XB-ART-49340
Nature
2014 Jul 10;5117508:191-7. doi: 10.1038/nature13548.
Show Gene links
Show Anatomy links
NMDA receptor structures reveal subunit arrangement and pore architecture.
Lee CH, Lü W, Michel JC, Goehring A, Du J, Song X, Gouaux E.
???displayArticle.abstract???
N-methyl-d-aspartate (NMDA) receptors are Hebbian-like coincidence detectors, requiring binding of glycine and glutamate in combination with the relief of voltage-dependent magnesium block to open an ion conductive pore across the membrane bilayer. Despite the importance of the NMDA receptor in the development and function of the brain, a molecular structure of an intact receptor has remained elusive. Here we present X-ray crystal structures of the Xenopus laevis GluN1-GluN2B NMDA receptor with the allosteric inhibitor, Ro25-6981, partial agonists and the ion channel blocker, MK-801. Receptor subunits are arranged in a 1-2-1-2 fashion, demonstrating extensive interactions between the amino-terminal and ligand-binding domains. The transmembrane domains harbour a closed-blocked ion channel, a pyramidal central vestibule lined by residues implicated in binding ion channel blockers and magnesium, and a ∼twofold symmetric arrangement of ion channel pore loops. These structures provide new insights into the architecture, allosteric coupling and ion channel function of NMDA receptors.
???displayArticle.pubmedLink??? 25008524
???displayArticle.pmcLink??? PMC4263351
???displayArticle.link??? Nature
???displayArticle.grants??? [+]
Species referenced: Xenopus laevis
Genes referenced: ttn
???attribute.lit??? ???displayArticles.show???
|
|
Extended Data Figure 2. Electrophysiology and Western analysis of GluN1 δ/GluN2B δ receptor combinationsa, b, c, Representative TEVC currents recorded for oocytes expressing GluN1 δ4 and (a) GluN2B δ1 or (b, c) GluN2B δ3 receptors in response to agonist (100µM glycine and 100 µM glutamate, bars, 20 sec) or agonist plus 1 mM MgCl2 (indicated) after soaking oocytes in the (a, b) absence or (c) presence of 5mM DTT. d, Western blot analysis of oocytes demonstrating spontaneously crosslinking cysteines (Lys216Cys) introduced at the GluN2B δ3 intersubunit interface. Oocytes were soaked in the absence (left lanes) or presence of 5mM DTT (right lanes) before processing for Western analysis using an anti-GluN2B antibody. Filled and open triangles indicate positions of crosslinked and monomeric GluN2B, respectively. e, Graph of mean agonist-induced inward currents from four reduced oocytes expressing GluN1 δ4 and GluN2B δ3 in the absence (G/G, −25 ± −4 nA) or presence of 1mM MgCl2 (G/G/Mg2+, 8 ± 5 nA). Error bars represent s.e.m. The p value is <0.001 for the paired T-test (asterisk). f, Representative TEVC currents recorded in response to agonist (100µM glycine and 100 µM glutamate bars, 10 sec) or agonist plus 1 mM MgCl2 for oocytes expressing constructs similar to the GluN1 δ2/GluN2B δ2 receptor combination with the following exceptions: GluN1 subunit, Asp656 (wt), Gly636Arg and Lys741Asp; and GluN2B subunit, Glu654 (wt), Glu655 (wt), and Lys216 (wt). g, Binding constants for the GluN1 δ2/GluN2B δ2 construct. |
|
|
Extended Data Figure 3. 2Fo-Fc electron density maps of the GluN1/GluN2B NMDA structurea, The electron densities associated with the GluN1 ATD (chain A) contoured at 1.7 Ï, (b) the GluN1 LBD (chain A) contoured at 1.6 Ï, (c) the TMD of the entire tetrameric receptor contoured at 1.0 Ï and (d) the TMD of a single GluN2B subunit (chain D), showing the pore loop, also contoured at 1.0 Ï. Electron density maps and structures were derived from Data set 1/Structure 1 for panels (a) and (b) and from Data set 2/Structure 2 for panels (c) and (d) (see Extended Data Table 2). |
|
|
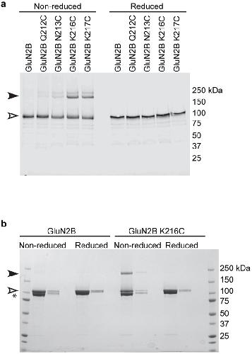
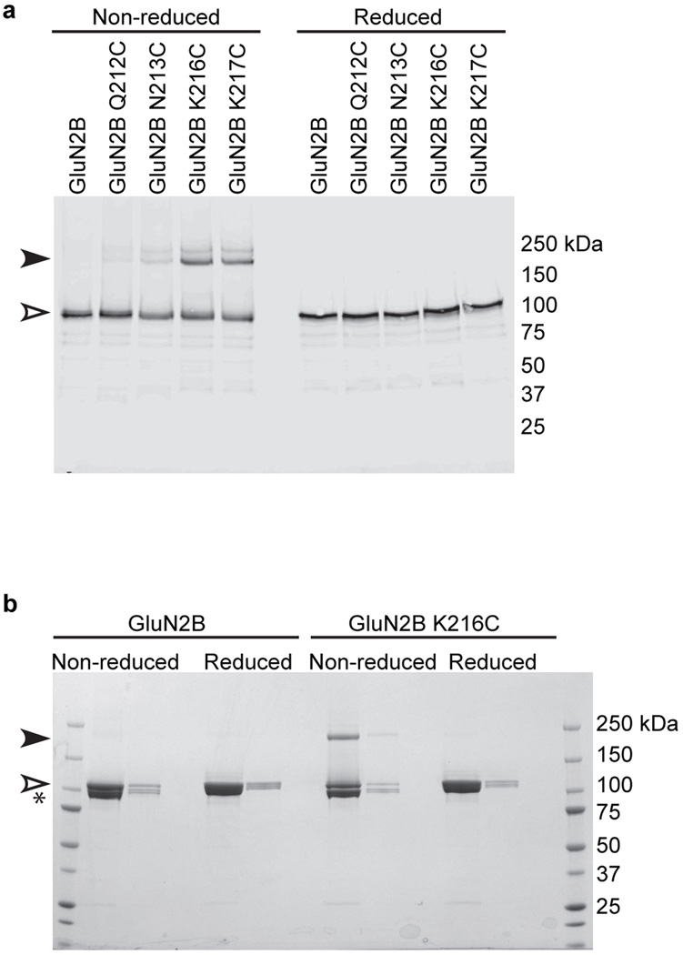
Extended Data Figure 4. Analysis of spontaneous crosslinking of single cysteine point mutants introduced in the GluN2B ATD of the GluN1/GluN2B receptor complexa, Western blot analysis of single cysteine mutants in the α5 helix of the GluN2B subunit. Solubilized extracts of HEK293S GnTI cells expressing a C-terminal GFP-StrepII tag GluN2B construct (GluN2B δ1) containing mutants as indicated with untagged GluN1 (GluN1 δ1) were analyzed by Western blot using an anti-GFP polyclonal antibody. The open and filled arrows correspond to monomeric and dimeric GluN2B bands, respectively. b, Coomassie stained SDS-PAGE analysis of spontaneous crosslinking of GluN2B K216C containing receptor. Left and right lanes illustrate samples with different concentrations of protein for GluN1/GluN2B and GluN1/GluN2B K216C receptors. The asterisk indicates GluN1 monomer while the open and filled arrows correspond to monomeric and dimeric GluN2B bands, respectively. |
|
|
Extended Data Figure 5. Structural analyses and electron density maps of GluN1/GluN2B ATD heterodimer in the full-length NMDA structurea, Intersubunit distance between the indicated marker atoms and angle of domain closure in the soluble ATD structure (PDB 3QEM, left panel) or full-length ATD structure (right panel). b, Superposition of the full-length GluN1 (blue)/GluN2B (orange) ATD heterodimer onto the soluble heterodimer structure (PDB 3QEM, light grey) by aligning the indicated helices (green) in the R1 lobe of GluN2B. c, Fo-Fc omit electron density map for Ro25-6981 bound at the GluN1/GluN2B ATD heterodimer interface (chains A and B), contoured at 3σ (Data set 1/Structure 1). d, Anomalous difference electron density of Tb3+ (blue mesh) near the R1-R2 hinge of a single GluN2B ATD (chain B, Data set 3), contoured at 3.5 σ. e, Superposition of the LBD layer of the low resolution GluN1/GluN2B receptor (light blue, Data set 4/Structure 4) onto the LBD layer of the high resolution K216C receptor (magenta, Data set 1/Structure 1) illustrates the relative difference in ATD conformations between the two receptor structures (see Extended Data Table 2). Shown is the most 'open' conformation of the ATDs derived from one of the two independent receptors in the asymmetric unit of Data set 4/Structure 4. |
|
|
Extended Data Figure 6. LBD ligand electron densities and conformationsFo-Fc omit electron density maps for (a) ACPC bound to GluN1 LBD (chain A) and (b) t-ACBD bound to GluN2B LBD (chain D), contoured at 3 σ and 2.5 σ, respectively (Data set 1/Structure 1). c, d, e, Comparison of LBD in the full-length GluN1/GluN2B structure to isolated structures by aligning the D1 lobe. The angle of rotation relative to beta strand 10 is indicated for each. c, The ACPC-bound GluN1 LBD of the full-length structure (chain A, blue) is more open than the ACPC-bound isolated GluN1 LBD structure (PDB 1Y20, grey). d, The ACPC-bound GluN1 LBD of the full-length structure (chain A, blue) is more open than the glycine-bound isolated GluN1 LBD structure (PDB 2A5T, chain A, grey). e, The t-ACBD-bound GluN2B LBD of the full-length structure (chain D, orange) has a similar domain closure to the glutamate-bound isolated GluN2B LBD (PDB 2A5T, chain B, grey). f, GluN1/GluN2B LBD heterodimer (chains A and D) from the full-length receptor structure showing the separation of the D2 lobes, measured using the α-carbon atoms of residues Gly 664 and Gly 662, respectively. g, A similar measurement as in (f) using the equivalent residues in the context of the rat glycine/glutamate bound isolated GluN1/GluN2A LBDs (PDB 2A5T). h, The same measurement as in (g), except in the GluN1 antagonist/Glu2A glutamate-bound conformation (PDB 4NF4). Structures shown in panels c-f were derived from Data set 1/Structure 1 and are similar in conformation to the related domains derived from Data set 2/Structure 2 (see Extended Data Table 2). |
|
|
Extended Data Figure 7. Structural analyses of the transmembrane domain of NMDA receptora, Alpha-carbon superposition of the M3 helices of the GluN1/GluN2B NMDA receptor (Data set 2/Structure 2) onto the corresponding M3 regions of GluA2 receptor (PDB 3KG2; grey). Rmsd is 1.89 Å for 144 aligned α-carbon atoms. The GluN1 subunits are blue and the GluN2B subunits are yellow. b, Amino acid sequence alignment of the NMDA receptor and the KcsA channel in the M2 and M3 regions using Promals3D (http://prodata.swmed.edu/promals3d/promals3d.php). c, Superposition of the four M2 helices of the NMDA receptor onto the corresponding four M2 regions of the KcsA channel (PDB 1K4C; residues 61–75). Rmsd is 1.86 Å. Only chains B and D of the NMDA GluN2B subunits are shown. d, Residual electron density in the central vestibule. Fo-Fc electron density in the central vestibule is shown for the GluN1/GluN2B receptor from Data set 2/Structure 2. For clarity, chain C is removed. e, Fo-Fc electron density map in the central vestibule derived from Data set 1/Structure 1. For clarity, chain B is removed. f, The same electron density map as shown in panel (e) except that the structure has been rotated by ~90° around the pore axis and chain C of the GluN1 subunit has been removed for clarity. All maps are contoured at 2.8 σ. |
|
|
Extended Data Figure 8. Comparison of LBD layers and LBD-TMD linkers between the NMDA receptor and the GluA2 receptor structuresa, View from the extracellular side of the membrane of the connections between the TMD and LBD domains of the GluN1/GluN2B structure and of the GluA2 structure (PDB 3KG2), showing the relative rotation of GluA2 layer by ~35°. The S2 segment resides within the LBD. The LBD-M3 linkers are highlighted. b, The LBD-M1 linkers are highlighted. c, The LBD-M4 linkers are highlighted. Shown in all panels are structures derived from Data set 1/Structure 1. |
|
|
Figure 1. Architecture, symmetry and domain organization of the GluN1/GluN2B NMDA receptora, View of the receptor complex, parallel to the membrane, with the GluN1 subunits in blue and the GluN2B subunits in orange. The ligands Ro25-6981, ACPC and t-ACBD are in space filling representation. b, View of complex rotated ~120° around overall the 2-fold axis of the receptor. The approximate position of the overall 2-fold axis is shown by a vertical gray bar in the center of the ATD layer. Structure 2 is shown. |
|
|
Figure 2. ATD arrangement, cation binding sites and conformational mobilitya, View of the ATD layer along the overall 2-fold axis, from the extracellular side of the membrane, centered on the overall 2-fold axis, and showing the relative location of the underlying LBD layer. Ro25-6981 is green and the K216C disulfide is yellow. The arrangements of subunits for ATD and LBD layers are shown as insets. b, The inverted ATD heterodimeric ‘V’ straddles GluN1 and GluN2B LBD subunits on different local LBD heterodimers. Whereas the ATD R2 lobes interact with the LBDs, the R1 lobes cradle bound Ro25-6981 at an ATD subunit interface. Structure 1 is shown in panels (a) and (b) c, Tb3+ binding sites. Shown is an anomalous difference electron density map, contoured at 3.5 σ (pink mesh). Sites Tb1 and Tb2 are located at the ‘hinge’ between the R1 and R2 lobes whereas sites Tb3 and Tb4 are at receptor-receptor contacts in the crystal lattice. d, Shown are the ATD and LBD extracellular domains derived from the two low resolution GluN1/GluN2B receptor structures (Extended Data Table 2; Data set 4/Structure 4) where the GluN2B subunits do not harbor the K216C disulfide bridge, illustrating the conformational mobility of the ATD layer. The angles between the α5 helices of the GluN2B subunits for each of the two independent receptor complexes in the asymmetric unit illustrate the conformational mobility of the ATD layers. |
|
|
Figure 3. LBD layer forms a ring-like structurea, The GluN1/GluN2B LBD and TMD, showing that the pseudo 2-fold axes of the B/C and A/D LBD heterodimers diverge with an angle of 60°. The boxed areas define regions of LBD dimer-dimer contacts shown in panels (g) and (h). b, View of the antagonist-bound state of the GluA2 AMPA receptor, which shows that the 2-fold axes of the LBD dimers diverge by an angle of 40.9°c, View from the extracellular side of the membrane, along the overall 2-fold axis of the receptor, showing the LBDs of the GluN1 and GluN2B subunits, with the LBD heterodimer interface of the B/C subunits emphasized by a box. d, GluA2 LBD layer, illustrating how the interface between the B/C and A/D subunits has increased in comparison to the NMDA receptor LBD layer. e, Schematic of the LBD layer, showing the NMDA receptor B/C and A/D heterodimers as rectangles (solid lines) and illustrating the translational shift of the A/D subunits in the AMPA receptor (dotted lines). The asterisk indicates the dimer-dimer interface. f,g,h, Closeup view of the canonical D1-D1 intradimer interface32, together with views of the interactions at the interdimer interfaces in panels (g) and (h). The domains from Structure 2 are shown, with GluN1 subunits in blue and GluN2B subunits in orange. |
|
|
Figure 4. The ATDs participate in extensive contacts with the LBD layera. Surface representation of the ATD and LBD domains, illustrating how the R2 lobe of the GluN1 subunit is poised above its cognate GluN1 LBD and also near the D1-D1 LBD dimer interface and in (b) how the R2 lobe of the GluN2B subunit participates in contacts with its cognate GluN2B LBD, near an inter LBD dimer interface. c. Close up views of potential interactions between the GluN1 R2 lobe and the GluN1 LBD and (d) between the GluN2B R2 lobe with regions on its GluN2B LBD. Note that the GluN2B R2 lobe is also near helices G and F and loop 2 of the GluN1 LBD. In (a) and (b) the black dots define the approximate intra- and interdimer LBD interfaces, respectively. Structure 1 is shown in all panels. |
|
|
Figure 5. Transmembrane domain architecture, symmetry and coupling to LBDa, View of the TMD parallel to the membrane. GluN1 subunits are blue and the GluN2B subunits are orange. b, View of the TMD, along the pore axis, from the cytoplasmic side of the membrane. c, View of a solvent accessible surface carved along the pore axis using the computer program HOLE, parallel to the membrane, showing that the M3 bundle crossing near the extracellular side of the membrane and the entry into the selectivity filter region, from the central aqueous vestibule, form constrictions in the pore. The color coding for the dots that indicate the pore radius is 1.15 Å < green < 2.3 Å < blue. Because a number of side chains are not included in the structure, due to the moderate resolution of the diffraction data, the size of the pore is approximate. d, View of the extracellular ends of the M3 helices of the NMDA receptor. We have highlighted as spheres the α-carbon atoms for residues Thr 646 and Ala 645 in the GluN1/GluN2B structure, respectively. The distances between neighboring atoms are 6.2, 8.0, 5.4 and 7.1 Å, starting from the α-carbon of GluN2B on the left and going clockwise. e, View of the intracellular ends of the TMD of the NMDA receptor in comparison with KcsA. Here, the M2 helices of the NMDA receptor were superimposed on the corresponding helices in KcsA, showing the deviation from 4-fold symmetry. f, Side view of the TMD showing a positive electron density feature (green mesh) in the central vestibule, calculated using Fo-Fc coefficients and phases from the refined structure. The map is contoured at 2.8 σ. Data set 2 and Structure 2 were employed in all panels (Extended Data Table 2). |
|
|
Figure 6. Schematic of the NMDA receptora, Shown is a single ATD heterodimer, two LBD ‘clamshells’ residing in different LBD heterodimers, and the TMD of GluN2B subunits, emphasizing only the M2, pore loop and M3 elements. The line connecting the M3 helix on the right is ‘broken’ to illustrate that it is connected to the GluN2B LBD ‘behind’ the shown GluN1 LBD. Double-headed arrows suggest possible movements of ATDs within an ATD heterodimer. b, Rotation of the receptor schematic shown in panel (a) by ~120° showing two ATD heterodimers, a single LBD heterodimer and the TMD of GluN1 subunits. Double-headed arrows show conformational movements between ATD heterodimers observed in the structures described here. The α5 helices, harboring the K216C crosslink, are shown as rectangles at the R2-R2 interface. In both schematics, we emphasize how the R2 lobes of the ATDs are positioned such they could modulate inter- and intradimer LBD interfaces and, in turn, the ion channel gate. |
References [+] :
Adams,
PHENIX: building new software for automated crystallographic structure determination.
2002, Pubmed
Adams, PHENIX: building new software for automated crystallographic structure determination. 2002, Pubmed
Allan, Synthesis and activity of a potent N-methyl-D-aspartic acid agonist, trans-1-aminocyclobutane-1,3-dicarboxylic acid, and related phosphonic and carboxylic acids. 1990, Pubmed
Armstrong, Mechanisms for activation and antagonism of an AMPA-sensitive glutamate receptor: crystal structures of the GluR2 ligand binding core. 2000, Pubmed
Baconguis, Structural plasticity and dynamic selectivity of acid-sensing ion channel-spider toxin complexes. 2012, Pubmed
Bettler, Cloning of a novel glutamate receptor subunit, GluR5: expression in the nervous system during development. 1990, Pubmed , Xenbase
Bliss, A synaptic model of memory: long-term potentiation in the hippocampus. 1993, Pubmed
Burnashev, Control by asparagine residues of calcium permeability and magnesium blockade in the NMDA receptor. 1992, Pubmed , Xenbase
Davis, MolProbity: all-atom contacts and structure validation for proteins and nucleic acids. 2007, Pubmed
DeLano, Unraveling hot spots in binding interfaces: progress and challenges. 2002, Pubmed
Doyle, The structure of the potassium channel: molecular basis of K+ conduction and selectivity. 1998, Pubmed
Dukkipati, BacMam system for high-level expression of recombinant soluble and membrane glycoproteins for structural studies. 2008, Pubmed
Emsley, Coot: model-building tools for molecular graphics. 2004, Pubmed
Erreger, Subunit-specific gating controls rat NR1/NR2A and NR1/NR2B NMDA channel kinetics and synaptic signalling profiles. 2005, Pubmed
Erreger, Subunit-specific agonist activity at NR2A-, NR2B-, NR2C-, and NR2D-containing N-methyl-D-aspartate glutamate receptors. 2007, Pubmed , Xenbase
Fischer, Ro 25-6981, a highly potent and selective blocker of N-methyl-D-aspartate receptors containing the NR2B subunit. Characterization in vitro. 1997, Pubmed , Xenbase
Furukawa, Subunit arrangement and function in NMDA receptors. 2005, Pubmed
Gielen, Mechanism of differential control of NMDA receptor activity by NR2 subunits. 2009, Pubmed
Gielen, Structural rearrangements of NR1/NR2A NMDA receptors during allosteric inhibition. 2008, Pubmed , Xenbase
Hansen, Subunit-selective allosteric inhibition of glycine binding to NMDA receptors. 2012, Pubmed
Hansen, Control of assembly and function of glutamate receptors by the amino-terminal domain. 2010, Pubmed
Hanson, Crystal structure of a lipid G protein-coupled receptor. 2012, Pubmed
Hart, Scintillation proximity assay (SPA)--a new method of immunoassay. Direct and inhibition mode detection with human albumin and rabbit antihuman albumin. 1979, Pubmed
Hattori, A fluorescence-detection size-exclusion chromatography-based thermostability assay for membrane protein precrystallization screening. 2012, Pubmed
Inanobe, Mechanism of partial agonist action at the NR1 subunit of NMDA receptors. 2005, Pubmed , Xenbase
Jin, Crystal structure and association behaviour of the GluR2 amino-terminal domain. 2009, Pubmed
Johnson, Glycine potentiates the NMDA response in cultured mouse brain neurons. , Pubmed
Kabsch, XDS. 2010, Pubmed
Karakas, Structure of the zinc-bound amino-terminal domain of the NMDA receptor NR2B subunit. 2009, Pubmed , Xenbase
Karakas, Subunit arrangement and phenylethanolamine binding in GluN1/GluN2B NMDA receptors. 2011, Pubmed , Xenbase
Kashiwagi, Channel blockers acting at N-methyl-D-aspartate receptors: differential effects of mutations in the vestibule and ion channel pore. 2002, Pubmed , Xenbase
Kawate, Fluorescence-detection size-exclusion chromatography for precrystallization screening of integral membrane proteins. 2006, Pubmed
Keinänen, A family of AMPA-selective glutamate receptors. 1990, Pubmed
Kumar, The N-terminal domain of GluR6-subtype glutamate receptor ion channels. 2009, Pubmed
Kuner, A common architecture for K+ channels and ionotropic glutamate receptors? 2003, Pubmed
Lee, Amino terminal domains of the NMDA receptor are organized as local heterodimers. 2011, Pubmed
Mayer, Permeation and block of N-methyl-D-aspartic acid receptor channels by divalent cations in mouse cultured central neurones. 1987, Pubmed
Mayer, Voltage-dependent block by Mg2+ of NMDA responses in spinal cord neurones. , Pubmed
Mayer, Emerging models of glutamate receptor ion channel structure and function. 2011, Pubmed , Xenbase
McCoy, Solving structures of protein complexes by molecular replacement with Phaser. 2007, Pubmed
Mony, Allosteric modulators of NR2B-containing NMDA receptors: molecular mechanisms and therapeutic potential. 2009, Pubmed
Mony, Molecular basis of positive allosteric modulation of GluN2B NMDA receptors by polyamines. 2011, Pubmed
Monyer, Heteromeric NMDA receptors: molecular and functional distinction of subtypes. 1992, Pubmed
Moriyoshi, Molecular cloning and characterization of the rat NMDA receptor. 1991, Pubmed , Xenbase
Nowak, Magnesium gates glutamate-activated channels in mouse central neurones. , Pubmed
Otwinowski, Processing of X-ray diffraction data collected in oscillation mode. 1997, Pubmed
Paoletti, NMDA receptor subunit diversity: impact on receptor properties, synaptic plasticity and disease. 2013, Pubmed
Peery, Anti-NMDA receptor encephalitis. The disorder, the diagnosis and the immunobiology. 2012, Pubmed
Pøhlsgaard, Lessons from more than 80 structures of the GluA2 ligand-binding domain in complex with agonists, antagonists and allosteric modulators. 2011, Pubmed
Potterton, A graphical user interface to the CCP4 program suite. 2003, Pubmed
Reeves, Structure and function in rhodopsin: high-level expression of rhodopsin with restricted and homogeneous N-glycosylation by a tetracycline-inducible N-acetylglucosaminyltransferase I-negative HEK293S stable mammalian cell line. 2002, Pubmed
Reichling, Lanthanum actions on excitatory amino acid-gated currents and voltage-gated calcium currents in rat dorsal horn neurons. 1991, Pubmed
Riou, An alternating GluN1-2-1-2 subunit arrangement in mature NMDA receptors. 2012, Pubmed , Xenbase
Salussolia, Arrangement of subunits in functional NMDA receptors. 2011, Pubmed , Xenbase
Sherry, The activation of concanavalin A by lanthanide ions. 1975, Pubmed
Smart, HOLE: a program for the analysis of the pore dimensions of ion channel structural models. 1996, Pubmed
Sobolevsky, X-ray structure, symmetry and mechanism of an AMPA-subtype glutamate receptor. 2009, Pubmed
Soto, Glutamate receptor mutations in psychiatric and neurodevelopmental disorders. 2014, Pubmed
Strong, Toward the structural genomics of complexes: crystal structure of a PE/PPE protein complex from Mycobacterium tuberculosis. 2006, Pubmed
Sugihara, Structures and properties of seven isoforms of the NMDA receptor generated by alternative splicing. 1992, Pubmed , Xenbase
Sun, Mechanism of glutamate receptor desensitization. 2002, Pubmed
Tovar, Triheteromeric NMDA receptors at hippocampal synapses. 2013, Pubmed
Traynelis, Glutamate receptor ion channels: structure, regulation, and function. 2010, Pubmed
Watson, Pharmacological characteristics of cyclic homologues of glycine at the N-methyl-D-aspartate receptor-associated glycine site. 1990, Pubmed , Xenbase
Werner, Cloning of a putative high-affinity kainate receptor expressed predominantly in hippocampal CA3 cells. 1991, Pubmed
Weston, Conformational restriction blocks glutamate receptor desensitization. 2006, Pubmed
Yelshansky, Block of AMPA receptor desensitization by a point mutation outside the ligand-binding domain. 2004, Pubmed , Xenbase
Zhu, Allosteric signaling and dynamics of the clamshell-like NMDA receptor GluN1 N-terminal domain. 2013, Pubmed
