XB-ART-49071
Mol Biol Cell
2014 Jul 01;2513:2094-104. doi: 10.1091/mbc.E13-07-0386.
Show Gene links
Show Anatomy links
Drosha protein levels are translationally regulated during Xenopus oocyte maturation.
Muggenhumer D, Vesely C, Nimpf S, Tian N, Yongfeng J, Jantsch MF.
???displayArticle.abstract???
MicroRNAs (miRNAs) are ∼21-nucleotide-long, single-stranded noncoding RNAs that regulate gene expression. Biogenesis of miRNAs is mediated by the two RNase III-like enzymes, Drosha and Dicer. Here we study miRNA biogenesis during maturation of Xenopus oocytes to eggs using microinjection of pri-miRNAs. We show that processing of exogenous and endogenous primary miRNAs (pri-miRNAs) is strongly enhanced upon maturation of oocytes to eggs. Overexpression of cloned Xenopus Drosha in oocytes, however, boosts pri-miRNA processing dramatically, indicating that Drosha is a rate-limiting factor in Xenopus oocytes. This developmental regulation of Drosha is controlled by poly(A) length addition to the Drosha mRNA, which boosts translation upon transition from oocytes to eggs. Processing of pri-miRNAs by Drosha and Dicer has been shown to be affected by adenosine-to-inosine deamination-type RNA editing. Using activated Xenopus eggs for microinjection experiments, we demonstrate that RNA editing can reduce pri-miRNA processing in vivo. This processing block is determined by the structural but not sequence changes introduced by RNA editing.
???displayArticle.pubmedLink??? 24829383
???displayArticle.pmcLink??? PMC4072582
???displayArticle.link??? Mol Biol Cell
Species referenced: Xenopus laevis
Genes referenced: dicer1 drosha myc nucb1 smn1 tff3.7
???attribute.lit??? ???displayArticles.show???
|
|
FIGURE 1:. Microinjected pri-miRNAs are not processed in oocyte nuclei but are in matured eggs. Radiolabeled pri-miRNA-21 (A) and pri-miRNA-29b-1 (B) were injected into individual nuclei of oocytes. To control for proper nuclear injection, the nuclear-retained U6 snRNA was coinjected. After incubation for up to 2 h, the individual oocytes were manually dissected into nuclei and cytoplasm. The corresponding nuclear and cytoplasmic RNAs of individual oocytes were extracted and separated on denaturing urea PAGE. An aliquot of the injected mixture is loaded (input), as well as markers corresponding to processed pre- and mature miRNAs (marker). pri-miRNAs injected into oocyte nuclei are processed poorly and get mostly degraded, whereas U6 snoRNA is stable (arrowheads mark weak, processed pre-miRNA bands). (C) pri-miRNA-29b-1 injected into eggs becomes processed into pre- and mature (insert) miRNAs. (D) RNA folding prediction of synthetic pri-miRNA-29b-1 used for injection. The processed band was cloned, and three independent clones were sequenced. Alignment with the predicted pre-miR29b-1 (gray) shows perfect alignment with the cloned pre-miRNA-29b-1 (top). This proves proper Drosha processing of microinjected pri-miRNA-29b-1 in Xenopus eggs. The processing sites are indicated by arrowheads. |
|
|
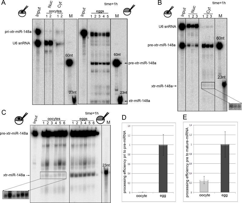
FIGURE 2:. Drosha and Dicer processing are enhanced upon maturation of oocytes to eggs. (A) pri-xtr-miR-148a is not processed when injected into oocyte nuclei (oocyte) but gets processed in eggs. RNA was injected in individual oocyte nuclei or eggs with U6 as a nuclear retention marker. RNAs were reextracted from corresponding single nuclei (Nuc) and cytoplasm (Cyt) of oocytes or from whole eggs. Minor processing of the miRNA could be detected in oocytes, whereas efficient processing to pre- and mature xtr-miR-148a was seen in eggs. (B) Nuclear export and processing of pre-xtr-miR148a in oocytes. Pre-xtr-miR-148a injected into oocyte nuclei is exported to the cytoplasm and processed to mature miR-148a. (C) Dicer processing is enhanced in eggs. Cytoplasmic injection of pre-xtr-miR-148a into oocytes shows moderate processing to mature miR-148a. The same amount of pre-xtr-miR148a injected into eggs is more efficiently processed. (D) Quantification of blot shown in A. The amount of processed RNA was quantified over the amount of input RNA. This shows a strong increase in Drosha cleavage in eggs. (E) Quantification of blot shown in C confirms a fivefold increase in Dicer processing. For AâC, incubation time was 1 h. |
|
|
FIGURE 3:. Ectopic expression of myc-tagged Drosha stimulates miRNA processing in oocytes. Oocytes were first injected with RNA encoding N-terminally myc-tagged Drosha (+N-myc-Drosha-polyA) or left uninjected (control). After overnight incubation to allow for translation of Drosha, radiolabeled pri-miRNA-29b-1 was injected into oocyte nuclei. After 30–60 min, nuclei and corresponding cytoplasm were isolated. RNA was reextracted from individual nuclei, whereas only half of the corresponding cytoplasm was used. The remaining cytoplasm was prepared for SDS protein electrophoresis and subsequent Western blotting. RNAs isolated from three nuclei and cytoplasm from control and Drosha-expressing oocytes were separated on urea-polyacrylamide gels. Nuclear processing of pri- to pre-miRNA and subsequent export to the cytoplasm was well observed in oocytes ectopically expressing Drosha, whereas only minor processing was observed in control oocytes (see longer exposure of pre-miRNA region). Cytoplasmic Western blots for the presence of myc-Drosha were generated from half of the cytoplasm used for RNA extraction with an anti-myc monoclonal antibody. Nuclear accumulation of myc-Drosha was tested on separate Western blots (not shown). Individual lanes showing good nuclear injection of pri-miR-29b-1 were cut and pasted together. |
|
|
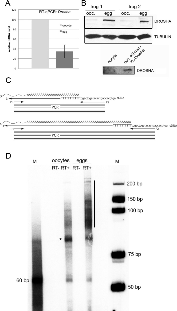
FIGURE 4:. Maturation of oocytes to eggs leads to an increase of Xenopus Drosha protein and poly A+ extension of Drosha mRNA. (A) qPCR of oocyte and egg cDNA shows threefold decrease in Drosha mRNA relative to Smn-2 mRNA. (B) Western blot of individual oocytes and eggs of two different frogs with a monoclonal anti-Drosha antibody. To verify that the antibody is recognizing the correct proteins, oocytes were also injected with mRNA encoding myc-xlDrosha. Drosha is well detected in eggs but barely visible in oocytes unless they were previously injected with RNA encoding myc-Drosha. (C) Scheme of poly(A) tail determination. cDNA was prepared with an anchoring primer. Depending on the length of the poly(A) tail, a short (top) or long (bottom) PCR product is obtained between a specific primer (P1) and an anchored primer (P2). (D) Whereas the poly(A) tail extends up to 90 nucleotides in oocytes (asterisk), an extension of up to 200 nucleotides can be observed in eggs (black bar). M, marker bands. The 60–base pair band in the poly(A) tail PCR lane most likely originates from priming of the oligo(dT) primer used for cDNA synthesis close to the poly(A) site. |
|
|
FIGURE 5:. Structural changes induced by RNA editing lead to reduced processing of pri-miRNA-142. Constructs mimicking wild-type, preedited, and constructs carrying compensatory mutations that revert secondary structure changes induced by RNA editing were injected into eggs, and their processing was monitored. (A–D) Constructs used for injection. (A) Wild-type pri-miRNA-142, (B) pri-miRNA-142 preedited at positions +4 and +5, (C) editing incompetent pri-miRNA-142, and (D) compensatory mutation closing the loop induced upon editing. Red nucleotides mark adenosines reported to be edited (Yang et al., 2006). Blue nucleotides mark the position of introduced mutations. (E) Processing of pri-miRNA-142 variants in Xenopus eggs shows that processing is strongly inhibited in the preedited pri-miRNA-142. RNAs were reextracted 30 min after injection from individual microinjected eggs and separated on denaturing polyacrylamide gels. Processing can be restored by mutations that prevent editing or a compensatory mutation that restores proper folding. (F) Quantification of processing levels (ratio of pre-miRNA to pri-miRNAs) shows a strong reduction in processing in preedited pri-miRNA 142. Processing ratio of wild-type pri-miRNA-142 to pre-miRNA-142 was set to 1, and all other processing ratios were normalized to this. For quantification, different exposures were chosen to prevent saturated pixels in the pri-miRNA region and obtain sharp bands in this region. |
References [+] :
Armisen,
Abundant and dynamically expressed miRNAs, piRNAs, and other small RNAs in the vertebrate Xenopus tropicalis.
2009, Pubmed,
Xenbase
Armisen, Abundant and dynamically expressed miRNAs, piRNAs, and other small RNAs in the vertebrate Xenopus tropicalis. 2009, Pubmed , Xenbase
Bass, An unwinding activity that covalently modifies its double-stranded RNA substrate. 1988, Pubmed , Xenbase
Bushati, microRNA functions. 2007, Pubmed
Bushati, Temporal reciprocity of miRNAs and their targets during the maternal-to-zygotic transition in Drosophila. 2008, Pubmed
Chendrimada, TRBP recruits the Dicer complex to Ago2 for microRNA processing and gene silencing. 2005, Pubmed
Cooke, Translational repression by deadenylases. 2010, Pubmed , Xenbase
Dhorne-Pollet, Validation of novel reference genes for RT-qPCR studies of gene expression in Xenopus tropicalis during embryonic and post-embryonic development. 2013, Pubmed , Xenbase
Finnegan, MicroRNA biogenesis: regulating the regulators. 2013, Pubmed
Gardner, Stable intronic sequence RNA (sisRNA), a new class of noncoding RNA from the oocyte nucleus of Xenopus tropicalis. 2012, Pubmed , Xenbase
Giraldez, Zebrafish MiR-430 promotes deadenylation and clearance of maternal mRNAs. 2006, Pubmed
Gregory, The Microprocessor complex mediates the genesis of microRNAs. 2004, Pubmed
Haase, TRBP, a regulator of cellular PKR and HIV-1 virus expression, interacts with Dicer and functions in RNA silencing. 2005, Pubmed
Heale, Editing independent effects of ADARs on the miRNA/siRNA pathways. 2009, Pubmed
Kawahara, RNA editing of the microRNA-151 precursor blocks cleavage by the Dicer-TRBP complex. 2007, Pubmed
Kim, Biogenesis of small RNAs in animals. 2009, Pubmed
Krol, The widespread regulation of microRNA biogenesis, function and decay. 2010, Pubmed
Kuge, Maturation of Xenopus laevis oocyte by progesterone requires poly(A) tail elongation of mRNA. 1992, Pubmed , Xenbase
Laemmli, Cleavage of structural proteins during the assembly of the head of bacteriophage T4. 1970, Pubmed
Liu, The exoribonuclease Nibbler controls 3' end processing of microRNAs in Drosophila. 2011, Pubmed
Lund, Deadenylation of maternal mRNAs mediated by miR-427 in Xenopus laevis embryos. 2009, Pubmed , Xenbase
Lund, Nuclear export of microRNA precursors. 2004, Pubmed , Xenbase
Lund, Limiting Ago protein restricts RNAi and microRNA biogenesis during early development in Xenopus laevis. 2011, Pubmed , Xenbase
Lund, Substrate selectivity of exportin 5 and Dicer in the biogenesis of microRNAs. 2006, Pubmed , Xenbase
McGrew, Translational control by cytoplasmic polyadenylation during Xenopus oocyte maturation: characterization of cis and trans elements and regulation by cyclin/MPF. 1990, Pubmed , Xenbase
Meric, Masking and unmasking maternal mRNA. The role of polyadenylation, transcription, splicing, and nuclear history. 1996, Pubmed , Xenbase
Michlewski, Antagonistic role of hnRNP A1 and KSRP in the regulation of let-7a biogenesis. 2010, Pubmed
Michlewski, Stimulation of pri-miR-18a processing by hnRNP A1. 2010, Pubmed
Murray, Assays for determining poly(A) tail length and the polarity of mRNA decay in mammalian cells. 2008, Pubmed
Nishikura, Editor meets silencer: crosstalk between RNA editing and RNA interference. 2006, Pubmed
Ota, ADAR1 forms a complex with Dicer to promote microRNA processing and RNA-induced gene silencing. 2013, Pubmed
Paillard, East of EDEN was a poly(A) tail. 2003, Pubmed , Xenbase
Pall, Improved northern blot method for enhanced detection of small RNA. 2008, Pubmed
Peculis, Localization of the nucleolar protein NO38 in amphibian oocytes. 1992, Pubmed , Xenbase
Piskounova, Lin28A and Lin28B inhibit let-7 microRNA biogenesis by distinct mechanisms. 2011, Pubmed
Radford, Translational control by cytoplasmic polyadenylation in Xenopus oocytes. 2008, Pubmed , Xenbase
Rebagliati, Antisense RNA injections in fertilized frog eggs reveal an RNA duplex unwinding activity. 1987, Pubmed , Xenbase
Richter, Translational control in oocyte development. 2011, Pubmed , Xenbase
Saunders, The dsRNA binding protein family: critical roles, diverse cellular functions. 2003, Pubmed
Scadden, The RISC subunit Tudor-SN binds to hyper-edited double-stranded RNA and promotes its cleavage. 2005, Pubmed , Xenbase
Schuetz, Nuclear requirement of post-maturational cortical differentiation of amphibian oocytes: effects of cycloheximide. 1979, Pubmed
Steitz, Immunoprecipitation of ribonucleoproteins using autoantibodies. 1989, Pubmed
Tang, Xenopus microRNA genes are predominantly located within introns and are differentially expressed in adult frog tissues via post-transcriptional regulation. 2008, Pubmed , Xenbase
Thornton, Lin28-mediated control of let-7 microRNA expression by alternative TUTases Zcchc11 (TUT4) and Zcchc6 (TUT7). 2012, Pubmed
Van Wynsberghe, LIN-28 co-transcriptionally binds primary let-7 to regulate miRNA maturation in Caenorhabditis elegans. 2011, Pubmed
Vesely, Adenosine deaminases that act on RNA induce reproducible changes in abundance and sequence of embryonic miRNAs. 2012, Pubmed
Villalba, Cytoplasmic polyadenylation and translational control. 2011, Pubmed
Wallace, Protein incorporation by isolated amphibian oocytes. 3. Optimum incubation conditions. 1973, Pubmed , Xenbase
Wasserman, Effects of cyclohexamide on a cytoplasmic factor initiating meiotic naturation in Xenopus oocytes. 1975, Pubmed , Xenbase
Watanabe, Stage-specific expression of microRNAs during Xenopus development. 2005, Pubmed , Xenbase
Wilson, Molecular mechanisms of RNA interference. 2013, Pubmed
Wormington, Poly(A) and translation: development control. 1993, Pubmed , Xenbase
Wulff, Modulation of microRNA expression and function by ADARs. 2012, Pubmed
Yang, Modulation of microRNA processing and expression through RNA editing by ADAR deaminases. 2006, Pubmed
Yi, Exportin-5 mediates the nuclear export of pre-microRNAs and short hairpin RNAs. 2003, Pubmed
Zhang, Using rapid amplification of cDNA ends (RACE) to obtain full-length cDNAs. 1997, Pubmed
