Click here to close
Hello! We notice that you are using Internet Explorer, which is not supported by Xenbase and may cause the site to display incorrectly.
We suggest using a current version of Chrome,
FireFox, or Safari.
Mech Dev
2003 Sep 01;1209:1045-57. doi: 10.1016/s0925-4773(03)00176-x.
Show Gene links
Show Anatomy links
Xenopus nucleosome assembly protein becomes tissue-restricted during development and can alter the expression of specific genes.
Steer WM, Abu-Daya A, Brickwood SJ, Mumford KL, Jordanaires N, Mitchell J, Robinson C, Thorne AW, Guille MJ.
???displayArticle.abstract???
Nucleosome assembly proteins have been identified in all eukaryotic species investigated to date and their suggested roles include histone shuttle, histone acceptor during transcriptional chromatin remodelling and cell cycle regulator. To examine the role of these proteins during early development we have isolated the cDNA encoding Xenopus NAP1L, raised an antibody against recombinant xNAP1L and examined the expression pattern of this mRNA and protein. Expression in adults is predominantly in ovaries. This maternal protein remains a major component of xNAP1L within the embryo until swimming tadpole stages. xNAP1L mRNA is initially throughout the embryo but by gastrula stages it is predominantly in the presumptive ectoderm. Later, mRNA is detected in the neural crest, neural tube, eyes, tailbud and ventralblood islands. In order to test whether xNAP1L has a potential role in gene regulation we overexpressed this protein in animal pole explants and tested the effect on expression of a series of potential target genes. The mRNA encoding the transcription factor GATA-2 was markedly up-regulated by this overexpression. These data support a role for xNAP1L in tissue-restricted gene regulation.
???displayArticle.pubmedLink???
14550533 ???displayArticle.link???Mech Dev
Fig. 3. The distribution of xNAP1L mRNA in embryos. Embryos were hybridised either with sense (A and D, as controls) or antisense (B, C, E, F, G, H, I, J, K) xNAP1L probes. (B and C) Lateral and animal views, respectively, of stage 6 embryos with staining predominantly in the animal half, the mRNA is consistently perinuclear (arrowed in (C)). (E and F) Whole-mount and sectioned gastrula stage embryos, xNAP1L mRNA remains mainly at the animal pole and on the section can also be seen in the involuting mesoderm, the dorsal lip is arrowed in (F). (G) Anterior view of a stage 18 embryo, the mRNA is detectable in the neural plate and also on the ventral part of the embryoposterior to the cement gland. (H) Anterior view of a stage 23 embryo, xNAP1L is expressed in the eyes, brain, neural tube and branchial arches. (I) Lateral view of a stage 26 embryo, staining is visible in the tailbud as well as the neural system, eye and branchial arches. (J) Transverse section through the posteriorhead region of a stage 30 embryo, xNAP1L mRNA levels are highest in the ectoderm but detectable also in the lens (l) and branchial arches (ba), staining is completely absent from the cement gland (cg). (K) A stage 33 embryo showing staining as before and also in the lateral plate and blood islands (arrowed). (L) Double in situ showing globin (turquoise) and xNAP1L (purple) in a transverse section of the ventral region of a stage 33 embryo, xNAP1L expression is in the ectoderm precisely overlying the v.b.i. and in its outer cells.
Fig. 5. xNAP1L is cytoplasmic prior to the MBT but enters nuclei subsequently. (AâF) Embryo sections were used for immunohistochemistry with either a pre-immune serum (A, C and E) or the anti-xNAP1L serum (B, D, F and G). (AâD) show sections from stage 6 embryo blastomeres and staining is visible throughout the cells except for the nuclei (upper panels) which are highlighted by DAPI staining (lower panels). (EâF) show sections through gastrula stage embryos, staining is strongest in the ectodermal and mesodermal cells but also seen in the endoderm. In all layers there is now nuclear staining (examples are arrowed in (F)) coincident with DAPI fluorescence (G). (H and I) Embryos were injected at the two cell stage with 100Â pg of synthetic RNA encoding hemaglutanin-tagged xNAP1L and allowed to develop until stage 7(H) or 9(I). They were then fixed and the exogenous protein was detected by immunohistochemistry. In the stage 7 embryos staining is absent from nuclei (arrowed in (G)) but by stage 9 punctuate staining of nuclei is seen, although there is still substantial signal in the cytoplasm.
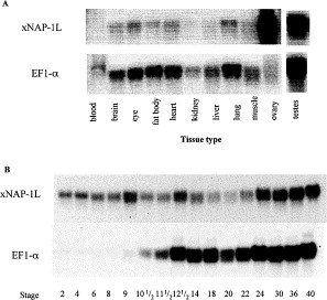
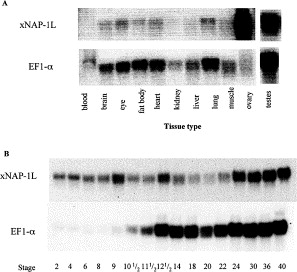
Fig. 2. xNAP1L mRNA in adult tissues and during embryonic development. (A) One gram of the above tissues was used to prepare total RNA and 10 μg of each sample was separated on a formaldehyde containing agarose gel prior to the detection of xNAP1L mRNA by Northern blotting. (B) RNA was prepared from sets of 20 embryos at the stages shown and RNA equivalent to two embryos was separated on a formaldehyde containing agarose gel prior to the detection of xNAP1L mRNA by Northern blotting.
nap1l1 (nucleosome assembly protein 1 like 1) gene expression in Xenopus laevis embryo, assayed via in situ hybridization, NF stage 10.5, lateral view, animal pole up, dorsal right.
nap1l1 (nucleosome assembly protein 1 like 1) gene expression in bissected gastrula stage Xenopus laevis embryo, assayed via in situ hybridization, NF stage 10.5, animal pole up, dorsal lip of blastoporeright (black arrow) .
nap1l1 (nucleosome assembly protein 1 like 1) gene expression in Xenopus laevis embryo, assayed via in situ hybridization, NF stage 27/28, lateral view, anteriorright, dorsal up.
nap1l1 (nucleosome assembly protein 1 like 1) gene expression in a Xenopus laevis embryo, assayed via in situ hybridization, NF stage 27/28, transverse section through head, dorsal up.
nap1l1 (nucleosome assembly protein 1 like 1, in purple) and hba1 (hemoglobin subunit alpha 1 , in turquoise) gene expression in Xenopus laevis embryo, assayed via in situ hybridization, NF stage 28, transverse section through trunk region, dorsal up.