|
Figure 1. Xenopus golph2 forms a disulfide bond-linked dimer and interacts with human GOLPH2. A.
Whole lysates were prepared from stage 22 embryos of Xenopus and 293 T cell lines; the supernatant was boiled with loading buffer with (lines 1 and 3) or without (lines 2 and 4) 140 mM 2-mercaptoethanol. Samples were resolved on a 12% SDS-PAGE gel and analyzed by Western blotting with anti-golph2, 10F12, (lines 1 and 2) and anti-GOLPH2, 5B12 (lanes 3 and 4). B. The 293 T cell line was co-transfected with pCS2+-golph2 and pCR3.1-GOLPH2-FLAG (line 2) or a single construct with the empty vectors (lines 1 and 3). Cell lysates were prepared at 36 hours post-transfection (Input). The supernatant was immunoprecipitated (IP) with an anti-golph2 antibody, 10F12, and the captured proteins were immunoblotted (IB) with an anti-FLAG antibody. |
|
Figure 2. Xenopus golph2 localizes to the Golgi. A.
Perinuclear localization of endogenous golph2 in the pronephros of stage 46/47 embryos. B. Pronephric tubule. C. Endogenous golph2 co-localizes with hGalNAcT2-EGFP in animal cap cells. The mRNA of hGalNAcT2-EGFP was injected into the animal pole of the fertilized eggs (C, green); golph2 was detected using the antibody 10F12 followed by Cy3-conjugated secondary antibody (D, red); merge (E). F. Endogenous golph2 co-localizes with xGalNAcT2-EGFP in animal cap cells. xGalNAcT2-EGFP (F, green); golph2 (G, red); merge (H). Bar = 10 . |
|
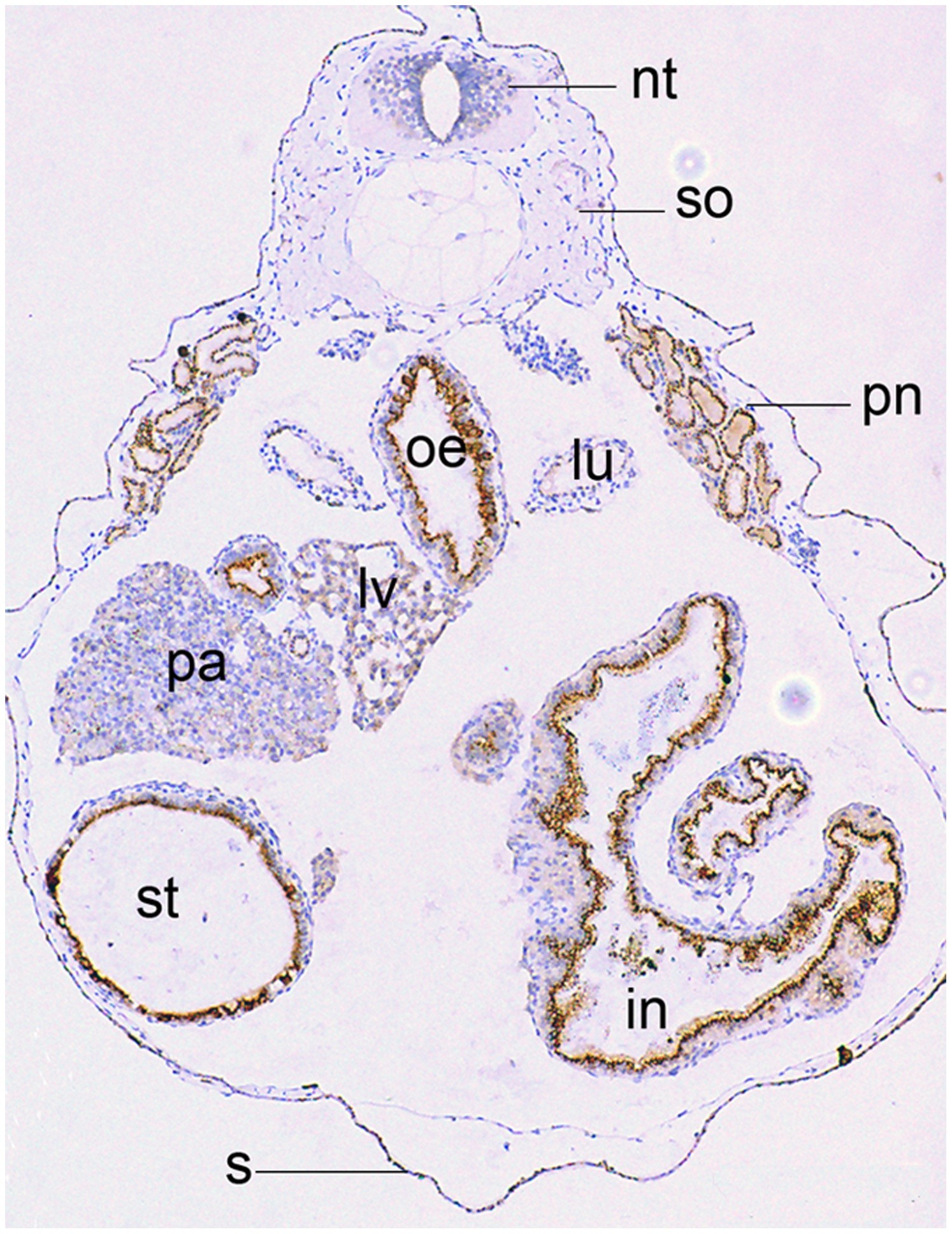
Figure 3. Xenopus golph2 is expressed in epithelial cells.
Stage 46/47 embryos were fixed, embedded in paraffin, sectioned to a thickness of 3 . Endogenous golph2 was labeled with the primary antibody 10F12, followed by anti-mouse HRP-conjugated secondary antibody and stained with DAB solution; hematoxylin nuclear counterstaining. nt, neural tube; so, somites; pn, pronephros; oe, esophagus; lu, lung; lv, liver; pa, pancreas; st, stomach; i, intestine; s, skin. |
|
Figure 4. The expression pattern of golph2 during early development. A.
RT-PCR analysis of the temporal expression pattern of golph2. UE, unfertilized egg. RT(-), negative control of reverse transcription. Ornithine decarboxylase (ODC) was used as the RNA loading control. B. Western blotting analysis of golph2 expression during Xenopus embryogenesis. Beta-actin served as a protein loading control. C. Whole-mount in situ hybridization was conducted using a digoxigenin-labeled antisense probe for golph2. C. Embryos bisected prior to in situ hybridization. Orientation: animal top, dorsal right (C, D); dorsal top, ventral bottom (E, F), stages as indicated. The expression of golph2 is detected in the dorsal marginal zone and the derivative mesoderm at the gastrula stage. G. Lateral view, anterior towards the left; golph2 expression in the pronephros is detected between stages 25 and 39. Expression of golph2 in the otic vesicle and cement gland is also shown (H). Arrow heads indicate the signal. |
|
Figure 5. The inhibition of golph2 expression causes edema formation. A.
Sequences of the two golph2 pseudoalleles and the mRNA used for the rescue experiment. The arrow heads indicates the mismatch in the golph2-MO-targeting site of the second golph2 allele. B. The expression of endogenous golph2 was inhibited by injection with morpholino into the vegetal pole of fertilized eggs. Western blotting analysis was performed at stage 33. Line 1:56 ng of Control-MO; line 2:16 ng of golph2-MO; line 3:32 ng of golph2-MO; line 4:48 ng of golph2-MO; line 5:56 ng of golph2-MO. C. The specificity of golph2-MO was examined; 32 ng of golph2-MO was injected along with either 0.5 ng of rescue mRNA (line 2) or 0.5 ng of allele mRNA (line 4). Xenopus golph2 expression was detected in embryos of stage 10 using the antibody 10F12. D. Morphology of Control-MO-injected embryos. E. Morphology of golph2-MO-injected embryos displaying edema at the tadpole stage. F. Quantification of edema formation in embryos injected either with Control-MO (56 ng), golph2-MO (56 ng), golph2-MO (56 ng) with golph2 rescue mRNA (1 ng) or golph2-MO (56 ng) with human GOLPH2 mRNA (1 ng). |
|
Figure 6. Xenopus golph2 is required for pronephros development. A.
Schematic diagram of the pronephros with a summary of the pronephric marker genes that were used (lateral view, anterior towards the left). At stage 38, the pronephros is subdivided into distinct segments: the glomus, proximal tubule (PT1, PT2, PT3), intermediate tubule (IT1, IT2), distal tubule (DT1, DT2) and pronephric duct (PD). B Expression of the marker genes; the orientations of panels B to M show a lateral view, the anterior towards the right; the orientations of panels Bto Mshow a lateral view, the anterior towards the left. A total of 32 ng of Control or golph2 morpholino was injected into a single ventral blastomere of 4-cell-stage embryos from the lateral region; whole-mount in situ hybridization analysis was performed on stage 38. (B Nephrin; (a) transverse section of the embryos in panels Band C (D atp1b1; (F SGLT-1K; (H ClC-K; (J NKCC2; (L NBC1. |
|
Figure 7. Expression analysis of transcription factors. A
Whole-mount in situ hybridization analysis of Control and golph2-MO-injected embryos at stage 35; orientation: panels A, lateral view, the anterior towards the right; panels AL lateral view, the anterior towards the left. Morpholino (32 ng) was injected into a single ventral blastomere of 4-cell-stage embryos from the lateral region. (A WT1. Brackets indicate the expression domains. (C, Pax2; (E, Lim1; (G, Pax8; (I GATA3; (K, HNF1β. The arrow heads indicate reduced convolution of the pronephric tubules. |
|
Figure 8. Both human and Xenopus golph2 can rescue the expression of the marker gene ClC-K.
The percentage of embryos with normal levels of ClC-K expression relative to the total number of analyzed embryos (n). Control-MO (32 ng; n = 76); golph2-MO (32 ng; n = 86); golph2-MO (32 ng) with 0.8 ng of golph2 rescue mRNA (n = 33); golph2-MO (32 ng) with 1.2 ng of golph2 rescue mRNA (n = 66); golph2-MO (32 ng) with 0.8 ng of GOLPH2 mRNA (n = 33); golph2-MO (32 ng) with 1.2 ng of GOLPH2 mRNA (n = 55). |
|
Xenopus golph2 is conserved with other vertebrate GOLPH2 sequences. The alignment of golph2 with human and mouse GOLPH2 sequences using ClustalW showed high conservation in the N-terminus of the protein. The accession numbers are: Homo sapiens, NP_057632; Mus musculus, BAE39697; Xenopus laevis, JF79249.
|
|
golm1 (golgi membrane protein 1) gene expression in bisected Xenopus laevis embryo, mid-sagittal section, assayed via in situ hybridization, NF stage 11, dorsal right, anterior up.
|
|
golm1 (golgi membrane protein 1 ) gene expression in bisected Xenopus laevis embryo, assayed via in situ hybridization, NF stage 25, lateral view, dorsal up, anterior left.
|
|
golm1 (golgi membrane protein 1 ) gene expression in bisected Xenopus laevis embryo, mid-sagittal section, assayed via in situ hybridization, NF stage 31, dorsal up, anterior left.
|
|
golm1 (golgi membrane protein 1) gene expression in bisected Xenopus laevis embryo, mid-sagittal section, assayed via in situ hybridization, NF stage 35, lateral view, dorsal up, anterior left,.
|
|
golm1 (golgi membrane protein 1) gene expression in bisected Xenopus laevis embryo, mid-sagittal section, assayed via in situ hybridization, NF stage 39, lateral view, dorsal up, anterior left.
|
|
|
|
|
|
|
|
|
|
|
|
|
|
|
|
|
|
|