Click here to close
Hello! We notice that you are using Internet Explorer, which is not supported by Xenbase and may cause the site to display incorrectly.
We suggest using a current version of Chrome,
FireFox, or Safari.
Dev Biol
2014 Mar 01;3871:28-36. doi: 10.1016/j.ydbio.2014.01.003.
Show Gene links
Show Anatomy links
A potential molecular pathogenesis of cardiac/laterality defects in Oculo-Facio-Cardio-Dental syndrome.
Tanaka K, Kato A, Angelocci C, Watanabe M, Kato Y.
???displayArticle.abstract??? Pitx2 is the last effector of the left-right (LR) cascade known to date and plays a crucial role in the patterning of LR asymmetry. In Xenopus embryos, the expression of Pitx2 gene in the leftlateral plate mesoderm (LPM) is directly regulated by Xnr1 signaling, which is mediated by Smads and FoxH1. Previous studies suggest that the suppression of Pitx2 gene in the leftLPM is a potential cause of cardiac/laterality defects in Oculo-Facio-Cardio-Dental (OFCD) syndrome, which is known to be caused by mutations in BCL6 co-repressor (BCOR) gene. Recently, our work has revealed that the BCL6/BCOR complex blocks Notch-dependent transcriptional activity to protect the expression of Pitx2 in the leftLPM from the inhibitory activity of Notch signaling. These studies indicated that uncontrolled Notch activity in the leftLPM caused by dysfunction of BCOR may result in cardiac/laterality defects of OFCD syndrome. However, this Notch-dependent inhibitory mechanism of Pitx2 gene transcription still remains unknown. Here we report that transcriptional repressor ESR1, which acts downstream of Notch signaling, inhibits the expression of Pitx2 gene by binding to a left side-specific enhancer (ASE) region in Pitx2 gene and recruiting histone deacetylase 1 (HDAC1) to this region. Once HDAC1 is tethered, histone acetyltransferase p300 is no longer recruited to the Xnr1-dependent transcriptional complex on the ASE region, leading to the suppression of Pitx2 gene in the leftLPM. The study presented here uncovers the regulatory mechanism of Pitx2 gene transcription which may contribute to an understanding of pathogenesis of OFCD syndrome.
Fig. 1. The Xnr1-dependent transcriptional complex is a potential target of Notch signaling. (A) The experimental strategy. (B) One pg Xnr1 or 50 pg GR-FoxH1-VP16 RNA were injected into a rightventralblastomere of 4-cell-stage embryos with or without 2 ng GR-NICD or 1 ng GR-ESR1 RNA. DEX was added into the culture medium at stage 22. The expression of Pitx2 at stage 25 was tested by whole mount in situ hybridization. (C) The quantitative assessment of the injections in (B). At least three independent experiments were performed. ânâ indicates the number of injected embryos. R: Injection into the right side of embryo.
Fig. 2. ESR1 directly blocked the expression of Pitx2 gene in the leftLPM. (A) The experimental strategy. (B) One ng GR-NICD or 1 ng GR-ESR1 RNA was injected into a leftventralblastomere of 4-cell-stage embryos. DEX was added into the culture medium at stage 22 and CHX was added 30 min before the addition of DEX. (C) The quantitative assessment of the injections in (B). At least three independent experiments were performed. ânâ indicates the number of injected embryos. L: Injection into the left side of embryo.
Fig. 3. ESR1 and FoxH1 independently bind to the ASE region in Pitx2 gene. (A) Nucleotide sequence of the ASE region in Xenopus Pitx2 gene. Three FoxH1-binding sites (red boxes), one N-box (blue box) and five E-boxes (green letters) are indicated within the ASE region. (B) The experimental strategy of ChIP assay. (C) One ng HA-ESR1 RNA was injected into 2-cell-stage embryos, and embryonic extracts were isolated at stage 10 for ChIP analysis. ChIP assays were performed using α-HA antibody. (D) One ng myc-FoxH1 RNA was injected into 2-cell-stage embryos with or without 1 ng flag-ESR1 RNA, and nuclear extracts were isolated at stage 10 for ChIP analysis. ChIP assays were performed using α-myc antibody.
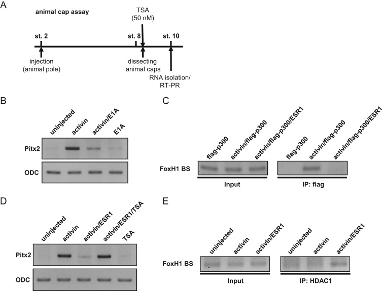
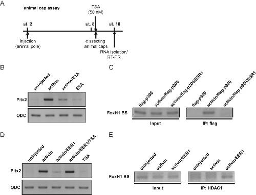
Fig. 4. ESR1 recruits HDAC1 to the ASE region to exclude p300 from the Xnr1-dependent transcriptional complex. (A) The experimental strategy of animal cap assay. Zygotic transcription starts at stage 8. (B) Twenty pg activin RNA was injected into 2-cell-stage embryos with or without 100 pg E1A RNA and animal caps were dissected at the stage 8. Caps were cultured until sibling embryos reached stage 10, and Pitx2 gene expression was evaluated by semi-quantitative RT-PCR analysis. (C) Two ng flag-p300 RNA and/or 20 pg activin RNA was injected into 2-cell-stage embryos with or without 2 ng HA-ESR1 RNA, and embryonic extracts were isolated at stage 10 for ChIP analysis. ChIP assays were performed using α-flag antibody. (D) Twenty pg activin RNA was injected into 2-cell-stage embryos with or without 2 ng HA-ESR1 RNA, and animal caps were dissected at the stage 8. Caps were cultured with or without 50 nM TSA until sibling embryos reached stage 10, and Pitx2 gene expression was evaluated by semi-quantitative RT-PCR analysis. (E) Twenty pg activin RNA was injected into 2-cell-stage embryos with or without 2 ng HA-ESR1 RNA, and embryonic extracts were isolated at stage 10 for ChIP analysis. ChIP assays were performed using α-HDAC1 antibody.
Aalfs,
Cataracts, radiculomegaly, septal heart defects and hearing loss in two unrelated adult females with normal intelligence and similar facial appearance: confirmation of a syndrome?
1996, Pubmed
Aalfs,
Cataracts, radiculomegaly, septal heart defects and hearing loss in two unrelated adult females with normal intelligence and similar facial appearance: confirmation of a syndrome?
1996,
Pubmed Blum,
Xenopus, an ideal model system to study vertebrate left-right asymmetry.
2009,
Pubmed
,
Xenbase Blythe,
Chromatin immunoprecipitation in early Xenopus laevis embryos.
2009,
Pubmed
,
Xenbase Boorman,
The evolution of left-right asymmetry in chordates.
2002,
Pubmed Boskovski,
The heterotaxy gene GALNT11 glycosylates Notch to orchestrate cilia type and laterality.
2013,
Pubmed
,
Xenbase Campione,
The homeobox gene Pitx2: mediator of asymmetric left-right signaling in vertebrate heart and gut looping.
1999,
Pubmed
,
Xenbase Chen,
A functional interaction between the histone deacetylase Rpd3 and the corepressor groucho in Drosophila development.
1999,
Pubmed Collins,
Mouse Af9 is a controller of embryo patterning, like Mll, whose human homologue fuses with Af9 after chromosomal translocation in leukemia.
2002,
Pubmed Cox,
Differential regulation of gene expression by PITX2 isoforms.
2002,
Pubmed Davis,
Vertebrate hairy and Enhancer of split related proteins: transcriptional repressors regulating cellular differentiation and embryonic patterning.
2001,
Pubmed
,
Xenbase Essner,
Mesendoderm and left-right brain, heart and gut development are differentially regulated by pitx2 isoforms.
2000,
Pubmed
,
Xenbase Evans,
Expression of the homeobox gene Pitx2 in neural crest is required for optic stalk and ocular anterior segment development.
2005,
Pubmed Fakhro,
Rare copy number variations in congenital heart disease patients identify unique genes in left-right patterning.
2011,
Pubmed
,
Xenbase Fisher,
The WRPW motif of the hairy-related basic helix-loop-helix repressor proteins acts as a 4-amino-acid transcription repression and protein-protein interaction domain.
1996,
Pubmed Gage,
Dosage requirement of Pitx2 for development of multiple organs.
1999,
Pubmed Gearhart,
Polycomb group and SCF ubiquitin ligases are found in a novel BCOR complex that is recruited to BCL6 targets.
2006,
Pubmed Gorlin,
Oculo-facio-cardio-dental (OFCD) syndrome.
1996,
Pubmed Grbavec,
Transducin-like Enhancer of split 2, a mammalian homologue of Drosophila Groucho, acts as a transcriptional repressor, interacts with Hairy/Enhancer of split proteins, and is expressed during neuronal development.
1998,
Pubmed Grbavec,
Molecular interaction between TLE1 and the carboxyl-terminal domain of HES-1 containing the WRPW motif.
1996,
Pubmed Hamada,
Establishment of vertebrate left-right asymmetry.
2002,
Pubmed Harland,
In situ hybridization: an improved whole-mount method for Xenopus embryos.
1991,
Pubmed
,
Xenbase Hayward,
Cuspid gigantism.
1980,
Pubmed Hilton,
Left-sided embryonic expression of the BCL-6 corepressor, BCOR, is required for vertebrate laterality determination.
2007,
Pubmed
,
Xenbase Hilton,
BCOR analysis in patients with OFCD and Lenz microphthalmia syndromes, mental retardation with ocular anomalies, and cardiac laterality defects.
2009,
Pubmed Hirata,
Generation of structurally and functionally distinct factors from the basic helix-loop-helix gene Hes3 by alternative first exons.
2000,
Pubmed Horn,
Novel mutations in BCOR in three patients with oculo-facio-cardio-dental syndrome, but none in Lenz microphthalmia syndrome.
2005,
Pubmed Howe,
Retinoblastoma growth suppressor and a 300-kDa protein appear to regulate cellular DNA synthesis.
1990,
Pubmed Huynh,
BCoR, a novel corepressor involved in BCL-6 repression.
2000,
Pubmed Janknecht,
TGF-beta-stimulated cooperation of smad proteins with the coactivators CBP/p300.
1998,
Pubmed Kageyama,
The Hes gene family: repressors and oscillators that orchestrate embryogenesis.
2007,
Pubmed Kato,
The multiple roles of Notch signaling during left-right patterning.
2011,
Pubmed Kato,
Neuralization of the Xenopus embryo by inhibition of p300/ CREB-binding protein function.
1999,
Pubmed
,
Xenbase Khan,
Determination of the class and isoform selectivity of small-molecule histone deacetylase inhibitors.
2008,
Pubmed Khokha,
Xenopus white papers and resources: folding functional genomics and genetics into the frog.
2012,
Pubmed
,
Xenbase Kitamura,
Mouse Pitx2 deficiency leads to anomalies of the ventral body wall, heart, extra- and periocular mesoderm and right pulmonary isomerism.
1999,
Pubmed Kiyota,
The POU homeobox protein Oct-1 regulates radial glia formation downstream of Notch signaling.
2008,
Pubmed
,
Xenbase Lamar,
The Notch targets Esr1 and Esr10 are differentially regulated in Xenopus neural precursors.
2005,
Pubmed
,
Xenbase Levin,
Left-right asymmetry in embryonic development: a comprehensive review.
2005,
Pubmed Lin,
Pitx2 regulates lung asymmetry, cardiac positioning and pituitary and tooth morphogenesis.
1999,
Pubmed
,
Xenbase Lin,
Heterotaxy: associated conditions and hospital-based prevalence in newborns.
2000,
Pubmed Liu,
Genetic dissection of Pitx2 in craniofacial development uncovers new functions in branchial arch morphogenesis, late aspects of tooth morphogenesis and cell migration.
2003,
Pubmed Logan,
The transcription factor Pitx2 mediates situs-specific morphogenesis in response to left-right asymmetric signals.
1998,
Pubmed Long,
The zebrafish nodal-related gene southpaw is required for visceral and diencephalic left-right asymmetry.
2003,
Pubmed Lu,
Function of Rieger syndrome gene in left-right asymmetry and craniofacial development.
1999,
Pubmed Marashi,
Radiculomegaly of canine teeth and congenital cataracts: confirmation of a syndrome.
1992,
Pubmed Marashi,
Radiculomegaly of canines and congenital cataracts--a syndrome?
1990,
Pubmed Martin,
PITX2 is required for normal development of neurons in the mouse subthalamic nucleus and midbrain.
2004,
Pubmed Meno,
lefty-1 is required for left-right determination as a regulator of lefty-2 and nodal.
1998,
Pubmed Ng,
Oculofaciocardiodental and Lenz microphthalmia syndromes result from distinct classes of mutations in BCOR.
2004,
Pubmed Oberoi,
Case reports of oculofaciocardiodental syndrome with unusual dental findings.
2005,
Pubmed Palmer,
Symmetry breaking and the evolution of development.
2004,
Pubmed Peng,
Xenopus laevis: Practical uses in cell and molecular biology. Solutions and protocols.
1991,
Pubmed
,
Xenbase Piedra,
Pitx2 participates in the late phase of the pathway controlling left-right asymmetry.
1998,
Pubmed Pittman,
The colorectal cancer risk at 18q21 is caused by a novel variant altering SMAD7 expression.
2009,
Pubmed
,
Xenbase Raya,
Left-right asymmetry in the vertebrate embryo: from early information to higher-level integration.
2006,
Pubmed Ryan,
Pitx2 determines left-right asymmetry of internal organs in vertebrates.
1998,
Pubmed
,
Xenbase Sakano,
BCL6 canalizes Notch-dependent transcription, excluding Mastermind-like1 from selected target genes during left-right patterning.
2010,
Pubmed
,
Xenbase Sánchez,
Proteomics analysis of Ring1B/Rnf2 interactors identifies a novel complex with the Fbxl10/Jhdm1B histone demethylase and the Bcl6 interacting corepressor.
2007,
Pubmed Sasai,
Two mammalian helix-loop-helix factors structurally related to Drosophila hairy and Enhancer of split.
1992,
Pubmed Schweickert,
Pitx2 isoforms: involvement of Pitx2c but not Pitx2a or Pitx2b in vertebrate left-right asymmetry.
2000,
Pubmed
,
Xenbase Schweickert,
The nodal inhibitor Coco is a critical target of leftward flow in Xenopus.
2010,
Pubmed
,
Xenbase Shiratori,
Two-step regulation of left-right asymmetric expression of Pitx2: initiation by nodal signaling and maintenance by Nkx2.
2001,
Pubmed
,
Xenbase Spéder,
Strategies to establish left/right asymmetry in vertebrates and invertebrates.
2007,
Pubmed Srinivasan,
The mixed lineage leukemia fusion partner AF9 binds specific isoforms of the BCL-6 corepressor.
2003,
Pubmed Takada,
Identification of target genes for the Xenopus Hes-related protein XHR1, a prepattern factor specifying the midbrain-hindbrain boundary.
2005,
Pubmed
,
Xenbase Tsukada,
Histone demethylation by a family of JmjC domain-containing proteins.
2006,
Pubmed Wang,
Epstein-Barr virus nuclear protein 2 interacts with p300, CBP, and PCAF histone acetyltransferases in activation of the LMP1 promoter.
2000,
Pubmed Watanabe,
FAST-1 is a key maternal effector of mesoderm inducers in the early Xenopus embryo.
1999,
Pubmed
,
Xenbase Wilkie,
Congenital cataract, microphthalmia and septal heart defect in two generations: a new syndrome?
1993,
Pubmed Yoshioka,
Pitx2, a bicoid-type homeobox gene, is involved in a lefty-signaling pathway in determination of left-right asymmetry.
1998,
Pubmed Yu,
Differential expression and functional analysis of Pitx2 isoforms in regulation of heart looping in the chick.
2001,
Pubmed