|
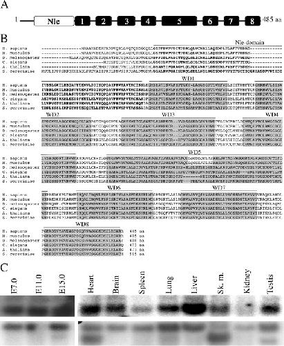
FIG. 1. Structure and amino acid alignments of mNle protein and expression pattern of mNle transcripts. (A) Schematic representation of the mNle protein containing a single Nle domain (white box) at its amino-terminal region and eight WD40 domains (gray boxes). (B) Alignments of sequences of Nle orthologs by clustalW. Using the website at http://bmerc-www.bu.edu/wdrepeatto search for WD40 domains, eight domains were predicted for Nle in Saccharomyces, Xenopus, and Drosophila, whereas nine domains were predicted for mouse and human Nle proteins. Based on amino acid sequence comparisons and on the fact that, in mouse and human, the fifth domain does not end by a consensus WD motif and that the sixth domain does not begin by a consensus GH sequence, we propose that the fifth and sixth predicted WD40 domains of the human and mouse Nle proteins correspond to a single WD40 domain (in italics), as predicted for other species. GenBank/EMBL accession numbers for the Nle orthologous sequences are as follows: Homo sapiens, NP_060566; Mus musculus, NP_663406; D. melanogaster, NP_477294.1; C. elegans, NP_493745; Arabidopsis thaliana, NP_200094.1; and S. cerevisiae, NP_009997. Amino acids corresponding to the Nle domain are in boldface type. WD40 repeat domains are highlighted in gray boxes. The numbers of amino acids (aa) are indicated at the end of the sequences. (C) Northern blot analysis of poly(A)+ mRNAs of embryos at E7.0 to E15.0 and various adult tissues hybridized with an mNle-specific probe (upper panel) or a β-actin probe (lower panel). |
|
FIG. 2. Effect of GFP, NICD, and mNle RNA injections on the production of primary neurons in Xenopus embryos. Injected embryos (stage 16) were monitored for the N-tubulin expression pattern. (A) Number of embryos that present, in the injected side compared to the noninjected side, no change, reduction, or complete loss of N-tubulin-positive neurons. *, analysis of distribution of the three N-tubulin expression profiles between NICD and GFP (Ï2, 0.001 < P < 0.01) and between mNle and GFP (Ï2, P < 0.001). (B) Examples of the three types of N-tubulin expression patterns obtained after RNA injections. Dorsal views are shown with the anterior end up. The injected side is shown on the right side of the images. N-tubulin expression was detected in primary neurons of medial (m), intermediate (i), and lateral (l) stripes in the noninjected side. Arrows indicate the reduction or complete loss of N-tubulin expression. |
|
FIG. 3. Targeted disruption of the mNle gene. (A) Structure of the WT mNle allele, the targeting vector, and the targeted allele. Exons (solid boxes), LoxP sequences (triangles), and positions of primers used for genotype analysis (a to f, bars), probes used for Southern blot analysis (bars), and pgk-DTA and pgk-Neo cassettes used for negative and positive selection are indicated. Restriction sites relevant to the targeting construct and to the screening strategies are as follows: BglI (Bg), BsrGI (Bs), EcoRV (E), HincII (H), and PstI (P). (B) Southern blot analysis of genomic DNA obtained from wild-type and heterozygous ES cells. (C) Genotype analysis of early embryos from mNle+/â intercrosses. The first round of PCR used primers b, c, and d. The second round of PCR used primers a, e, and f, yielding amplification products of 159 bp and 210 bp for the wild-type and mutant alleles, respectively. |
|
FIG. 4. Cultures of embryos derived from mNle+/− intercrosses. E3.5 blastocysts were harvested and cultured for 3 days. mNle+/+ and mNle+/− blastocysts (A) hatched from the zona pellucida after 1 day and attached to the culture dish. During the following days, the ICM proliferated (arrows) and the trophectoderm differentiated (arrowheads). mNle−/− blastocysts were indistinguishable from controls at E3.5 (B and C). After 24 h in vitro, most of them were unable to hatch from the zona (C) and degenerated rapidly. The remaining mNle−/− embryos hatched (B) and attached to the dish, and the trophectoderm expanded and differentiated (arrowhead). However, after 2 days in culture, the ICM degenerated and was no longer discernible. Bars, 50 μm. |
|
FIG. 5. nlsLacZ expression pattern in mNle+/− heterozygous early embryos. X-Gal staining was performed on embryos harvested from crosses of wild-type females and heterozygous males at E1.5 (A), E3.5 (B), and at late bud stage (C). Scale bars, 50 μm. |
|
FIG. 6. TE and ICM specification in E4.5 blastocysts and outgrowths from mNle+/â intercrosses. Immunohistochemical detection of cytoplasmic Endo-A cytokeratin (red) (A) and nuclear Cdx2 (red) (B), specific for TE, and nuclear Oct4 (red) (C), specific for ICM, in mNle+/â and mNleâ/â embryos is shown. Representative control embryos (upper panel) and mNleâ/â embryos (lower panel) are shown. (D) Oct4 expression in mNle+/â and mNleâ/â outgrowths from blastocysts cultured for 3 days. In mNle+/â outgrowths, Oct4-positive immunostaining was detected in the ICM. In contrast, very few Oct4-positive cells were observed in mNleâ/â outgrowths. Nuclei were counterstained with Hoechst stain (blue). One optical section is shown for panels A to C (flattened blastocyst morphology was due to mounting on one slide with a glass coverslip placed over it). Micronuclei were detected in the ICM of the mNleâ/â blastocysts (white arrows and insets, panels A to C). Bars, 50 μm (panels A to C) and 200 μm (panel D). |
|
FIG. 7. Apoptosis in E3.5 blastocysts from mNle+/− intercrosses cultured for 24 h. (A) Percentage of mNle+/+, mNle+/−, and mNle−/− embryos yielding micronuclei detected by Hoechst reagent staining (n = 84; P < 0.001, χ2 test). Data ± standard errors of the means (bars) are shown. (B) A twofold increase of TUNEL-positive cells was observed in mNle−/− blastocysts compared with control counterparts (n = 90; P < 0.0001, ANOVA test). Data ± standard deviations (bars) are shown. (C) Percentage of mNle+/+, mNle+/−, and mNle−/− embryos positive for the active form of caspase 3 protein (n = 51; P < 0.01, χ2 test). Data ± standard errors of the means (bars) are shown. Asterisks indicate statistical difference. |