|
Fig. 1. Comparison of predicted Xpygo-2/ protein sequences with hPygo-2 (NCBI Accession No. AAL91371). Sequence identity between the three
proteins is in bold-face. The conserved putative nuclear localization sequence (KKRRK) is double-underlined, while the C-terminal PHD is single-underlined,
and the NHD or N-Box is indicated by broken underline. |
|
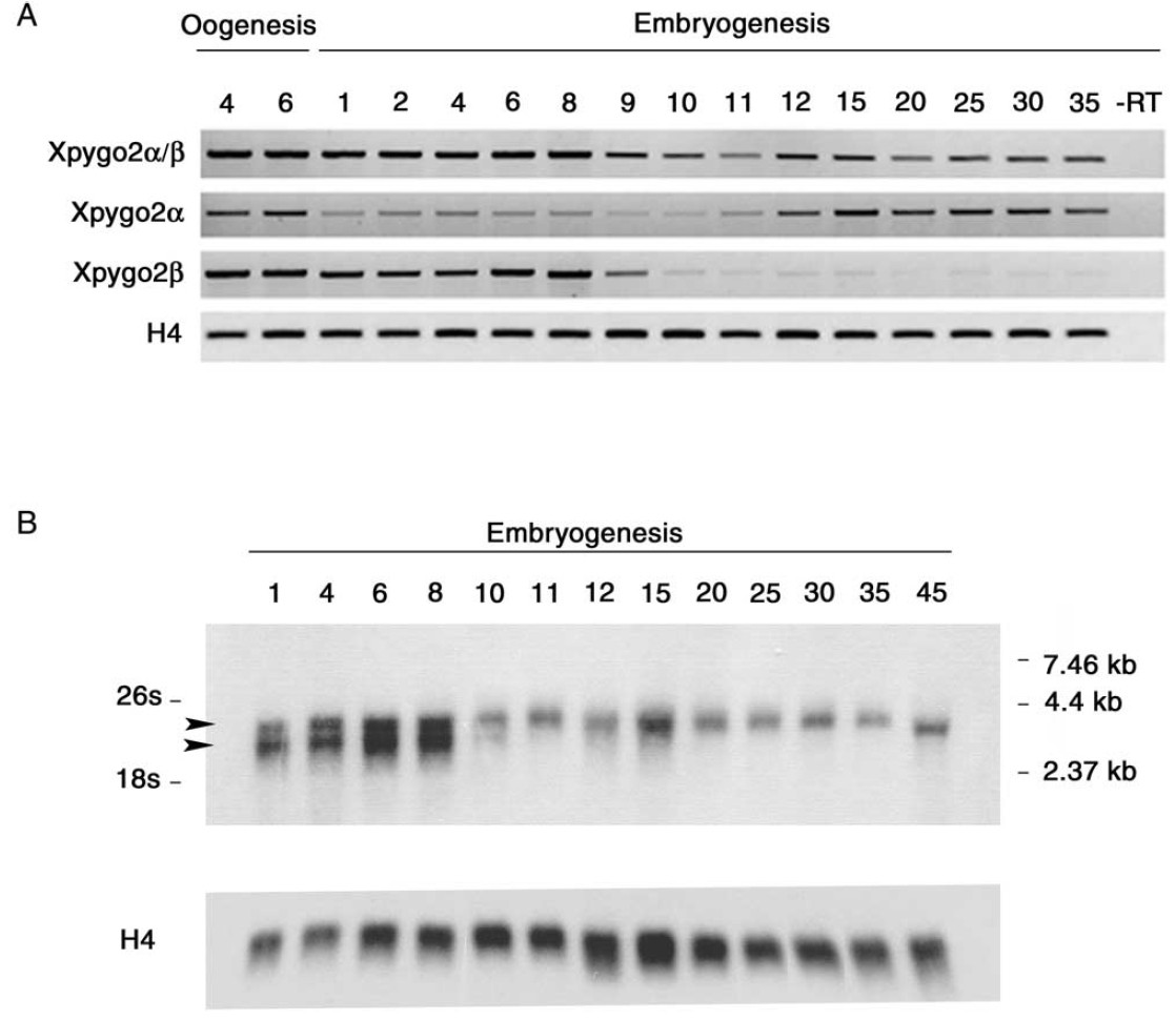
Fig. 2. Xpygo-2 / exhibit distinct expression patterns during Xenopus development. (A) RNA from 16 oocytes or embryos were analyzed by RT-PCR using
primers specific to both messages (Xpygo-2 / ) and either Xpygo-2 or Xpygo-2 . RT, negative control, without reverse transcriptase. (B) Northern blot
of staged embryo RNA probed for both Xpygo-2 isoforms (top arrow, -2 ; bottom arrow, -2 ). The 28S and 18S ribosomal RNAs as well as an RNA ladder
are indicated. Stages of development are indicated at the top of each figure (Nieuwkoop and Faber, 1994). Levels of cDNA used or RNA loaded were
standardized by using histone (H4) levels. |
|
Fig. 3. Xpygo-2 / are differentially expressed within the brain. Whole-mount in situ hybridization analysis of staged embryos using probes complementary
to both transcripts (AâH) or specific to Xpygo-2 mRNA (IâO), or sense probes, where indicated (B, D, F, H, J, M, O). Specific hybridization is indicated
by purple staining reaction. All embryos are shown with anterior to the left. Xpygo-2 mRNA is found early (St 13) in the anterior neural plate (A, dorsal view).
By stage 20 and at least until stage 25, messages localized within the anterior neural tube, including prospective brain and eyes (C and E, lateral views) and
in the tadpole, in the midâhindbrain, forebrain, and eyes (G, lateral view). Xpygo-2 transcripts are present throughout blastulae (I, animal pole view), but
are restricted to the retinal field at stage 20 (K, dorsal view) and in derivatives of this region (forebrain and eyes) at stage 25 (L, lateral view) and stage 30
(N, lateral view). |
|
Fig. 4. Targeted overexpression of various Xpygo-2 constructs. (A) The constructs used for subsequent injection experiments encoded wild-type Xpygo-2
and -2, Xpygo-2 NHD (amino acids 1–194), Xpygo-2 NHD (amino acids 1–216), and Xpygo-2 PHD (amino acids 194–389) fused to a strong nuclear
localization sequence (NLS). (B) Injection experiments were performed at the eight-cell stage. For targeted expression within ventral mesendodermal
derivatives, synthetic RNA was injected into both ventral vegetal blastomeres (VV). To target neural plate and epidermis, RNA or morpholinos were injected
into either dorsal (DA) or ventral (VA) animal blastomeres, respectively. |
|
Fig. 5. Xpygo-2 NHD acts as a Wnt pathway activator to induce dorsal axial structures and suppress anterior neurectoderm. Embryos were either injected
in ventral vegetal blastomeres (VV) or dorsal animal blastomeres (DA) with 10 ng of Xpygo-2 PHD RNA (control) (A, CâF), Xpygo-2 / NHD RNA (B,
GâJ), dominant Wnt activator R85 (KâN), or GSK-3 (OâR). Unlike PHD, overexpression of the NHD generated partial secondary axes when injected
ventrally (B). Dorsal animal injected embryos were processed at stage 35 by using pan-neural (2G9; C, G, K, O, lateral view; D, H, L, P, dorsal view), skeletal
muscle (12/101; top, lateral view; bottom, dorsal view), and Engrailed-2 (4D9, dorsal view) antibodies. 2G9 stained the anterior forebrain (f), the boundary
between forebrain and midbrain (m), hindbrain (h), and spinal cord. The eye (e) was not stained at this stage. The NHD (G, H) and R85 (K, L), unlike GSK
(O, P), disrupted anterior most staining of the forebrain (arrows). GSK disrupted or depleted midbrain staining (P, arrow). 12/101 staining indicated that all
embryos developed normal somitic muscle (E, I, M, Q). 4D9 staining showed normal or expanded Engrailed-2 localization in embryos injected with NHD
(J) and R85 (N) as compared with PHD (F) controls. GSK injection, however, reduced expression of En-2 (R, arrow). Scale bars: 1 mm (CâE); 0.1 mm (F). |
|
Fig. 6. Xpygo-2 and Xpygo-2 morpholinos (MO) specifically block translation of their target messages. In vitro translation of Xpygo-2 or -2 full-length
cDNA constructs was blocked in a graded fashion (200–600 nM MO) by the corresponding MO sequence, but not by the highest concentration of Control
MO (600 nM). In addition, neither MO could block translation from synthetic mRNA used in rescue experiments that lacked corresponding complimentary
sequences (*). The additional translation product from Xpygo-2 mRNA of similar molecular weight to Xpygo-2 most likely represents the alternative start
of translation site provided by the Xpygo-2 start codon, an in vitro artifact. |
|
Fig. 7. Xpygo-2 and Xpygo-2 antisense morpholinos (MO) cause severe head abnormalities. (A, D, G, J) Head-defective embryos resulting from injection
at the 8-cell stage (DA) with a mixture of 20 ng each of both Xpygo-2 MOs and their corresponding fluorescence views optimized for Lissamine (red
fluorescence, B, E, H, K) to reveal the -2 MO, and fluorescein (yellow-green fluorescence, C, F, I, L) to reveal the -2 MO. Note the association of MO
fluorescence with the head defects seen in the dorsal view (DâF). The coinjection of 1ng each of Xpygo-2 / RNA not targeted by the MOs (JâL) rescued
head structures even in the presence of both morpholinos (K, L). Xpygo-2 MO alone (M, N) caused severe head abnormalities including reduced or absent
eyes and displaced or expanded cement glands (M, arrow). Xpygo-2 MO (40 ng per embryo; O, P) generated only eye deficits that ranged from reduction
and ventral deficits to almost complete loss. Control MO (green fluorescence; 40 ng per embryo; Q, R, lateral view; S, T, dorsal view) did not affect
development. Scale bars: 1 mm. |
|
Fig. 8. Xpygo-2 / MOs inhibit brain development. Immunostaining of tadpoles (st. 43) coinjected with Xpygo-2 MO and Xpygo-2 MO (20 ng each)
using the pan-neural antibody 2G9 (A, dorsal view; B, lateral view) indicated anterior neural truncations with loss of retinal tissue as well as fore-, mid-, and
hindbrain defects (arrows). These structures were rescued by coinjection of Xpygo-2 / RNA (1 ng each; D, dorsal view; E, lateral view). Xpygo-2 MO
alone (40 ng) generated severe neural deficits rostral to and including the hindbrain (F, dorsal view; G, lateral view; arrows), while Xpygo-2 MO alone (40
ng) primarily disrupted and reduced neural tissue rostral to and including the midbrain (I, dorsal view; J, lateral view; arrows). Control MO (40 ng)-injected
embryos showed normal 2G9 immunostaining of the eyes (e), forebrain (f), midbrain (m), hindbrain (h), and spinal cord. Undisrupted 12/101 staining
indicated that all embryos developed normal muscle (C, H, K, and N; top, lateral; bottom, dorsal). Scale bars: 1 mm. |
|
Fig. 9. Xpygo-2 / MOs reversibly reduce RNA expression of a subset of
brain markers. RT-PCR analysis of tailbud embryos (st. 22â23) injected
with Control MO (40 ng), Xpygo-2 MO (40 ng), Xpygo-2 MO (40 ng),
and combined Xpygo-2 MO/Xpygo-2 MO (20 ng each) with or without
2 ng of rescuing RNA (1 ng each Xpygo-2 /Xpygo-2 or 2 ng Xpygo-2
NHD). This experiment was repeated four times to confirm reproducibility
of results. |
|
Fig. 10. Xpygo-2 / MOs reversibly eliminated En-2 protein expression. Embryos injected with Xpygo-2 MO/Xpygo-2 Mo (20 ng each) with or without
rescuing RNA (2 ng) were fixed (st. 35) and immunostained for En-2 by using the 4D9 monoclonal antibody (AâC; right, dorsal view; left, lateral view).
Normal En-2 staining can be seen at the midâhindbrain junction of Control MO (40 ng)-injected embryos (D, arrows), but is lost in Xpygo-2 MO/Xpygo-2
MO-injected embryos (A). Coinjection of Xpygo-2 / RNA rescues limited expression (B, arrows), while coinjection of Xpygo-2 NHD RNA rescues full
expression (C, arrows) of En-2. Scale bar: 0.1 mm. |
|
pygo2 (pygopus family PHD finger 2) gene expression in Xenopus laevis embryo, assayed via in situ hybridization, NF stage 13, dorsal view, anterior left. |
|
pygo2 (pygopus family PHD finger 2) gene expression in Xenopus laevis embryo, assayed via in situ hybridization, NF stage 20, lateral view, anterior left, dorsal up. |
|
pygo2 (pygopus family PHD finger 2) gene expression in Xenopus laevis embryo, assayed via in situ hybridization, NF stage 25, lateral view, anterior left, dorsal up. |
|
pygo2 (pygopus family PHD finger 2) gene expression in Xenopus laevis embryo, assayed via in situ hybridization, NF stage 30, lateral view, anterior left, dorsal up. |