Click here to close
Hello! We notice that you are using Internet Explorer, which is not supported by Xenbase and may cause the site to display incorrectly.
We suggest using a current version of Chrome,
FireFox, or Safari.
PLoS One
2011 May 03;65:e19336. doi: 10.1371/journal.pone.0019336.
Show Gene links
Show Anatomy links
Insights on the evolution of prolyl 3-hydroxylation sites from comparative analysis of chicken and Xenopus fibrillar collagens.
Hudson DM, Weis M, Eyre DR.
???displayArticle.abstract???
Recessive mutations that prevent 3-hydroxyproline formation in type I collagen have been shown to cause forms of osteogenesis imperfecta. In mammals, all A-clade collagen chains with a GPP sequence at the A1 site (P986), except α1(III), have 3Hyp at residue P986. Available avian, amphibian and reptilian type III collagen sequences from the genomic database (Ensembl) all differ in sequence motif from mammals at the A1 site. This suggests a potential evolutionary distinction in prolyl 3-hydroxylation between mammals and earlier vertebrates. Using peptide mass spectrometry, we confirmed that this 3Hyp site is fully occupied in α1(III) from an amphibian, Xenopus laevis, as it is in chicken. A thorough characterization of all predicted 3Hyp sites in collagen types I, II, III and V from chicken and xenopus revealed further differences in the pattern of occupancy of the A3 site (P707). In mammals only α2(I) and α2(V) chains had any 3Hyp at the A3 site, whereas in chicken all α-chains except α1(III) had A3 at least partially 3-hydroxylated. The A3 site was also partially 3-hydroxylated in xenopus α1(I). Minor differences in covalent cross-linking between chicken, xenopus and mammal type I and III collagens were also found as a potential index of evolving functional differences. The function of 3Hyp is still unknown but observed differences in site occupancy during vertebrate evolution are likely to give important clues.
???displayArticle.pubmedLink???
21559283 ???displayArticle.pmcLink???PMC3086908 ???displayArticle.link???PLoS One ???displayArticle.grants???[+]
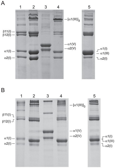
Figure 1. Isolated collagen species from chicken and xenopus on 6% SDS-PAGE.A, chicken collagens; lane 1, acid soluble fraction; lane 2, neutral 1.0 M salt soluble fraction ; lane 3, acid 1.2 M salt fraction; lane 4, neutral salt insoluble fraction; lane 5, reduced neutral salt insoluble fraction. B, xenopus collagens; lane 1, acid soluble fraction; lane 2, neutral 1.0 M salt soluble fraction; lane 3, acid 1.2 M salt fraction; lane 4, neutral salt insoluble fraction; lane 5, reduced neutral salt insoluble fraction. β11(I) and β12(I) are cross-linked α1-α1 and α1-α2 chain dimers, respectively.
Figure 2. Mass spectra of tryptic peptides containing the A1 site from chicken and xenopus α1(III).Comparison of full scan spectra from LC-MS profiles of in-gel trypsin digests of the homologous sequence in the α1(III) chain from A, chicken; and B, xenopus. C, MS/MS analysis of the 3Hyp containing tryptic peptide from xenopus.
Figure 3. Mass spectra of tryptic peptides containing the A3 site in chicken fibrillar collagens.Full scan spectra from LC-MS profiles of in-gel trypsin digests of α1(I) from chicken bone, A; α2(I) from chicken skin, B; α1(II) from chicken cartilage, C; and α2(V) from chicken skin, D. The degree of hydroxylation at P707 is estimated through a correlation with the relative abundance of the representative ions. P*, 4Hyp; P#, 3Hyp.
Figure 4. Chicken and xenopus sequences and locations of 3Hyp residues in A-clade and B-clade collagen α-chains.D-periodic spacing is evident between the 3Hyp residues at sites A4 and A3 and between sites A3 and A2 in the A-clade triple helical procollagen molecule; and between sites B3 and B2 in the B-clade triple helical procollagen molecule. GPP sequences containing potential 3Hyp sites are shown in bold with occupied sites underlined. Percentage of 3Hyp occupancy relative to the unmodified sequence is indicated. Absence of the GPP sequence is indicated with n/a.
Baldridge,
CRTAP and LEPRE1 mutations in recessive osteogenesis imperfecta.
2008, Pubmed
Baldridge,
CRTAP and LEPRE1 mutations in recessive osteogenesis imperfecta.
2008,
Pubmed Barnes,
Deficiency of cartilage-associated protein in recessive lethal osteogenesis imperfecta.
2006,
Pubmed Barnes,
Lack of cyclophilin B in osteogenesis imperfecta with normal collagen folding.
2010,
Pubmed Berg,
The thermal transition of a non-hydroxylated form of collagen. Evidence for a role for hydroxyproline in stabilizing the triple-helix of collagen.
1973,
Pubmed Boot-Handford,
Fibrillar collagen: the key to vertebrate evolution? A tale of molecular incest.
2003,
Pubmed Cabral,
Prolyl 3-hydroxylase 1 deficiency causes a recessive metabolic bone disorder resembling lethal/severe osteogenesis imperfecta.
2007,
Pubmed Capellini,
Conservation of notochord gene expression across chordates: insights from the Leprecan gene family.
2008,
Pubmed Chung,
Isolation and characterization of the cyanogen bromide peptides from the alpha 1(3) chain of human collagen.
1974,
Pubmed Epstein,
Isolation and characterization of the peptides derived from soluble human and baboon skin collagen after cyanogen bromide cleavage.
1971,
Pubmed Epstein,
Isolation and characterization of CNBr peptides of human (alpha 1 (III) )3 collagen and tissue distribution of (alpha 1 (I) )2 alpha 2 and (alpha 1 (III) )3 collagens.
1975,
Pubmed Eyre,
Cross-linking in collagen and elastin.
1984,
Pubmed Eyre,
Collagen cross-linking amino acids.
1987,
Pubmed Fietzek,
The covalent structure of collagen. Amino-acid sequence of peptide 1-CB6-C2.
1972,
Pubmed Hanna,
Comparison of proteins expressed by Pseudomonas aeruginosa strains representing initial and chronic isolates from a cystic fibrosis patient: an analysis by 2-D gel electrophoresis and capillary column liquid chromatography-tandem mass spectrometry.
2000,
Pubmed Herrmann,
Isolation and characterization of type III collagen from chick stain.
1975,
Pubmed Hilken,
Growth of Xenopus laevis under different laboratory rearing conditions.
1995,
Pubmed
,
Xenbase Ishikawa,
Biochemical characterization of the prolyl 3-hydroxylase 1.cartilage-associated protein.cyclophilin B complex.
2009,
Pubmed Kang,
Characterization of the cyanogen bromide peptides from the alpha 1 chain of chick skin collagen.
1969,
Pubmed Laemmli,
Cleavage of structural proteins during the assembly of the head of bacteriophage T4.
1970,
Pubmed Mizuno,
Effect of the -Gly-3(S)-hydroxyprolyl-4(R)-hydroxyprolyl- tripeptide unit on the stability of collagen model peptides.
2008,
Pubmed Morello,
CRTAP is required for prolyl 3- hydroxylation and mutations cause recessive osteogenesis imperfecta.
2006,
Pubmed Myllyharju,
Collagens, modifying enzymes and their mutations in humans, flies and worms.
2004,
Pubmed van Dijk,
PPIB mutations cause severe osteogenesis imperfecta.
2009,
Pubmed Vranka,
Prolyl 3-hydroxylase 1, enzyme characterization and identification of a novel family of enzymes.
2004,
Pubmed Weis,
Location of 3-hydroxyproline residues in collagen types I, II, III, and V/XI implies a role in fibril supramolecular assembly.
2010,
Pubmed Welgus,
Degradation of monomeric and fibrillar type III collagens by human skin collagenase. Kinetic constants using different animal substrates.
1985,
Pubmed Welgus,
The collagen substrate specificity of human skin fibroblast collagenase.
1981,
Pubmed Willaert,
Recessive osteogenesis imperfecta caused by LEPRE1 mutations: clinical documentation and identification of the splice form responsible for prolyl 3-hydroxylation.
2009,
Pubmed Wu,
Type III collagen, a fibril network modifier in articular cartilage.
2010,
Pubmed Zhang,
The collagens of hydra provide insight into the evolution of metazoan extracellular matrices.
2007,
Pubmed