XB-ART-46797
Proc Natl Acad Sci U S A
2013 Apr 02;11014:5528-33. doi: 10.1073/pnas.1219124110.
Show Gene links
Show Anatomy links
Pax3 and Zic1 drive induction and differentiation of multipotent, migratory, and functional neural crest in Xenopus embryos.
Milet C, Maczkowiak F, Roche DD, Monsoro-Burq AH.
???displayArticle.abstract???
Defining which key factors control commitment of an embryonic lineage among a myriad of candidates is a longstanding challenge in developmental biology and an essential prerequisite for developing stem cell-based therapies. Commitment implies that the induced cells not only express early lineage markers but further undergo an autonomous differentiation into the lineage. The embryonic neural crest generates a highly diverse array of derivatives, including melanocytes, neurons, glia, cartilage, mesenchyme, and bone. A complex gene regulatory network has recently classified genes involved in the many steps of neural crest induction, specification, migration, and differentiation. However, which factor or combination of factors is sufficient to trigger full commitment of this multipotent lineage remains unknown. Here, we show that, in contrast to other potential combinations of candidate factors, coactivating transcription factors Pax3 and Zic1 not only initiate neural crest specification from various early embryonic lineages in Xenopus and chicken embryos but also trigger full neural crest determination. These two factors are sufficient to drive migration and differentiation of several neural crest derivatives in minimal culture conditions in vitro or ectopic locations in vivo. After transplantation, the induced cells migrate to and integrate into normal neural crest craniofacial target territories, indicating an efficient spatial recognition in vivo. Thus, Pax3 and Zic1 cooperate and execute a transcriptional switch sufficient to activate full multipotent neural crest development and differentiation.
???displayArticle.pubmedLink??? 23509273
???displayArticle.pmcLink??? PMC3619367
???displayArticle.link??? Proc Natl Acad Sci U S A
Species referenced: Xenopus
Genes referenced: actl6a cdh1 cdh2 eef1a2 ets1 etv2 fn1 foxd3 gal.2 h2bc21 hes4 id3 mrc1 msx1 myc pax3 runx2 snai1 snai2 sox10 sox8 sox9 tfap2a th twist1 zic1 zic5
???displayArticle.disOnts??? Waardenburg syndrome
???attribute.lit??? ???displayArticles.show???
|
|
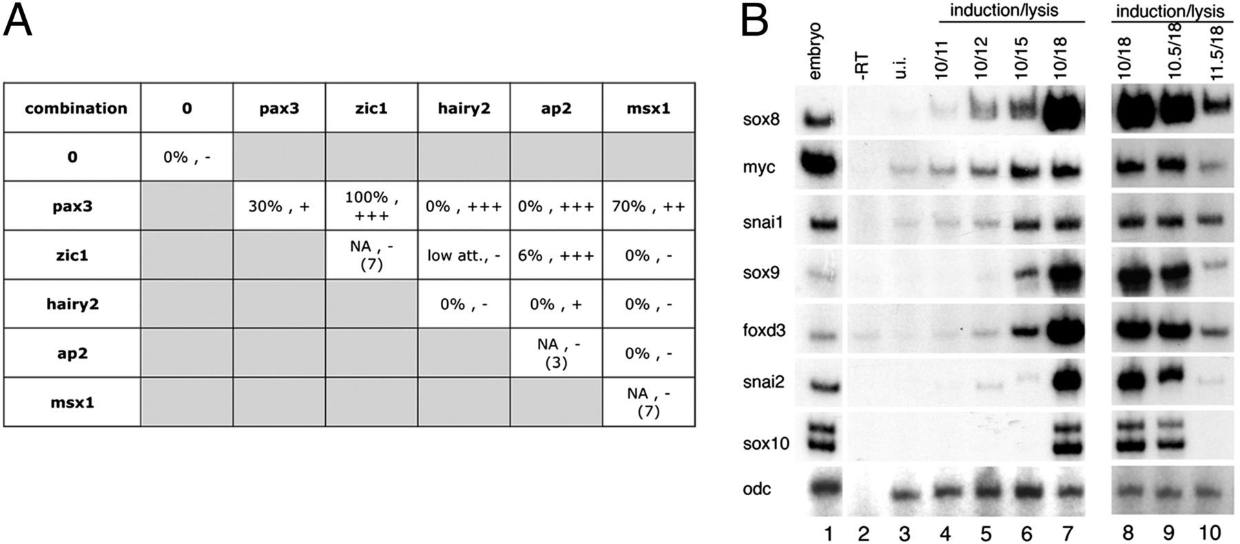
Fig. 2. Pax3/Zic1 is the best combination to induce NC specification in vitro with a time schedule reflecting the steps of induction in vivo. (A) Comparison of neural border specifiers� combinations in NC induction and emigration from ectoderm. Neural border specifiers, which expand the NC domain in vivo, were tested for initiating NC specification (indicated by snail2 induction) and delamination in �animal cap� prospective ectoderm explants. Delamination was analyzed after plating the explants onto a fibronectin substratum. Ten different combinations of the main five neural border specifiers (pax3, zic1, msx1, ap2, and hairy2) were tested. Results were scored as follows: percent of explants showing delamination (an average of 15 explants per condition was analyzed); relative levels of snail2 induction (from 24 explants per condition) compared with the maximal induction observed using quantitative RT-PCR: −, value ≤ 25%; +, 25% < value ≤ 50%; ++, 50% < value ≤ 75%; +++, value ≥ 75%. Single injections were analyzed for pax3 and hairy2, because they had not been described for snail2 induction in ectoderm explants before. att, attachement; NA, not analyzed. (B) RT-PCR analysis was done after induction and lysis at various time points during gastrulation and neurulation for the following NC specifiers: snail2, foxd3, sox8, 9, and 10, myc, and snail1. When induction was done at stage 10 and lysis at increasing developmental time points during gastrulation and neurulation (stages 11, 12, 15, and 18), appearance of NC specifiers followed the sequential appearance described in vivo. Similarly, when induction was done at various times during gastrulation (stages 10, 10.5, and 11.5) and lysis was done at stage 18, responsiveness drastically decreased, indicating the same stage limit in ectoderm competence as described in vivo. Lane 1, uninjected whole embryo; lane 2, − reverse transcriptase (RT) control; lane 3, uninjected ectoderm; induction/lysis, stage of dexamethasone addition/stage of analysis. |
|
|
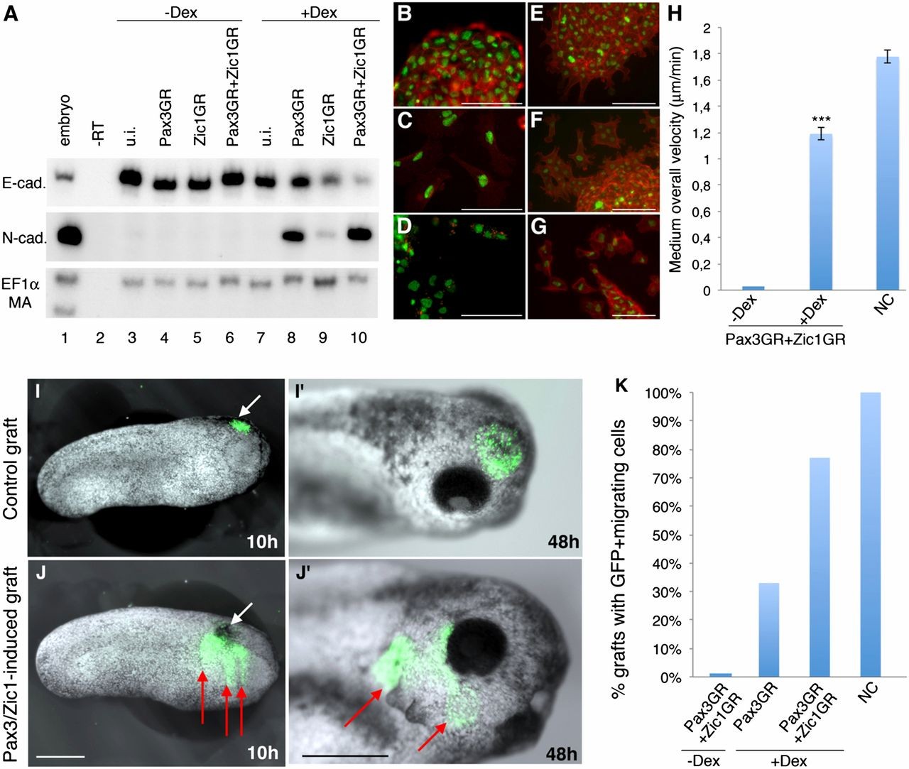
Fig. 3. Pax3/Zic1-induced ectoderm displays cadherin switch and migratory activity in vitro and migrates in vivo. (A) n- and e-cadherin expression was analyzed by RT-PCR on explants induced at gastrula stage 10 and lysed at neurula stage 18. Low e-cadherin and high n-cadherin mark the Pax3/Zic1-induced ectoderm. Lane 1, uninjected whole embryo; lane 2, −RT control; lanes 3 and 7, uninjected ectoderm; −Dex, ethanol-treated Pax3GR/Zic1GR-injected ectoderm; +Dex, dexamethasone-treated Pax3GR/Zic1GR-injected ectoderm. (B�H) Using histone2b-GFP mRNA coinjections, we plated either Pax3GR/Zic1GR/GFP-injected ectoderm (B and E; uninduced controls; C and F; induced explants) or GFP-labeled NC (D and G) at stage 18 on fibronectin-coated plates. NC and Pax3/Zic1-induced (+Dex) cells attached, spread, and exhibited EMT. E-cadherin was prominent at cell junctions in uninduced explants, whereas actin staining showed numerous protrusions in both NC and induced explants. Videomicroscopy (H) indicated that individual cells actively migrated outside of the Pax3/Zic1-induced ectoderm, albeit slightly slower than control NC cells (t test: P < 0.0001; error bars: SEM). Uninduced cells (−Dex) did not migrate. (Scale bars: 100 μm.) (I�K) When grafted into the cranial NC territory, the control (−Dex) explants integrated the ectoderm and remained at the graft site (I and I′; 0% migration, n = 24, white arrow), whereas the induced (+Dex) ectoderm actively migrated along the normal NC migration paths a few hours postgrafting (J and J′; 77%, n = 70, red arrows) when host NC was both present and fully ablated. Pax3GR-only injected grafts exhibited some but less-efficient migration (K). (Scale bars: 500 μm.) |
|
|
Fig. 4. Pax3/Zic1-induced ectoderm differentiates into multiple NC derivatives in vitro. (A�C) We have grown the control (A) and induced (B) explants in 3/4 NAM or 1/3 MMR without any supplements (except for gentamicin) for several days (6�8 d at 15 �C), from late neurula stage 18 to swimming tadpole stage 41 (differentiation stage). Melanocytes differentiated into the induced (B) but not the control (A) explants. (C) RT-PCR analysis showed that markers for various NC derivatives were expressed when both WT and inducible pax3 and zic1 were coinjected. Lanes 1 and 7, uninjected whole embryo; lanes 2 and 8, −RT control; lanes 3 and 9, uninjected explant; −Dex, ethanol-treated Pax3GR/Zic1GR-injected explants; +Dex, dexamethasone-treated Pax3GR/Zic1GR-injected explants. (D�I) Using histone2b-GFP mRNA coinjections, we plated control ectoderm (D and G), Pax3GR/Zic1GR-induced ectoderm (E and H), or GFP-labeled NC (F and I) on fibronectin-coated plates after the initial induction in 3/4 NAM in vitro. The cells were grown either in 3/4 NAM for 3�4 d or switched to Neurobasal/B27 medium after 1 d on fibronectin. In 3/4 NAM, only NC formed neurites (F; red, antineurofilament immunostaining). When Neurobasal/B27 medium was added, both NC and Pax3GR/Zic1GR-induced cells formed neurites (H and I), whereas the uninduced cells did not (G). |
|
|
Fig. 5. Pax3 and Zic1 ectopic coactivation induces NC-like differentiation in prospective ventral ectoderm and endoderm. (A�C) Pax3GR/Zic1GR/β-gal mRNAs coinjections were targeted to the prospective ventral epidermis (B Inset; blastomere V1.1) or the prospective endoderm (C Inset; vegetal V2.2/3d blastomere) in 16-cell stage blastulas. Dexamethasone activation was performed at the 32-cell stage. Stage 41-injected tadpoles exhibit ectopic melanocytes in the ventral ectoderm (B) and endoderm (C), respectively (white arrows) compared with control siblings (A). (D�O) After β-gal staining to localize the injected area (red), these tadpoles were stained for various NC markers (WISH; purple-blue staining) and sectioned. In tadpoles injected into both the prospective ventral epidermis and the prospective endoderm, we observed ectopic staining for neural tubulin (E and F), TH (H and I), sox10 (K and L), and sox9 (N and O) compared with control uninjected embryos (D, G, J, and M). (Scale bars: A�C, 1 mm; D�O, 100 μm.) |
|
|
Fig. 6. Pax3/Zic1-induced ectoderm differentiates into multiple cranial NC derivatives in vivo. Embryos were grafted orthotopically as previously described (Figs. 1 and 3) and grown until stage 41. Although control GFP+ cells (i.e., ethanol-treated Pax3GR/Zic1GR/H2bGFP-injected cells) integrated the skin (A), induced GFP+ cells (i.e., dexamethasone-treated Pax3GR/Zic1GR/H2bGFP-injected cells) formed melanocytes (B Inset; note adjacent black melanosome and GFP+ nucleus) and migrated into deeper (thus out of focus) locations dorsally, around the eye, and into the branchial arches (B, stage 45; C, stage 35). Scheme of a stage-41 tadpole head in transverse section (D), indicating the location of the three NC-type derivatives found in operated embryos (shown in B and E�H). Transverse head sections processed with sox9 in situ hybridization and anti-GFP immunostaining analysis show GFP+ fibroblasts in the maxillary mesenchyme (D, 2 and E) and GFP+ Meckel�s cartilage (D, 3, F, and G) on the grafted side but only sox9+/GFP− cartilage on the contralateral control side (H). (Scale bars: A�C, 500 μm; E�H, 100 μm.) |
|
|
Fig. S1. Pax3/Zic1 ectopic activation triggers NC induction in ventral ectoderm in frog embryos and extra embryonic ectoderm in chicken embryos. (A�D) To target the ventral ectoderm in Xenopus embryos, we have performed injections into the prospective ventral epidermis (i.e., blastomere V1.1 in 16-cell stage blastulas) opposite from the prospective neural plate region relative to the animal pole. We have then activated the inducible Pax3 and Zic1 proteins as early as the 32-cell stage. The embryos were analyzed at neurula stage 18: snail2 was robustly activated in the injected ventral ectoderm (traced with red nuclear β-gal staining). This result indicates that the 32-cell stage prospective ventral ectoderm responds like the late blastula stage animal cap to Pax3/Zic1 activation by initiating the NC developmental program. (E�K′) In chicken embryos, from late blastula to early gastrula stage, the margin between the area opaca and the area pellucida is competent for ectopic neural plate induction (1�3). We have, thus, tested the ability of Pax3 and Zic1 coelectroporation to activate the NC program in this area using targeted electroporation of late blastula [st2 Hamburger�Hamilton stage (HH)] to early gastrula stage chicken embryos (st3HH and 4HH) as described in ref. 4 (E). The embryos were then cultivated overnight, and early NC marker expression was analyzed by WISH. Compared with control embryos (F, F′, I, and I′), Pax3/Zic1-electroporated embryos exhibited snail2- and foxd3-positive cells in the electroporated areas (G�H′ and J�K′), mostly in the area opaca and sometimes in the area pellucida. This result indicates that, in response to Pax3 and Zic1 activation, the extra embryonic ectoderm also initiates NC development. |
|
|
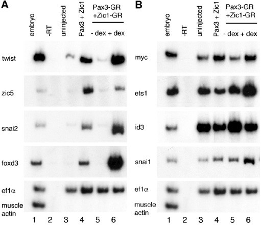
Fig. S2. WT and inducible Pax3 and Zic1 activate NC specification similarly. We found that WT Pax3 and Zic1 as well as dexamethasone-activable Pax3 and Zic1 fusions regulated early NC markers expression similarly, including de novo induction of key NC specifiers (A; sox8-9-10, snai2, foxd3, zic5, and twist) and maintenance or increased expression of NC specifiers already present in the uninjected ectoderm (B; snai1, id3, ets1, and myc). Explants injected with Pax3GR and Zic1GR fusions were treated with dexamethasone at stage 10 and lysed for RT-PCR analysis at stage 18. We have, thus, used the inducible constructs for additional experiments. Elongation factor 1a (Ef1a) serves as a loading control. |
|
|
Fig. S5. Pax3/Zic1-induced ectoderm cells undergo a morphological neuronal differentiation in vitro after addition of neurobasal/B27 medium, whereas Msx1 does not potentiate spontaneous neuron differentiation. Using histone2b-GFP mRNA coinjections, we plated H2bGFP-injected ectoderm explants (A and B), Pax3GR/Zic1GR/H2bGFP-injected ectoderm explants (C and D), or H2bGFP-labeled NC (I and J) at stage 18 on fibronectin-coated plates. In 3/4 NAM, only NC differentiated into neurofilament-positive neurons after 3�4 d of culture (red staining, immunocytofluorescence,; A, C, and I). To test if additional factors might improve neuron formation from Pax3/Zic1-induced ectoderm, we coinjected H2b-GFP and Msx1 mRNA with Pax3GR or Pax3GR/Zic1GR (E and G; five independent experiments). On average, the Pax3GR/Msx1 explants attached well on fibronectin when scored after 24 h (65%, n = 110) but less efficiently than the Pax3/Zic1 explants (92%, n = 106). However, the Pax3/Msx1 explants did not remain attached well long term (between 3 and 4 d of culture). Neuron differentiation was analyzed on the remaining explants. Neither the Pax3GR/Msx1 nor the Msx1/Pax3GR/ZicGR cells elicited spontaneous neuronal differen- tiation in 3/4 NAM (E and G). In contrast, when neurobasal medium complemented with B27 was added, NC-, Pax3GR/Zic1GR-, Pax3GR/Msx1-, and Pax3GR/ Zic1GR/Msx1-induced cells all formed neurofilament-positive neurons (D, F, H, and J). Thus, Pax3/Zic1-induced ectoderm has the potential to form neurons in the presence of additional factors that are not provided by activating Msx1 expression. |
|
|
Fig. S6. Pax3 and Zic1 coactivation induces the formation of NC derivatives ectopically in ventral ectoderm and endoderm. (A�C) Sixteen-cell stage blastulas were injected with Pax3GR/Zic1GR/β-gal mRNAs in the prospective ventral epidermis (B Inset; blastomere V1.1) or the prospective endoderm (B Inset; vegetal V2.2/3d blastomere). The inducible proteins were activated at the 32-cell stage. Embryos were aged to stage 41. Compared with control siblings (A), swimming tadpoles exhibited numerous ectopic melanocytes in the ventral ectoderm (B) and ectopic pigmented tissue in the endoderm (C; white arrows). (D�R′) The injected area was traced using red β-gal staining before the tadpoles were subjected to WISH using probes for various NC derivatives (purple-blue staining) and sectioned. (D�R) Sections at low magnification are shown to locate the injected area. Black boxes indicate regions chosen for higher magnification (D′�R′). In tadpoles injected in both the prospective ventral epidermis and the prospective endoderm, we observed ectopic staining for neural tubulin (E and F), tyrosine hydroxylase (th; H and I), sox10 (K and L), and sox9 (N and O) compared with uninjected control embryos (D, G, J, and M). We also observed weak ectopic runx2 staining (R and R′). (Scale bars: A�C, 1 mm; D�R′, 100 μm.) |
|
|
Fig. S7. NC ablation generates severe craniofacial defects that are rescued by NC backgrafting in vivo. Neurula stage 18 GFP+-labeled premigratory NC was taken from a GFP-injected embryo and backgrafted into a host embryo, from which all cranial NCs were ablated at stages 17�18. (A�C) Grafted NC cells actively migrated and populated the mandibular stream, and they were found until tadpole stage 41. (D and E) Ablating the NC resulted in dramatic failure of face and eye development (E; note the cement gland developing adjacent to the eye) resulting from lack of NC populating craniofacial areas (compare with control embryo in D). In contrast, the grafted NC cells efficiently restored eye and craniofacial structures development (C and F). |
|
|
Fig. S8. Pax3/Zic1-induced cells form melanocytes in vivo. Control (injected but not activated) explants (A�E) were analyzed at swimming tadpole stages 41� 45. Control grafted cells developed as pavimental epithelium in the host (A�D; four different cases) in the most superficial layer of the skin (E; transverse section with GFP immunostaining in blue, red arrows). In contrast, the induced explants (F�J) formed numerous melanocytes, evidenced by their black (melanin-containing) melanosome adjacent to the GFP-labeled nucleus (F�I; red arrows). GFP immunostaining shows the nuclei of the grafted cells in the inner skin layer adjacent to melanosomes on transverse sections (J; red arrows). |
References [+] :
Aybar,
Snail precedes slug in the genetic cascade required for the specification and migration of the Xenopus neural crest.
2003, Pubmed,
Xenbase
Aybar, Snail precedes slug in the genetic cascade required for the specification and migration of the Xenopus neural crest. 2003, Pubmed , Xenbase
Balak, Neural cell adhesion molecule expression in Xenopus embryos. 1987, Pubmed , Xenbase
Basch, Specification of the neural crest occurs during gastrulation and requires Pax7. 2006, Pubmed
Betancur, Assembling neural crest regulatory circuits into a gene regulatory network. 2010, Pubmed
Bialek, A twist code determines the onset of osteoblast differentiation. 2004, Pubmed
Corry, Pax3 target gene recognition occurs through distinct modes that are differentially affected by disease-associated mutations. 2005, Pubmed
de Crozé, Reiterative AP2a activity controls sequential steps in the neural crest gene regulatory network. 2011, Pubmed , Xenbase
García-Castro, Ectodermal Wnt function as a neural crest inducer. 2002, Pubmed
Hong, The activity of Pax3 and Zic1 regulates three distinct cell fates at the neural plate border. 2007, Pubmed , Xenbase
Hornyak, Transcription factors in melanocyte development: distinct roles for Pax-3 and Mitf. 2001, Pubmed
Kolm, Efficient hormone-inducible protein function in Xenopus laevis. 1995, Pubmed , Xenbase
Kos, The winged-helix transcription factor FoxD3 is important for establishing the neural crest lineage and repressing melanogenesis in avian embryos. 2001, Pubmed
Kuhlbrodt, Sox10, a novel transcriptional modulator in glial cells. 1998, Pubmed
Kumasaka, Isolation and developmental expression of tyrosinase family genes in Xenopus laevis. 2003, Pubmed , Xenbase
Lang, Pax3 is required for enteric ganglia formation and functions with Sox10 to modulate expression of c-ret. 2000, Pubmed
Li, The posteriorizing gene Gbx2 is a direct target of Wnt signalling and the earliest factor in neural crest induction. 2009, Pubmed , Xenbase
Luo, Induction of neural crest in Xenopus by transcription factor AP2alpha. 2003, Pubmed , Xenbase
Mancilla, Neural crest formation in Xenopus laevis: mechanisms of Xslug induction. 1996, Pubmed , Xenbase
Milet, Neural crest induction at the neural plate border in vertebrates. 2012, Pubmed , Xenbase
Monsoro-Burq, Msx1 and Pax3 cooperate to mediate FGF8 and WNT signals during Xenopus neural crest induction. 2005, Pubmed , Xenbase
Monsoro-Burq, Neural crest induction by paraxial mesoderm in Xenopus embryos requires FGF signals. 2003, Pubmed , Xenbase
Monsoro-Burq, A rapid protocol for whole-mount in situ hybridization on Xenopus embryos. 2007, Pubmed , Xenbase
Moody, Fates of the blastomeres of the 32-cell-stage Xenopus embryo. 1987, Pubmed , Xenbase
Mori-Akiyama, Sox9 is required for determination of the chondrogenic cell lineage in the cranial neural crest. 2003, Pubmed
Nichane, Hairy2-Id3 interactions play an essential role in Xenopus neural crest progenitor specification. 2008, Pubmed , Xenbase
O'Donnell, Functional analysis of Sox8 during neural crest development in Xenopus. 2006, Pubmed , Xenbase
Paratore, Survival and glial fate acquisition of neural crest cells are regulated by an interplay between the transcription factor Sox10 and extrinsic combinatorial signaling. 2001, Pubmed
Pattyn, The homeobox gene Phox2b is essential for the development of autonomic neural crest derivatives. 1999, Pubmed
Pegoraro, Signaling and transcriptional regulation in neural crest specification and migration: lessons from xenopus embryos. 2013, Pubmed , Xenbase
Sachinidis, Cardiac specific differentiation of mouse embryonic stem cells. 2003, Pubmed
Sato, Neural crest determination by co-activation of Pax3 and Zic1 genes in Xenopus ectoderm. 2005, Pubmed , Xenbase
Strobl-Mazzulla, Histone demethylase JmjD2A regulates neural crest specification. 2010, Pubmed
Theveneau, Collective cell migration of the cephalic neural crest: the art of integrating information. 2011, Pubmed
Theveneau, Collective chemotaxis requires contact-dependent cell polarity. 2010, Pubmed , Xenbase
Thomas, FOXD3 regulates the lineage switch between neural crest-derived glial cells and pigment cells by repressing MITF through a non-canonical mechanism. 2009, Pubmed
Wheelock, Cadherin switching. 2008, Pubmed
Yamanaka, Nuclear reprogramming to a pluripotent state by three approaches. 2010, Pubmed
Young, A single rostrocaudal colonization of the rodent intestine by enteric neuron precursors is revealed by the expression of Phox2b, Ret, and p75 and by explants grown under the kidney capsule or in organ culture. 1998, Pubmed
