XB-ART-46985
Development
2013 Jun 01;14011:2334-44. doi: 10.1242/dev.094748.
Show Gene links
Show Anatomy links
Maternal Dead-End1 is required for vegetal cortical microtubule assembly during Xenopus axis specification.
???displayArticle.abstract???
Vertebrate axis specification is an evolutionarily conserved developmental process that relies on asymmetric activation of Wnt signaling and subsequent organizer formation on the future dorsal side of the embryo. Although roles of Wnt signaling during organizer formation have been studied extensively, it is unclear how the Wnt pathway is asymmetrically activated. In Xenopus and zebrafish, the Wnt pathway is triggered by dorsal determinants, which are translocated from the vegetal pole to the future dorsal side of the embryo shortly after fertilization. The transport of dorsal determinants requires a unique microtubule network formed in the vegetal cortex shortly after fertilization. However, molecular mechanisms governing the formation of vegetal cortical microtubule arrays are not fully understood. Here we report that Dead-End 1 (Dnd1), an RNA-binding protein required for primordial germ cell development during later stages of embryogenesis, is essential for Xenopus axis specification. We show that knockdown of maternal Dnd1 specifically interferes with the formation of vegetal cortical microtubules. This, in turn, impairs translocation of dorsal determinants, the initiation of Wnt signaling, organizer formation, and ultimately results in ventralized embryos. Furthermore, we found that Dnd1 binds to a uridine-rich sequence in the 3'-UTR of trim36, a vegetally localized maternal RNA essential for vegetal cortical microtubule assembly. Dnd1 anchors trim36 to the vegetal cortex in the egg, promoting high concentrations of Trim36 protein there. Our work thus demonstrates a novel and surprising function for Dnd1 during early development and provides an important link between Dnd1, mRNA localization, the microtubule cytoskeleton and axis specification.
???displayArticle.pubmedLink??? 23615278
???displayArticle.pmcLink??? PMC3653556
???displayArticle.link??? Development
???displayArticle.grants??? [+]
F32 EY021708 NEI NIH HHS , GM33932 NIGMS NIH HHS , R01GM093217 NIGMS NIH HHS , R01 GM083999 NIGMS NIH HHS , R01 GM102397 NIGMS NIH HHS , R01 GM033932 NIGMS NIH HHS , R01 GM093217 NIGMS NIH HHS
Species referenced: Xenopus
Genes referenced: actl6a chrd dnd1 fbxo5 gdf1 nanos1 ncam1 nodal3 nodal3.2 nog odc1 prl.2 sia1 szl tcf3 tcf7l1 trim36 vegt ventx1.2 ventx2.2 wnt11 wnt8a
GO keywords: germ cell development [+]
???displayArticle.antibodies??? Dnd1 Ab1 Trim36 Ab1 Tubb3 Ab2
???attribute.lit??? ???displayArticles.show???
|
|
Fig. 1. Maternal Dnd1 is vegetally localized and required for axis specification. (A) Western blot showing vegetal localization of endogenous maternal Dnd1 protein. Manually bisected animal and vegetal halves of oocytes were analyzed by immunoprecipitation/western blotting. Each group contains 50 animal or vegetal halves. β-tubulin served as the loading control. (B) Immunofluorescence showing colocalization of Dnd1 and Nanos1 in the germ plasm at the vegetal pole at the eight-cell stage (indicated by arrowheads). (C) Dnd1 knockdown efficiency. Oocytes were injected with the AS-oligo against dnd1, cultured for 24 hours, and treated with progesterone to induce germinal vesicle breakdown (GVBD). Uninjected controls and injected oocytes were harvested at 24 hours or 40 hours (after GVBD) after microinjection of the AS-oligo, and analyzed by immunoprecipitation/western blotting. Each group contains 50 oocytes or eggs. β-tubulin served as the loading control. (D,E) Morphology of uninjected controls (D; note rare examples of class II) and AS-oligo-injected host-transfer embryos (E) at the tadpole stage. (F) Summary of the phenotypes of control and AS-oligo-injected host-transfer embryos. (G,H) Cross-section of uninjected (G) and AS-oligo-injected (H) host-transfer embryos at the tadpole stage. H represents the most severe ventralization phenotype. (I) RT-PCR results showing effects of Dnd1 knockdown on the expression of NCAM, type II collagen (col II), muscle actin (m-actin), epidermal keratin (e-keratin), alas and α-globin at stage 20. (J) Real-time RT-PCR showing the expression of Wnt target genes (Xnr3 and siamois), organizer-specific genes (noggin and chordin), and ventral markers (msx1, sizzled, vent1 and vent2), and dnd1 in control and AS-oligo-injected host-transfer embryos (stage 10). All samples were normalized to odc levels. (K) Whole-mount in situ hybridization showing the expression of chordin and vent2 in control and AS-oligo-injected host-transfer embryos at stage 10.5. Arrows point to the dorsalmost region of control embryos, a region positive for chordin expression, but negative for vent2 expression. |
|
|
Fig. 2. Specificity of Dnd1 knockdown. (A) Morphology of uninjected control (brown), AS-oligo-injected (blue), and AS-oligo- and tropicalis dnd1-injected (red) embryos at stage 25. (B) Summary of experiments shown in A. (C) RT-PCR results showing the expression of noggin, chordin, Xnr3, siamois and dnd1 in control, AS-oligo-injected, and AS-oligo- and tropicalis dnd1-injected (rescued) embryos at stage 10.5. |
|
|
Fig. 3. Maternal Dnd1 is required for the initiation of maternal Wnt signaling during axis specification. (A) TOP-Flash luciferase assay measuring maternal Wnt signaling activities in control and Dnd1-depleted embryos (two embryos each group). Host-transfer embryos were injected with a mixture of TOP-Flash and pRL-SV40 and harvested at stage 9.5. Firefly luciferase activity was normalized to that of Renilla luciferase. (B) RT-PCR showing that overexpression of VP16-tcf3 (10 pg), β-catenin (100 pg) and wnt8 (5 pg) rescued the expression of noggin, chordin, Xnr3 and siamois in Dnd1-depleted embryos at stage 10.5. VP16-tcf3, β-catenin and wnt8 were injected at the four-cell stage into the marginal zone of two blastomeres of Dnd1 knockdown embryos. (C) Depletion of maternal Dnd1 impaired polyadenylation of wnt11. Total RNAs were reverse transcribed with oligo dT (left) and random hexamers (dN6, right). RT-PCR was performed to measure the expression of wnt11, vg1, Bicaudal-c, dnd1 and emi1. (D) Morphology of control (brown, top), AS-oligo-injected (red, lower left), and AS-oligo- and wnt11-injected (50 pg) (blue, lower right) embryos. (E) Summary of the phenotypes observed in the Wnt11 rescue experiments. (F) RT-PCR results showing that overexpression of Wnt11 rescued the expression of noggin, chordin, Xnr3 and siamois in Dnd1 knockdown embryos at stage 10.5. |
|
|
Fig. 4. Maternal Dnd1 is required for vegetal cortical microtubule assembly. (A,B) Confocal images showing the formation of vegetal cortical microtubules in fertilized eggs (A, 55 minutes post-fertilization; top and bottom figures) and in artificially activated eggs (B, 40 minutes post-needle pricking). Fixed eggs were bisected and the vegetal halves were stained with an anti-Tubulin antibody. Formation of vegetal cortical microtubules was severely disrupted in all Dnd1 knockdown fertilized eggs. In 27% of Dnd1 knockdown fertilized eggs (A, lower middle), a few microtubules were detected (indicated by arrows). Also note that at 40 minutes post-needle pricking, disordered microtubules just begin to polymerize into the vegetal cortex of activated eggs (supplementary material Fig. S4). |
|
|
Fig. 5. Dorsal determinants remain intact in dnd1-depleted embryos. (A) Morphology of uninjected control embryos (top), dnd1-depleted embryos (AS-oligo, lower left), and dnd1-depleted embryos that were tipped 90 degrees relative to the animal-vegetal axis during the first embryonic cell cycle (lower right). (B) Summary of the phenotypes of the tipping experiment. (C) RT-PCR showing that tipping dnd1-depleted embryos during the first embryonic cell cycle rescued the expression of noggin, chordin, Xnr3 and siamois in Dnd1 knockdown embryos at stage 10.5. |
|
|
Fig. 6. The RNA-binding activity of Dnd1 is required for its function during vegetal cortical microtubule assembly in activated eggs and dorsal development in fertilized eggs. (A) Confocal images showing the formation of vegetal cortical microtubules in uninjected control (upper/left), AS-oligo-injected (upper/right), AS-oligo- and dnd1-injected (lower/left), and AS-oligo- and Y125C-injected (lower/right) eggs (40 minutes post-needle-pricking). Fixed eggs were bisected and the vegetal halves were stained with an anti-Tubulin antibody. (B) RT-PCR showing that overexpression of the wild-type dnd1, but not Y125C, rescued the expression of noggin, chordin, Xnr3 and siamois in Dnd1 knockdown embryos (stage 10.5). |
|
|
Fig. 7. Dnd1 binds trim36 directly and anchors trim36 to the vegetal cortex. (A) Schematic of trim36 deletion constructs used in the in vitro pull-down assay. (B) Coomassie Blue staining showing purified GST-Dnd1 protein used in the pull-down assay. (C-E) Real-time RT-PCR showing the ratio between RNAs associated with GST-Dnd1 protein and 5% of RNA input. (C) GST-Dnd1 efficiently pulled down trim36, but not GFP or wnt11. (D) Mutation of the URS in trim36 reduced the binding of trim36 by GST-Dnd1. (E) Fusing the 3â²-UTR of trim36 to GFP increased the binding of GST-Dnd1 to GFP RNA. (F) RT-PCR showing that knockdown of Dnd1 had no effect on the level of trim36 mRNA in eggs. (G) In situ hybridization showing that trim36 is no longer localized to the vegetal cortex in dnd1-depleted eggs. (H) Immunohistochemistry showing that knockdown of Dnd1 interfered with the accumulation of Trim36 protein in the vegetal cortex of eggs. Inserts at lower magnification show whole eggs. (I) Immunoprecipitation/western blotting showing that the level of Trim36 protein remained unchanged in Dnd1 depleted eggs. Protein lysates from 50 oocytes or eggs were incubated first with an anti-Trim36 antibody to immunoprecipitate Trim36. Supernatants were then incubated with an anti-Dnd1 antibody to pull down Dnd1. (J) Model of Dnd1 function at the vegetal pole. Dnd1 anchors trim36 within the vegetal cortex resulting in localized translation and vegetal accumulation of Trim36. Trim36 promotes vegetal microtubular array formation required to move and thus activate the dorsal determinants. Without Dnd1, trim36 localization is disrupted, Trim36 protein is diluted, microtubular arrays do not form; dorsal determinants remain inactive at the vegetal pole. |
|
|
Fig. S1. Selection of antisense oligos for depletion of maternal dnd1. RT-PCR showing the effects of AS-oligos (10 ng) injection on the stability of endogenous dnd1 mRNA in oocytes. |
|
|
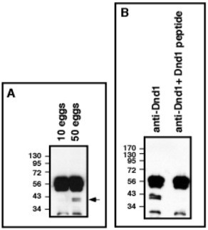
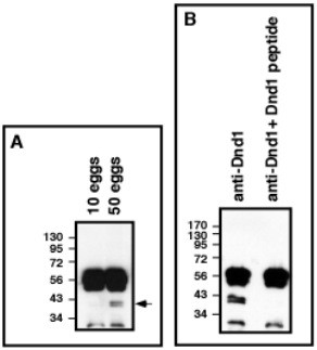
Fig. S2. Specificity of anti-Dnd1 antibody. (A) Western blot showing detection of the endogenous Dnd1 by the affinity-purified anti-Dnd1 antibody. Endogenous Dnd1 was enriched by immunoprecipitation from 10 and 50 eggs, respectively. Immunoprecipitation samples were separated on 10% SDS-PAGE and probed with the anti-Dnd1 antibody. (B) Western blot showing that endogenous Dnd1 was detected by anti-Dnd1 antibody, but not by the antibody that had been pre-absorbed with the Dnd1 peptide. |
|
|
Fig. S3. Microtubule formation. Confocal images showing microtubule formation in control (A-D) and Dnd1 depleted (E-H) embryos. Embryos were harvested at 40 minutes post-fertilization. B-D and F-H are higher magnification views of the boxed areas in A and E, respectively. |
|
|
Fig. S4. Vegetal cortical microtubule dynamics in artificially activated eggs. Oocytes were treated with progesterone to induce maturation. After GVBD, eggs were pricked with a glass needle. Activated eggs were harvested at 30 (A), 40 (B), 50 (C), 60 (D), 70 (E) and 80 (F) minutes post-pricking, and stained with an anti-Tubulin antibodies. The formation of vegetal cortical microtubules was assessed by confocal microscopy. |
|
|
Fig. S5. Effects of Dnd1 overexpression. (A) Confocal images showing the formation of vegetal cortical microtubules in control and dnd1 (500 pg) overexpressed host-transfer embryos (45 minutes post-fertilization). (B) Effect of Dnd1 overexpression on wnt11 polyadenylation. Total RNA from control and Dnd1 overexpressed embryos (eight-cell stage) was reverse transcribed with oligo dT (left) and random hexamers (dN6, right). Oligo dT- and random-primed cDNAs were used as templates for PCR with wnt11 and Emi1 primers. (C) RT-PCR showing that overexpression of dnd1 (500 pg) had no detectable effect on the expression of dorsal genes. dnd1 RNA was injected into oocytes, allowed to translate and these oocytes were used for host transfer. Resulting embryos were harvested at stage 10.5 and analyzed for expression of noggin, chordin, Xnr3,siamois and sizzled. (D) Morphology of control (blue) and Dnd1-overexpressed host-transfer embryos (red). |
|
|
Fig. S6. Knockdown of maternal Dnd1 had no effect on vegetal localization of wnt11 or VegT. (A-D) Whole-mount in situ hybridization showing the expression of wnt11 (A,B) and VegT (C,D) in control (A,C) and AS-oligo injected (B,D) eggs. A and B are vegetal views. C and D are lateral views. |
References [+] :
Aramaki,
Molecular cloning and expression of dead end homologue in chicken primordial germ cells.
2007, Pubmed,
Xenbase
Aramaki, Molecular cloning and expression of dead end homologue in chicken primordial germ cells. 2007, Pubmed , Xenbase
Black, Experimental control of the site of embryonic axis formation in Xenopus laevis eggs centrifuged before first cleavage. 1985, Pubmed , Xenbase
Black, High-frequency twinning of Xenopus laevis embryos from eggs centrifuged before first cleavage. 1986, Pubmed , Xenbase
Brannon, A beta-catenin/XTcf-3 complex binds to the siamois promoter to regulate dorsal axis specification in Xenopus. 1997, Pubmed , Xenbase
Cha, Wnt5a and Wnt11 interact in a maternal Dkk1-regulated fashion to activate both canonical and non-canonical signaling in Xenopus axis formation. 2008, Pubmed , Xenbase
Cook, Regulation of male germ cell cycle arrest and differentiation by DND1 is modulated by genetic background. 2011, Pubmed
Cook, BAX-mediated cell death affects early germ cell loss and incidence of testicular teratomas in Dnd1(Ter/Ter) mice. 2009, Pubmed
Cuykendall, Vegetally localized Xenopus trim36 regulates cortical rotation and dorsal axis formation. 2009, Pubmed , Xenbase
Darras, Animal and vegetal pole cells of early Xenopus embryos respond differently to maternal dorsal determinants: implications for the patterning of the organiser. 1997, Pubmed , Xenbase
Elinson, A transient array of parallel microtubules in frog eggs: potential tracks for a cytoplasmic rotation that specifies the dorso-ventral axis. 1988, Pubmed , Xenbase
Fan, Wnt signaling and transcriptional control of Siamois in Xenopus embryos. 1998, Pubmed , Xenbase
Fujisue, Occurrence of dorsal axis-inducing activity around the vegetal pole of an uncleaved Xenopus egg and displacement to the equatorial region by cortical rotation. 1993, Pubmed , Xenbase
Gard, Microtubule assembly in cytoplasmic extracts of Xenopus oocytes and eggs. 1987, Pubmed , Xenbase
Gerhart, Enzymes, embryos, and ancestors. 2010, Pubmed , Xenbase
Gerhart, Cortical rotation of the Xenopus egg: consequences for the anteroposterior pattern of embryonic dorsal development. 1989, Pubmed , Xenbase
Gönczy, Mechanisms of asymmetric cell division: flies and worms pave the way. 2008, Pubmed
Graindorge, Identification of post-transcriptionally regulated Xenopus tropicalis maternal mRNAs by microarray. 2006, Pubmed , Xenbase
Harland, Formation and function of Spemann's organizer. 1997, Pubmed
Heasman, Patterning the Xenopus blastula. 1997, Pubmed , Xenbase
Heasman, Patterning the early Xenopus embryo. 2006, Pubmed , Xenbase
Heasman, Fertilization of cultured Xenopus oocytes and use in studies of maternally inherited molecules. 1991, Pubmed , Xenbase
Henningfeld, Smad1 and Smad4 are components of the bone morphogenetic protein-4 (BMP-4)-induced transcription complex of the Xvent-2B promoter. 2000, Pubmed , Xenbase
Holowacz, Properties of the dorsal activity found in the vegetal cortical cytoplasm of Xenopus eggs. 1995, Pubmed , Xenbase
Horvay, Xenopus Dead end mRNA is a localized maternal determinant that serves a conserved function in germ cell development. 2006, Pubmed , Xenbase
Houliston, Evidence for the involvement of microtubules, ER, and kinesin in the cortical rotation of fertilized frog eggs. 1991, Pubmed , Xenbase
Houliston, Patterns of microtubule polymerization relating to cortical rotation in Xenopus laevis eggs. 1991, Pubmed , Xenbase
Houliston, The kinesin-related protein Eg5 associates with both interphase and spindle microtubules during Xenopus early development. 1994, Pubmed , Xenbase
Houston, Cortical rotation and messenger RNA localization in Xenopus axis formation. 2012, Pubmed , Xenbase
Jin, The 48-kDa alternative translation isoform of PP2A:B56epsilon is required for Wnt signaling during midbrain-hindbrain boundary formation. 2009, Pubmed , Xenbase
Kageura, Activation of dorsal development by contact between the cortical dorsal determinant and the equatorial core cytoplasm in eggs of Xenopus laevis. 1997, Pubmed , Xenbase
Kao, The entire mesodermal mantle behaves as Spemann's organizer in dorsoanterior enhanced Xenopus laevis embryos. 1988, Pubmed , Xenbase
Kedde, RNA-binding protein Dnd1 inhibits microRNA access to target mRNA. 2007, Pubmed
Kikkawa, Location and behavior of dorsal determinants during first cell cycle in Xenopus eggs. 1996, Pubmed , Xenbase
Knoblich, Asymmetric cell division: recent developments and their implications for tumour biology. 2010, Pubmed
Knoblich, Mechanisms of asymmetric stem cell division. 2008, Pubmed
Koebernick, Elr-type proteins protect Xenopus Dead end mRNA from miR-18-mediated clearance in the soma. 2010, Pubmed , Xenbase
Kofron, Wnt11/beta-catenin signaling in both oocytes and early embryos acts through LRP6-mediated regulation of axin. 2007, Pubmed , Xenbase
Lai, Nanos1 functions as a translational repressor in the Xenopus germline. 2011, Pubmed , Xenbase
Lai, Xenopus Nanos1 is required to prevent endoderm gene expression and apoptosis in primordial germ cells. 2012, Pubmed , Xenbase
Lam, Trans-generational epistasis between Dnd1Ter and other modifier genes controls susceptibility to testicular germ cell tumors. 2007, Pubmed
Langdon, Maternal and zygotic control of zebrafish dorsoventral axial patterning. 2011, Pubmed
Larabell, Establishment of the dorso-ventral axis in Xenopus embryos is presaged by early asymmetries in beta-catenin that are modulated by the Wnt signaling pathway. 1997, Pubmed , Xenbase
Larabell, Confocal microscopy analysis of living Xenopus eggs and the mechanism of cortical rotation. 1996, Pubmed , Xenbase
Marikawa, Relationship of vegetal cortical dorsal factors in the Xenopus egg with the Wnt/beta-catenin signaling pathway. 1999, Pubmed , Xenbase
Marikawa, Dorsal determinants in the Xenopus egg are firmly associated with the vegetal cortex and behave like activators of the Wnt pathway. 1997, Pubmed , Xenbase
McKendry, LEF-1/TCF proteins mediate wnt-inducible transcription from the Xenopus nodal-related 3 promoter. 1997, Pubmed , Xenbase
Medina, Cortical rotation is required for the correct spatial expression of nr3, sia and gsc in Xenopus embryos. 1997, Pubmed , Xenbase
Miller, Establishment of the dorsal-ventral axis in Xenopus embryos coincides with the dorsal enrichment of dishevelled that is dependent on cortical rotation. 1999, Pubmed , Xenbase
Molenaar, XTcf-3 transcription factor mediates beta-catenin-induced axis formation in Xenopus embryos. 1996, Pubmed , Xenbase
Rivera-Perez, Axial specification in mice: ten years of advances and controversies. 2007, Pubmed
Rowning, Microtubule-mediated transport of organelles and localization of beta-catenin to the future dorsal side of Xenopus eggs. 1997, Pubmed , Xenbase
Sasai, Endoderm induction by the organizer-secreted factors chordin and noggin in Xenopus animal caps. 1996, Pubmed , Xenbase
Sasai, Regulation of neural induction by the Chd and Bmp-4 antagonistic patterning signals in Xenopus. 1995, Pubmed , Xenbase
Scharf, Axis determination in eggs of Xenopus laevis: a critical period before first cleavage, identified by the common effects of cold, pressure and ultraviolet irradiation. 1983, Pubmed , Xenbase
Scharf, Determination of the dorsal-ventral axis in eggs of Xenopus laevis: complete rescue of uv-impaired eggs by oblique orientation before first cleavage. 1980, Pubmed , Xenbase
Schier, Molecular genetics of axis formation in zebrafish. 2005, Pubmed
Schroeder, Spatially regulated translation in embryos: asymmetric expression of maternal Wnt-11 along the dorsal-ventral axis in Xenopus. 1999, Pubmed , Xenbase
Schroeder, Organization and regulation of cortical microtubules during the first cell cycle of Xenopus eggs. 1992, Pubmed , Xenbase
Shi, Heme metabolism enzymes are dynamically expressed during Xenopus embryonic development. 2008, Pubmed , Xenbase
Slanchev, Control of Dead end localization and activity--implications for the function of the protein in antagonizing miRNA function. 2009, Pubmed
Sokol, Wnt signaling and dorso-ventral axis specification in vertebrates. 1999, Pubmed
Steinbeisser, The role of gsc and BMP-4 in dorsal-ventral patterning of the marginal zone in Xenopus: a loss-of-function study using antisense RNA. 1995, Pubmed , Xenbase
Tam, Building the mouse gastrula: signals, asymmetry and lineages. 2006, Pubmed
Tao, Maternal wnt11 activates the canonical wnt signaling pathway required for axis formation in Xenopus embryos. 2005, Pubmed , Xenbase
Weaver, Move it or lose it: axis specification in Xenopus. 2004, Pubmed , Xenbase
Weaver, GBP binds kinesin light chain and translocates during cortical rotation in Xenopus eggs. 2003, Pubmed , Xenbase
Weeks, A maternal mRNA localized to the vegetal hemisphere in Xenopus eggs codes for a growth factor related to TGF-beta. 1987, Pubmed , Xenbase
Weidinger, dead end, a novel vertebrate germ plasm component, is required for zebrafish primordial germ cell migration and survival. 2003, Pubmed , Xenbase
Wessely, The Xenopus homologue of Bicaudal-C is a localized maternal mRNA that can induce endoderm formation. 2000, Pubmed , Xenbase
White, Maternal control of pattern formation in Xenopus laevis. 2008, Pubmed , Xenbase
Yang, PP2A:B56epsilon is required for Wnt/beta-catenin signaling during embryonic development. 2003, Pubmed , Xenbase
Yang, Beta-catenin/Tcf-regulated transcription prior to the midblastula transition. 2002, Pubmed , Xenbase
Youngren, The Ter mutation in the dead end gene causes germ cell loss and testicular germ cell tumours. 2005, Pubmed
Zhu, The role of dead-end in germ-cell tumor development. 2007, Pubmed
