XB-ART-4598
Development
2003 Dec 01;13023:5649-61. doi: 10.1242/dev.00810.
Show Gene links
Show Anatomy links
The RNA-binding protein Vg1 RBP is required for cell migration during early neural development.
Yaniv K, Fainsod A, Kalcheim C, Yisraeli JK.
???displayArticle.abstract???
After mid-blastula transition, populations of cells within the Xenopus embryo become motile. Using antisense morpholino oligonucleotides, we find that Vg1 RBP, an RNA-binding protein implicated in RNA localization in oocytes, is required for the migration of cells forming the roof plate of the neural tube and, subsequently, for neural crest migration. These cells are properly determined but remain at their site of origin. Consistent with a possible role in cell movement, Vg1 RBP asymmetrically localizes to extended processes in migrating neural crest cells. Given that Vg1 RBP is a member of the conserved VICKZ family of proteins, expressed in embryonic and neoplastic cells, these data shed light on the likely role of these RNA-binding proteins in regulating cell movements during both development and metastasis.
???displayArticle.pubmedLink??? 14522877
???displayArticle.link??? Development
Species referenced: Xenopus laevis
Genes referenced: b3gat1l fn1 gdf1 igf2bp3 mapk1 pax3 snai1 twist1
???displayArticle.morpholinos??? igf2bp3 MO1
???attribute.lit??? ???displayArticles.show???
|
|
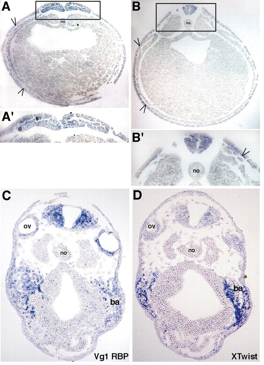
Fig. 1. Vg1 RBP mRNA distribution in embryos. Digoxygenin-labeled probes were used to perform in situ hybridization on embryos or sections at different developmental stages. Embryos subjected to whole-mount in situ hybridization (A,Aâ²,B,Bâ²) were embedded in paraffin wax, and transverse sections were analyzed for Vg1 RBP mRNA expression. (A,Aâ²) Vg1 RBP transcripts are detected throughout the neural plate in stage 17 embryos, including the lateral deep (d) layer that contains the prospective neural crest cells and the superficial (s) layer, containing the prospective roof plate cells. In addition, the sensorial layer of the epidermal ectoderm is clearly positive for Vg1 RBP (open arrowheads). (B,Bâ²) A mid-trunk section of a stage 21 embryo shows that Vg1 RBP mRNA is uniformly expressed throughout the closed neural tube. The sensorial layer of the ectoderm remains strongly labeled (open arrowheads). (C,D) Comparison of Vg1 RBP and Xtwist expression on adjacent sections of a tailbud stage embryo at the cranial levels. (C) Vg1 RBP transcripts are detected in the roof plate and throughout the neural tube. In addition, the otic vesicles (ov) and branchial arches (ba) are clearly positive for Vg1 RBP. (D) A similar pattern of expression is observed in sections probed for Xtwist RNA. no, notochord. |
|
|
Fig. 4. Downregulation of Vg1 RBP does not affect roof plate and neural crest cell determination. Xpax3 mRNA expression was assayed by in situ hybridization, in embryos injected with either CMO (A,B) or AMO (C,D). Dorsal view of a CMO- (A) and AMO- (C) injected embryos at stage 14 showing expression of Xpax3 in the lateral domains of the neural plate. Following neural fold fusion, in CMO-injected embryos (B), roof-plate cells normally reach the midline and Xpax3 expression is observed in the dorsal aspect of the tube (arrows). In AMO-injected embryos (D), roof plate cells fail to migrate medially, and a groove devoid of Xpax3 expression is observed along the dorsal midline (arrows). Xsnail expression was also analyzed in CMO- (E-G) and AMO- (H-J) injected embryos. In stage 18 embryos, immediately preceding neural fold fusion, expression of Xsnail is not reduced, and in fact is somewhat enhanced, by AMO injection (H) when compared with embryos injected with CMO (E). After neural fold fusion, Xsnail-expressing cells are observed along the dorsal midline (arrows) in the CMO-injected embryos (F). In AMO-injected embryos at the same stage (stage 20; I), however, Xsnail expression is absent from the dorsal midline and instead is observed flanking the midline on either side (arrows). In stage 35 embryos injected with CMO, cells continue to express Xsnail in the branchial arches and throughout the head region (G), whereas no expression of Xsnail is detected anywhere in AMO-injected embryos at the same stage (J). (K,L) Xtwist expression in injected embryos. As seen with Xsnail, a dramatic reduction in the expression of the cranial neural crest marker Xtwist is observed in stage 30 embryos injected with AMO (L) when compared with the sibling CMO-injected (K) embryos. A-F,H,I are dorsal views; G,J,K,L are lateral views. |
|
|
Figure 2. Specific effect of antisense Vg1 RBP oligonucleotide on Xenopus development. Two-cell stage embryos were injected in both blastomeres with equal amounts of CMO (B) or AMO (D,E) and allowed to develop to the tailbud stage. Embryos injected with CMO were identical to uninjected sibling embryos (A). Note the abnormal head development, lack of dorsal fin, curved neural tube, and severe reduction in normal pigmentation in embryos injected with AMO. (C,F) Close-up views of the head regions of B and E, respectively, show defective lens formation in the AMO-injected embryos (F). Note the presence, in these embryos, of a pigmented retinal epithelium below the undifferentiated, overlying ectoderm. (G) Sense Vg1 RBP mRNA can rescue AMO-injected embryos. Both blastomeres of two-cell stage embryos were co-injected with AMO and sense Vg1 RBP-GFP mRNA, lacking the 5â² UTR that contains the AMO target sequence. Embryos were allowed to develop until tailbud stage. Note the rescue of lens and dorsal fin formation and of melanophore migration. (H) Overexpression of Vg1 RBP-GFP mRNA alone does not affect the normal development of the embryo. (I) Vg1 RBP translation is reduced specifically by AMO injection. Proteins were extracted from tailbud-stage, uninjected (control) embryos, and from embryos injected with either CMO (CMO) or AMO (AMO). Two embryo-equivalents were loaded in each lane and Vg1 RBP expression was analyzed by electrophoresis and western blot analysis using an anti-Vg1 RBP antibody. As measured by densitometry, Vg1 RBP levels are reduced to 20% of original levels in the AMO-injected embryos relative to both uninjected and CMO-injected embryos; samples were normalized to the internal ERK-2 control (detected by anti-ERK-2 antibody). |
|
|
Figure 3. Antisense Vg1 RBP oligonucleotides disrupt roof plate formation and neural crest migration. Transverse confocal and paraffin sections were obtained from tailbud stage embryos injected with CMO (A,Aâ²,C,E), AMO (B,Bâ²,D,F), or AMO with sense Vg1 RBP mRNA (G). For each experiment, the approximate plane of section is indicated. Neural crest cells, indicated by the arrows, are found dorsal to the neural tube in CMO-injected embryos (A,Aâ²,C), but are not detectable in the corresponding AMO-injected embryos (B,Bâ²,D). Aâ² and Bâ² are high power magnifications of A and B, respectively. By stage 34, pigmented melanophores are observable both above the roof plate and at lateral-ventral positions in embryos injected with either CMO (E), or with AMO and sense Vg1 RBP mRNA (G). In AMO-injected embryos at this stage (F), however, the only detectable pigment is in the dorsal half of the neural tube and is completely absent from the lateral or ventral regions. The position of the neural tube roof plate is indicated by an arrowhead; note that it is missing in the AMO-injected embryos (B,Bâ²,D,F), and normally formed in the `rescued' embryos (G). Apparently apoptotic cells (*) are observed in the lumen of AMO-injected, tailbud stage embryos (D,F,G). In A-D, the neural tube is outlined in red. no, notochord. |
|
|
Figure 5. AMO-injected embryos show inhibition of DiI-labeled neural crest migration. Both blastomeres of two-cell stage embryos were injected with AMO, allowed to develop to stage 16, and then injected with the lipophilic dye DiI into the dorsal neural folds in the area of the hindbrain, containing presumptive cranial neural crest cells (A). Upon reaching stage 34, the embryos were examined under a fluorescent stereoscope. (B) In control embryos injected only with DiI, fluorescent cells are observed around the branchial arches (arrow), a target for cranial neural crest cells (in 44/51=86% of embryos). By contrast, in AMO-injected embryos (C), DiI-labeled crest cells remain in the dorsal aspect of the neural tube (arrow; in 31/43=72% of embryos; n=3). In a different set of experiments (D), a single blastomere of two-cell stage embryos was injected with AMO along with GFP RNA, used as a lineage tracer. Embryos were allowed to develop to stage 16 and were then injected with DiI on both the right and left sides of the dorsal neural folds, in the same area of the hindbrain as in A. Upon reaching stage 28, embryos were examined under a fluorescent stereoscope. On the untreated side (E), streams of cells (arrow) migrating from the site of injection ventrally, towards the branchial arches, are observed (in 68/68=100% of embryos). On the AMO/GFP-treated side (F), DiI-labeled cells are observed above the neural tube (arrow), and no fluorescence is detected in or around the branchial arches (in 49/68=72% of embryos; n=3). |
|
|
Fig. 6. Inhibition of neural crest migration in AMO-injected embryos is independent of neural tube closure. Two-cell stage embryos injected in both blastomeres with a low concentration (6.5 ng/blastomere) of AMO (B,D) were analyzed by confocal microscopy for neural crest cell migration and neural tube closure, when compared with uninjected controls (A,C). In stage 25 control embryos, neural crest cells (arrows) can be observed above the neural tube (A), but are completely absent in AMO-injected embryos (B). By stage 30, in control embryos (C), migrating neural crest cells move ventrally around the neural tube, as well as into the dorsal fin. In sibling, AMO-injected embryos (D), no migrating neural crest cells are detected. Note the completely sealed neural tube in the AMO-injected embryos; the neural tube is outlined in white. no, notochord. |
|
|
Fig. 7. Vg1 RBP is asymmetrically localized in explanted neural crest cells and required for their migration. Stage 20-22 embryos were cut horizontally in the middle of the embryo, and a caudal piece of trunk neural tube (indicated schematically by red lines in A) containing premigratory neural crest cells was placed in a petri dish coated with fibronectin. Twenty-four hours of incubation at 25°C led to an emigration of up to several hundred cells, with several different morphologies. Generally, the tubes rolled onto their sides, leading to an asymmetric outgrowth of the neural crest on one side of the explanted tube. (B) Phase-contrast image; (C) the fluorescence micrograph of an explanted neural tube stained with the anti-HNK1 antibody. (D) Emigrating neural crest cells and neural fibers stain positive for HNK1. (E,F) Explanted neural tube and outgrowing cells were stained with anti-Vg1 RBP antibody and viewed using phase-contrast (E) or fluorescence (F) microscopy. For both the anti-HNK1 and anti-Vg1 RBP antibodies, note the fluorescence in the neural tube and in the majority of the cells that have migrated out of the tube. (Melanophores, because of their pigment, do not show noticeable fluorescence.) (G-I) Representative patterns of asymmetric distribution of Vg1 RBP in migratory neural crest cells. Vg1 RBP is observed at different sites in neural crest cells, including along the membrane (G), and in processes that generally point away from the explanted tissue (H,I). (J-L) Injection of AMO reduces the migration of neural crest cells in explants. Neural tubes from stage 20-22 embryos, injected with either CMO (J) or AMO (K), were cultured as described in A. The number of cells that migrate out of the explant from AMO-injected embryos (K) was reduced approximately threefold when compared with that from CMO-injected embryos (J). Immunostaining of the AMO-injected explants shows that these migrating cells are positive for Vg1 RBP (L). Note the presence of differentiated neural crest derivatives in the explant cultures, suggesting that both the cells and the tube remained viable during the course of the assay. |
