Click here to close
Hello! We notice that you are using Internet Explorer, which is not supported by Xenbase and may cause the site to display incorrectly.
We suggest using a current version of Chrome,
FireFox, or Safari.
PLoS One
2014 Jan 01;910:e108852. doi: 10.1371/journal.pone.0108852.
Show Gene links
Show Anatomy links
Expression, purification, and structural insights for the human uric acid transporter, GLUT9, using the Xenopus laevis oocytes system.
Clémençon B, Lüscher BP, Fine M, Baumann MU, Surbek DV, Bonny O, Hediger MA.
???displayArticle.abstract???
The urate transporter, GLUT9, is responsible for the basolateral transport of urate in the proximal tubule of human kidneys and in the placenta, playing a central role in uric acid homeostasis. GLUT9 shares the least homology with other members of the glucose transporter family, especially with the glucose transporting members GLUT1-4 and is the only member of the GLUT family to transport urate. The recently published high-resolution structure of XylE, a bacterial D-xylose transporting homologue, yields new insights into the structural foundation of this GLUT family of proteins. While this represents a huge milestone, it is unclear if human GLUT9 can benefit from this advancement through subsequent structural based targeting and mutagenesis. Little progress has been made toward understanding the mechanism of GLUT9 since its discovery in 2000. Before work can begin on resolving the mechanisms of urate transport we must determine methods to express, purify and analyze hGLUT9 using a model system adept in expressing human membrane proteins. Here, we describe the surface expression, purification and isolation of monomeric protein, and functional analysis of recombinant hGLUT9 using the Xenopus laevis oocyte system. In addition, we generated a new homology-based high-resolution model of hGLUT9 from the XylE crystal structure and utilized our purified protein to generate a low-resolution single particle reconstruction. Interestingly, we demonstrate that the functional protein extracted from the Xenopus system fits well with the homology-based model allowing us to generate the predicted urate-binding pocket and pave a path for subsequent mutagenesis and structure-function studies.
???displayArticle.pubmedLink???
25286413 ???displayArticle.pmcLink???PMC4186817 ???displayArticle.link???PLoS One
Figure 2. Homology-based modeling of hGLUT9 structure.The 3D-structural model of hGLUT9 is generated from sequence alignment with the bacterial homologue XylE. (A) Merge of hGLUT9 (green) and XylE (blue) 3-D structures: visualized with PyMOL v0.99 software. Even with the decreased homology of hGLUT9 versus GLUT1–4, the putative topological model corresponds to the one of XylE. (B) Putative 3D-structure generated by EasyModeller 2.1 embedded within a simulated bilayer as calculated from hydrophobicity charge analysis. Representation of the putative model is translated into a 2-D topological map. Note that only trans-membrane helices are represented, with exclusion of the large cytoplasmic helices between transmembrane VI and VII.
Figure 3. Surface expression of hGLUT9b in X. laevis oocytes.(A) Expression level of hGLUT9b by Western blot analysis. (B) Surface expression of hGLUT9b as determined by deglycosylation analysis using PNGase of fully denatured DDM based total lysate. (C) Surface biotinylation and pull-down reveals a highly enriched hGLUT9b surface membrane fraction.
Figure 4. Functional analysis of hGLUT9b in X. laevis oocytes.(A) Water injected controls and hGLUT9b expressing oocytes were clamped at −30 mV and exposed for 30 sec to 500 µM urate containing OR2 medium. Current evoked by urate averaged 70+/−10 nA (n>20). (B) Same experiment as outlined above, but with application of the non-specific GLUT9 inhibitor, phloretin. Oocyte were clamped at −30 mV and exposed for 15 sec to 500 µM urate followed by 20 sec of 500 µM urate +25 µM Phloretin. Phloretin inhibited uric acid current by 45±4% (n = 3).
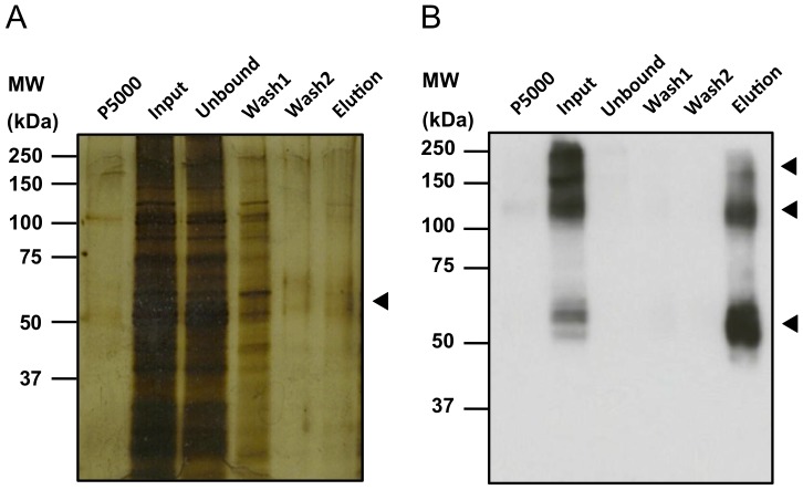
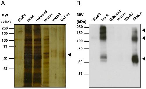
Figure 5. SDS-PAGE, silver staining and Western blot analyses hGLUT9b purification after IMAC from X. laevis oocytes membrane preparation.(A) Silver-stained and (B) Western blot SDS/polyacrylamide gels show that recombinant human GLUT9b runs at ∼60 kDa, corresponding to the expected molecular weight. Oligomers are observed at ∼120 and 200 kDa. First line corresponds to the pellet fraction at 5,000 g after membrane solubilization (P5000) and the supernatant was loaded on the IMAC column (Input). The Western blot using anti-HA shows that all hGLUT9b was extracted and solubilized from the membrane fraction. The three following lanes correspond to the unbound and washed fractions and demonstrate that hGLUT9b binds to the column. The protein was eluted using HRV 3C protease at the PreScission site.
Figure 6. Isolation of hGLUT9b by size-exclusion chromatography with Western blot, silver stain, and single particle analysis.(A) Superose 6 gel filtration chromatography shows two peaks. The first peak corresponds to the dead volume of the gel filtration where large molecular weight proteins or aggregates do not interact with the beads and quickly pass through the column. The second peak corresponds principally to the monomeric (sharp peak, right side) and oligomeric (shoulder, left side) states. Western blot representation of fractions 30 to 43 after gel filtration showing clearly the separation of the second peak into hGLUT9b oligomers and monomer. (B) Silver-staining of hGLUT9b monomers obtained from fraction 35. (C) Micrograph of hGLUT9 particles obtained from negatively-stained TEM. Scale bar is 50 nm. Gallery representation of the 9 class-averages obtained from 1439 particles. Each representation is scaled to a 26 nm square.
Figure 7. Single particle reconstruction of purified hGLUT9b monomers.(A) Different views of the initial 3D-reconstruction (gray surface) which accommodate the predicted homology-based model (gold). Scale bar is 26 Å. (B) Plot of the Euler angle distribution showing that the particles adsorb to the carbon film in random and uniformly distributed orientations. The initial model was determined to have a resolution of 30 Å as estimated using a Fourier Shell Correlation curve. The refined model improved the resolution to a final 23 Å (C). The final refined model showing the original homology based-structure within the density map of the observed hGLUT9 particles. Alignment showed significant overlap with two areas noted by an asterisk corresponding to unstructured domains.
Figure 8. Hypothetical Substrate Binding Pocket in hGLUT9 model.(A) The surface modeling of hGLTU9, as described in Figure 2, was used to determine a 3 Å- pocket that could serve as a hypothetical substrate-binding site. (B) The putative binding site found is formed by amino acids: H23, R31, L182, Q203, A206, Q328, L332, N333, F426, W459 and N462.
Figure 1. Phylogenetic tree and sequence relationships of the SLC2 family members.(A) Bacterial XylE sequence identity and similarity heat map comparing various members of the human GLUT transporter family. SLC2A9a and b share the least sequence similarities and identities when compared to SLC2A1–4 and are further separated from the bacterial homologue XylE. (B) Phylogenic tree representation of the relationship between GLUT family members.
Anzai,
Plasma urate level is directly regulated by a voltage-driven urate efflux transporter URATv1 (SLC2A9) in humans.
2008, Pubmed,
Xenbase
Anzai,
Plasma urate level is directly regulated by a voltage-driven urate efflux transporter URATv1 (SLC2A9) in humans.
2008,
Pubmed
,
Xenbase Augustin,
Identification and characterization of human glucose transporter-like protein-9 (GLUT9): alternative splicing alters trafficking.
2004,
Pubmed
,
Xenbase Bergeron,
Frog oocytes to unveil the structure and supramolecular organization of human transport proteins.
2011,
Pubmed
,
Xenbase Bibert,
Mouse GLUT9: evidences for a urate uniporter.
2009,
Pubmed
,
Xenbase Cao,
TRPV1 structures in distinct conformations reveal activation mechanisms.
2013,
Pubmed Clémençon,
Expression, purification, and projection structure by single particle electron microscopy of functional human TRPM4 heterologously expressed in Xenopus laevis oocytes.
2014,
Pubmed
,
Xenbase Doblado,
Facilitative glucose transporter 9, a unique hexose and urate transporter.
2009,
Pubmed Gouy,
SeaView version 4: A multiplatform graphical user interface for sequence alignment and phylogenetic tree building.
2010,
Pubmed Graybill,
Ultrastructure of human erythrocyte GLUT1.
2006,
Pubmed Grisshammer,
Purification of recombinant G-protein-coupled receptors.
2009,
Pubmed Kuntal,
EasyModeller: A graphical interface to MODELLER.
2010,
Pubmed Larkin,
Clustal W and Clustal X version 2.0.
2007,
Pubmed Li,
Metabolic syndrome, diabetes, and hyperuricemia.
2013,
Pubmed Lomize,
Positioning of proteins in membranes: a computational approach.
2006,
Pubmed Mobasheri,
Expression of the GLUT1 and GLUT9 facilitative glucose transporters in embryonic chondroblasts and mature chondrocytes in ovine articular cartilage.
2005,
Pubmed Mueckler,
The SLC2 (GLUT) family of membrane transporters.
2013,
Pubmed Mueckler,
Model of the exofacial substrate-binding site and helical folding of the human Glut1 glucose transporter based on scanning mutagenesis.
2009,
Pubmed
,
Xenbase Salas-Burgos,
Predicting the three-dimensional structure of the human facilitative glucose transporter glut1 by a novel evolutionary homology strategy: insights on the molecular mechanism of substrate migration, and binding sites for glucose and inhibitory molecules.
2004,
Pubmed So,
Uric acid transport and disease.
2010,
Pubmed Sun,
Crystal structure of a bacterial homologue of glucose transporters GLUT1-4.
2012,
Pubmed Tang,
EMAN2: an extensible image processing suite for electron microscopy.
2007,
Pubmed Vitart,
SLC2A9 is a newly identified urate transporter influencing serum urate concentration, urate excretion and gout.
2008,
Pubmed
,
Xenbase