XB-ART-46654
PLoS One
2013 Jan 01;82:e55974. doi: 10.1371/journal.pone.0055974.
Show Gene links
Show Anatomy links
Cloning and functional characterization of novel variants and tissue-specific expression of alternative amino and carboxyl termini of products of slc4a10.
Liu Y, Wang DK, Jiang DZ, Qin X, Xie ZD, Wang QK, Liu M, Chen LM.
???displayArticle.abstract???
Previous studies have shown that the electroneutral Na(+)/HCO(3) (-) cotransporter NBCn2 (SLC4A10) is predominantly expressed in the central nervous system (CNS). The physiological and pathological significances of NBCn2 have been well recognized. However, little is known about the tissue specificity of expression of different NBCn2 variants. Moreover, little is known about the expression of NBCn2 proteins in systems other than CNS. Here, we identified a set of novel Slc4a10 variants differing from the originally described ones by containing a distinct 5' untranslated region encoding a new extreme amino-terminus (Nt). Electrophysiology measurements showed that both NBCn2 variants with alternative Nt contain typical electroneutral Na(+)-coupled HCO(3) (-) transport activity in Xenopus oocytes. Luciferase reporter assay showed that Slc4a10 contains two alternative promoters responsible for expression of the two types of NBCn2 with distinct extreme Nt. Western blotting showed that NBCn2 proteins with the original Nt are primarily expressed in CNS, whereas those with the novel Nt are predominantly expressed in the kidney and to a lesser extent in the small intestine. Due to alternative splicing, the known NBCn2 variants contain two types of carboxyl-termini (CT) differing in the optional inclusion of a PDZ-binding motif. cDNA cloning showed that virtually all NBCn2 variants expressed in epithelial tissues contain, but the vast majority of those from the neural tissues lack the PDZ-binding motif. We conclude that alternative transcription and splicing of Slc4a10 products are regulated in a tissue-specific manner. Our findings provide critical insights that will greatly influence the study of the physiology of NBCn2.
???displayArticle.pubmedLink??? 23409100
???displayArticle.pmcLink??? PMC3567025
???displayArticle.link??? PLoS One
???displayArticle.grants??? [+]
Species referenced: Xenopus
Genes referenced: cyp26a1 slc4a10 tbl1x tff3.7
???attribute.lit??? ???displayArticles.show???
|
|
Figure 2. Sequence alignment of novel NBCn2 from different species.(A) Alignment of the 3′-portion of exon 2 of mouse Slc4a10 and homologous exons of SLC4A10 from other species. The two vertical gray bars indicate the two potential start codons for translation. An “A” to “G” transition mutation occurs in the first “ATG” codon in mouse Slc4a10. Note that shown here is the sequence derived from mouse strain C57BL/6J. An analysis on the genomic sequence (accession# AAHY01016664.1) showed that this same mutation is also present in Slc4a10 from mouse strain 129X1/SvJ. Also note that, compared to the non-rodent species, a “TGT” insertion (underlined) occurs in mouse and rat following the first start codon. (B) Alignment of the predicted amino-acid sequences of the novel Nt of NBCn2 encoded by exon 2 of SLC4A10 from different species. The alignments of DNA and amino-acid sequences were performed with multiple sequence alignment tool ClustalW2 from the European Bioinformatics Institute (http://www.ebi.ac.uk/Tools/msa/clustalw2/) followed by a manual adjustment. The asterisks “*” indicate positions of fully conserved residue. The colons “:” indicate conservation between groups of strongly similar properties, whereas the periods “.” indicate conservation between groups of weakly similar properties. (C) Phylogenetic tree based upon the DNA sequence alignment shown in panel A. |
|
|
Figure 3. Diagram of primary structures of NBCn2 variants.The unique portion (16 aa) of the MEIK-NBCn2 Nt are represented in blue. The unique Nt of novel rat and mouse NBCn2 variants are represented in green. Compared to mouse, the rat novel Nt contains an additional extension of 13 aa residues (see Figure 2B). Insert A (30 aa, orange) is encoded by exon 9 in Figure 1A. The unique long Cts (21 aa, indicated by yellow) of NBCn2-C, -D, -G, and -H contain a PDZ-binding motif “ETCL”. The unique sequences of the two non-PDZ-Ct are indicated at the right end. Ala256 (position 256 relative to the first Met of MEIK-NBCn2) may be omitted in MEIK-NBCn2 [25] as well as the novel NBCn2 variants identified in the present study (i.e., rat NBCn2-F and rat NBCn2-H). The diagram was drawn to scale (scale bar: 100 aa). The sequence alignment was based on human NBCn2-A (accession# NP_071341), human NBCn2-B (#AAQ83632), rat NBCn2-C (#AAO59639), mouse NBCn2-D (#ADX99207), rat NBCn2-E (#AFP48940), rat NBCn2-F (#AFP48941), rat NBCn2-G (#AFP48942), rat NBCn2-H (#AFP48943), mouse NBCn2-I (#AFQ60533), mouse NBCn2-J(#AFN27376). |
|
|
Figure 4. Variations and alternative splicing of exon 27 (insert B).Originally described to contain 39 nt [15], the new insert B contains 60 nt and can be spliced by four different mechanisms, leading to the expression of four different NBCn2 Ct. The diagram shows the exon structures encoding the four types of NBCn2 Ct. The unique Ct amino-acid sequences are shown at the right end of each transcript. Insert B contains two stop codons (indicated by stars). Splicing-in of the 17-nt insert B leads to expression of the short “RS” Ct using the second stop codon. Splicing-in of either the 39-nt or the 60-nt insert B leads to the expression—using the first stop codon—of two NBCn2 Ct, both ending with an “SSPS” motif but differing in the presence/absence of a 7-aa cassette “RLHSFAI”. Finally, skipping of the entire exon extends the open reading frame to exon 28, resulting in the expression of the longest NBCn2 Ct containing a PDZ-binding motif “ETCL”. The numbers in the boxes indicate the length of insert B. |
|
|
Figure 5. Functional characterization of NBCn2 variants.The oocytes were superfused with nominally HCO3−-free ND96. An acid load was introduced by exposing the cells to 1.5% CO2/10 mM HCO3− which was followed by a removal of extracellular Na+. Intracellular pH and membrane potential Vm of the oocytes were simultaneously recorded with microelectrodes. Representative recordings of pHi and Vm are shown for rNBCn2-C-EGFP (A), rNBCn2-G-EGFP (B), rNBCn2-GΔNt-EGFP (C), and H2O-injected control oocyte (D). (E) Summary of pHi recovery rates (dpHi/dt) of oocytes expressing NBCn2 variants/mutant or injected with H2O. The dpHi/dt of NBCn2-expressing oocytes are all significantly different from that of H2O-injected control oocytes. |
|
|
Figure 6. Characterization of mouse Slc4a10 promoters.(A) Diagram of the minimal promoter regions of mouse Slc4a10. Slc4a10 contains two alternative promoters: the distal P1 and the proximal P2. Shown here are only the first three exons (E1–E3) of Slc4a10. The gray areas indicate the coding regions of the exons. The numbers indicate the nucleotide positions relative to the start codon “ATG”, with “−1” representing the first nucleotide upstream of the start codon encoding “MEIK” or “MQPG” of mouse NBCn2. The arrows indicate the transcription initiation site. The connections between the exons indicate the splicing of Slc4a10 transcripts produced from the alternative promoters. Exon 2 is omitted in the mature Slc4a10 transcripts produced from P1. (B) Characterization of the distal promoter (P1) expressing mMEIK-NBCn2. (C) Characterization of the proximal promoter (P2) expressing mMQPG-NBCn2. For transcription activity assay, the genomic sequence was subcloned into pGL3 vector containing firefly luciferase reporter gene. The constructs with “R” indicate that the corresponding sequences were subcloned into pGL3 in reverse direction. A plasmid containing the renilla luciferase gene was simultaneously transfected with pGL3 containing the firefly luciferase gene. The ratios of the fluorescence intensity of firefly to that of renilla were used as indices of the transcription activities. Each bar represents the mean of at least three independent experiments. Quadruplicates were prepared for each construct in each experiment. |
|
|
Figure 7. Quantitative PCR analysis of the relative abundances of transcripts encoding mMEIK-NBCn2 and mMQPG-NBCn2 in mouse brain.(A) Representative amplification plot of qPCR for the transcripts encoding the total of mMEIK-NBCn2 in mouse brain. (B) Representative amplification plot of qPCR for the transcripts encoding the total of mMQPG-NBCn2 in mouse brain. (C) Summary of threshold cycles (CT) for mMEIK-NBCn2 and mMQPG-NBCn2. The amplification efficiencies were 91.7±2.4% (n = 5) for mMEIK-NBCn2, and 93.1±3.5% (n = 5) for mMQPG-NBCn2, p = 0.76 by student's t-test. The data in panel C represent the summarized CT for the undiluted cDNA samples obtained from four experiments like those shown in panels A and B. ΔRn: normalized reporter signal of qPCR products subtracted by the background signal. Two-tailed student's t-test was performed for statistical comparison between the amplification efficiencies and CT values of mMEIK- vs. mMQPG-NBCn2. |
|
|
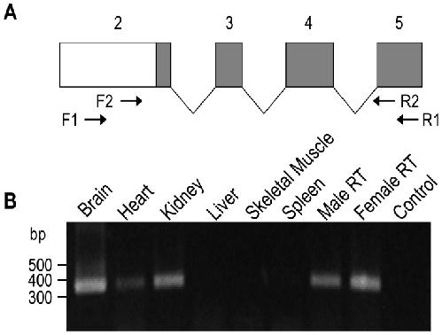
Figure 8. Expression of transcripts encoding novel NBCn2 variants in mouse tissues.(A) Diagram to show the first four exons of the transcripts encoding the novel NBCn2 variants. Exon numbers (consistent with the numbering in Figure 1A) are marked on the top. The open area of the bar indicates the non-coding region of exon 2, whereas the gray areas represent the coding regions. The arrows indicate the approximate locations of the two sets of primers used for the nested RT-PCR. (B) RT-PCR analysis of transcripts encoding the novel NBCn2 variants in mouse tissues. By nested RT-PCR, a product of ∼340 bp was obtained from the brain, heart, kidney, male as well as female reproductive tract (RT) tissues. The male RT represented the mixture of testis and epididymis. The female RT represented the mixture of ovary, uterus, and vagina. H2O was used as template for control. |
|
|
Figure 9. Validation of polyclonal antibodies, expression and deglycosylation of NBCn2 in kidney.(A) Validation of NBCn2 antibodies by western blotting with GST-fusion proteins. The whole lysate of bacteria expressing the GST-fusion proteins were separated by two parallel 10% SDS-PAGE, and transferred onto two PVDF membranes. (B) Validation of anti-MCDL by western blotting with the protein preparations from rat kidney. The lane “Total” represents 300 µg of whole lysate, whereas the “Membrane” and “Soluble” represent the pellet and supernatant obtained from an amount of whole lysate equivalent to that loaded in lane “Total”. (C) Deglycosylation of NBCn2 proteins expressed in rat kidney. The protein preparations were treated in the presence or absence of Glycopeptidase F (GPF). In the experiments for panels B and C, the proteins were separated on 8% SDS-PAGE. All antibodies were used at a dilution of 1∶5000. |
|
|
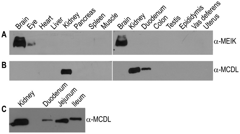
Figure 10. Expression of NBCn2 proteins in rat tissues.(A) Expression of NBCn2 with the originally described Nt in rat tissues. (B&C) Expression of NBCn2 with the novel Nt in rat tissues. For each tissue, equal amount (50 µg) of membrane proteins were separated on 8% SDS-PAGE, and blotted onto PVDF membrane. Two parallel blots were simultaneously prepared, and probed with anti-MEIK or anti-MCDL at a dilution of 1∶5000. |
|
|
Figure 11. Tissue-specificity of expression of transcripts encoding mouse NBCn2 variants with alternative Ct.(A) Exon structures of the Ct portion of NBCn2 variants. The transcripts encoding NBCn2 with non-PDZ-Ct contain insert B (exon 27), whereas those encoding NBCn2 with PDZ-Ct lack insert B. The exon numbers (consistent with the numbering in Figure 1A) are indicated on the top of each box. The gray bars represent the coding regions, whereas the open boxes represent the UTRs. The arrows indicate the primers used in the RT-PCR analysis. (B) RT-PCR analysis of the expression of insert B in brain tissues. (C) RT-PCR analysis of the expression of insert B in the kidney, male as well as female reproductive tract (RT). The female reproductive tract included the mixture of the ovary, uterus, and vagina. The male reproductive tract included the mixture of the testis, epididymis, and vas deferens. The PCR products obtained with a plasmid containing mouse NBCn2-A (with insert B) or NBCn2-C (lacking insert B) were served as MW markers. |
|
|
Figure 1. Cloning of novel NBCn2 variants.(A) Structure of the updated mouse Slc4a10 gene. The updated mouse Slc4a10 contains 28 exons (represented by vertical bars), among which the 2nd was newly identified in the present study. The white areas of the bars represent the UTRs. The exon numbers are indicated on the top of the bars. The two triangles indicate the two major cassette exonsâexon 9 (insert A) and exon 27 (insert B)âthat can be alternatively spliced in or out. Arrows a and b indicate the approximate positions of the anti-sense primers used for the 5â²-RACE. The diagram was drawn to scale (scale bar: 10 kb). (B) Amplification of 5â²-UTR of Slc4a10 transcripts by nested 5â²-RACE from mouse brain. The 1st lane represents the product of unnested RACE reaction, whereas the 2nd lane represents the nested PCR products. (C) Cloning of the full-length cDNA encoding NBCn2 variants containing the novel Nt from mouse brain tissues. (D) Cloning of the full-length cDNA encoding NBCn2 variants containing the novel Nt from the whole rat brain tissues. Nested RT-PCR was performed to amplify the full-length cDNA. H2O was used as the template for control. |
References [+] :
Abuladze,
Structural organization of the human NBC1 gene: kNBC1 is transcribed from an alternative promoter in intron 3.
2000, Pubmed
Abuladze, Structural organization of the human NBC1 gene: kNBC1 is transcribed from an alternative promoter in intron 3. 2000, Pubmed
Abuladze, Molecular cloning, chromosomal localization, tissue distribution, and functional expression of the human pancreatic sodium bicarbonate cotransporter. 1998, Pubmed , Xenbase
Bevensee, An electrogenic Na(+)-HCO(-)(3) cotransporter (NBC) with a novel COOH-terminus, cloned from rat brain. 2000, Pubmed , Xenbase
Boedtkjer, Contribution of Na+,HCO3(-)-cotransport to cellular pH control in human breast cancer: a role for the breast cancer susceptibility locus NBCn1 (SLC4A7). 2013, Pubmed
Boron, Modular structure of sodium-coupled bicarbonate transporters. 2009, Pubmed
Boron, Intracellular pH regulation in the renal proximal tubule of the salamander. Basolateral HCO3- transport. 1983, Pubmed
Chen, Effects of chronic continuous hypoxia on the expression of SLC4A8 (NDCBE) in neonatal versus adult mouse brain. 2008, Pubmed
Chen, Chronic continuous hypoxia decreases the expression of SLC4A7 (NBCn1) and SLC4A10 (NCBE) in mouse brain. 2007, Pubmed
Chen, Role of an extracellular loop in determining the stoichiometry of Na+-HCO₃⁻ cotransporters. 2011, Pubmed , Xenbase
Chen, Use of a new polyclonal antibody to study the distribution and glycosylation of the sodium-coupled bicarbonate transporter NCBE in rodent brain. 2008, Pubmed , Xenbase
Choi, An electroneutral sodium/bicarbonate cotransporter NBCn1 and associated sodium channel. 2000, Pubmed , Xenbase
Damkier, Nhe1 is a luminal Na+/H+ exchanger in mouse choroid plexus and is targeted to the basolateral membrane in Ncbe/Nbcn2-null mice. 2009, Pubmed
Damkier, Epithelial pathways in choroid plexus electrolyte transport. 2010, Pubmed
Damkier, Genetic ablation of Slc4a10 alters the expression pattern of transporters involved in solute movement in the mouse choroid plexus. 2012, Pubmed
Damkier, Molecular expression of SLC4-derived Na+-dependent anion transporters in selected human tissues. 2007, Pubmed
Damkier, Na+-dependent HCO3- import by the slc4a10 gene product involves Cl- export. 2010, Pubmed
Davuluri, The functional consequences of alternative promoter use in mammalian genomes. 2008, Pubmed
Fehon, Organizing the cell cortex: the role of ERM proteins. 2010, Pubmed
Giffard, Two variants of the rat brain sodium-driven chloride bicarbonate exchanger (NCBE): developmental expression and addition of a PDZ motif. 2003, Pubmed
Gröger, Targeted mutation of SLC4A5 induces arterial hypertension and renal metabolic acidosis. 2012, Pubmed
Gurnett, Disruption of sodium bicarbonate transporter SLC4A10 in a patient with complex partial epilepsy and mental retardation. 2008, Pubmed
Hilgen, Lack of the sodium-driven chloride bicarbonate exchanger NCBE impairs visual function in the mouse retina. 2012, Pubmed
Horita, Insulin resistance, obesity, hypertension, and renal sodium transport. 2011, Pubmed
Jacobs, Mice with targeted Slc4a10 gene disruption have small brain ventricles and show reduced neuronal excitability. 2008, Pubmed
Krepischi, Two distinct regions in 2q24.2-q24.3 associated with idiopathic epilepsy. 2010, Pubmed
Lee, Regulation of the rat brain Na+ -driven Cl-/HCO3 - exchanger involves protein kinase A and a multiprotein signaling complex. 2006, Pubmed
Lee, Relief of autoinhibition of the electrogenic Na-HCO(3) [corrected] cotransporter NBCe1-B: role of IRBIT vs.amino-terminal truncation. 2012, Pubmed , Xenbase
Leviel, The Na+-dependent chloride-bicarbonate exchanger SLC4A8 mediates an electroneutral Na+ reabsorption process in the renal cortical collecting ducts of mice. 2010, Pubmed , Xenbase
Liu, Cloning and identification of two novel NBCe1 splice variants from mouse reproductive tract tissues: a comparative study of NCBT genes. 2011, Pubmed
Liu, Distribution of NBCn2 (SLC4A10) splice variants in mouse brain. 2010, Pubmed , Xenbase
Liu, The physiology of bicarbonate transporters in mammalian reproduction. 2012, Pubmed
Liu, [Physiology and pathophysiology of Na⁺/HCO₃⁻ cotransporter NBCe1]. 2012, Pubmed
Liu, Expression and distribution of NBCn2 (Slc4a10) splice variants in mouse brain: cloning of novel variant NBCn2-D. 2011, Pubmed , Xenbase
Marino, Expression and distribution of the Na(+)-HCO(-)(3) cotransporter in human pancreas. 1999, Pubmed
McAlear, Electrogenic Na/HCO3 cotransporter (NBCe1) variants expressed in Xenopus oocytes: functional comparison and roles of the amino and carboxy termini. 2006, Pubmed , Xenbase
Paine, Role of NBCe1 and AE2 in secretory ameloblasts. 2008, Pubmed
Pajares, Alternative splicing: an emerging topic in molecular and clinical oncology. 2007, Pubmed
Parker, Characterization of human SLC4A10 as an electroneutral Na/HCO3 cotransporter (NBCn2) with Cl- self-exchange activity. 2008, Pubmed , Xenbase
Parker, Cloning and characterization of novel human SLC4A8 gene products encoding Na+-driven Cl-/HCO3(-) exchanger variants NDCBE-A, -C, and -D. 2008, Pubmed , Xenbase
Parker, The divergence, actions, roles, and relatives of sodium-coupled bicarbonate transporters. 2013, Pubmed
Praetorius, A SCL4A10 gene product maps selectively to the basolateral plasma membrane of choroid plexus epithelial cells. 2004, Pubmed
Praetorius, NBCn1 is a basolateral Na+-HCO3- cotransporter in rat kidney inner medullary collecting ducts. 2004, Pubmed
Romero, Expression cloning and characterization of a renal electrogenic Na+/HCO3- cotransporter. 1997, Pubmed , Xenbase
Sebat, Strong association of de novo copy number mutations with autism. 2007, Pubmed
Shirakabe, IRBIT, an inositol 1,4,5-trisphosphate receptor-binding protein, specifically binds to and activates pancreas-type Na+/HCO3- cotransporter 1 (pNBC1). 2006, Pubmed , Xenbase
Snead, Identification of a pH-responsive DNA region upstream of the transcription start site of human NBCe1-B. 2011, Pubmed
Soleimani, Stoichiometry of Na+-HCO-3 cotransport in basolateral membrane vesicles isolated from rabbit renal cortex. 1987, Pubmed
Stütz, Functional identification of the promoter of SLC4A5, a gene associated with cardiovascular and metabolic phenotypes in the HERITAGE Family Study. 2009, Pubmed
Trudeau, HERG, a human inward rectifier in the voltage-gated potassium channel family. 1995, Pubmed
Vorum, Immunolocalization of electroneutral Na-HCO(3)(-) cotransporter in rat kidney. 2000, Pubmed
Wang, The Na+-driven Cl-/HCO3- exchanger. Cloning, tissue distribution, and functional characterization. 2000, Pubmed , Xenbase
Yang, IRBIT governs epithelial secretion in mice by antagonizing the WNK/SPAK kinase pathway. 2011, Pubmed
Yano, Assignment of the human solute carrier family 4, sodium bicarbonate cotransporter-like, member 10 gene (SLC4A10) to 2q23-->q24 by in situ hybridization and radiation hybrid mapping. 2000, Pubmed
Yu, Secretagogue stimulation enhances NBCe1 (electrogenic Na(+)/HCO(3)(-) cotransporter) surface expression in murine colonic crypts. 2009, Pubmed
