|
Figure 3. Localization of XF message in the embryo. XF message is detected by whole mount in situ hybridization. Dorsal is to the right in A, and is up in C, E, F, and G. Anterior is to the left in B, C, D, F, and G. A: Vegetal view of a St-10.5 embryo. Black squares are to the left of the blastopore lip. B: Dorsal view of the posterior half of St-11.5 whole mount. Black squares identify the blastopore lip. C: Sagittal section through a St-11.5 whole mount. D: Dorsal view of a St-16 embryo. E: Cross-section through the trunk of a St-16 embryo. F: Lateral view of St-25 embryo. G: Lateral view of St-40 embryo. H: Keller sandwich (St 20) with neural axis running anterior to posterior from top, and mesodermal axis running anterior to posterior from bottom, meeting at middle bend. YP, Yolk plug; N, notochord; SM- Somitic mesoderm; NP, notoplate; RE, roof of endoderm; NT, neural tube; IM, involuting mesoderm; E, endoderm; EB, eye bud; NE, neural extension. Scale bars = 0.25 mm (B-E), 0.5 mm (A,H), 1 mm (F,G). |
|
Figure 4. Localization of XF protein in the embryo. XF protein is detected by immunostaining. Anterior is to the left in A-D and G. Dorsal is up in D-F, and G is a dorsal view from above. A: Dorsal view of St-11 whole mount. White squares identify the location of the blastopore lip. B: Dorsal view of St-12 whole mount. C: Dorsal, mid axial-posterior close-up of St-13 whole mount. D: Lateral view of a St-22 whole mount. E: Cross-section through mid-axis of St-22 embryo. Scale bar is for E and F. F: Adjacent cross-section through mid-axis of St-22 embryo, revealing periodic, orthogonoal intersomitic staining. G: Dorsal view of a St-39 embryo. H: Western blot of St-16 embryo extract probed with the JB3 antibody revealing a single band in the size range of fibrillin isoforms (350 kD), as well as a second, smaller band (200 kD). YP, yolk plug; N, notochord; SM, somitic mesoderm; NT, neural tube; IS, intersomitic space; E, eye; B, brain. Scale bars = 0.125 mm (C, E/F), 0.25 mm (A,B), and 0.5 mm (D,G). |
|
Figure 5. Regulation of XF message expression. A: RNase Protection assay for XF and elongation factor 1-alpha message levels. Animal caps cultured with or without the addition of indicated growth factors revealing regulation of XF expression by FGF and Activin. AC, uninduced animal cap; FGF, caps cultured in 50 ng/ml basic FGF; A50 and A500, caps cultured in 50 or 500 pM Activin A; WE, whole embryo. The first lane shows the input probes, for XF on top and the loading control elongation factor 1-alpha (ef-1 alpha) on the bottom. The middle unidentified band is a third input probe for experiments not presented here. Quantitation of XF/ef-1 alpha signal is shown relative to uninduced animal cap. B: Exogastrulated embryos assayed for XF expression by in situ hybridization. C: Posterior of a normal St-31/32 embryo assayed for XF expression by in situ. D: Posterior of a cell division blocked St-31/32 embryo stained for XF expression exhibits little XF expression in the tailbud. E: Lithium-treated dorsalized embryo exhibits strong XF expression. F: UV-treated ventralized embryo exhibits little XF expression. The embryos in E and F were processed for XF in situ together. Scale bars = 0.25 mm (B,E,F) and 0.5 mm (C,D). N, notochord; NE, neuroectodermal ball. |
|
fbn3 (fibrillin 3) gene expression in Xenopus laevis embryo, assayed via in situ hybridization, NF stage 27, lateral view, anterior left, dorsal up. |
|
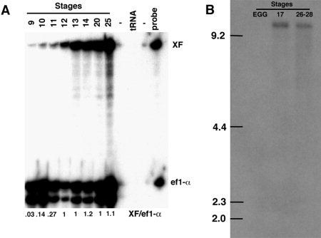
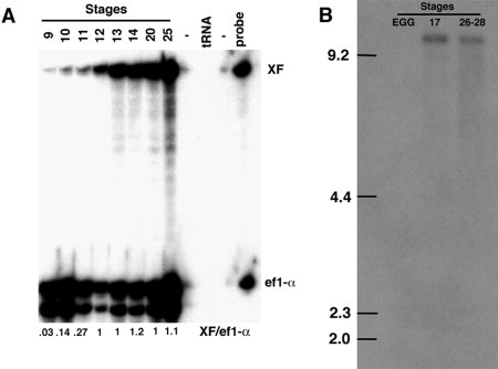
Figure 2. Developmental regulation of XF message. A: RNase Protection assay for XF and elongation factor 1-alpha message levels. One to five staged embryos per lane (note uneven loading, reflected by ef1-alpha signal, required to see early XF expression). Quantitation of XF/control signal is shown. B: Northern blot of staged Xenopus RNA. An 11-kilobase XF message is found at neurula and tailbud stages, but is absent in the egg, indicating that there is no maternal component to the XF message supply in the embryo. |
|
fbn3 (fibrillin 3) gene expression in Xenopus laevis embryo, assayed via in situ hybridization, NF stage 32, tail region only, lateral view, anterior left, dorsal up. |