|
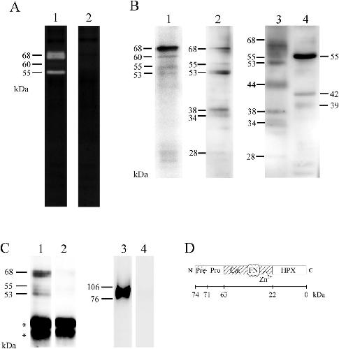
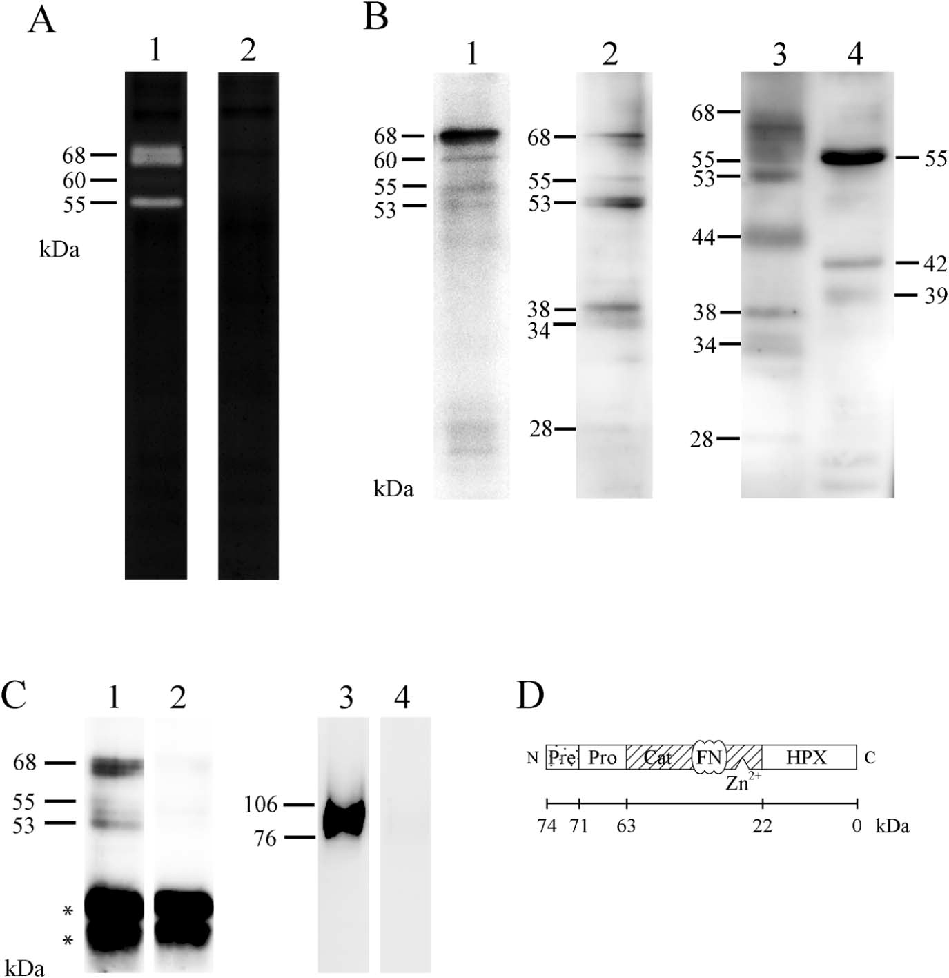
Fig. 1.
Gelatin zymography and Western blot of the extract obtained from mature sperm after SDS-PAGE with 10% gels. (A) Gelatin zymography of the sperm extract showing major 68âkDa and 55âkDa lytic bands and a minor 60âkDa band (lane 1), but no lytic band in the presence of 1âmM o-phenanthroline during gel-incubation (lane 2). (B) Western blot of the sperm extract by anti-MMP-2 catalytic antibody (lane 1), showing a major band of 68âkDa band and minor 55, 60 and 53âkDa bands. Western blots of the sperm extract by anti-MMP-2 HPX antibody, showing 53-28âkDa bands lower than 68-55âkDa bands (lane 2). Western blot of the sperm membrane fraction (lane 3) and the sperm cytoplasmic fraction (lane 4) by anti-MMP-2 HPX antibody, showing 68-55âkDa bands and several minor bands with the HPX domain (53-28âkDa) in the membrane fraction, but a major 55âkDa band and minor 42 and 39âkDa bands in the cytoplasmic fraction. (C) Immunoprecipitation of the sperm extract by anti-MMP-2 HPX antibody, showing precipitation of MMP-2 (68-53âkDa) (lane 1) and coprecipitation of a 106-76âkDa fraction of SGP (lane 3), but no precipitation by pre-immune antibody (lanes 2 and 4). Asterisks, input antibodies. (D) A domain structure of MMP-2, showing the signal peptide (Pre), the prodomain (Pro), the catalytic domain (Cat), the fibronectin-like collagen-binding domain (FN), the zinc-binding site (Zn2+), and the hemopexin domain (HPX). |
|
Fig. 2.
Colocalization of MMP-2 and SGP on the sperm surface. Sperm were treated with anti-MMP-2 HPX antibody and anti-SGP antibody followed by the secondary antibodies, showing the distribution of MMP-2 (green) in the head region including in acrosomal region (AC) and the middle and posterior portions of head (MH and PH). A small amount of MMP-2 was localized in the anterior portion of head (AH) and the tail region (T). SGP was distributed over the entire sperm surface (red). MMP-2 was colocalized with SGP on the sperm surface (merge with DIC image). Since the images (AâC) were taken from the same sperm with 1âµm-thick optical slices, only some areas of the sperm surface were shown in each image. The sperm were treated with Ca2+ ionophore A23187 (10âµM, 15âmin) to induce acrosome reaction, and then treated with the antibodies, showing the localization of MMP-2 around the acrosomal region at the tip of the head (Fig. 2D). DIC, Differential interference contrast microscopy. Bars, 5âµm. |
|
Fig. 3.
The rate of fertilization of jellied eggs in the presence of inhibitors for broad MMPs: o-phenanthrolin (A) and GM6001 (B), and an inhibitor more specific for MMP-2: MMP-2 inhibitor II (Ki: 2.4, 45 and 379âµM for MMP-2, MMP-1 and MMP-7, respectively) (C), showing that the enzymatic activity of MMP-2 is necessary for fertilization of jellied eggs. Fertilization of jellied egg was inhibited when the sperm were treated the inhibitor specific for MMP-2 inhibitor II (D), indicating the involvement of MMP-2 in the sperm for fertilization. The fertilization in denuded eggs was not affected by MMP-2 inhibitor II (E) either in the presence at insemination or in the pretreatment of sperm before insemination (pre-treatment), but the treatment of sperm with anti-MMP-2 HPX antibody inhibited fertilization in both jellied eggs (F, closed bars) and denuded eggs (F, open bars), indicating that the MMP-2 HPX domain is necessary for the membrane interaction between the sperm and eggs at fertilization. |
|
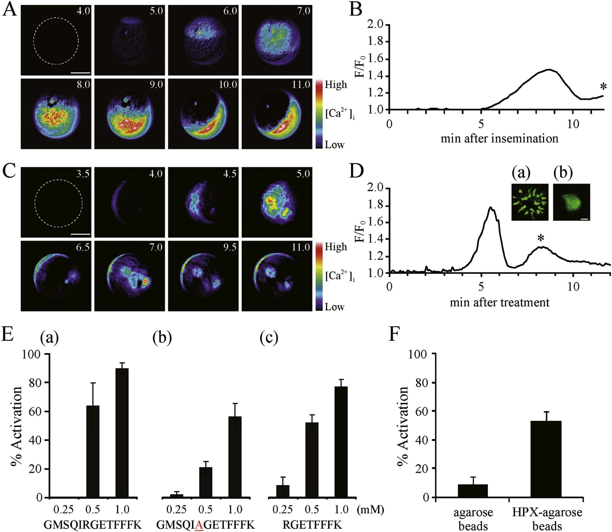
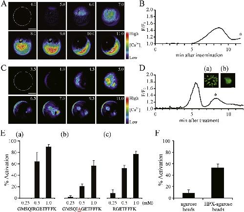
Fig. 4.
(A) and (B) A typical increase in [Ca2+]i induced by the fertilizing sperm in a dejellied egg, showing the propagation of a Ca2+ wave from the sperm entrance site toward the opposite site. The increase in [Ca2+]i was initiated 5âmin after insemination and continued about 5âmin. The second increase in fluorescence intensity (*) is an artifact by the appearance of white surface of vegetal hemisphere during cortical contraction after passing the Ca2+ wave. Numbers on the top right of figures (C and D) show time (min) after insemination. Bar, 0.5âmm. (C) and (D) A typical increase in [Ca2+]i induced by the treatment of the HPX peptide (473â485; GMSQIRGETFFFK, 2âmM, 20âµL) in a dejellied egg, showing the increase in [Ca2+]i which was initiated 4âmin after treatment and spread over the egg surface for 3âmin. The resumption meiosis in metaphase II-arrested unfertilized eggs (D-a) was confirmed by the formation of an egg pronucleus (D-b). The second peak in fluorescence intensity (*) is an artifact by the appearance of white surface of vegetal hemisphere during cortical contraction after passing the Ca2+ wave. Numbers on the top right show time (min) after treatment. Bar, 0.5âmm (A) and 10âµm (D). (E) The activation of dejellied eggs by the treatment with the HPX peptides, showing higher activities by GMSQIRGETFFFK (473â485) (a) and by RGETFFK (478â485) (c), but lower activity by GMSQIAGETFFFK (R475A) (b). In each column, 40â50 eggs were examined (meanâ±âSEM, nâ=â4). (F) The activation of denuded eggs by the treatment with agarose-beads conjugated by GMSQIRGETFFFK (473â485), indicating signal transduction for egg activation on the egg plasma membrane. In each column, 37â45 eggs were examined (meanâ±âSEM, nâ=â3). |
|
Fig. 5.
(A) Interactions of the microdomain (MD) of egg membrane with the HPX peptide (473â485; GMSQIRGETFFFK), showing binding of the MD to the HPX peptide captured on a sensor chip for SPR system (Biacore). Binding of the MD was inhibited in the presence of GM1, but not of asialo GM or GM3. RU, resonance unit (1âpg/mm2). (B) The presence of uroplakin III (UPIII) in the MD bound to the HPX peptide was confirmed by further binding of anti-UPIII antibody on the chip. (CâH) Detection of GM1 on the sperm surface with FITC-conjugated cholera toxin B subunit (FITC-CTB), showing a very small amount of GM1 on the GM1-untreated sperm (C) in comparison with the sperm without treatment of FITC-CTB (D), but a large amount of GM1 bound the sperm after treatment of the sperm with GM1 (100âµg/mL, 15âmin) (E and F). The binding of GM1 on the sperm was inhibited by the pre-treatment of sperm with anti-MMP-2 HPX antibody (1:10-dilution, 20âmin) (G and H). The set of E and F or G and H is showing different optical slices in the same sperm, respectively. Left panels, the fluorescence images of FITC-CTB; Right panels, the merge of fluorescence images with differential interference images (DIC). Ac, acrosomal region; H, head; T, tail. Bar, 5âµm. |
|
Fig. 6.
Voltage-dependency of egg activation by the fertilizing sperm and the HPX peptide (A and B). Dejellied eggs were voltage-clamped at â20âmV (A) or +10âmV (B), respectively, and then treated with the HPX peptide (GMSQIRGETFFFK, 2âmM, 20âµL), showing egg activation in the egg at â20âmV accompanied with a large inward current (activation current) about 4âmin after treatment (A), but no change in the holding current in the egg at +10âmV (B). (C) Voltage-dependent egg activation by the sperm (open squares) or by the treatment with the HPX peptide (GMSQIRGETFFFK, 2âmM, 20âµL) (closed circles). No egg underwent activation during voltages at higher than 0âmV by the sperm or +10âmV by the HPX peptide, respectively. Percentage of egg activation is plotted as a function of the clamp potential. Each point represents results from 10 to 20 eggs. |
|
Fig. 7.
Changes of voltage-dependency in fertilization by the treatment of sperm with gangliosides or anti-MMP-2 HPX antibody. (AâD) Jellied eggs were voltage-clamped at +10âmV and then inseminated. At 10âmin after insemination, the clamp voltage was negatively shifted in incremental steps (10âmV-step, for 5âmin). Fertilization current (egg activation) was elicited at â20âmV by untreated sperm (A), but at 0âmV by the sperm which had been treated with GM1 (100âµg/mL, 15âmin) (B), or by the sperm which had been treated with anti-MMP-2 HPX antibody (1:100-dilution, 15âmin) (C). Untreated sperm caused activation in about half of the eggs at â10âmV or â20âmV (untreated), but 10% and 80% of the eggs were activated by GM1-treated sperm at 0âmV and â10âmV, respectively (GM1). The treatment of sperm with asialo GM1 or GM3 (100âµg/mL, 15âmin) did not affect the voltage dependency (asialo GM1, GM3). The sperm which had been treated with anti-MMP-2 HPX antibody (1:100-dilution, 15âmin) caused activation in 20% and 60% of the eggs at 0 mV and â10âmV, respectively (anti-MMP-2 HPX). No egg was activated at 0âmV by the sperm treated by preimmune antibody (preimmune). Each column represents results from 10 to 30 eggs. |
|
Fig. 8.
A schematic model of voltage-dependent fertilization (egg activation) based on an interaction between the MMP-2 HPX domain on the sperm membrane and GM1 in the MD of egg membrane. Since the membrane potential of unfertilized eggs is negative (about –20 mV), positively charged MMP-2 HPX domain can bind to interact with negatively charged GM1 in the MD of egg plasma membrane. Short forms of MMP-2 with the HPX domain might be also involved in this interaction. The bound sperm transmits a signal for the increase in [Ca2+]i to activate the egg, probably through partial digestion of uroplakin III (UPIII) by a sperm tryptic protease, followed by the activation of Src kinase (Src) and phospholipase Cγ (PLC). IP3 produced by PLCγ releases Ca2+ ions from the ER to open Ca2+-sensitive Cl–-channels on the egg membrane, which elicits a positive fertilization potential higher than 0 mV. The positive membrane potential might inhibit the interaction between the MMP-2 HPX domain in the extra sperm and GM1 to prevent polyspermy.
|
|
Fig. S1.
(A) Amino acid sequence and domain structure of Xenopus laevis testis MMP-2, showing a signal peptide (Pre), a prodomain (Pro), a typical catalytic domain (Cat) with zinc binding region (underline), a fibronectin-like collagen-binging domain (FN), and a hemopexin domain (HPX). Asterisk, glutamic acid (E) in Xenopus laevis tadpole tail MMP-2 (GenBank, AY037943). Arrows, the position of primers for RT-PCR. Dotted line, HPX peptide. (B) RT-PCR analysis for confirmation of the expression of MMP-2 in Xenopus laevis testis. RT reaction was performed with GeneRacer kit (Invitrogen), and poly (A) RNA extract was used as a negative control (RTâ). The reaction products were subjected to PCR (95â°C for 30âsec, 56â°C for 1âmin, 72â°C for 2âmin) for 30 cycles; the forward and reverse PCR primers specific for MMP-2 were 5â²-CTGCACTGATTCTGGTCGCTC-3â² and 5â²-TCAACACGATCAACATCAGGA-3â², respectively. |