XB-ART-48332
Open Biol
2014 Jan 08;41:130138. doi: 10.1098/rsob.130138.
Show Gene links
Show Anatomy links
Xenopus Cdc7 executes its essential function early in S phase and is counteracted by checkpoint-regulated protein phosphatase 1.
Poh WT, Chadha GS, Gillespie PJ, Kaldis P, Blow JJ.
???displayArticle.abstract???
The initiation of DNA replication requires two protein kinases: cyclin-dependent kinase (Cdk) and Cdc7. Although S phase Cdk activity has been intensively studied, relatively little is known about how Cdc7 regulates progression through S phase. We have used a Cdc7 inhibitor, PHA-767491, to dissect the role of Cdc7 in Xenopus egg extracts. We show that hyperphosphorylation of mini-chromosome maintenance (MCM) proteins by Cdc7 is required for the initiation, but not for the elongation, of replication forks. Unlike Cdks, we demonstrate that Cdc7 executes its essential functions by phosphorylating MCM proteins at virtually all replication origins early in S phase and is not limiting for progression through the Xenopus replication timing programme. We demonstrate that protein phosphatase 1 (PP1) is recruited to chromatin and rapidly reverses Cdc7-mediated MCM hyperphosphorylation. Checkpoint kinases induced by DNA damage or replication inhibition promote the association of PP1 with chromatin and increase the rate of MCM dephosphorylation, thereby counteracting the previously completed Cdc7 functions and inhibiting replication initiation. This novel mechanism for regulating Cdc7 function provides an explanation for previous contradictory results concerning the control of Cdc7 by checkpoint kinases and has implications for the use of Cdc7 inhibitors as anti-cancer agents.
???displayArticle.pubmedLink??? 24403013
???displayArticle.pmcLink??? PMC3909274
???displayArticle.link??? Open Biol
???displayArticle.grants??? [+]
083524/Z/07/Z Wellcome Trust , 097945/B/11/Z Wellcome Trust , 14301 Cancer Research UK, BB/H013024/1 Biotechnology and Biological Sciences Research Council , 097945 Wellcome Trust , WT097945 Wellcome Trust
Species referenced: Xenopus
Genes referenced: ahctf1 cdc45 cdc6 cdc7 cdkn1b gins2 gmnn mcm4 mmut npy4r pcna top2a
???attribute.lit??? ???displayArticles.show???
|
|
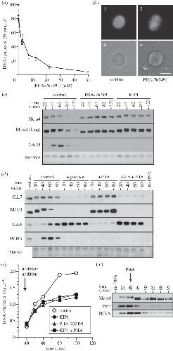
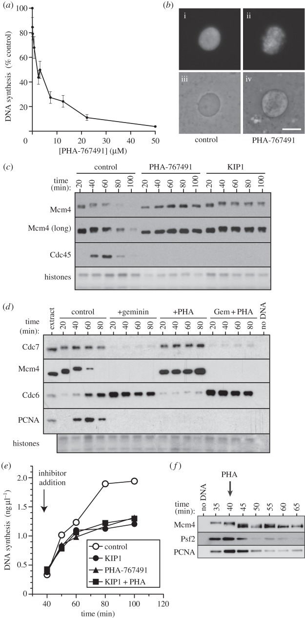
Figure 1. PHA-767491 inhibits DNA replication and Mcm4 hyperphosphorylation. (a) Interphase Xenopus egg extract was supplemented with demembranated sperm nuclei and [α-32P]dATP plus different concentrations of PHA-767491; after 90 min total DNA synthesis was determined. Mean and s.e.m. of 20 independent experiments is shown. (b) Extracts supplemented with demembranated sperm nuclei plus (ii,iv) or minus (i,iii) 50 μM PHA-767491 were incubated for 40 min; nuclei were then stained with Hoechst 33258 and visualized with phase contrast (iii,iv) or fluorescence microscopy (i,ii). Scale bar, 10 μm. (c,d) Extracts were supplemented with demembranated sperm nuclei plus or minus 50 μM PHA-767491, p27kip1 or geminin. After incubation for the indicated times, chromatin was isolated and immunoblotted for Mcm4, Cdc45, Cdc7, Cdc6 and PCNA. The lower portion of the gel was stained with Coomassie to visualize histones. (e) Egg extract was supplemented with demembranated sperm nuclei and [α-32P]dATP. After incubation for 40 min, aliquots were optionally supplemented with 50 μM PHA-767491, p27kip1 or both. At the indicated times, total DNA synthesis was determined. (f) Egg extract was first incubated with demembranated sperm nuclei for 40 min, and the extract was supplemented with 50 μM PHA-767491. At the indicated times, chromatin was isolated and immunoblotted for Mcm4, Psf2 and PCNA. |
|
|
Figure 2. Fork rate and the reversal of Mcm4 hyperphosphorylation by PP1. (a–c) Sperm nuclei were incubated in egg extract supplemented with 100 µM aphidicolin. After 60 min incubation, one aliquot was supplemented with p27kip1 and one aliquot was supplemented with p27kip1 plus 50 μM PHA-767491. After a further 15 min incubation chromatin was isolated. Chromatin was then incubated in extract supplemented with [α-32P]dATP and p27kip1 and optionally with 50 μM PHA-767491 to match the first incubation. (a) Cartoon of experimental set-up. (b) At the indicated times, DNA was isolated, separated on an alkali agarose gel and autoradiographed. Molecular weight markers (in kb) are shown to the left. (c) Chromatin isolated after the first incubation was immunoblotted for Mcm4 (lanes 3 and 4). Chromatin from a parallel incubation lacking aphidicolin was loaded as a comparison (lanes 1 and 2). (d–f) Sperm nuclei were incubated for 60 min in extracts treated with p27kip1 to allow Mcm4 hyperphosphorylation. PHA-767491 (50 μM) was then added, and chromatin was isolated either immediately after PHA-767491 addition (60 min) or 5 or 15 min later (65 or 75 min, respectively). Extract was optionally supplemented with the indicated concentrations of okadaic acid at the time of PHA-767491 addition (d) 1.2 μM I-2 45 min after sperm addition (e) or 1 µM tautomycetin at the time of PHA-767491 addition (f). |
|
|
Figure 3. Effects of I-2, PHA-767491 and Cdk activity on DNA replication. (a) Interphase Xenopus egg extract was supplemented with demembranated sperm nuclei, [α-32P]dATP and different concentrations of PHA-767491, plus or minus I-2; after 90 min total DNA synthesis was determined. Mean and s.e.m. of three independent experiments is shown. (b) Extract was supplemented with sperm nuclei at 15 ng DNA μl−1, [α-32P]dATP and optionally with I-2. At the indicated times, total DNA synthesis was measured. Mean and s.e.m. of three independent experiments is shown. (c) Extract was supplemented with sperm nuclei at 10 ng DNA μl−1 and optionally with I-2. At the indicated times, chromatin was isolated and immunoblotted for Mcm4 and PCNA. The lower portion of the gel was stained with Coomassie to visualize histones. (d) Chromatin was prepared by incubating sperm nuclei at 20 ng DNA μl−1 in interphase extract supplemented with 50 μM PHA-767491; after 60 min chromatin was isolated and transferred to fresh extract containing [α-32P]dATP optionally supplemented with p27kip1. At different times, aliquots were taken, and total DNA synthesis was determined. Mean and s.e.m. of three independent experiments is shown. (e) ‘KIP1 chromatin’ was prepared by incubating sperm nuclei at 20 ng DNA μl−1 in interphase extract supplemented with p27kip1 and 1.2 μM I-2; after 40 min, chromatin was isolated. ‘KIP1 chromatin’ or naive sperm nuclei were then incubated in fresh extract containing [α-32P]dATP, optionally supplemented with 20 μM PHA-767491 and 1.2 μM I-2. At different times, aliquots were taken, and total DNA synthesis was determined and expressed as percentage of the amount synthesized by 90 min in control (untreated extract). Mean and s.e.m. of three independent experiments is shown. |
|
|
Figure 4. Cdc7 fulfills its essential function early in S phase. (a,b) G1 CHO nuclei were incubated in interphase extract supplemented with geminin and optionally supplemented with I-2 or [α-32P]dATP. At the indicated times, chromatin was isolated and immunoblotted for Mcm4 (a) or DNA synthesis was determined by measuring [α-32P]dATP incorporation (b). (c–f) Interphase egg extracts were supplemented with G1 CHO nuclei, geminin and I-2 and optionally with [α-32P]dATP. At different times thereafter extract was optionally supplemented with 20 μM PHA-767491 or 1 mM roscovitine. (c) Schematic of experiments. (d,e) At the indicated times, total DNA synthesis was determined. (f) At 60 or 90 min, extract was pulsed with Cy3-dUTP and sites of DNA synthesis were visualized by fluorescence microscopy. The proportion of nuclei showing different replication patterns (I–V; representing stages from early through late S phase) was determined. The mean of three independent experiments (n = 20 nuclei for each sample) is plotted [58]. Type I, faintly punctate labelling throughout euchromatic regions; type II, complete diffuse labelling of euchromatic regions, with lack of nucleolar labelling; type III, intense labelling of the peripheral ring; type IV, labelling of small speckled heterochromatic foci within the nuclear interior or at the periphery; type V, predominant labelling of large internal replication foci and at the periphery of the nucleus. |
|
|
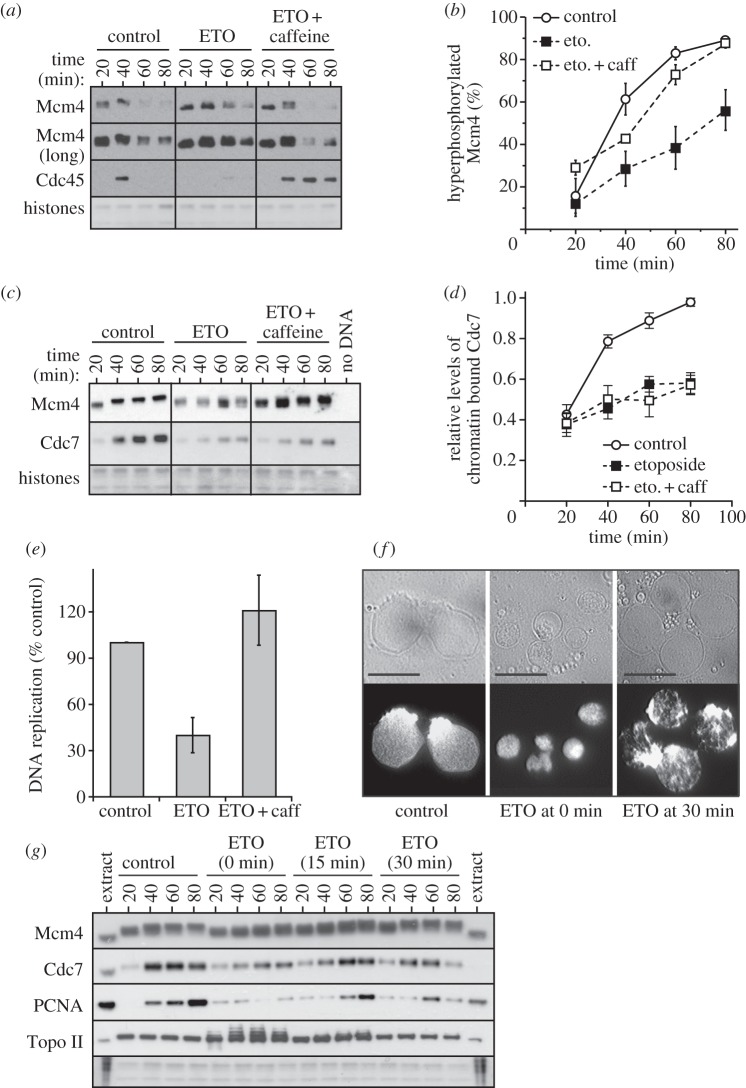
Figure 5. Early addition of etoposide reduces Cdc7 activity on chromatin. (aâe) Sperm nuclei were incubated at 10 ng DNA μlâ1 in extracts treated with 300 μM etoposide (ETO) and/or 5 mM caffeine. (a,c) At the indicated times, chromatin was isolated and immunoblotted for Mcm4, Cdc7 and Cdc45. The lower portion of the gel was stained with Coomassie to visualize histones. (b) The percentage of Mcm4 hyperphosphorylation was quantified in three independent experiments. The mean and s.e.m. is shown. (d) Cdc7 levels were quantified and expressed as a proportion of the peak value. Mean and s.e.m. for six independent experiments are shown. (e) Extracts were also supplemented with [α-32P]dATP and after 90 min total DNA synthesis was determined. (f,g) 10 ng DNA μlâ1 sperm nuclei were incubated in extracts, and at 0, 15 or 30 min after DNA addition extract was optionally supplemented with 300 μM etoposide. (f) After 90 min, nuclei were stained with Hoechst 33258 and visualized by phase contrast (top) or fluorescence microscopy (bottom). Scale bar, 25 μm. (g) At the indicated times, chromatin was isolated and immunoblotted for Mcm4, Cdc7, PCNA and Topo II. |
|
|
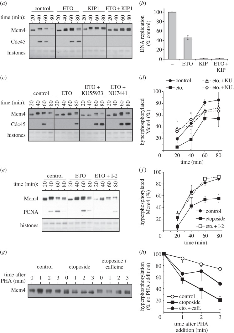
Figure 6. The checkpoint response to etoposide promotes Mcm4 dephosphorylation. (a–f) Sperm nuclei were incubated in extracts optionally treated with 300 μM etoposide, 5 mM caffeine, 100 nM p27kip1, 10 μM KU55933, 10 μM NU7441 and/or 1.2 μM I-2. (a,c,e) At the indicated times, chromatin was isolated and immunoblotted for Mcm4, Cdc45 or PCNA. The lower portion of the gel was stained with Coomassie to visualize histones. (b) Extract was also supplemented with [α-32P]dATP. After incubation for 90 min, the total amount of DNA synthesized was determined by scintillation counting. (d,f) The percentage of Mcm4 hyperphosphorylation was quantified in three independent experiments. The mean and s.e.m. is shown. (g,h) Sperm nuclei were incubated in extract optionally supplemented with etoposide and/or caffeine for 60 min. Extract was then supplemented with 50 μM PHA-767491, and at the indicated times thereafter chromatin was isolated and immunoblotted for Mcm4. (h) The proportion of Mcm4 that was hyperphosphorylated was quantified. Mean and s.e.m. of three independent experiments is shown. The degree of dephosphorylation induced by etoposide varied between the three experiments, but within each experiment the rate of dephosphorylation was reduced by co-addition of caffeine. |
|
|
Figure 7. Checkpoint-dependent Mcm4 dephosphorylation and PP1. (a–c) Sperm nuclei were incubated in extracts optionally treated with etoposide, aphidicolin, EcoRV and 5 mM caffeine. At the indicated times, chromatin was isolated and immunoblotted for Mcm4, PP1α, PP1γ and γH2A-X. The bottom part of each gel was stained with Coomassie to visualize histones. (d,e) Sperm nuclei were incubated in extracts optionally treated with different combinations of 0.75 µM PHA-767491, 100 µM aphidicolin and 5 mM caffeine. At the indicated times, chromatin was isolated and immunoblotted for Mcm4. The bottom part of each gel was stained with Coomassie to visualize histones. The percentage of Mcm4 hyperphosphorylation was quantified in three independent experiments; the mean and s.e.m. is shown (e). |
|
|
Figure 8. Schematic diagram of the role and regulation of Cdc7 in Xenopus egg extracts. (a) A single replication origin is shown which is licensed by loading a double hexamer of Mcm2–7 proteins (‘MCM’). This promotes ELYS binding and the recruitment of Cdc7 to Mcm2–7 at the origin. (b) Events occurring during S phase are shown at both an early-replicating (left) and a late-replicating origin (right). Mcm2–7 at both origins are phosphorylated by Cdc7, which in turn is reversed by PP1. Cdk substrates for initiation are recruited preferentially to the early-replicating origin. Checkpoint kinases activated in response to etoposide or other inhibitors promote PP1 chromatin association with reverse Cdc7 activity but may also independently inhibit Cdk activity. |
References [+] :
Blow,
Replication origins in Xenopus egg extract Are 5-15 kilobases apart and are activated in clusters that fire at different times.
2001, Pubmed,
Xenbase
Blow, Replication origins in Xenopus egg extract Are 5-15 kilobases apart and are activated in clusters that fire at different times. 2001, Pubmed , Xenbase
Blow, Control of chromosomal DNA replication in the early Xenopus embryo. 2001, Pubmed , Xenbase
Blow, Preventing re-replication of chromosomal DNA. 2005, Pubmed
Blow, How dormant origins promote complete genome replication. 2011, Pubmed
Blow, Initiation of DNA replication in nuclei and purified DNA by a cell-free extract of Xenopus eggs. 1986, Pubmed , Xenbase
Bousset, The Cdc7 protein kinase is required for origin firing during S phase. 1998, Pubmed
Branzei, The DNA damage response during DNA replication. 2005, Pubmed
Chagin, Organization of DNA replication. 2010, Pubmed
Collart, Titration of four replication factors is essential for the Xenopus laevis midblastula transition. 2013, Pubmed , Xenbase
Costanzo, An ATR- and Cdc7-dependent DNA damage checkpoint that inhibits initiation of DNA replication. 2003, Pubmed , Xenbase
Costanzo, Reconstitution of an ATM-dependent checkpoint that inhibits chromosomal DNA replication following DNA damage. 2000, Pubmed , Xenbase
Dierov, BCR/ABL translocates to the nucleus and disrupts an ATR-dependent intra-S phase checkpoint. 2004, Pubmed
Dimitrova, The spatial position and replication timing of chromosomal domains are both established in early G1 phase. 1999, Pubmed , Xenbase
Donaldson, Cdc7 is required throughout the yeast S phase to activate replication origins. 1998, Pubmed
Edwards, MCM2-7 complexes bind chromatin in a distributed pattern surrounding the origin recognition complex in Xenopus egg extracts. 2002, Pubmed , Xenbase
Evrin, A double-hexameric MCM2-7 complex is loaded onto origin DNA during licensing of eukaryotic DNA replication. 2009, Pubmed , Xenbase
Ferenbach, Functional domains of the Xenopus replication licensing factor Cdt1. 2005, Pubmed , Xenbase
Finlay, Inhibition of in vitro nuclear transport by a lectin that binds to nuclear pores. 1987, Pubmed , Xenbase
Gambus, MCM2-7 form double hexamers at licensed origins in Xenopus egg extract. 2011, Pubmed , Xenbase
Gillespie, Preparation and use of Xenopus egg extracts to study DNA replication and chromatin associated proteins. 2012, Pubmed , Xenbase
Gillespie, Clusters, factories and domains: The complex structure of S-phase comes into focus. 2010, Pubmed , Xenbase
Gillespie, ELYS/MEL-28 chromatin association coordinates nuclear pore complex assembly and replication licensing. 2007, Pubmed , Xenbase
Gillespie, Reconstitution of licensed replication origins on Xenopus sperm nuclei using purified proteins. 2001, Pubmed , Xenbase
Hardy, mcm5/cdc46-bob1 bypasses the requirement for the S phase activator Cdc7p. 1997, Pubmed
Heffernan, Cdc7-Dbf4 and the human S checkpoint response to UVC. 2007, Pubmed
Heller, Eukaryotic origin-dependent DNA replication in vitro reveals sequential action of DDK and S-CDK kinases. 2011, Pubmed
Hughes, Crystal structure of human CDC7 kinase in complex with its activator DBF4. 2012, Pubmed
Jares, The Cdc7/Dbf4 protein kinase: target of the S phase checkpoint? 2000, Pubmed
Jares, A Xenopus Dbf4 homolog is required for Cdc7 chromatin binding and DNA replication. 2004, Pubmed , Xenbase
Jares, Xenopus cdc7 function is dependent on licensing but not on XORC, XCdc6, or CDK activity and is required for XCdc45 loading. 2000, Pubmed , Xenbase
Jiang, Mammalian Cdc7-Dbf4 protein kinase complex is essential for initiation of DNA replication. 1999, Pubmed
Khoudoli, Temporal profiling of the chromatin proteome reveals system-wide responses to replication inhibition. 2008, Pubmed , Xenbase
Kihara, Characterization of the yeast Cdc7p/Dbf4p complex purified from insect cells. Its protein kinase activity is regulated by Rad53p. 2000, Pubmed
Krasinska, Cdk1 and Cdk2 activity levels determine the efficiency of replication origin firing in Xenopus. 2008, Pubmed , Xenbase
Labib, How do Cdc7 and cyclin-dependent kinases trigger the initiation of chromosome replication in eukaryotic cells? 2010, Pubmed
Labit, DNA replication timing is deterministic at the level of chromosomal domains but stochastic at the level of replicons in Xenopus egg extracts. 2008, Pubmed , Xenbase
Lei, Mcm2 is a target of regulation by Cdc7-Dbf4 during the initiation of DNA synthesis. 1997, Pubmed
Luciani, Characterization of a novel ATR-dependent, Chk1-independent, intra-S-phase checkpoint that suppresses initiation of replication in Xenopus. 2004, Pubmed , Xenbase
Mantiero, Limiting replication initiation factors execute the temporal programme of origin firing in budding yeast. 2011, Pubmed
Masai, Human Cdc7-related kinase complex. In vitro phosphorylation of MCM by concerted actions of Cdks and Cdc7 and that of a criticial threonine residue of Cdc7 bY Cdks. 2000, Pubmed
Montagnoli, A Cdc7 kinase inhibitor restricts initiation of DNA replication and has antitumor activity. 2008, Pubmed
Montagnoli, Cdc7 inhibition reveals a p53-dependent replication checkpoint that is defective in cancer cells. 2004, Pubmed
Montagnoli, Drf1, a novel regulatory subunit for human Cdc7 kinase. 2002, Pubmed
Natoni, Mechanisms of action of a dual Cdc7/Cdk9 kinase inhibitor against quiescent and proliferating CLL cells. 2011, Pubmed
Natsume, Kinetochores coordinate pericentromeric cohesion and early DNA replication by Cdc7-Dbf4 kinase recruitment. 2013, Pubmed
Nougarède, Hierarchy of S-phase-promoting factors: yeast Dbf4-Cdc7 kinase requires prior S-phase cyclin-dependent kinase activation. 2000, Pubmed
Oehlmann, The role of Cdc6 in ensuring complete genome licensing and S phase checkpoint activation. 2004, Pubmed , Xenbase
Patel, The Hsk1(Cdc7) replication kinase regulates origin efficiency. 2008, Pubmed
Peng, Repo-man controls a protein phosphatase 1-dependent threshold for DNA damage checkpoint activation. 2010, Pubmed , Xenbase
Pereverzeva, Distinct phosphoisoforms of the Xenopus Mcm4 protein regulate the function of the Mcm complex. 2000, Pubmed , Xenbase
Prokhorova, Sequential MCM/P1 subcomplex assembly is required to form a heterohexamer with replication licensing activity. 2000, Pubmed , Xenbase
Remus, Concerted loading of Mcm2-7 double hexamers around DNA during DNA replication origin licensing. 2009, Pubmed
Rodriguez-Acebes, Targeting DNA replication before it starts: Cdc7 as a therapeutic target in p53-mutant breast cancers. 2010, Pubmed
Rowles, Changes in association of the Xenopus origin recognition complex with chromatin on licensing of replication origins. 1999, Pubmed , Xenbase
Sato, Human and Xenopus cDNAs encoding budding yeast Cdc7-related kinases: in vitro phosphorylation of MCM subunits by a putative human homologue of Cdc7. 1997, Pubmed , Xenbase
Sheu, Cdc7-Dbf4 phosphorylates MCM proteins via a docking site-mediated mechanism to promote S phase progression. 2006, Pubmed
Sheu, The Dbf4-Cdc7 kinase promotes S phase by alleviating an inhibitory activity in Mcm4. 2010, Pubmed
Silva, Xenopus CDC7/DRF1 complex is required for the initiation of DNA replication. 2006, Pubmed , Xenbase
Sonneville, The dynamics of replication licensing in live Caenorhabditis elegans embryos. 2012, Pubmed
Strausfeld, Cip1 blocks the initiation of DNA replication in Xenopus extracts by inhibition of cyclin-dependent kinases. 1994, Pubmed , Xenbase
Takahashi, Cdc7-Drf1 is a developmentally regulated protein kinase required for the initiation of vertebrate DNA replication. 2005, Pubmed , Xenbase
Tanaka, Origin association of Sld3, Sld7, and Cdc45 proteins is a key step for determination of origin-firing timing. 2011, Pubmed
Tenca, Cdc7 is an active kinase in human cancer cells undergoing replication stress. 2007, Pubmed
Thomson, Replication factory activation can be decoupled from the replication timing program by modulating Cdk levels. 2010, Pubmed , Xenbase
Tsuji, The role of Dbf4/Drf1-dependent kinase Cdc7 in DNA-damage checkpoint control. 2008, Pubmed , Xenbase
Walker, Multiple roles for protein phosphatase 1 in regulating the Xenopus early embryonic cell cycle. 1992, Pubmed , Xenbase
Walter, Evidence for sequential action of cdc7 and cdk2 protein kinases during initiation of DNA replication in Xenopus egg extracts. 2000, Pubmed , Xenbase
Weinreich, Cdc7p-Dbf4p kinase binds to chromatin during S phase and is regulated by both the APC and the RAD53 checkpoint pathway. 1999, Pubmed
Woodward, Excess Mcm2-7 license dormant origins of replication that can be used under conditions of replicative stress. 2006, Pubmed , Xenbase
Wu, Establishing the program of origin firing during S phase in fission Yeast. 2009, Pubmed
Yanow, Xenopus Drf1, a regulator of Cdc7, displays checkpoint-dependent accumulation on chromatin during an S-phase arrest. 2003, Pubmed , Xenbase
Yoshizawa-Sugata, A second human Dbf4/ASK-related protein, Drf1/ASKL1, is required for efficient progression of S and M phases. 2005, Pubmed
Zegerman, Checkpoint-dependent inhibition of DNA replication initiation by Sld3 and Dbf4 phosphorylation. 2010, Pubmed
