Click here to close
Hello! We notice that you are using Internet Explorer, which is not supported by Xenbase and may cause the site to display incorrectly.
We suggest using a current version of Chrome,
FireFox, or Safari.
PLoS One
2011 Jan 01;69:e24698. doi: 10.1371/journal.pone.0024698.
Show Gene links
Show Anatomy links
Growth-arrest-specific protein 2 inhibits cell division in Xenopus embryos.
Zhang T, Dayanandan B, Rouiller I, Lawrence EJ, Mandato CA.
???displayArticle.abstract???
Growth-arrest-specific 2 gene was originally identified in murine fibroblasts under growth arrest conditions. Furthermore, serum stimulation of quiescent, non-dividing cells leads to the down-regulation of gas2 and results in re-entry into the cell cycle. Cytoskeleton rearrangements are critical for cell cycle progression and cell division and the Gas2 protein has been shown to co-localize with actin and microtubules in interphase mammalian cells. Despite these findings, direct evidence supporting a role for Gas2 in the mechanism of cell division has not been reported. To determine whether the Gas2 protein plays a role in cell division, we over-expressed the full-length Gas2 protein and Gas2 truncations containing either the actin-binding CH domain or the tubulin-binding Gas2 domain in Xenopus laevis embryos. We found that both the full-length Gas2 protein and the Gas2 domain, but not the CH domain, inhibited cell division and resulted in multinucleated cells. The observation that Gas2 domain alone can arrest cell division suggests that Gas2 function is mediated by microtubule binding. Gas2 co-localized with microtubules at the cell cortex of Gas2-injected Xenopus embryos using cryo-confocal microscopy and co-sedimented with microtubules in cytoskeleton co-sedimentation assays. To investigate the mechanism of Gas2-induced cell division arrest, we showed, using a wound-induced contractile array assay, that Gas2 stabilized microtubules. Finally, electron microscopy studies demonstrated that Gas2 bundled microtubules into higher-order structures. Our experiments show that Gas2 inhibits cell division in Xenopus embryos. We propose that Gas2 function is mediated by binding and bundling microtubules, leading to cell division arrest.
???displayArticle.pubmedLink???
21931817 ???displayArticle.pmcLink???PMC3170402 ???displayArticle.link???PLoS One ???displayArticle.grants???[+]
Figure 2. Exogenous Gas2 inhibits cell division in Xenopus embryos.
(A) The experimental flowchart and schematically represented results. The darker side of the egg represents the animal pole and the lighter bottom side represents the vegetal pole. The 90 degree angle rotation views show cell numbers in BSA-injected control vs. Gas2-injected embryos. (B) BSA-injected Xenopus embryos continue through normal cell divisions (Video S1). (E) Gas2-injected embryo cells divide once, then arrest in subsequent cell divisions. The non-injected control cell of the Gas2-injected embryo divides normally, and the cell number increases 2-fold every 30 minutes at room temperature (Video S2). The red circles in B and E indicate the needle injection sites. Time was set to 0 at 8-cell stage for demonstration purposes. (G') The rotation view of Fig. 2G embryo shows one of the large arrested cells on the left. Bars, 0.3 mm. (H) Stereo microscopy examination of a Gas2-injected embryo at the 32-cell stage. The normal dividing cells are on the left and the two large arrested cells are on the right. Bar, 0.3 mm. (I and J) Confocal microscopy analysis of post-injected embryo cells with tubulin antibody staining. The white arrow in J indicates that the two large, arrested cells remain connected with microtubules. Bars, 20 . (K) Statistical analysis of cell division rate in BSA- and Gas2-injected embryos. Only 7.2.2% of BSA-injected embryos arrest in cell division; however, 79.2.5% of Gas2-injected embryos arrest in cell division (n = 300 embryos and from 5 experiments, p<0.001). (L) Dosage dependent analysis of cell division rate in Gas2-injected embryos. The calculated LD50 from the dosage dependent analysis graph is 5.5 ng or 31 for one cell of the 2-cell stage Xenopus embryo. The x-axis of the graph is in logarithmic scale.
Figure 3. Over-expression of either the full-length Gas2 protein or the Gas2 domain alone arrests cell division in Xenopus embryos.
(A) The Gas2 protein injected cell is relatively larger than non-injected normal dividing cells. Gas2 localizes to the injected cell cortex (arrow in A) and also co-localizes with microtubule network shown in yellow in the merged image D. Bar, 100 . (E) Cells expressing GFP alone and (I) GFP-CH domain are similar in size to the neighboring non-expressing control cells. Cells in anaphase can be recognized by their microtubule morphology (arrows in F and J) and separating chromosomes (arrows in G and K). Bars in E, 10 and bars in I, 20 . (M) Cells expressing full-length GFP-Gas2 and (Q) GFP-Gas2 domain expressing cells are relatively larger than neighboring non-expressing cells and they also have multiple nuclei, indicating a failure in cell division (arrows in O and S). Bars, 20 .
Figure 4. The expression of either full-length Gas2 protein or the Gas2 domain alone results in abnormal double actin rings at the wound border.
(A) The experimental flowchart and schematically represented results. Oocytes nuclei were injected with different GFP Gas2 constructs and incubated for 48 hours to allow for protein expression. The animal pole of an oocyte was then wounded, fixed and stained for F-actin and tubulin. The wound site was excised and examined by confocal microscopy. (B) Oocyte wound healing control experiment. F-actin forms a single ring and microtubules radially distribute around the wound. Bars, 5 . (E) Oocytes pre-treated with Taxol form abnormal double actin rings (arrows in E) during wound healing. Bars, 10 . (H) Oocytes expressing the full-length GFP-Gas2 form double Gas2 rings (arrows in H), which co-localize with double actin rings (arrows in I) during wound healing. Bars, 20 . (L) Oocytes expressing the full-length GFP-Gas2 and pre-treated with nocodazole form a single Gas2 ring, which co-localizes with single actin ring during wound healing. Bars, 10 . (P-S) Oocytes expressing GFP-CH domain alone form a single actin ring during wound healing. Bar, 10 . (T-W) Oocytes expressing GFP-Gas2 domain alone form a single Gas2 domain ring, which localizes between the double actin rings (arrows in U) during wound healing. The GFP-Gas2 domain does not co-localize with either actin ring. Bar, 10 .
doi:10.1371/journal.pone.0024698.g004
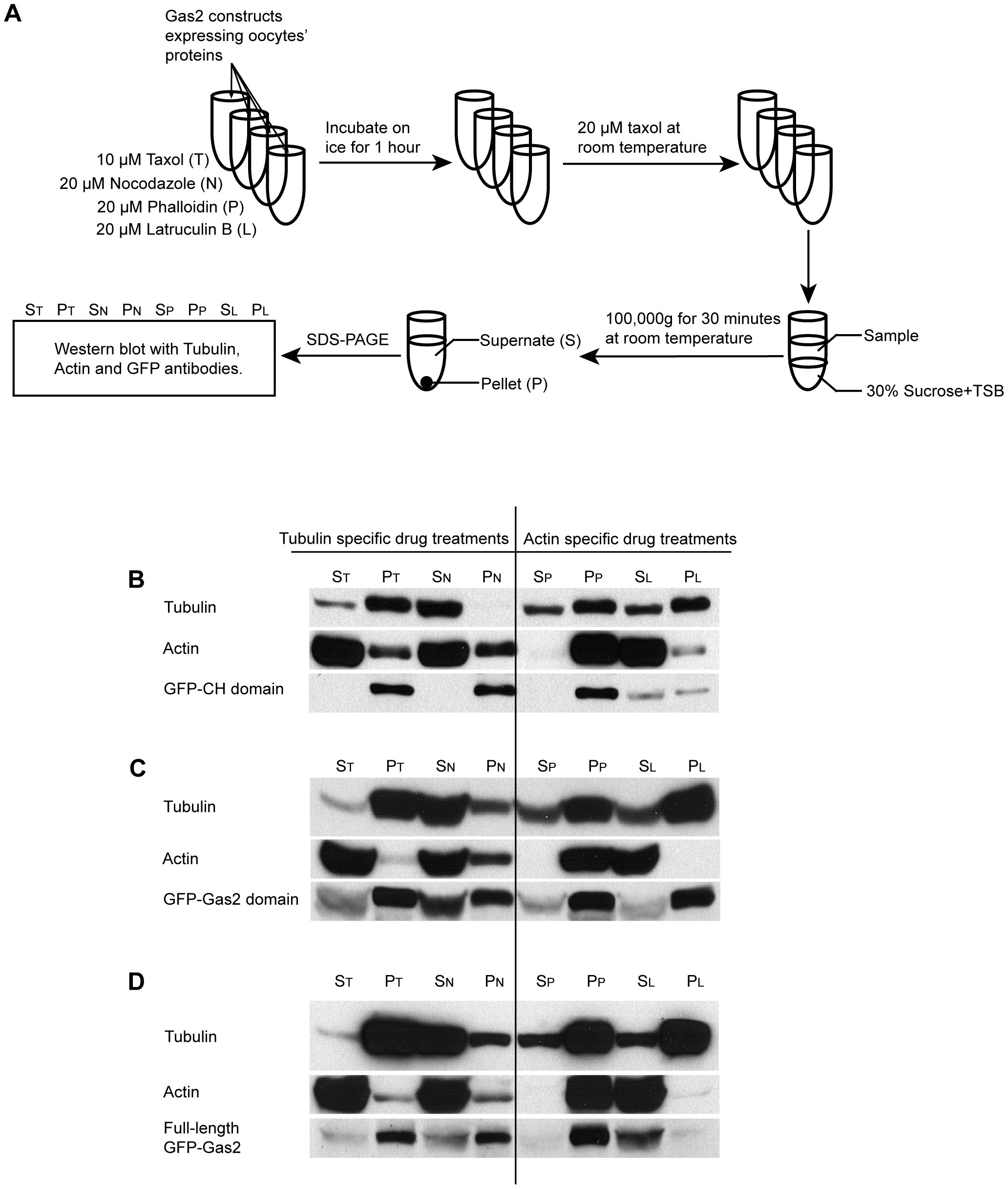
Figure 5. The Gas2 protein co-sediments with F-actin and microtubules.
(A) The experimental flowchart of the cytoskeleton co-sedimentation assays. The samples were pre-treated with either 10 taxol, 20 nocodazole, 20 phalloidin, or 20 latrunculin B to study the cytoskeletal binding properties of Gas2. The samples were incubated on ice for one hour to de-polymerize microtubules. Taxol was added stepwise to a final concentration of 20 to polymerize tubulin into microtubules and samples were incubated at room temperature for one hour. Samples were loaded on the top layer of 30% sucrose solution in tubulin stabilization buffer (TSB), then centrifuged at 100,000 g for 30 minutes at room temperature. The pellets were re-suspended into the same volume as the supernate. Samples were run on SDS-PAGE for Western blot analysis. (B) The GFP-CH domain co-sediments with F-actin in the pellet. When F-actin was de-polymerized into actin monomers with latrunculin B, the CH domain was detected in the supernate (Fig. 5B: SL and PL). (C) The GFP-Gas2 domain co-sediments with microtubule in pellets. When microtubules were de-polymerized with nocodazole, more Gas2 domain was found in the supernate compared with taxol-treated samples (Fig. 5C: SN and PN vs. ST and PT). (D) The full-length GFP-Gas2 co-sediments with both F-actin and microtubules. When F-actin is de-polymerized with latrunculin B, the full-length Gas2 surprisingly remains in the supernate only. ST: Supernate of Taxol treatment, PT: Pellet of Taxol treatment; SN: Supernate of Nocodazole treatment, PN: Pellet of Nocodazole treatment; SP: Supernate of Phalloidin treatment, PP: Pellet of Phalloidin treatment; SL: Supernate of Latrunculin B treatment, and PL: Pellet of Latrunculin B treatment.
Figure 6. The full-length Gas2 protein bundles microtubules in vitro.
(A) F-actin alone appears as non-organized long filaments. (B) In the presence of Gas2, F-actin remains as non-organized long filaments as in A. Bars, 200 nm. (C) Microtubules alone appear as long, randomly distributed cables. (D) Microtubules bundle together when Gas2 is present in the sample. Bars, 0.2 . (E) Gas2 bundles microtubules, but does not organize F-actin when microtubules, F-actin and Gas2 protein are mixed together. Bar, 200 nm. The order of Gas2 addition relative to the microtubules or F-actin has no effect on the observed results.
Figure 1. The Gas2 protein is conserved during evolution.(A) Phylogenetic tree of Gas2 protein. The phylogenetic relationship was derived by ClustalW program. The numbers represent the evolutionary distances. (B) Multiple sequences alignment of Gas2 amino acid sequences from different species. The alignment was generated using ClustalW. “*” indicates identical amino acids in all sequences in the alignment; “:” indicates that conserved substitutions have been observed; and “.” indicates that semi-conserved substitutions have been observed. (C) The mouse Gas2 protein [P11862] domain structure and amino acid sequence. N-terminal full-length GFP-Gas2, GFP-CH domain and GFP-Gas2 domain constructs were used in this study. The domains colors are matched with relative amino acid colored sequences. The boxed region indicates the 4 P-S repeats location, which gives this region more structural flexibility. (D) Western blot analysis of GFP Gas2 constructs expression. GFP = 27 kDa, full-length GFP-Gas2 = 62 kDa, GFP-CH domain = 49 kDa and GFP-Gas2 domain = 44 kDa.
Bement,
Wound-induced assembly and closure of an actomyosin purse string in Xenopus oocytes.
1999, Pubmed,
Xenbase
Bement,
Wound-induced assembly and closure of an actomyosin purse string in Xenopus oocytes.
1999,
Pubmed
,
Xenbase Brancolini,
Gas2, a growth arrest-specific protein, is a component of the microfilament network system.
1992,
Pubmed Collavin,
cDNA characterization and chromosome mapping of the human GAS2 gene.
1998,
Pubmed Grinnell,
Cell motility and mechanics in three-dimensional collagen matrices.
2010,
Pubmed Heng,
Actin cytoskeleton dynamics and the cell division cycle.
2010,
Pubmed Kline-Smith,
Mitotic spindle assembly and chromosome segregation: refocusing on microtubule dynamics.
2004,
Pubmed Lee,
Aberrant splicing but not mutations of TSG101 in human breast cancer.
1997,
Pubmed Li,
The TSG101 tumor susceptibility gene is located in chromosome 11 band p15 and is mutated in human breast cancer.
1997,
Pubmed Mandato,
Contraction and polymerization cooperate to assemble and close actomyosin rings around Xenopus oocyte wounds.
2001,
Pubmed
,
Xenbase Mandato,
Actomyosin transports microtubules and microtubules control actomyosin recruitment during Xenopus oocyte wound healing.
2003,
Pubmed
,
Xenbase Mitelman,
A breakpoint map of recurrent chromosomal rearrangements in human neoplasia.
1997,
Pubmed Pardee,
Animal cell cycle.
1978,
Pubmed Petroulakis,
p53-dependent translational control of senescence and transformation via 4E-BPs.
2009,
Pubmed Pines,
The cytolinker Pigs is a direct target and a negative regulator of Notch signalling.
2010,
Pubmed Rodriguez,
Conserved microtubule-actin interactions in cell movement and morphogenesis.
2003,
Pubmed Röper,
A spectraplakin is enriched on the fusome and organizes microtubules during oocyte specification in Drosophila.
2004,
Pubmed Schneider,
Genes specifically expressed at growth arrest of mammalian cells.
1988,
Pubmed Steiner,
Absence of rearrangements in the tumour susceptibility gene TSG101 in human breast cancer.
1997,
Pubmed Stroud,
Characterization of G2L3 (GAS2-like 3), a new microtubule- and actin-binding protein related to spectraplakins.
2011,
Pubmed Sun,
Characterization of the microtubule binding domain of microtubule actin crosslinking factor (MACF): identification of a novel group of microtubule associated proteins.
2001,
Pubmed Zhang,
Xenopus oocyte wound healing as a model system for analysis of microtubule-actin interactions.
2007,
Pubmed
,
Xenbase