XB-ART-47034
PLoS Biol
2013 Jan 01;114:e1001551. doi: 10.1371/journal.pbio.1001551.
Show Gene links
Show Anatomy links
Directional transport is mediated by a Dynein-dependent step in an RNA localization pathway.
Gagnon JA, Kreiling JA, Powrie EA, Wood TR, Mowry KL.
???displayArticle.abstract???
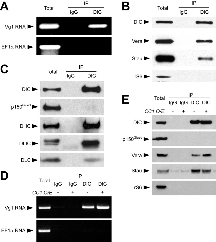
Cytoplasmic RNA localization is a key biological strategy for establishing polarity in a variety of organisms and cell types. However, the mechanisms that control directionality during asymmetric RNA transport are not yet clear. To gain insight into this crucial process, we have analyzed the molecular machinery directing polarized transport of RNA to the vegetal cortex in Xenopus oocytes. Using a novel approach to measure directionality of mRNA transport in live oocytes, we observe discrete domains of unidirectional and bidirectional transport that are required for vegetal RNA transport. While kinesin-1 appears to promote bidirectional transport along a microtubule array with mixed polarity, dynein acts first to direct unidirectional transport of RNA towards the vegetal cortex. Thus, vegetal RNA transport occurs through a multistep pathway with a dynein-dependent directional cue. This provides a new framework for understanding the mechanistic basis of cell and developmental polarity.
???displayArticle.pubmedLink??? 23637574
???displayArticle.pmcLink??? PMC3640089
???displayArticle.link??? PLoS Biol
???displayArticle.grants??? [+]
GM071049 NIGMS NIH HHS , T32-GM07601 NIGMS NIH HHS , P40 OD010997 NIH HHS , R01 GM071049 NIGMS NIH HHS , T32 GM007601 NIGMS NIH HHS
Species referenced: Xenopus laevis
Genes referenced: arhgef7 dctn2 dlc dnai1 dync1li1 gdf1 igf2bp3 mtor pmch stau1 tbxt.2
???attribute.lit??? ???displayArticles.show???
References [+] :
Addinall,
Phosphorylation by cdc2-CyclinB1 kinase releases cytoplasmic dynein from membranes.
2001, Pubmed,
Xenbase
Addinall, Phosphorylation by cdc2-CyclinB1 kinase releases cytoplasmic dynein from membranes. 2001, Pubmed , Xenbase
Ally, Opposite-polarity motors activate one another to trigger cargo transport in live cells. 2009, Pubmed
Amrute-Nayak, Single-molecule assays reveal that RNA localization signals regulate dynein-dynactin copy number on individual transcript cargoes. 2012, Pubmed
Bertrand, Localization of ASH1 mRNA particles in living yeast. 1998, Pubmed
Betley, Kinesin II mediates Vg1 mRNA transport in Xenopus oocytes. 2004, Pubmed , Xenbase
Birsoy, Vg 1 is an essential signaling molecule in Xenopus development. 2006, Pubmed , Xenbase
Bullock, Guidance of bidirectional motor complexes by mRNA cargoes through control of dynein number and activity. 2006, Pubmed
Bullock, Translocation of mRNAs by molecular motors: think complex? 2007, Pubmed
Burkhardt, Overexpression of the dynamitin (p50) subunit of the dynactin complex disrupts dynein-dependent maintenance of membrane organelle distribution. 1997, Pubmed
Chang, Localization of RNAs to the mitochondrial cloud in Xenopus oocytes through entrapment and association with endoplasmic reticulum. 2004, Pubmed , Xenbase
Coller, Tethered function assays: an adaptable approach to study RNA regulatory proteins. 2007, Pubmed
Delanoue, Dynein anchors its mRNA cargo after apical transport in the Drosophila blastoderm embryo. 2005, Pubmed
Delanoue, Drosophila Squid/hnRNP helps Dynein switch from a gurken mRNA transport motor to an ultrastructural static anchor in sponge bodies. 2007, Pubmed
Dienstbier, Egalitarian is a selective RNA-binding protein linking mRNA localization signals to the dynein motor. 2009, Pubmed
Dumont, Oogenesis in Xenopus laevis (Daudin). I. Stages of oocyte development in laboratory maintained animals. 1972, Pubmed , Xenbase
Fusco, Single mRNA molecules demonstrate probabilistic movement in living mammalian cells. 2003, Pubmed
Gagnon, Visualization of mRNA localization in Xenopus oocytes. 2011, Pubmed , Xenbase
Gagnon, Molecular motors: directing traffic during RNA localization. 2011, Pubmed , Xenbase
Goldstein, Microtubule-based transport systems in neurons: the roles of kinesins and dyneins. 2000, Pubmed
Gross, A determinant for directionality of organelle transport in Drosophila embryos. 2003, Pubmed
Haghnia, Dynactin is required for coordinated bidirectional motility, but not for dynein membrane attachment. 2007, Pubmed
Heald, Self-organization of microtubules into bipolar spindles around artificial chromosomes in Xenopus egg extracts. 1996, Pubmed , Xenbase
Hendricks, Motor coordination via a tug-of-war mechanism drives bidirectional vesicle transport. 2010, Pubmed
Holt, Subcellular mRNA localization in animal cells and why it matters. 2009, Pubmed
Kardon, Regulators of the cytoplasmic dynein motor. 2009, Pubmed
King, Dynactin increases the processivity of the cytoplasmic dynein motor. 2000, Pubmed
Kloc, Apparent continuity between the messenger transport organizer and late RNA localization pathways during oogenesis in Xenopus. 1998, Pubmed , Xenbase
Konishi, Tubulin tyrosination navigates the kinesin-1 motor domain to axons. 2009, Pubmed
Kress, Nuclear RNP complex assembly initiates cytoplasmic RNA localization. 2004, Pubmed , Xenbase
Krieg, Functional messenger RNAs are produced by SP6 in vitro transcription of cloned cDNAs. 1984, Pubmed , Xenbase
Lewis, Ribonucleoprotein remodeling during RNA localization. 2007, Pubmed , Xenbase
Lippincott-Schwartz, Studying protein dynamics in living cells. 2001, Pubmed
Martin, mRNA localization: gene expression in the spatial dimension. 2009, Pubmed
Medioni, Principles and roles of mRNA localization in animal development. 2012, Pubmed
Messitt, Multiple kinesin motors coordinate cytoplasmic RNA transport on a subpopulation of microtubules in Xenopus oocytes. 2008, Pubmed , Xenbase
Mowry, Vegetal messenger RNA localization directed by a 340-nt RNA sequence element in Xenopus oocytes. 1992, Pubmed , Xenbase
Müller, Bidirectional transport by molecular motors: enhanced processivity and response to external forces. 2010, Pubmed
Nakata, Point mutation of adenosine triphosphate-binding motif generated rigor kinesin that selectively blocks anterograde lysosome membrane transport. 1995, Pubmed
Pfeiffer, Microtubules in Xenopus oocytes are oriented with their minus-ends towards the cortex. 1999, Pubmed , Xenbase
Quintyne, Dynactin is required for microtubule anchoring at centrosomes. 1999, Pubmed
Schroer, Dynactin. 2004, Pubmed
Shaner, Improved monomeric red, orange and yellow fluorescent proteins derived from Discosoma sp. red fluorescent protein. 2004, Pubmed
Sprague, Analysis of binding reactions by fluorescence recovery after photobleaching. 2004, Pubmed
Subach, Photoactivatable mCherry for high-resolution two-color fluorescence microscopy. 2009, Pubmed
Tai, Rhodopsin's carboxy-terminal cytoplasmic tail acts as a membrane receptor for cytoplasmic dynein by binding to the dynein light chain Tctex-1. 1999, Pubmed
Tan, Recruitment of dynein to late endosomes and lysosomes through light intermediate chains. 2011, Pubmed
Tekotte, Intracellular mRNA localization: motors move messages. 2002, Pubmed
Thomsen, Processed Vg1 protein is an axial mesoderm inducer in Xenopus. 1993, Pubmed , Xenbase
Vaisberg, Cytoplasmic dynein plays a role in mammalian mitotic spindle formation. 1993, Pubmed
Vallee, Dynein: An ancient motor protein involved in multiple modes of transport. 2004, Pubmed
Yoon, Xenopus Staufen is a component of a ribonucleoprotein complex containing Vg1 RNA and kinesin. 2004, Pubmed , Xenbase
Zhang, Vg1 RBP intracellular distribution and evolutionarily conserved expression at multiple stages during development. 1999, Pubmed , Xenbase
Zimyanin, In vivo imaging of oskar mRNA transport reveals the mechanism of posterior localization. 2008, Pubmed
