|
Fig. 1.
Norrin is a ligand for LGR4. (A) Phylogenetic relationship of norrin, burs, pburs, gremlin, and DAN. Genes with cystine-knot structures homologous to burs and pburs were categorized into three subfamilies by the ClustalW program (Thompson et al., 1994). The phylogenetic tree was built with Mega 4 (Tamura et al., 2007) using the Neighbor-Joining method and 1000 bootstrap replications. The numbers at interior branches refer to the bootstrap values (in percentages). Sk, Saccoglossus kowalevskii; Ce, Caenorhabditis elegans; Hm, Hydra magnipapillata; Dm, Drosophila melanogaster; Nv, Nematostella vectensis; Xt, Xenopus tropicalis (Silurana); Mm, Mus musculus; Hs, Homo sapiens; Ap, Acyrthosiphon pisum; Tc, Tribolium castaneum. (B) Norrin, but not gremlin or DAN, stimulated Wnt signaling in HEK293T cells expressing LGR4. HEK293T cells were transfected with TOPFLASH, LGR4, together with increasing amounts of plasmids encoding norrin, gremlin, gremlin2 or DAN before luciferase assays.
|
|
Fig. 2.
Norrin activates Wnt signaling mediated by LGR4 and the augmenting actions of Wnt3A and LRP proteins. (A) Norrin stimulation of Wnt signaling in HEK293T cells overexpressing LGR4 but not LGR5 and 6. HEK293T cells were transfected with plasmids encoding TOPFLASH and norrin together with human (h) or mouse (m) LGR4, hLGR5 or hLGR6 for 6 hours. After medium changes and culturing for 24 hours in serum-containing medium, cells were incubated in serum-free medium for 16 hours before luciferase assays. Some cells were transfected with plasmids encoding chimeric LGR4/5 or LGR5/4. To demonstrate receptor functionality, cells were treated with R-spondin2 and Wnt3A (open bars). (B) Co-treatment with Wnt3A or R-spondin2 amplified the stimulatory effects of norrin on LGR4-mediated Wnt signaling. HEK293T cells were transfected with TOPFLASH with or without LGR4 and/or norrin before luciferase analyses. Some cells were also treated with a maximal dose of Wnt3A (10 nM) and/or R-spondin2 (1 nM). (C) Norrin stimulation of LGR4-mediated Wnt signaling is augmented by LRP5 and LRP6. HEK293T cells were transfected with plasmids encoding TOPLFLASH with or without norrin, LGR4, LRP5 and/or LRP6, as described above, before luciferase assays. (D) Norrin, together with Wnt3A, stimulated Wnt signaling mediated by LGR4, but minimally by LGR5 and 6. HEK293T cells were transfected with increasing amounts of norrin plasmids together with TOPFLASH and LGR receptors for 6 hours. Following recovery in serum-containing medium for 24 hours, cells were treated with serum-free medium containing Wnt3A for 16 hours before luciferase assays. (E) Knockdown of endogenous LGR4 in HEK293T cells decreased basal norrin stimulation of Wnt signaling whereas overexpression of LGR4 enhanced norrin signaling. HEK293T cells were transfected with plasmids encoding TOPFLASH and LRP5 with or without norrin, two different siRNAs (A and B) against LGR4 or scrambled (S) siRNA as indicated. Some cells were also transfected with LGR4, 5, 6, or the empty vector. (F) Stimulation of Fzl4-mediated Wnt signaling by norrin: augmentation by LRP5 and 6. HEK293T cells were transfected with different plasmids for 6 hours. After culturing for another 24 hours, cells were incubated in serum-free medium for 16 hours before luciferase assay. (G) Potentiation of Wnt signaling by LGR4 and Fzl4 in response to increasing dosages of norrin plasmids. Although the normalized data are based on transfection of 50 ng plasmid/well, a range of receptor concentrations (10–250 ng/well) produced similar dose–response curves for both LGR4 and Fzl4. |
|
Fig. 3.
Direct binding of norrin to LGR4, 5 and 6. (A) Saturation curves for AP–norrin binding to LGR4 and Fzl4. After knocking down endogenous LGR4, HEK293T cells were transfected with empty vector or plasmids encoding human LGR4 or Fzl4 for 6 hours. After culturing for 2 days, cells were incubated with AP–norrin for 90 minutes at 23°C before determination of alkaline phosphatase activities. Specific binding was calculated by subtracting the values from cells transfected with the empty plasmids. (B) Scatchard analysis of AP–norrin binding to HEK293T cells expressing LGR4 or Fzl4. (C) Binding of AP–norrin to LGR4, 5 and 6 after knocking down endogenous LGR4. (D) Scatchard analysis of AP–norrin binding to HEK293T cells expressing LGR4, 5 or 6. |
|
Fig. 4.
Structure-functional analyses of interactions between multi-functional norrin and LGR4, Fzl4 or BMP4. (A) Predicated three-dimensional structure of norrin with 4 β-sheets and 1 α-helix. The location of norrin mutants is also shown. (B) Different Norrie disease mutants located in key structural domains were generated, using mutagenesis kits, and transfected into HEK293T cells as described in the Materials and Methods. A representative cysteine mutant (C95R) in norrin causes loss of both LGR4 and Fzl4 signaling without affecting BMP4 interactions. (C) A representative mutant (R41K) in β-sheets 1 and 2 of norrin causes defective Fzl4 signaling without affecting LGR4 or BMP4 signaling. (D) A representative mutant (I123N) in β-sheets 3 and 4 of norrin causes defective signaling for both LGR4 and Fzl4 without affecting BMP4 interactions. All results were normalized as the percentage of maximal stimulation of TOPFlash reporter activities by wild-type norrin for LGR4 and Fzl4 receptors and as the percentage of maximal inhibition of BRE reporter activities by wild-type norrin for BMP4 antagonism. WT, wide type. |
|
Fig. 5.
Diagram of norrin as a multifunctional ligand for three receptors/binding proteins. Norrin binds to LGR4, which is also the receptor for R-spondin proteins. LGR4 presumably cooperates with Frizzled (Fzl) receptors activated by Wnt ligands to promote the internalization of LRP5/6, leading to increases in β-catenin levels and the expression of downstream Wnt pathway genes. Norrin also interacts directly with Fzl4 and an auxiliary membrane protein Tspan12 to promote LRP5/6 internalization and to increase β-catenin levels. In addition, norrin binds to BMP2/4 to block the activation of type I and II BMP receptors, leading to decreases in downstream Smad activities. Mutations in humans associated with Norrie disease result in diverse phenotypes probably because of differential activation of Wnt signaling mediated by LGR4 or Fzl4 as well as differential BMP antagonistic activities. |
|
Fig. S1. Alignment of gremlin, DAN and burs/pburs/norrin subfamily. Cystine-knot proteins were categorized into three
subfamilies using the ClustalW program (Thompson et al., 1994). Residues C95 and C131, missing in the gremlin or DAN subfamily
are shown in red. |
|
Fig. S2. Norrin does not stimulate G protein signaling in LGR4/5/6-expressing HEK293 cells. (A) CRE-luciferase reporter for Gs
activity, (B) SRE-luciferase reporte for Gi and Gq activities, (C) NFAT- luciferase reporter for Gq activity, and (D) SRF-RE-luciferase
reporter for G12 activity. |
|
Fig. S3 Secretion of gremlin, gremlin2 and DAN. After transfection of HEK293T cells with different expression plasmids, antigen
levels for gremlin, gremlin2, and DAN proteins were determined using immunoblotting of conditioned media as described in the
Materials and Methods section. |
|
Fig. S4. β-catenin activation by LGR4 and norrin. Mouse L cells were transfected with the indicated plasmids, and 30 h later
β-catenin and actin levels were analyzed by immunoblotting. |
|
Fig. S5. DKK1 treatment blocked Wnt signaling induced by norrin-LGR4. HEK293T cells were transfected with plasmids
encoding human LGR4 and norrin for 6h. After culturing for 1 day, media were changed to the serum-free medium containing DKK1,
followed by measurement of Wnt signaling. |
|
Fig. S6. Suppression of endogenous LGR4 transcripts by siRNA. HEK293T cells were transfected with plasmids encoding norrin,
LRP5, and TOPFLASH, with or without two different siRNA (A and B) against LGR4 or the scrambled (S) siRNA. At 36h after
transfection, transcript levels for LGR4 were determined in cells by quantitative RT-PCR. (C) no siRNA. |
|
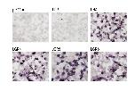
Fig. S7. Immunocytochemical staining of AP-norrin binding to HEK293T cells overexpressing different receptors. HEK293T
cells were transfected with the.empty pcDNA plasmid or plasmids containing different receptors. Immunocytochemical staining of
AP-norrin showed positive signals in cells expressing Fzl4, LGR4, LGR5 and LGR6, but not LHR (Luteinizing Hormone Receptor).
Negligible signals were found in cells transfected with the empty plasmid. |
|
Fig. S8. Blockage of BMP2/4 signaling by norrin. COS7 cells were transfected with plasmids encoding BRE-luciferase with or
without norrin for 6h. After culturing for another 24h in serum-containing media, cells were treated with BMP2 or 4 for another 16h
before luciferase assay. To test the BMP antagonistic activity of DAN, DAN was added together with BMP2 or 4. |
|
Fig. S9. Transfecting norrin plasmid did not interfere cell viability. HEK293T cells were transfected with increasing amounts of
the norrin plasmid or empty vector. At 48h later, cell viability was monitored by the MTT assay. |
|
Fig. S10. Ability of selected norrin mutants to regulate three reporter gene assays upon stimulation by LGR4, Fzl4, and BMP4.
(A) Four cysteine mutants of norrin (93A, C95R, C131A, C95R+C131A), (B) five mutants of norrin (R41K, H43Q, V45E, K58N,
L61F) in β-sheets 1 and 2, and (C) seven norrin mutants (P98L, L103V, K104N, A118D, R121G, I123N, L124F) in β-sheets 3 and 4
were subjected to reporter gene assays. All results were normalized as % of maximal stimulation of TOPFlash reporter activities by
wild type norrin for LGR4 and Fzl4 receptors and as % of maximal inhibition of BRE reporter activities by wild type norrin for BMP4
antagonism. |
|
Fig. S11. The expression of norrin and its mutants in extracellular matrix and conditional media. HEK293T cells were
transfected with plasmids encoding norrin and its mutants before immunoblotting analyses of secreted and matrix-bound proteins. |
|
Fig. S12. Phylogenetic analyses of LGR-B receptors in diverse species. LGR-B receptors were categorized by the ClustalW
program (Thompson et al., 1994). The phylogenetic tree was built with Mega 4 (Tamura et al., 2007) using the Neighbor-Joining
method and 1,000 bootstrap replications. |