Click here to close
Hello! We notice that you are using Internet Explorer, which is not supported by Xenbase and may cause the site to display incorrectly.
We suggest using a current version of Chrome,
FireFox, or Safari.
PLoS One
2011 Mar 29;63:e17811. doi: 10.1371/journal.pone.0017811.
Show Gene links
Show Anatomy links
Frequency of KCNC3 DNA variants as causes of spinocerebellar ataxia 13 (SCA13).
Figueroa KP, Waters MF, Garibyan V, Bird TD, Gomez CM, Ranum LP, Minassian NA, Papazian DM, Pulst SM.
???displayArticle.abstract???
BACKGROUND: Gain-of function or dominant-negative mutations in the voltage-gated potassium channel KCNC3 (Kv3.3) were recently identified as a cause of autosomal dominant spinocerebellar ataxia. Our objective was to describe the frequency of mutations associated with KCNC3 in a large cohort of index patients with sporadic or familial ataxia presenting to three US ataxia clinics at academic medical centers.
METHODOLOGY: DNA sequence analysis of the coding region of the KCNC3 gene was performed in 327 index cases with ataxia. Analysis of channel function was performed by expression of DNA variants in Xenopus oocytes.
PRINCIPAL FINDINGS: Sequence analysis revealed two non-synonymous substitutions in exon 2 and five intronic changes, which were not predicted to alter splicing. We identified another pedigree with the p.Arg423His mutation in the highly conserved S4 domain of this channel. This family had an early-onset of disease and associated seizures in one individual. The second coding change, p.Gly263Asp, subtly altered biophysical properties of the channel, but was unlikely to be disease-associated as it occurred in an individual with an expansion of the CAG repeat in the CACNA1A calcium channel.
CONCLUSIONS: Mutations in KCNC3 are a rare cause of spinocerebellar ataxia with a frequency of less than 1%. The p.Arg423His mutation is recurrent in different populations and associated with early onset. In contrast to previous p.Arg423His mutation carriers, we now observed seizures and mild mental retardation in one individual. This study confirms the wide phenotypic spectrum in SCA13.
???displayArticle.pubmedLink???
21479265 ???displayArticle.pmcLink???PMC3066194 ???displayArticle.link???PLoS One ???displayArticle.grants???[+]
Figure 1. DNA electropherograms of a family with the p.Arg423His mutation.H2591shows the p.Arg423His mutation (arrow, top), her son (H2629) shows the p.Arg423His mutation and the c.1257C>A variant, and her daughter (H2630) shows the c.1257C>A change, but lacks the mutation.
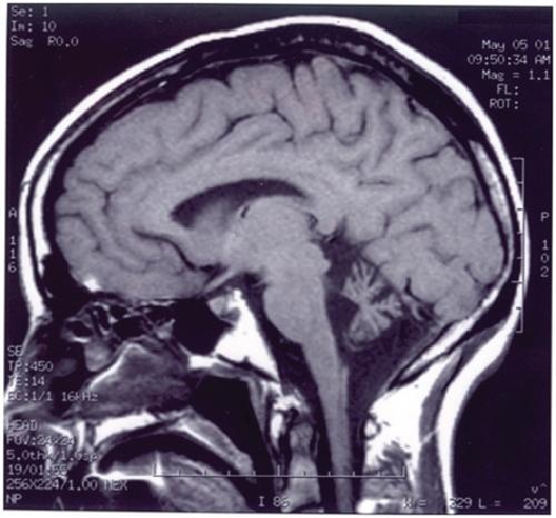
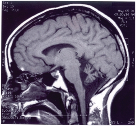
Figure 2. MRI of Patient with the p.Arg423His mutation.Cerebellar atrophy in a 48 year old female (H2591) with ataxia and the KCNC3Arg423His mutation. Midsagittal T1-weighted MRI of the brain shows a small atrophic cerebellum with a normal appearing brainstem.
Figure 3. Mutation kinetics in X. laevis oocytes.p.Gly263Asp alters activation and deactivation kinetics in X. laevis oocytes. (A) p.Gly263Asp currents were evoked by stepping from −90 mV to voltages ranging from −90 mV to +70 mV in 10 mV increments. (B) Normalized isochronal tail current amplitudes have been plotted versus voltage for wild-type (▪, n = 84) and p.Gly263Asp (□, n = 8). (C) Activation time constant (τact) was plotted versus voltage. *Wild-type (▪, n = 36) and p.Gly263Asp (□, n = 8) values differed significantly , p<0.05. Inset: Wild-type (solid) and p.Gly263Asp (dotted) currents were evoked at 0 mV, scaled and overlaid. (D) Deactivation time constant (τdeact) was plotted versus repolarization voltage. Wild-type (▪, n = 10) and p.Gly263Asp (□, n = 8) values differed significantly, p<0.05. Inset: Wild-type (solid) and p.Gly263Asp (dotted) tail currents were recorded at −60 mV, scaled and overlaid.
den Dunnen,
Mutation nomenclature extensions and suggestions to describe complex mutations: a discussion.
2000, Pubmed
den Dunnen,
Mutation nomenclature extensions and suggestions to describe complex mutations: a discussion.
2000,
Pubmed Figueroa,
KCNC3: phenotype, mutations, channel biophysics-a study of 260 familial ataxia patients.
2010,
Pubmed
,
Xenbase Herman-Bert,
Mapping of spinocerebellar ataxia 13 to chromosome 19q13.3-q13.4 in a family with autosomal dominant cerebellar ataxia and mental retardation.
2000,
Pubmed Hoffman,
Overexcited or inactive: ion channels in muscle disease.
1995,
Pubmed Houlden,
Mutations in TTBK2, encoding a kinase implicated in tau phosphorylation, segregate with spinocerebellar ataxia type 11.
2007,
Pubmed Ikeda,
Spectrin mutations cause spinocerebellar ataxia type 5.
2006,
Pubmed Kuzmenkin,
Impaired slow inactivation due to a polymorphism and substitutions of Ser-906 in the II-III loop of the human Nav1.4 channel.
2003,
Pubmed Mariotti,
Spinocerebellar ataxia type 28: a novel autosomal dominant cerebellar ataxia characterized by slow progression and ophthalmoparesis.
2008,
Pubmed Matsumura,
Spinocerebellar ataxia type 6. Molecular and clinical features of 35 Japanese patients including one homozygous for the CAG repeat expansion.
1997,
Pubmed Moseley,
Incidence of dominant spinocerebellar and Friedreich triplet repeats among 361 ataxia families.
1998,
Pubmed Papazian,
Alteration of voltage-dependence of Shaker potassium channel by mutations in the S4 sequence.
1991,
Pubmed
,
Xenbase Pruitt,
NCBI reference sequences (RefSeq): a curated non-redundant sequence database of genomes, transcripts and proteins.
2007,
Pubmed Pujana,
Spinocerebellar ataxias in Spanish patients: genetic analysis of familial and sporadic cases. The Ataxia Study Group.
1999,
Pubmed Rae,
Kv3.3 potassium channels in lens epithelium and corneal endothelium.
2000,
Pubmed Rudy,
Kv3 channels: voltage-gated K+ channels designed for high-frequency repetitive firing.
2001,
Pubmed Schöls,
Genetic background of apparently idiopathic sporadic cerebellar ataxia.
2000,
Pubmed Seoh,
Voltage-sensing residues in the S2 and S4 segments of the Shaker K+ channel.
1996,
Pubmed
,
Xenbase van de Leemput,
Deletion at ITPR1 underlies ataxia in mice and spinocerebellar ataxia 15 in humans.
2007,
Pubmed Waters,
Mutations in voltage-gated potassium channel KCNC3 cause degenerative and developmental central nervous system phenotypes.
2006,
Pubmed
,
Xenbase Waters,
An autosomal dominant ataxia maps to 19q13: Allelic heterogeneity of SCA13 or novel locus?
2005,
Pubmed Yabe,
Spinocerebellar ataxia type 14 caused by a mutation in protein kinase C gamma.
2003,
Pubmed