Click here to close
Hello! We notice that you are using Internet Explorer, which is not supported by Xenbase and may cause the site to display incorrectly.
We suggest using a current version of Chrome,
FireFox, or Safari.
???displayArticle.abstract???
BACKGROUND: RNAs for embryo patterning and for germ cell specification are localized to the vegetal cortex of the oocyte of Xenopus laevis. In oocytes of the direct developing frog Eleutherodactylus coqui, orthologous RNAs for patterning are not localized, raising the question as to whether RNAs and other components of germ plasm are localized in this species.
METHODS: To identify germ plasm, E. coqui embryos were stained with DiOC6(3) or examined by in situ hybridization for dazl and DEADSouth RNAs. The cDNAs for the E. coqui orthologues were cloned by RT-PCR using degenerate primers. To examine activity of the E. coqui orthologues, RNAs, made from constructs of their 3'UTRs with mCherry, were injected into X. laevis embryos.
RESULTS: Both DiOC6(3) and dazl and DEADSouth in situs identified many small islands at the vegetal surface of cleaving E. coqui embryos, indicative of germ plasm. Dazl was also expressed in primordial germ cells in the genital ridge. The 3'UTRs of E. coqui dazl and DEADSouth directed primordial germ cell specific protein synthesis in X. laevis.
CONCLUSIONS: E. coqui utilizes germ plasm with RNAs localized to the vegetal cortex to specify primordial germ cells. The large number of germ plasm islands suggests that an increase in the amount of germ plasm was important in the evolution of the large E. coqui egg.
Figure 1. Migrating PGCs. The skin was removed from this TS8 embryo to reveal white, yolk-filled PGCs in the posterior part of the dorsal mesentery (arrow). The inset shows an enlargement of this region.
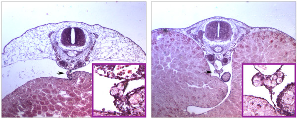
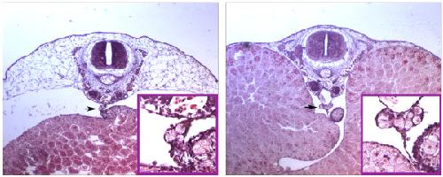
Figure 2. PGCs in embryo sections. (A) PGCs are present in the dorsal mesentery (arrow) which attaches the yolky endoderm to the rest of the body of this TS8 embryo. The inset shows an enlargement with three PGCs in the mesentery. (B) At TS9, yolk-filled PGCs are clumped in the prospective genital ridges (arrow), ventral to the dorsal aorta. The inset shows an enlargement of this region.
Figure 3. DiOC6(3) staining of cleaving embryos. (A) Only one furrow (bright green line) has reached the vegetal pole in this eight-cell embryo. A field of small DiOC6(3) stained islands is present on the vegetal surface, with most of the islands on one side of the furrow. Furrows stain brightly as they represent two closely-apposed new membranes. (B) This photograph of a different eight-cell embryo shows a cleavage furrow (bright green line) and the boundary between vegetal regions with DiOC6(3) stained islands and with no stained islands. (C, D) Vegetal (C) and animal (D) views of the same approximately 16-cell embryo. Although seven cells are present near the animal pole (D), only two furrows are present in the vegetal region (C). DiOC6(3) stained islands are present primarily in three of the four vegetal cells (C). (E, F) Vegetal (E) and equatorial (F) views of the same morula stage embryo. Although the region near the animal pole is divided into many cells, a limited number of cleavage furrows have reached the vegetal pole. DiOC6(3) islands remain on the vegetal surface, with islands lined up in the forming furrows (E). Embryos are about 3.5 mm in diameter, with (C) enlarged approximately 30% relative to (A) (D) (E) (F).
Figure 4. Ecdazl expression in oocytes. In this ovarian fragment, in situ hybridization showed Ecdazl RNA throughout small oocytes, just beginning vitellogenesis, and localized to one side of vitellogenic oocytes. The vitellogenic oocytes in this preparation are about 1 mm in diameter. Large oocytes, up to 3.5 mm, did not show clear staining and were removed prior to processing of the ovarian fragment.
Figure 5. Ecdazl and EcDEADSouth RNA in cleaving embryos. (A) In this vegetal view, many islands containing Ecdazl RNA are visible near the surface of a four-cell embryo. Cleavage furrows have not reached the vegetal half. (B) In this side view of a 16-cell embryo, islands of Ecdazl RNA are present near the vegetal pole. Cleavage furrows have reached the vegetal half. (C) In this vegetal view, many EcDEADSouth islands are visible despite some surface damage. (D) In this 16-cell embryo with two furrows reaching the vegetal pole, most of the surface surrounding the vegetal pole has been lost, revealing the whiter underlying cytoplasm. The surface loss permits several observations. First, EcDEADSouth islands are visible on the intact surface. Second, the islands are located asymmetrically relative to the vegetal pole, marked by the intersecting furrows. Third, EcDEADSouth islands are present in the cleavage furrow, where internal cytoplasm is exposed.
Figure 6. Ecdazl expression in primordial germ cells. Yolk-filled cells with Ecdazl RNA (arrows) are present in the genital ridges of this TS14 embryo.
Figure 7. Activity of the EcDazl3'UTR. A X. laevis egg was injected with RNAs of both Venus-XlDS3'UTR and mCHERRY-EcDazl3'UTR. The genital ridge region of the embryo (A) was examined at stage 40 with different light sources to detect Venus (B, green) and mCHERRY (C, red) proteins. The merged image (D, yellow) shows that these two proteins co-localized. The co-localization indicates that the EcDazl 3'UTR directed PGC-specific protein expression in X. laevis.
Bachvarova,
Evolution of germ cell development in tetrapods: comparison of urodeles and amniotes.
2009, Pubmed
Bachvarova,
Evolution of germ cell development in tetrapods: comparison of urodeles and amniotes.
2009,
Pubmed Beckham,
Localization of RNAs in oocytes of Eleutherodactylus coqui, a direct developing frog, differs from Xenopus laevis.
2003,
Pubmed
,
Xenbase Benford,
Precocious appearance of the gray crescent in heat-shocked axolotl eggs.
1974,
Pubmed Berekelya,
Xenopus Germes encodes a novel germ plasm-associated transcript.
2003,
Pubmed
,
Xenbase BLACKLER,
Contribution to the study of germ-cells in the anura.
1958,
Pubmed Buchholz,
Nutritional endoderm in a direct developing frog: a potential parallel to the evolution of the amniote egg.
2007,
Pubmed
,
Xenbase Cha,
Wnt5a and Wnt11 interact in a maternal Dkk1-regulated fashion to activate both canonical and non-canonical signaling in Xenopus axis formation.
2008,
Pubmed
,
Xenbase Chan,
The maternally localized RNA fatvg is required for cortical rotation and germ cell formation.
2007,
Pubmed
,
Xenbase Chang,
Localization of RNAs to the mitochondrial cloud in Xenopus oocytes through entrapment and association with endoplasmic reticulum.
2004,
Pubmed
,
Xenbase Cuykendall,
Vegetally localized Xenopus trim36 regulates cortical rotation and dorsal axis formation.
2009,
Pubmed
,
Xenbase Delbos,
Intraendodermal and intramesenteric migration of anuran amphibian germ cells: transmission and scanning electron microscopy.
1982,
Pubmed Elinson,
Raldh expression in embryos of the direct developing frog Eleutherodactylus coqui and the conserved retinoic acid requirement for forelimb initiation.
2008,
Pubmed
,
Xenbase Elinson,
A transient array of parallel microtubules in frog eggs: potential tracks for a cytoplasmic rotation that specifies the dorso-ventral axis.
1988,
Pubmed
,
Xenbase Elinson,
Parallel microtubules and other conserved elements of dorsal axial specification in the direct developing frog, Eleutherodactylus coqui.
2003,
Pubmed
,
Xenbase Extavour,
Mechanisms of germ cell specification across the metazoans: epigenesis and preformation.
2003,
Pubmed Fujisue,
Subcortical Rotation and Specification of the Dorsoventral Axis in Newt Eggs: (newt eggs/subcortical rotation/dorsoventral axis).
1991,
Pubmed
,
Xenbase Horvay,
Xenopus Dead end mRNA is a localized maternal determinant that serves a conserved function in germ cell development.
2006,
Pubmed
,
Xenbase Houston,
Germ plasm and molecular determinants of germ cell fate.
2000,
Pubmed
,
Xenbase Houston,
A Xenopus DAZ-like gene encodes an RNA component of germ plasm and is a functional homologue of Drosophila boule.
1998,
Pubmed
,
Xenbase Hudson,
Xpat, a gene expressed specifically in germ plasm and primordial germ cells of Xenopus laevis.
1998,
Pubmed
,
Xenbase Ikenishi,
Spatio-temporal distribution of the protein of Xenopus vasa homologue (Xenopus vasa-like gene 1, XVLG1) in embryos.
1996,
Pubmed
,
Xenbase Ikenishi,
Spatio-temporal expression of Xenopus vasa homolog, XVLG1, in oocytes and embryos: the presence of XVLG1 RNA in somatic cells as well as germline cells.
2000,
Pubmed
,
Xenbase Iwao,
Changes in microtubule structures during the first cell cycle of physiologically polyspermic newt eggs.
1997,
Pubmed
,
Xenbase Johnson,
Regulative germ cell specification in axolotl embryos: a primitive trait conserved in the mammalian lineage.
2003,
Pubmed Johnson,
Evolution of the germ line-soma relationship in vertebrate embryos.
2011,
Pubmed Johnson,
Evolution of predetermined germ cells in vertebrate embryos: implications for macroevolution.
2003,
Pubmed Johnson,
Expression of axolotl DAZL RNA, a marker of germ plasm: widespread maternal RNA and onset of expression in germ cells approaching the gonad.
2001,
Pubmed
,
Xenbase Kamimura,
Observations on the migration and proliferation of gonocytes in Xenopus laevis.
1976,
Pubmed
,
Xenbase Kataoka,
Visualization of the Xenopus primordial germ cells using a green fluorescent protein controlled by cis elements of the 3' untranslated region of the DEADSouth gene.
2006,
Pubmed
,
Xenbase King,
Putting RNAs in the right place at the right time: RNA localization in the frog oocyte.
2005,
Pubmed
,
Xenbase Kloc,
RNA localization and germ cell determination in Xenopus.
2001,
Pubmed
,
Xenbase Kloc,
The Balbiani body and germ cell determinants: 150 years later.
2004,
Pubmed Kloc,
Two distinct pathways for the localization of RNAs at the vegetal cortex in Xenopus oocytes.
1995,
Pubmed
,
Xenbase Koebernick,
Elr-type proteins protect Xenopus Dead end mRNA from miR-18-mediated clearance in the soma.
2010,
Pubmed
,
Xenbase Komiya,
Isolation and characterization of a novel gene of the DEAD box protein family which is specifically expressed in germ cells of Xenopus laevis.
1994,
Pubmed
,
Xenbase Ku,
Xwnt-11: a maternally expressed Xenopus wnt gene.
1993,
Pubmed
,
Xenbase Lai,
Nanos1 functions as a translational repressor in the Xenopus germline.
2011,
Pubmed
,
Xenbase Lund,
Deadenylation of maternal mRNAs mediated by miR-427 in Xenopus laevis embryos.
2009,
Pubmed
,
Xenbase MacArthur,
DEADSouth is a germ plasm specific DEAD-box RNA helicase in Xenopus related to eIF4A.
2000,
Pubmed
,
Xenbase Marracci,
Daz- and pumilio-like genes are asymmetrically localized in Pelophylax (Rana) oocytes and are expressed during early spermatogenesis.
2011,
Pubmed Mickoleit,
Regulation of hub mRNA stability and translation by miR430 and the dead end protein promotes preferential expression in zebrafish primordial germ cells.
2011,
Pubmed Mishima,
Differential regulation of germline mRNAs in soma and germ cells by zebrafish miR-430.
2006,
Pubmed Mita,
Expression of Xenopus Daz-like protein during gametogenesis and embryogenesis.
2000,
Pubmed
,
Xenbase Nath,
Status of RNAs, localized in Xenopus laevis oocytes, in the frogs Rana pipiens and Eleutherodactylus coqui.
2005,
Pubmed
,
Xenbase Nath,
RNA of AmVegT, the axolotl orthologue of the Xenopus meso-endodermal determinant, is not localized in the oocyte.
2007,
Pubmed
,
Xenbase Ninomiya,
Mesoderm formation in Eleutherodactylus coqui: body patterning in a frog with a large egg.
2001,
Pubmed
,
Xenbase Nishiumi,
The mode and molecular mechanisms of the migration of presumptive PGC in the endoderm cell mass of Xenopus embryos.
2005,
Pubmed
,
Xenbase Ressom,
Relocation and reorganization of germ plasm in Xenopus embryos after fertilization.
1988,
Pubmed
,
Xenbase Savage,
Dynamics of germ plasm localization and its inhibition by ultraviolet irradiation in early cleavage Xenopus embryos.
1993,
Pubmed
,
Xenbase Sekizaki,
Tracing of Xenopus tropicalis germ plasm and presumptive primordial germ cells with the Xenopus tropicalis DAZ-like gene.
2004,
Pubmed
,
Xenbase Singamsetty,
Novel regulation of yolk utilization by thyroid hormone in embryos of the direct developing frog Eleutherodactylus coqui.
2010,
Pubmed
,
Xenbase Strome,
Germ versus soma decisions: lessons from flies and worms.
2007,
Pubmed Takeda,
DAZL relieves miRNA-mediated repression of germline mRNAs by controlling poly(A) tail length in zebrafish.
2009,
Pubmed Tamori,
Spatio-temporal expression of a DAZ-like gene in the Japanese newt Cynops pyrrhogaster that has no germ plasm.
2004,
Pubmed
,
Xenbase Tao,
Maternal wnt11 activates the canonical wnt signaling pathway required for axis formation in Xenopus embryos.
2005,
Pubmed
,
Xenbase Venkatarama,
Repression of zygotic gene expression in the Xenopus germline.
2010,
Pubmed
,
Xenbase Vincent,
Kinematics of gray crescent formation in Xenopus eggs: the displacement of subcortical cytoplasm relative to the egg surface.
1986,
Pubmed
,
Xenbase Wakahara,
Primordial germ cell development: is the urodele pattern closer to mammals than to anurans?
1996,
Pubmed Watanabe,
Stage-specific expression of microRNAs during Xenopus development.
2005,
Pubmed
,
Xenbase Wylie,
The formation of the gonadal ridge in Xenopus laevis. I. A light and transmission electron microscope study.
1976,
Pubmed
,
Xenbase