XB-ART-47770
PLoS One
2013 Jan 01;811:e79469. doi: 10.1371/journal.pone.0079469.
Show Gene links
Show Anatomy links
A functional genome-wide in vivo screen identifies new regulators of signalling pathways during early Xenopus embryogenesis.
???displayArticle.abstract???
Embryonic development requires exquisite regulation of several essential processes, such as patterning of tissues and organs, cell fate decisions, and morphogenesis. Intriguingly, these diverse processes are controlled by only a handful of signalling pathways, and mis-regulation in one or more of these pathways may result in a variety of congenital defects and diseases. Consequently, investigating how these signalling pathways are regulated at the molecular level is essential to understanding the mechanisms underlying vertebrate embryogenesis, as well as developing treatments for human diseases. Here, we designed and performed a large-scale gain-of-function screen in Xenopus embryos aimed at identifying new regulators of MAPK/Erk, PI3K/Akt, BMP, and TGF-β/Nodal signalling pathways. Our gain-of-function screen is based on the identification of gene products that alter the phosphorylation state of key signalling molecules, which report the activation state of the pathways. In total, we have identified 20 new molecules that regulate the activity of one or more signalling pathways during early Xenopus development. This is the first time that such a functional screen has been performed, and the findings pave the way toward a more comprehensive understanding of the molecular mechanisms regulating the activity of important signalling pathways under normal and pathological conditions.
???displayArticle.pubmedLink??? 24244509
???displayArticle.pmcLink??? PMC3828355
???displayArticle.link??? PLoS One
???displayArticle.grants??? [+]
BB/J005983/1 Biotechnology and Biological Sciences Research Council , WT082450MA Wellcome Trust , Wellcome Trust
Species referenced: Xenopus laevis
Genes referenced: bmp4 cer1 ctrl fbxo43 foxh1.2 mapk1 nodal nodal1 pik3ca prkaca smad1 smad2 wnt8a
???attribute.lit??? ???displayArticles.show???
|
|
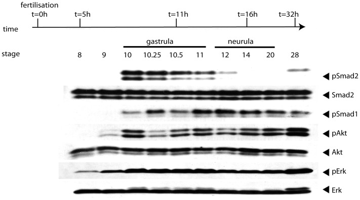
Figure 2. Kinetics of the activation of signalling molecules during early Xenopus development.X. laevis embryos were collected at the time indicated and subjected to Western blot analysis. Membranes were probed with anti-phospho-Smad1/5/8 (pSmad1) antibody for monitoring BMP activity, anti-phospho-Smad2 (pSmad2) antibody for TGF-β/Nodal signalling, anti-phospho-Erk (pErk) for MAPK/Erk signalling and anti-phospho-Akt (pAkt) for PI3K/Akt signalling. Anti- Smad2, anti- Akt, and anti-Erk were used as loading controls to ensure all lanes have been loaded equally. |
|
|
Figure 3. Flowchart of the experimental procedure of the screen.A X. tropicalis library of unique, full-length clones has been established based on sequence comparison and clustering of over 1,220,000 ESTs, and rearrayed in a 96-well plate format. Pools of 8 mRNAs were prepared from pooled bacteria culture and in vitro transcription. Then in vitro transcribed mRNA pools were injected into fertilized X. laevis embryos at 1â2 cell stage. After microinjection, injected embryos were collected at stage 8 (blastula), stage 10.5 (gastrula), and stage 14 (neurula). Protein extracts from embryos were loaded onto SDS-PAGE for subsequent Western blot analysis. Antibodies used include anti-phospho-Smad1/5/8, anti-phospho-Smad2, anti-phospho-Akt, and anti-phospho-Erk. Once a potential active pool was identified, the pool was de-convoluted and single molecule injection was performed to identify the active molecule. |
|
|
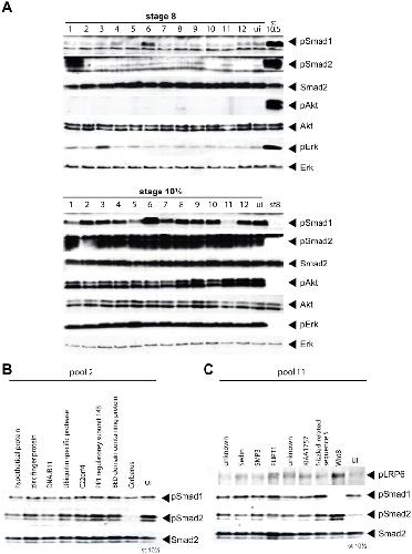
Figure 4. Proof of principle of the screen.(A) 12 pools, each one with one clone of known activity, were selected from the full-length EST library and injected into embryos as described. Protein extracts from collected embryos were subjected to Western blot using indicated antibodies to observe phosphorylation changes of specific signalling molecules at blastula and gastrula stages. Note the reduction of phospho-Smad2 activity at gastrula stage on pool 2, and reduction of phospho-Smad1/5/8 activity on pool 11. (B) De-convolution of pool 2. cerberus is identified as a negative regulator of Smad2 (pSmad2, lower panel) but not of Smad1 (pSmad1, upper panel) phosphorylation at gastrula stage. (C) De-convolution of pool 11. wnt8a is identified as a negative regulator of Smad1/5/8 phosphorylation (pSmad1, middle panel) and activator of Wnt signalling (pLRP6, upper panel) at gastrula stage. UI: uninjected. |
|
|
Figure 5. Examples on identification and de-convolution of active regulators.(AâB) identification of the MAPK/Erk activator fbxo43 (erp1). (A) Western blot of stage 8 embryos injected with 12 pools (01â12) derived from plate #01 and 7 pools (01â07) from plate #02 and probed with anti-phospho-Erk (pErk) antibody. The arrow indicates increased Erk phosphorylation upon injection of mRNAs derived from plate #02, pool 07. (B) De-convolution of the above pool. Embryos injected with single RNAs were collected at stage 8 and uninjected lysate from stage 8 and stage 10.5 were used as negative and positive control of Erk phosphorylation respectively. The arrow indicates the active clone of TEgg009F05, identified in plate #2, column 08, row G. This clone was confirmed as the X. tropicalis fbxo43 (erp1) gene. (CâD) Identification of PI3K/Akt inhibitor prkaca. (C) Western blot of stage 10.5 embryos injected with 24 pools (01â12) derived from plate #09 and #10 and probed with anti-phospho-Akt (pAkt) antibody. The arrow indicates decreased Akt phosphorylation upon injection of mRNAs derived from plate #10, pool 02. (D) De-convolution of the above pool. mRNA synthesis, injection, and Western blot were performed as in (B) except that stage 10.5 embryos were used. The arrow indicates the active clone of TEgg046d13 is identified in plate #09, column 02, row E. This clone was later identified as encoding the X. tropicalis prkaca gene. |
|
|
Figure 6. Results of the screen.The 20 active clones identified during the screen were individually injected and analysed by Western blot to demonstrate their abilities to modulate the activities of different signalling pathways as shown in Table 3. Embryos were collected at the indicated stages, processed, and analysed by Western blot to assess the activities of Erk (pErk, panel A), Akt (pAkt, panel B), BMP (pSmad1, panel C), and TGFβ/Nodal (pSmad2, panel D). Control (ctrl) denotes uninjected embryos. Anti-Erk (Erk), anti-Akt (Akt), anti-Smad2 (Smad2) and anti-α-Tubulin (α-Tubulin) were used as loading controls. |
|
|
Figure 7. Whole-mount in situ hybridisation images on clones with regionalised expression patterns.For each clone the corresponding clone number and Xenopus gene symbol are shown. Vegetal view (stage 10.5 except for foxh1, which is side view); dorsal view (stage 15 and 20, posterior is up); lateral view (stage 30, anterior is to the left). |
|
|
Figure 1. Characterisation of phospho-specific antibodies.(A) Characterisation of anti-phospho-Akt (pAkt) and anti-phospho-Erk (pErk) antibodies, the PI3K/Akt inhibitor LY294002 and FGF inhibitor SU5402 were used to inhibit Akt and Erk phosphorylation in gastrula embryos, respectively. 1% DMSO was used to exclude any possible interference from the inhibitor solvent. Anti-Erk (Erk), anti-Akt (Akt) and anti-α-tubulin (α-tubulin) were used as loading controls. (B) Characterisation of anti-phospho-Smad1/5/8 (pSmad1) and anti-phospho-Smad2 (pSmad2) antibodies. The TGF-βRI inhibitor SB505124 was used to inhibit Smad2 phosphorylation in gastrula embryos; injection of wnt8a mRNA was used to inhibit bmp4 expression, thus preventing Smad1/5/8 phosphorylation. All inhibitors have been added at stage 6. 1% DMSO was used to exclude any possible interference from the inhibitor solvent. Smad2 and α-tubulin serves as internal controls to ensure equal loading in all lanes. |
References [+] :
Aerbajinai,
Increased expression level of the splicing variant of SIP1 in motor neuron diseases.
2002, Pubmed
Aerbajinai, Increased expression level of the splicing variant of SIP1 in motor neuron diseases. 2002, Pubmed
Agius, Endodermal Nodal-related signals and mesoderm induction in Xenopus. 2000, Pubmed , Xenbase
Amaya, Xenomics. 2005, Pubmed , Xenbase
Amaya, Expression of a dominant negative mutant of the FGF receptor disrupts mesoderm formation in Xenopus embryos. 1991, Pubmed , Xenbase
Andersen, Nucleolar proteome dynamics. 2005, Pubmed
Ariizumi, Dose and time-dependent mesoderm induction and outgrowth formation by activin A in Xenopus laevis. 1991, Pubmed , Xenbase
Baker, Wnt signaling in Xenopus embryos inhibits bmp4 expression and activates neural development. 1999, Pubmed , Xenbase
Bouwmeester, Cerberus is a head-inducing secreted factor expressed in the anterior endoderm of Spemann's organizer. 1996, Pubmed , Xenbase
Bowes, Xenbase: gene expression and improved integration. 2010, Pubmed , Xenbase
Brown, The thyroid hormone-induced tail resorption program during Xenopus laevis metamorphosis. 1996, Pubmed , Xenbase
Cai, BMP signaling in vascular diseases. 2012, Pubmed
Callery, A divergent Tbx6-related gene and Tbx6 are both required for neural crest and intermediate mesoderm development in Xenopus. 2010, Pubmed , Xenbase
Chapman, Critical role for Tbx6 in mesoderm specification in the mouse embryo. 2003, Pubmed
Chen, Fezl regulates the differentiation and axon targeting of layer 5 subcortical projection neurons in cerebral cortex. 2005, Pubmed
Chen, Identification of novel genes affecting mesoderm formation and morphogenesis through an enhanced large scale functional screen in Xenopus. 2005, Pubmed , Xenbase
Chung, Screening of FGF target genes in Xenopus by microarray: temporal dissection of the signalling pathway using a chemical inhibitor. 2004, Pubmed , Xenbase
Cui, CDC25B acts as a potential target of PRKACA in fertilized mouse eggs. 2008, Pubmed
Dessauer, Identification of a Gialpha binding site on type V adenylyl cyclase. 1998, Pubmed
Dorey, A novel Cripto-related protein reveals an essential role for EGF-CFCs in Nodal signalling in Xenopus embryos. 2006, Pubmed , Xenbase
Dorey, FGF signalling: diverse roles during early vertebrate embryogenesis. 2010, Pubmed , Xenbase
Ellerby, Cleavage of atrophin-1 at caspase site aspartic acid 109 modulates cytotoxicity. 1999, Pubmed
Fujitomo, Critical function for nuclear envelope protein TMEM209 in human pulmonary carcinogenesis. 2012, Pubmed
Gessert, Comparative gene expression analysis and fate mapping studies suggest an early segregation of cardiogenic lineages in Xenopus laevis. 2009, Pubmed , Xenbase
Gilchrist, Defining a large set of full-length clones from a Xenopus tropicalis EST project. 2004, Pubmed , Xenbase
Goh, eIF3m expression influences the regulation of tumorigenesis-related genes in human colon cancer. 2011, Pubmed
Greenberg, Single-nucleotide polymorphism rs1052501 associated with monoclonal gammopathy of undetermined significance and multiple myeloma. 2013, Pubmed
Harland, In situ hybridization: an improved whole-mount method for Xenopus embryos. 1991, Pubmed , Xenbase
Hashimoto, Expression of the zinc finger gene fez-like in zebrafish forebrain. 2000, Pubmed , Xenbase
Herold, TAP (NXF1) belongs to a multigene family of putative RNA export factors with a conserved modular architecture. 2000, Pubmed
Hikasa, Wnt signaling in vertebrate axis specification. 2013, Pubmed , Xenbase
Hyde, Regulation of the early expression of the Xenopus nodal-related 1 gene, Xnr1. 2000, Pubmed , Xenbase
In der Rieden, Xwnt8 directly initiates expression of labial Hox genes. 2010, Pubmed , Xenbase
Inoue, A direct link of the Mos-MAPK pathway to Erp1/Emi2 in meiotic arrest of Xenopus laevis eggs. 2007, Pubmed , Xenbase
Jeong, Patterning the zebrafish diencephalon by the conserved zinc-finger protein Fezl. 2007, Pubmed
Jeong, Neurogenin1 is a determinant of zebrafish basal forebrain dopaminergic neurons and is regulated by the conserved zinc finger protein Tof/Fezl. 2006, Pubmed
Jones, DVR-4 (bone morphogenetic protein-4) as a posterior-ventralizing factor in Xenopus mesoderm induction. 1992, Pubmed , Xenbase
Kimelman, Synergistic induction of mesoderm by FGF and TGF-beta and the identification of an mRNA coding for FGF in the early Xenopus embryo. 1987, Pubmed , Xenbase
Kimelman, Mesoderm induction: from caps to chips. 2006, Pubmed , Xenbase
Kishigami, BMP signaling and early embryonic patterning. 2005, Pubmed
Komuta, Defects in reciprocal projections between the thalamus and cerebral cortex in the early development of Fezl-deficient mice. 2007, Pubmed
Lassy, Peptidase E, a peptidase specific for N-terminal aspartic dipeptides, is a serine hydrolase. 2000, Pubmed , Xenbase
Lee, Identification and characterization of a novel human PP1 phosphatase complex. 2010, Pubmed
Levkowitz, Zinc finger protein too few controls the development of monoaminergic neurons. 2003, Pubmed
Li, Simulation of crosstalk between small GTPase RhoA and EGFR-ERK signaling pathway via MEKK1. 2009, Pubmed
Lou, Xenopus Tbx6 mediates posterior patterning via activation of Wnt and FGF signalling. 2006, Pubmed , Xenbase
Luttrell, Reviews in molecular biology and biotechnology: transmembrane signaling by G protein-coupled receptors. 2008, Pubmed
Massagué, Controlling TGF-beta signaling. 2000, Pubmed
McMahon, Ectopic expression of the proto-oncogene int-1 in Xenopus embryos leads to duplication of the embryonic axis. 1989, Pubmed , Xenbase
Molyneaux, Fezl is required for the birth and specification of corticospinal motor neurons. 2005, Pubmed
Moore, Phosphorylation of the catalytic subunit of protein kinase A. Autophosphorylation versus phosphorylation by phosphoinositide-dependent kinase-1. 2002, Pubmed
Moore, Structural basis for peptide binding in protein kinase A. Role of glutamic acid 203 and tyrosine 204 in the peptide-positioning loop. 2003, Pubmed
Obholz, FNDC3A is required for adhesion between spermatids and Sertoli cells. 2006, Pubmed
Ogura, Caenorhabditis elegans unc-51 gene required for axonal elongation encodes a novel serine/threonine kinase. 1994, Pubmed
Oztas, Novel monoclonal antibodies detect Smad-interacting protein 1 (SIP1) in the cytoplasm of human cells from multiple tumor tissue arrays. 2010, Pubmed
Piccolo, The head inducer Cerberus is a multifunctional antagonist of Nodal, BMP and Wnt signals. 1999, Pubmed , Xenbase
Pires-daSilva, The evolution of signalling pathways in animal development. 2003, Pubmed
Pollet, Axeldb: a Xenopus laevis database focusing on gene expression. 2000, Pubmed , Xenbase
Rørth, Systematic gain-of-function genetics in Drosophila. 1998, Pubmed
Schlunck, Modulation of Rac localization and function by dynamin. 2004, Pubmed
Schmid, D-E-A-D protein family of putative RNA helicases. 1992, Pubmed
Schmidt, Xenopus polo-like kinase Plx1 regulates XErp1, a novel inhibitor of APC/C activity. 2005, Pubmed , Xenbase
Schohl, Beta-catenin, MAPK and Smad signaling during early Xenopus development. 2002, Pubmed , Xenbase
Seuntjens, Sip1 regulates sequential fate decisions by feedback signaling from postmitotic neurons to progenitors. 2009, Pubmed
Shen, Nodal signaling: developmental roles and regulation. 2007, Pubmed
Shimizu, Formation and patterning of the forebrain and olfactory system by zinc-finger genes Fezf1 and Fezf2. 2009, Pubmed , Xenbase
Shoji, Mammalian Emi2 mediates cytostatic arrest and transduces the signal for meiotic exit via Cdc20. 2006, Pubmed , Xenbase
Sivak, FGF signal interpretation is directed by Sprouty and Spred proteins during mesoderm formation. 2005, Pubmed , Xenbase
Slack, Mesoderm induction in early Xenopus embryos by heparin-binding growth factors. , Pubmed , Xenbase
Smith, Injected Xwnt-8 RNA acts early in Xenopus embryos to promote formation of a vegetal dorsalizing center. 1991, Pubmed , Xenbase
Smith, Forming and interpreting gradients in the early Xenopus embryo. 2009, Pubmed , Xenbase
Tsuji, [Molecular mechanisms of neurodegeneration in polyglutamine diseases]. 2007, Pubmed
Tung, A role for the anaphase-promoting complex inhibitor Emi2/XErp1, a homolog of early mitotic inhibitor 1, in cytostatic factor arrest of Xenopus eggs. 2005, Pubmed , Xenbase
Uchiyama, Cloning and characterization of the T-box gene Tbx6 in Xenopus laevis. 2001, Pubmed , Xenbase
van Grunsven, XSIP1, a Xenopus zinc finger/homeodomain encoding gene highly expressed during early neural development. 2000, Pubmed , Xenbase
Vonica, The left-right axis is regulated by the interplay of Coco, Xnr1 and derrière in Xenopus embryos. 2007, Pubmed , Xenbase
Waerner, Human RERE is localized to nuclear promyelocytic leukemia oncogenic domains and enhances apoptosis. 2001, Pubmed
Wu, Tgf-beta superfamily signaling in embryonic development and homeostasis. 2009, Pubmed
Xing, Loss-of-Function Screen Reveals Novel Regulators Required for Drosophila Germline Stem Cell Self-Renewal. 2012, Pubmed
Yamamoto, The transcription factor FoxH1 (FAST) mediates Nodal signaling during anterior-posterior patterning and node formation in the mouse. 2001, Pubmed
Zheng, MEK/ERK pathway is aberrantly active in Hodgkin disease: a signaling pathway shared by CD30, CD40, and RANK that regulates cell proliferation and survival. 2003, Pubmed
Zhong, Human neutrophils utilize a Rac/Cdc42-dependent MAPK pathway to direct intracellular granule mobilization toward ingested microbial pathogens. 2003, Pubmed
Zhu, A screen for genes that influence fibroblast growth factor signal transduction in Drosophila. 2005, Pubmed
