Click here to close
Hello! We notice that you are using Internet Explorer, which is not supported by Xenbase and may cause the site to display incorrectly.
We suggest using a current version of Chrome,
FireFox, or Safari.
???displayArticle.abstract???
MicroRNA-protein complexes (microRNPs) can activate translation of target reporters and specific mRNAs in quiescent (i.e., G0) mammalian cell lines. Induced quiescent cells, like folliculated immature oocytes, have high levels of cAMP that activate protein kinase AII (PKAII) to maintain G0 and immature states. We report microRNA-mediated up-regulated expression of reporters in immature Xenopus laevis oocytes, dependent on Xenopus AGO or human AGO2 and on FXR1, as in mammalian cells. Importantly, we find that maintenance of cAMP levels and downstream PKAII signaling are required for microRNA-mediated up-regulated expression in oocytes. We identify an important, endogenous cell state regulator, Myt1 kinase, as a natural target of microRNA-mediated up-regulation in response to xlmiR16, ensuring maintenance of oocyte immaturity. Our data reveal the physiological relevance of cAMP/PKAII-controlled posttranscriptional gene expression activation by microRNAs in maintenance of the immature oocyte state.
Fig. 1. MicroRNAs mediate up-regulated expression of reporters coinjected into the GV of folliculated stage IVâVI oocytes. (A) MiR369-3p (but not control let-7a) up-regulates expression of the ARE reporter (but not of CTRL reporter), when coinjected into the GV with the ARE and CTRL luciferase plasmids along with REN. (B) MiRcxcr4 (but not control let-7a) up-regulates expression of the CX reporter (2, 11) over time when coinjected with the CX luciferase plasmid into GV. MiRcxcr4 and the control miR (let-7a) do not alter total oocyte (C) or cytoplasmic levels (D) of the CX reporter mRNA. Northern blots show the protected 250-nt band for the Firefly luciferase reporter and a 100-nt protected band for the coinjected REN reporter (SI Methods). (E) MiRcxcr4 (but not control let-7a) up-regulates expression of the CX transcript when coinjected into GVs of folliculated but not of defolliculated oocytes. (F) MiRcxcr4 represses translation of the CX reporter in progesterone-matured oocytes as opposed to up-regulated expression in immature, folliculated oocytes. MiR:mRNA base pairing shown in A and B and in E and F, as well as in subsequent figures. CâF used in vitro-transcribed, capped luciferase reporter RNAs. Firefly luciferase values were normalized to the cotransfected REN control.
Fig. 2. The cAMP/PKA pathway mediates up-regulated translation by microRNPs in oocytes. (A) Addition of 1.25 mM papaverine, a phosphodiesterase inhibitor that blocks turnover of cAMP, restores up-regulated translation of the CX reporter by miRcxcr4 (but not by control miR, let-7a) in defolliculated oocytes. (B) Expression of PKA repressor I (RI) abrogates, whereas repressor II (RII) activates, translation of the CX reporter in the presence of miRcxcr4 and of the AGO2-tethered reporter in oocytes. (C) Blocking the PKA pathway (dominant negative PKA, dnPKA) or the downstream PAK pathway (using a dominant negative inhibitor, AID) causes loss of up-regulation of CX by miRcxcr4 in folliculated immature oocytes compared with a mutant form of the inhibitor, mtAID, or a GFP control. Expression of a constitutively active PAK, L107F, enables up-regulated expression of CX by miRcxcr4 in defolliculated oocytes whereas a kinase inactive form, K299R, does not. Expression of a constitutively active RAFv600E or a constitutively active MEK, MEKDD (both are turned off by PAK), blocks up-regulated expression of CX by miRcxcr4 compared with the GFP control in folliculated immature oocytes. L107F and K299R samples used defolliculated oocytes, whereas all other samples were folliculated oocytes. All reporters were in vitro-transcribed, capped luciferase RNAs; the signaling proteins were expressed from plasmids. Firefly luciferase values were normalized against REN.
Fig. 3. FXR1 and xlAGO are required for microRNA-mediated up-regulated translation in oocytes. (A) Sixteen hours of DNA antisense treatment decreases endogenous FXR1 and AGO protein levels in the oocyte, which were rescued by expression of in vitro-transcribed mRNAs encoding λN-tagged Xenopus FXR1 and AGO, respectively, as observed by Western blotting (SI Methods and Fig. S3D). Actin served as a loading control. Twofold dilutions (12.5â100%) of mock-treated immature oocyte extract (lanes 1â4) are shown: Upper (AGO) and Lower (FXR1). Lanes 5â6 and 7â8 (Upper) are duplicate samples, as are lanes 5â7 and 8â9 (Lower). (B) MiRcxcr4 activates translation of the CX reporter mRNA expressed from a plasmid when coinjected into the nuclei of immature, folliculated oocytes (mock). Antisense reduction of Xenopus AGO or FXR1 levels abrogates activation of the CX reporter, which can be rescued by expression of the λN-tagged resistant clones. (C) Expression of λN-tagged Xenopus FXR1 or AGO (XlFXR1 and XlAGO) mRNAs into immature oocyte nuclei causes translation activation of the co-injected tethered reporter. λN and the λNprpδ mutant form of human AGO2 are controls. (D) Plasmids expressing λN-tagged human FXR1 or AGO2 co-injected into immature oocyte nuclei cause translation activation of the tethered reporter. In vitro-transcribed, capped XlFXR1 and XlAGO mRNAs (AâC), and plasmids expressing hAGO2 and hFXR1 (D) were used for protein expression; experiments in C and D used in vitro-transcribed capped tethered reporter. In BâD, Firefly luciferase values were normalized against REN. (E) RT-PCR analysis (Upper) of RNAs extracted from anti-AGO2 or control anti-FLAG co-immunoprecipitates (Ip) from oocyte nuclear extracts co-injected with the CX or CTRL reporters and the specific miRcxcr4 or the control microRNA, let-7a, reveals significant association of CX but not CTRL mRNA with xlAGO in the presence but not absence of miRcxcr4. (Lower) Western blot of AGO protein in input and immunoprecipitation (Ip) lanes.
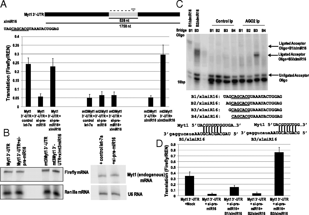
Fig. 4. Myt1 mRNA translation is up-regulated by a 5â² variant xlmiR16. (A) Myt1 3â²-UTR has seven putative xlmiR16 sites (dashes). Mutation of the site at 1,284 nt (mt3Myt1 3â²-UTR) in the 528-nt or full-length Myt1 3â²-UTR failed to demonstrate translation activation and was unaffected by xlmiR16 presence or depletion (SI Methods; siRNAs antisense to pre-miR16 reduced mature xlmiR16 after 6 h, likely because of interference with processing or stability instead of cleavage activity; Fig. S4A). Translation activation is restored by addition of a compensatorily mutated xlmt3miR16 that can base pair to the mutated site (SI Methods). Both B1/xlmiR16 (shown) and B3/xlmiR16 (Fig. 4C shows base pairing) are able to rescue. (B) Northern analyses of Firefly reporters containing the 528-nt Myt1 3â²-UTR and mt3Myt1 3â²-UTR and REN RNA levels after treatment with si-pre-miR16 with or without mt3xlmiR16 add-back. (Right) Endogenous Myt1 mRNA levels with or without si-pre-miR16 treatment; U6 RNA is a loading control. (C) Splint ligation reactions (SI Methods) containing the labeled 14-nt acceptor oligo and RNAs isolated from anti-AGO2 or -FLAG (control) immunoprecipitates (Ip). XlmiR16 variants that are successively truncated by one nucleotide at the 5â² end (B1/xlmiR16-B4/xlmiR16) were detected using DNA bridge oligos B1-B4, complementary to the first 16 nt of the predicted microRNAs. The predicted full-length form, B1/xlmiR16, is only faintly visible in the sample immunoprecipitated with anti-AGO2, suggesting that it is less abundant than B3/xlmiR16, which is revealed by the B3 bridge oligo to be an abundant microRNA in anti-AGO2 immunoprecipitates. Lanes marked B1/xlmiR16 and B3/xlmiR16 show synthetic miR16 RNAs as size controls. Underlined nucleotides are required for interaction with the Myt1 3â²-UTR. Base pairing between Myt1 target site and B1/xlmiR16 or B3/xlmiR16 are shown. (D) Oocytes treated with mock (let-7a) or si-pre-miR16 were coinjected with synthetic xlmiR16 forms to assess rescue of full-length Myt1 3â²-UTR reporter translation. Firefly luciferase values were normalized to REN. B1/xlmiR16 undergoes trimming to the B3/xlmiR16 form and rescues translation to a lesser extent than B3/xlmiR16.
Fig. 5. Translation activation of Myt1 mRNA by xlmiR16 is essential for maintenance of the immature state. (A) Coinjection of an LNA antisense oligonucleotide complementary to the xlmiR16 target site (LNAmyt, gray dash) in the 528-nt Myt1 3â²-UTR abrogates translation activation, as does knockdown of xlmiR16 with si-pre-miR16, which can be rescued by B1/xlmiR16. Mutation of this target site (mtMYT1) abrogates translation activation, but add-back of the compensatorily mutated microRNA, xlmtmiR16, restores activation. Firefly luciferase values were normalized to REN. Mutations are in lowercase. (B) LNAmyt (increasing twofold, 0.25â4 pmol) blocks accumulation of endogenous Myt1 protein in the oocyte, whereas Myt1 protein levels are restored at the highest LNAmyt concentration by coinjecting a Myt1 expression vector lacking its 3â²-UTR (Mytctrlutr), compared with twofold dilutions (25â100%) of control untreated immature oocyte extract. (C) Northern blot demonstrating that depletion of mature xlmiR16 in the oocyte can be reversed by injecting synthetic mature B3/xlmiR16. U6 controlled for loading. (D) Pretreatment with si-pre-miR16, which lowers endogenous Myt1 protein levels in the oocyte (duplicate lanes), can be reversed by injection of synthetic mature B3/xlmiR16 (duplicate lanes) compared with untreated immature oocyte extract (100% and 50%). (E) Pretreatment with si-pre-miR16 leads to decreased levels of Myt1 protein and consequent loss of phosphorylated CDC2, which can be restored by addition of synthetic mature B3/xlmiR16, as judged by comparison with twofold dilutions (25â100%) of untreated immature oocyte extract. Actin served as the loading control for Western analyses (B, D, and E).
Armisen,
Abundant and dynamically expressed miRNAs, piRNAs, and other small RNAs in the vertebrate Xenopus tropicalis.
2009, Pubmed,
Xenbase
Armisen,
Abundant and dynamically expressed miRNAs, piRNAs, and other small RNAs in the vertebrate Xenopus tropicalis.
2009,
Pubmed
,
Xenbase Bartel,
MicroRNAs: target recognition and regulatory functions.
2009,
Pubmed Bhattacharyya,
Relief of microRNA-mediated translational repression in human cells subjected to stress.
2006,
Pubmed Carthew,
Origins and Mechanisms of miRNAs and siRNAs.
2009,
Pubmed Cho-Chung,
Tumor reversion: protein kinase A isozyme switching.
2005,
Pubmed Choi,
Target protectors reveal dampening and balancing of Nodal agonist and antagonist by miR-430.
2007,
Pubmed Coller,
A new description of cellular quiescence.
2006,
Pubmed Didiano,
Molecular architecture of a miRNA-regulated 3' UTR.
2008,
Pubmed Doench,
siRNAs can function as miRNAs.
2003,
Pubmed Faure,
Control of G2/M transition in Xenopus by a member of the p21-activated kinase (PAK) family: a link between protein kinase A and PAK signaling pathways?
1999,
Pubmed
,
Xenbase Friedman,
Role of cyclic nucleotides in cell growth and differentiation.
1976,
Pubmed Furuno,
Expression of cell-cycle regulators during Xenopus oogenesis.
2003,
Pubmed
,
Xenbase Iwasaki,
Argonaute-mediated translational repression (and activation).
2009,
Pubmed Kovo,
An active protein kinase A (PKA) is involved in meiotic arrest of rat growing oocytes.
2006,
Pubmed Lau,
Systematic and single cell analysis of Xenopus Piwi-interacting RNAs and Xiwi.
2009,
Pubmed
,
Xenbase Liu,
A role for the P-body component GW182 in microRNA function.
2005,
Pubmed Ma,
MicroRNA activity is suppressed in mouse oocytes.
2010,
Pubmed Moore,
Pre-mRNA processing reaches back to transcription and ahead to translation.
2009,
Pubmed Motlík,
Cell-cycle aspects of growth and maturation of mammalian oocytes.
1990,
Pubmed Nahvi,
An expanded seed sequence definition accounts for full regulation of the hid 3' UTR by bantam miRNA.
2009,
Pubmed Nakahara,
Targets of microRNA regulation in the Drosophila oocyte proteome.
2005,
Pubmed Nakajo,
Absence of Wee1 ensures the meiotic cell cycle in Xenopus oocytes.
2000,
Pubmed
,
Xenbase Say,
A functional requirement for PAK1 binding to the KH(2) domain of the fragile X protein-related FXR1.
2010,
Pubmed Schorderet-Slatkine,
Cyclic AMP-mediated control of meiosis: effects of progesterone, cholera toxin, and membrane-active drugs in Xenopus laevis oocytes.
1982,
Pubmed
,
Xenbase Skålhegg,
Specificity in the cAMP/PKA signaling pathway. differential expression, regulation, and subcellular localization of subunits of PKA.
1997,
Pubmed Taieb,
On cyclins, oocytes, and eggs.
1997,
Pubmed Till,
A conserved motif in Argonaute-interacting proteins mediates functional interactions through the Argonaute PIWI domain.
2007,
Pubmed Vasudevan,
Switching from repression to activation: microRNAs can up-regulate translation.
2007,
Pubmed Weinmann,
Importin 8 is a gene silencing factor that targets argonaute proteins to distinct mRNAs.
2009,
Pubmed Yang,
GW182 is critical for the stability of GW bodies expressed during the cell cycle and cell proliferation.
2004,
Pubmed