Click here to close
Hello! We notice that you are using Internet Explorer, which is not supported by Xenbase and may cause the site to display incorrectly.
We suggest using a current version of Chrome,
FireFox, or Safari.
Giannaccini M, Giannini M, Calatayud MP, Goya GF, Cuschieri A, Dente L, Raffa V.
???displayArticle.abstract???
One of the most challenging efforts in drug delivery is the targeting of the eye. The eye structure and barriers render this organ poorly permeable to drugs. Quite recently the entrance of nanoscience in ocular drug delivery has improved the penetration and half-life of drugs, especially in the anterioreye chamber, while targeting the posterior chamber is still an open issue. The retina and the retinal pigment epithelium/choroid tissues, located in the posterioreye chamber, are responsible for the majority of blindness both in childhood and adulthood. In the present study, we used magnetic nanoparticles (MNPs) as a nanotool for ocular drug delivery that is capable of specific localization in the retinal pigmented epithelium (RPE) layer. We demonstrate that, following intraocular injection in Xenopus embryos, MNPs localize specifically in RPE where they are retained for several days. The specificity of the localization did not depend on particle size and surface properties of the MNPs used in this work. Moreover, through similar experiments in zebrafish, we demonstrated that the targeting of RPE by the nanoparticles is not specific for the Xenopus species.
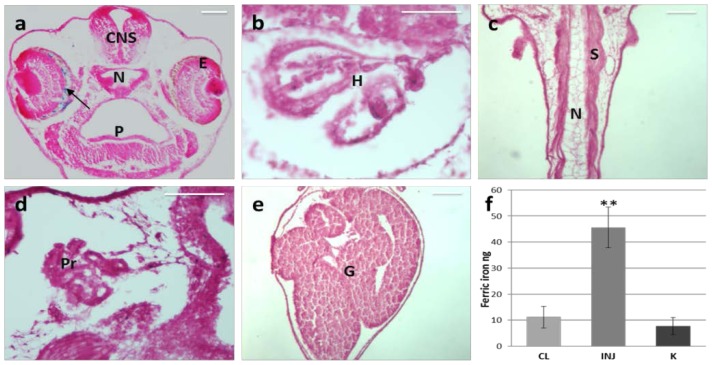
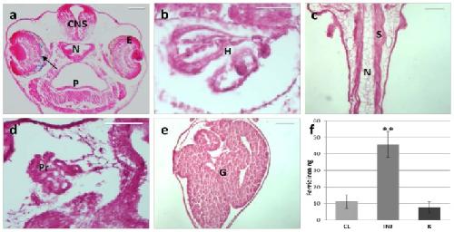
Figure 1. Distribution of MNPs 24 h after IVT injection in the left eye of Xenopus embryos. (a–e) Prussian Blue staining on paraffin section. The arrow points to blue labeled MNPs. CNS, central nervous system; E, eye; N, notochord; P, pharynx; H, heart; S, somites; Pr, pronephros; G, gut; (f) Iron content assay on explanted eyes. CL, contralateral eye (non-injected); INJ, injected eyes; K, wild type eyes. Scale bar, 50 μm. n = 3, ** p < 0.001, t-test.
Figure 2. Cryostat sections of Xenopus embryos 1 day after injection. (a) Merged image of bright field (showing the pigmented RPE) and red fluorescence field (showing MNPs as red spots); (b) Image from a bleached section merging the bright field (showing MNPs as dark blue spots by Prussian Blue staining) and fluorescence field (showing fluorescent blue nuclei by Hoechst staining). White arrows point some MNPs. C, choroid; RPE, retinal pigmented epithelium; PR, photoreceptors; INL, inner nuclear cell layer. Scale bar, 50 μm.
Figure 3. Prussian Blue staining on paraffin section of Xenopus embryos. (a) 5 min after injection; (b) 30 min after injection; (c) 1 h after injection; (d) 6 h after injection; (e) 24 h after injection; (f) Graphical representation of MNP localization in eye regions of the embryo population. VC, vitreous chamber; NR, neural retina; RPE, retinal pigmented epithelium. n = 45 each time point. MNPs are blue labeled. Scale bar, 50 μm.
Figure 4. Prussian Blue staining on paraffin section of Xenopus embryos at different time points from MNPs injection. MNPs are blue labeled. n = 45 each time point. (a) Three days after injection; (b) five days after injection; (c) 10 days after injection; (d) 20 days after injection. Arrowheads point to MNP localization in interdigitated RPE microvilli with the outer segment of photoreceptors; arrow points to MNPs derived from RPE rupture, during manipulation (details in the material and methods section). Scale bar, 50 μm.
Figure 5. (a) TEM images of MNP; (b) TEM images of MNP−; (c) TEM images of MNP+; (d) TEM images of MNPs.
Figure 6. Prussian Blue staining on paraffin section of Xenopus embryos one day after injection. Particles are blue labeled. n = 45 each group. (a) Lefteye injected with MNPâ; (b) Lefteye injected with MNP+; (c) Lefteye injected with MNPs; (d) Graphical representation of MNP, MNP+, MNPâ and MNPs localization in eye regions of the embryo population. VC, vitreous chamber; NR, neural retina; RPE, retinal pigmented epithelium. Scale bar, 50 μm.
Figure 7. Prussian Blue staining on paraffin section of Xenopus embryos one day after injection. Particles are blue labeled. n =45 each group. (a) Left eye injected with MNP−; (b) Left eye injected with MNP+; (c) Left eye injected with MNPs. H, heart; CNS, central nervous system; S, somites; N, notochord; G, gut. Scale bar, 50 μm.
Figure 8. Prussian Blue staining (without pararosaniline counterstaining) on paraffin section of zebrafish embryos one day from injection. MNPs are blue labeled. Scale bar, 50 μm. n = 45.
Arraes,
Intravitreal bevacizumab in pigmented rabbit eyes: histological analysis 90 days after injection.
2009, Pubmed
Arraes,
Intravitreal bevacizumab in pigmented rabbit eyes: histological analysis 90 days after injection.
2009,
Pubmed Bourges,
Ocular drug delivery targeting the retina and retinal pigment epithelium using polylactide nanoparticles.
2003,
Pubmed Bulte,
In vivo MRI cell tracking: clinical studies.
2009,
Pubmed Calatayud,
Neuronal cells loaded with PEI-coated Fe3O4 nanoparticles for magnetically guided nerve regeneration.
2013,
Pubmed Edelman,
Optimization of release from magnetically controlled polymeric drug release devices.
1993,
Pubmed Gaudana,
Recent perspectives in ocular drug delivery.
2009,
Pubmed Giannaccini,
Non-mammalian vertebrate embryos as models in nanomedicine.
2014,
Pubmed
,
Xenbase Gupta,
Recent advances on surface engineering of magnetic iron oxide nanoparticles and their biomedical applications.
2007,
Pubmed Gupta,
Synthesis and surface engineering of iron oxide nanoparticles for biomedical applications.
2005,
Pubmed Kim,
The effects of clinically used MRI contrast agents on the biological properties of human mesenchymal stem cells.
2010,
Pubmed Kim,
Investigating the movement of intravitreal human serum albumin nanoparticles in the vitreous and retina.
2009,
Pubmed Kimura,
In vitro phagocytosis of polylactide microspheres by retinal pigment epithelial cells and intracellular drug release.
1994,
Pubmed Laurent,
Magnetic iron oxide nanoparticles: synthesis, stabilization, vectorization, physicochemical characterizations, and biological applications.
2008,
Pubmed Lebrun-Julien,
Molecular and cell-based approaches for neuroprotection in glaucoma.
2008,
Pubmed Maier-Hauff,
Efficacy and safety of intratumoral thermotherapy using magnetic iron-oxide nanoparticles combined with external beam radiotherapy on patients with recurrent glioblastoma multiforme.
2011,
Pubmed McCarthy,
Targeted delivery of multifunctional magnetic nanoparticles.
2007,
Pubmed Newport,
A major developmental transition in early Xenopus embryos: II. Control of the onset of transcription.
1982,
Pubmed
,
Xenbase Nguyen-Legros,
Renewal of photoreceptor outer segments and their phagocytosis by the retinal pigment epithelium.
2000,
Pubmed Ogura,
Biodegradable polymer microspheres for targeted drug delivery to the retinal pigment epithelium.
1995,
Pubmed Peeters,
Vitreous: a barrier to nonviral ocular gene therapy.
2005,
Pubmed Peyman,
Intravitreal injection of therapeutic agents.
2009,
Pubmed Raghava,
Periocular routes for retinal drug delivery.
2004,
Pubmed Raju,
Evaluation of magnetic micro- and nanoparticle toxicity to ocular tissues.
2011,
Pubmed Sahoo,
Nanotechnology in ocular drug delivery.
2008,
Pubmed Sakurai,
Effect of particle size of polymeric nanospheres on intravitreal kinetics.
2001,
Pubmed Strauss,
The retinal pigment epithelium in visual function.
2005,
Pubmed Sultana,
Review of ocular drug delivery.
2006,
Pubmed Sun,
Magnetic nanoparticles in MR imaging and drug delivery.
2008,
Pubmed van Landeghem,
Post-mortem studies in glioblastoma patients treated with thermotherapy using magnetic nanoparticles.
2009,
Pubmed