Click here to close
Hello! We notice that you are using Internet Explorer, which is not supported by Xenbase and may cause the site to display incorrectly.
We suggest using a current version of Chrome,
FireFox, or Safari.
Proc Natl Acad Sci U S A
2003 Nov 11;10023:13424-9. doi: 10.1073/pnas.2235734100.
Show Gene links
Show Anatomy links
Loss-of-function mutations in the human GLI2 gene are associated with pituitary anomalies and holoprosencephaly-like features.
Roessler E, Du YZ, Mullor JL, Casas E, Allen WP, Gillessen-Kaesbach G, Roeder ER, Ming JE, Ruiz i Altaba A, Muenke M.
???displayArticle.abstract???
Diminished Sonic Hedgehog (Shh) signaling is associated with the most common forebrain defect in humans, holoprosencephaly (HPE), which includes cyclopia, a phenotype also seen in mice and other vertebrates with defective Shh signaling. The secreted protein Shh acts as a crucial factor that patterns the ventralforebrain and is required for the division of the primordial eye field and brain into two discrete halves. Gli2 is one of three vertebrate transcription factors implicated as obligatory mediators of Shh signal transduction. Here, we show that loss-of-function mutations in the human GLI2 gene are associated with a distinctive phenotype (within the HPE spectrum) whose primary features include defective anterior pituitary formation and pan-hypopituitarism, with or without overt forebraincleavage abnormalities, and HPE-like midfacial hypoplasia. We also demonstrate that these mutations lack GLI2 activity. We report on a functional association between GLI2 and human disease and highlight the role of GLI2 in human head development.
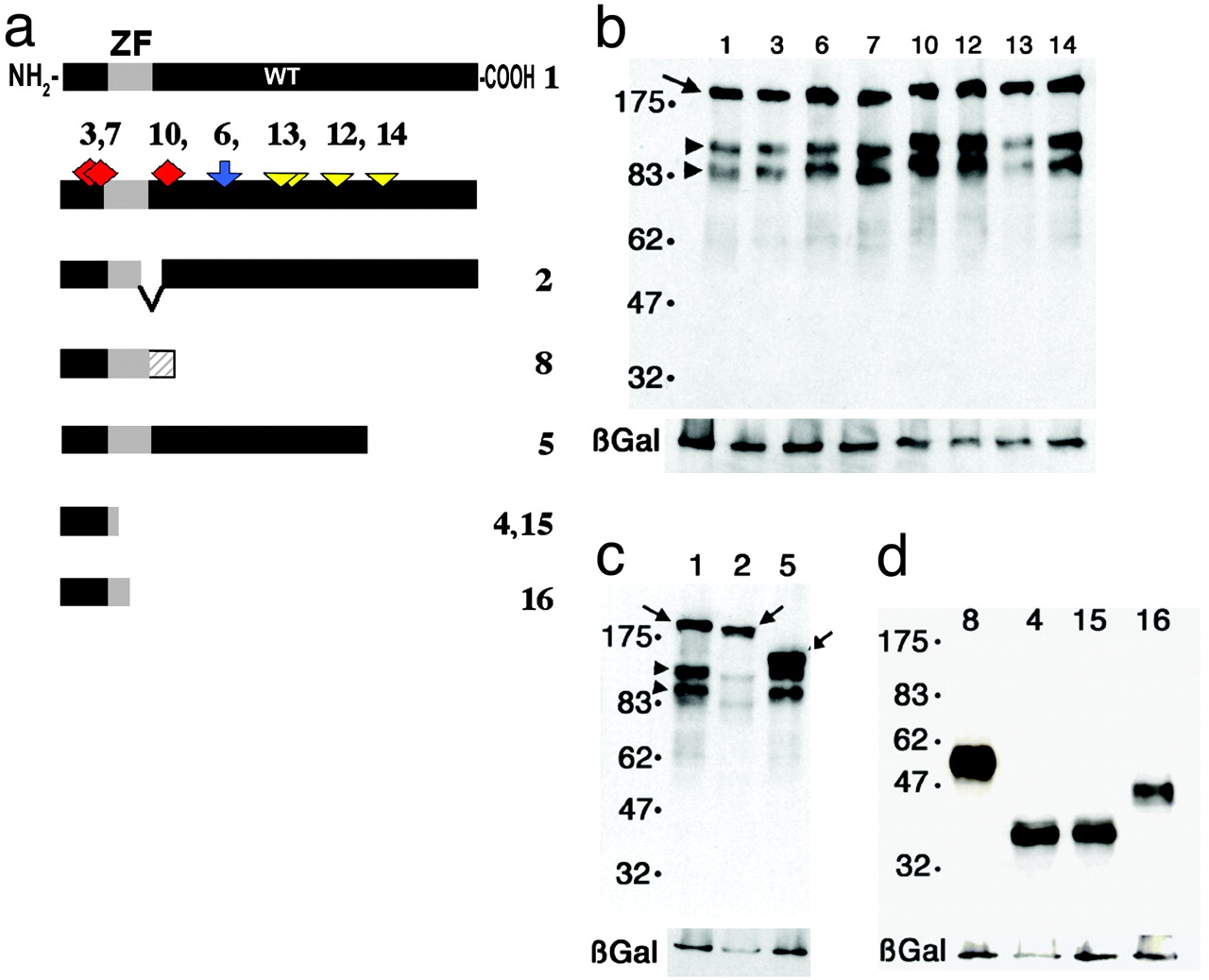
Fig. 1. Summary of the predicted structure of the missense and loss-of-function alleles in GLI2. (a) The WT architecture of GLI2 is depicted in the top bar (WT construct 1; ZF = Zn finger). Shown below are the apparently unique missense variants seen in human HPE patients (red diamonds), putative polymorphisms (blue arrow), and HUT102 sequence variants (yellow triangles). Three of these variations predict missense changes (red diamonds). These three changes [V104M, 310G>A (construct 3), D88N, 262G>A (construct 7), and N273S, 818 A>G (construct 10)] behaved identically with the normal gene and are likely rare polymorphisms (Fig. 3c and data not shown). Similarly, apparent polymorphisms (found in normal controls), such as K410R, 1229 A>G (blue arrow, construct 6), behaved identically to the WT cDNA (construct 1) in all assays performed, as did the putative HUT102 reference cDNA variants (yellow triangles, constructs 12-14). The predicted architecture of the disease-related variants is shown below. Construct 2 represents the predicted outcome of a hypothetical RNA splicing event removing exon 5. Confirmation of this form was not attempted, and the related construct 8 represents the more likely form. Failure to execute alternative splicing predicts premature termination within intron 5 (hatched bar; construct 8). Constructs 5 (2274del1), 4 and 15 (W113X, 339G>A), and 16 (R168X, 502C>T) represent the predicted protein structures that are prematurely truncated. Note that constructs 4 and 15 are identical truncation mutations except that construct 4 includes also the V104M missense mutation (as does construct 3). (b) Western analysis of COS-7 cells transfected with N-myc-tagged GLI2 alleles and probed with anti-myc antibody to verify expression. Untransfected cells show no bands (data not shown). Cotransfected lacZ mRNA encoded the β-galactosidase (β-Gal) control protein. The arrow marks the predicted full-length protein, and the arrowheads identify two consistently seen smaller proteins that could represent processed forms or stable degradation products. Although these smaller bands resemble those seen with frog Gli2 (6), their significance is unknown and will require further study. (c) The deletions caused by variants 2 and 5 produce the expected truncated proteins that are smaller than the WT full-length product encoded by construct 1. Note that the smaller processed bands are still formed in both, but in allele 2 they migrate faster, indicating that an apparently specific cleavage occurs between the zinc fingers and the site of truncation of construct 5. (d) The predicted truncations of the rest of the alleles cause smaller proteins of the expected sizes (constructs 4, 8, 15, and 16).
Fig. 2. Clinical findings in families with mutations in GLI2. (a) Pedigrees of four families (nos. 1-4) who have individuals with GLI2 loss-of-function mutations (*). Probands are indicated by an arrow, HPE is indicated by red symbols, hypopituitarism is indicated by orange symbols, and polydactyly is indicated by blue symbols. (b) Proband in family 1 with severe midfacial hypoplasia, bilateral cleft lip and palate, postaxial polydactyly, and pituitary hypoplasia (arrow). (c) Proband in family 2 with extreme midfacial hypoplasia, pseudomedian cleft lip, and severe growth retardation. (d) Deceased sibling in family 4 with midface hypoplasia bilateral cleft lip and palate, and absent pituitary and brain findings consistent with HPE (data not shown). (e) Proband in family 4 with midface hypoplasia, repaired cleft lip and palate, postaxial polydactyly, and absent pituitary on MRI (data not shown). The deceased male in the first generation of family 4 is reported to have had cleft lip and cleft palate in addition to polydactyly. These pedigrees are consistent with autosomal dominant transmission of a null GLI2 disease susceptibility gene.
Fig. 3. Targeting GLI2 to the ectoderm leads to the development of skin tumors. (a) Either 2 or 0.5 ng of GLI2 synthetic mRNA was injected along with tracer amounts of lacZ mRNA to mark injected cells. (b) An example of a loss-of-function allele (construct 4) where 5-bromo-4-chloro-3-indolyl β-d-galactoside-stained cells do not form tumors and show a pattern indistinguishable from that of lacZ mRNA-only injections (data not shown). (c) Histograms showing the percentage of affected embryos with overgrowths after misexpression of the different GLI2 alleles. Experiments were performed at two different concentrations, 0.5 ng (yellow) and 2.0 ng (green) per embryo. The 2-ng concentration was done once, and the 0.5-ng concentration was repeated three or four times per sample. The mean ± SEM is represented in the histogram. Each sample in each experiment had 20-70 embryos. All of the missense variants behaved similarly to WT, suggesting that they do not affect GLI2 function. On the other hand, allele 2 showed a less penetrant phenotype at low concentrations, indicating that it could be a hypomorph. This lower induction was significantly different from that of allele 6 (P < 0.05). Allele 8, which represents the more likely form, and allele 15 showed traces of activity, but the mean values were not significantly different from that of allele 4 (P > 0.5 for both), which had no activity. These alleles (nos. 8, 4, 15) plus alleles 5 and 16 are scored as loss-of-function in this assay. (d) Coinjection of WT GLI2 mRNA with each of the mutant constructs (in amounts of 0.5 ng of each) was assessed for synergy or antagonism. No evidence of dominant negative activity was demonstrable. Each allele was tested between 2 and 10 different times, and each sample had between 20 and 80 embryos. The bars represent the means ± SEM.
Fig. 4. Osteogenic lineage induction by GLI2 alleles in C3H10T1/2 cells. (a) WT and mutant alleles were transfected into cells, and the encoded proteins were detected by using an antibody against the N-terminal myc tag. (b) AP activity is detected when C3H10T1/2 differentiates into an osteogenic lineage. (c) Plot of the mean ± SEM of ratios of AP-positive cells per total transfected cells in 10 independent fields of cells, with one representative experiment shown. The apparent polymorphisms behave similarly to the normal control. The mutant alleles (nos. 2, 5, 8, 4, 15 and 16) lose the ability to induce AP activity.
Fig. 5. Subcellular localization of GLI2 protein in animal cap cells of injected gastrula (stage 11) frog embryos. The normal and variant proteins were detected by using an antibody against the N-terminal myc tag. Representative examples of blastomere staining patterns are shown and quantified. Background levels were essentially none. (a) Prominent cytoplasmic staining, compared with combined nuclear and cytoplasmic staining (b). As a control for primarily nuclear staining (c) we used a frog Gli2 construct deleted for its C terminus (fGli2Câ²Î´) and previously shown to exhibit nuclear accumulation (6). A similar subcellular localization in transfected COS-7 cells was scored as primarily nuclear (d), both nuclear and cytoplasmic (e), or exclusively cytoplasmic (f). (g) Histograms showing the distribution of the different alleles in transfected COS-7 cells. Each allele was transfected three or four times, and >100 cells were counted in each experiment.
Aza-Blanc,
Expression of the vertebrate Gli proteins in Drosophila reveals a distribution of activator and repressor activities.
2000, Pubmed
Aza-Blanc,
Expression of the vertebrate Gli proteins in Drosophila reveals a distribution of activator and repressor activities.
2000,
Pubmed Aza-Blanc,
Proteolysis that is inhibited by hedgehog targets Cubitus interruptus protein to the nucleus and converts it to a repressor.
1997,
Pubmed Bai,
Gli1 can rescue the in vivo function of Gli2.
2001,
Pubmed
,
Xenbase Bai,
Gli2, but not Gli1, is required for initial Shh signaling and ectopic activation of the Shh pathway.
2002,
Pubmed Brewster,
Gli2 functions in FGF signaling during antero-posterior patterning.
2000,
Pubmed
,
Xenbase Brewster,
Gli/Zic factors pattern the neural plate by defining domains of cell differentiation.
1998,
Pubmed
,
Xenbase Brown,
Holoprosencephaly due to mutations in ZIC2, a homologue of Drosophila odd-paired.
1998,
Pubmed Chiang,
Cyclopia and defective axial patterning in mice lacking Sonic hedgehog gene function.
1996,
Pubmed Dahmane,
Activation of the transcription factor Gli1 and the Sonic hedgehog signalling pathway in skin tumours.
1997,
Pubmed
,
Xenbase Dahmane,
The Sonic Hedgehog-Gli pathway regulates dorsal brain growth and tumorigenesis.
2001,
Pubmed Dai,
Sonic Hedgehog-induced activation of the Gli1 promoter is mediated by GLI3.
1999,
Pubmed
,
Xenbase Ding,
Diminished Sonic hedgehog signaling and lack of floor plate differentiation in Gli2 mutant mice.
1998,
Pubmed
,
Xenbase Franz,
Extra-toes (Xt) homozygous mutant mice demonstrate a role for the Gli-3 gene in the development of the forebrain.
1994,
Pubmed Gofflot,
Absence of ventral cell populations in the developing brain in a rat model of the Smith-Lemli-Opitz syndrome.
1999,
Pubmed Grachtchouk,
Basal cell carcinomas in mice overexpressing Gli2 in skin.
2000,
Pubmed Hardcastle,
The Shh signalling pathway in tooth development: defects in Gli2 and Gli3 mutants.
1998,
Pubmed
,
Xenbase Hui,
A mouse model of greig cephalopolysyndactyly syndrome: the extra-toesJ mutation contains an intragenic deletion of the Gli3 gene.
1993,
Pubmed Hynes,
Control of cell pattern in the neural tube by the zinc finger transcription factor and oncogene Gli-1.
1997,
Pubmed Karlstrom,
Comparative synteny cloning of zebrafish you-too: mutations in the Hedgehog target gli2 affect ventral forebrain patterning.
1999,
Pubmed Karlstrom,
Genetic analysis of zebrafish gli1 and gli2 reveals divergent requirements for gli genes in vertebrate development.
2003,
Pubmed
,
Xenbase Koyabu,
Physical and functional interactions between Zic and Gli proteins.
2001,
Pubmed Lee,
Gli1 is a target of Sonic hedgehog that induces ventral neural tube development.
1997,
Pubmed
,
Xenbase Litingtung,
Specification of ventral neuron types is mediated by an antagonistic interaction between Shh and Gli3.
2000,
Pubmed
,
Xenbase Matise,
Gli2 is required for induction of floor plate and adjacent cells, but not most ventral neurons in the mouse central nervous system.
1998,
Pubmed Mo,
Specific and redundant functions of Gli2 and Gli3 zinc finger genes in skeletal patterning and development.
1997,
Pubmed
,
Xenbase Motoyama,
Essential function of Gli2 and Gli3 in the formation of lung, trachea and oesophagus.
1998,
Pubmed
,
Xenbase Mullor,
Wnt signals are targets and mediators of Gli function.
2001,
Pubmed Nilsson,
Induction of basal cell carcinomas and trichoepitheliomas in mice overexpressing GLI-1.
2000,
Pubmed Park,
Mouse Gli1 mutants are viable but have defects in SHH signaling in combination with a Gli2 mutation.
2000,
Pubmed
,
Xenbase Rallu,
Dorsoventral patterning is established in the telencephalon of mutants lacking both Gli3 and Hedgehog signaling.
2002,
Pubmed Roessler,
Mutations in the human Sonic Hedgehog gene cause holoprosencephaly.
1996,
Pubmed Roessler,
How a Hedgehog might see holoprosencephaly.
2003,
Pubmed Roessler,
Midline and laterality defects: left and right meet in the middle.
2001,
Pubmed Ruiz i Altaba,
Combinatorial Gli gene function in floor plate and neuronal inductions by Sonic hedgehog.
1998,
Pubmed
,
Xenbase Ruiz i Altaba,
Gli proteins encode context-dependent positive and negative functions: implications for development and disease.
1999,
Pubmed
,
Xenbase Ruiz i Altaba,
Hedgehog-Gli signalling and the growth of the brain.
2002,
Pubmed Sasaki,
A binding site for Gli proteins is essential for HNF-3beta floor plate enhancer activity in transgenics and can respond to Shh in vitro.
1997,
Pubmed
,
Xenbase Sasaki,
Regulation of Gli2 and Gli3 activities by an amino-terminal repression domain: implication of Gli2 and Gli3 as primary mediators of Shh signaling.
1999,
Pubmed
,
Xenbase Sheng,
Early steps in pituitary organogenesis.
1999,
Pubmed Shin,
GLI3 mutations in human disorders mimic Drosophila cubitus interruptus protein functions and localization.
1999,
Pubmed
,
Xenbase Tanimura,
Cloning of novel isoforms of the human Gli2 oncogene and their activities to enhance tax-dependent transcription of the human T-cell leukemia virus type 1 genome.
1998,
Pubmed Treier,
Hedgehog signaling is required for pituitary gland development.
2001,
Pubmed