Zhao, A proline-rich protein binds to the localization element of Xenopus Vg1 mRNA and to ligands involved in actin polymerization. 2001, Pubmed , Xenbase
Zhao, A SUMO ligase is part of a nuclear multiprotein complex that affects DNA repair and chromosomal organization. 2005, Pubmed
Zhao, Sumoylation regulates diverse biological processes. 2007, Pubmed
