Click here to close
Hello! We notice that you are using Internet Explorer, which is not supported by Xenbase and may cause the site to display incorrectly.
We suggest using a current version of Chrome,
FireFox, or Safari.
???displayArticle.abstract???
Centrosomes are primary microtubule (MT)-organizing centers (MTOCs). During mitosis, they dramatically increase their size and MT-nucleating activity and participate in spindle assembly from spindle poles. These events require the serine/threonine kinase, Aurora A (AurA), and the centrosomal protein of 192 kDa (Cep192)/spindle defective 2 (Spd-2), but the underlying mechanism remains unclear. We have found that Cep192, unlike targeting protein for Xklp2 (TPX2), a known MT-localizing AurA activator, is an AurA cofactor in centrosome-driven spindle assembly. Cep192, through a direct interaction, targets AurA to mitotic centrosomes where the locally accumulating AurA forms homodimers or oligomers. The dimerization of endogenous AurA, in the presence of bound Cep192, triggers potent kinase activation that, in turn, drives MT assembly. Depletion of Cep192 or specific interference with AurA-Cep192 binding did not prevent AurA oligomerization on MTs but abrogated AurA recruitment to centrosomes and its activation by either sperm nuclei or anti-AurA antibody (αAurA)-induced dimerization. In these settings, MT assembly by both centrosomes and αAurA-coated beads was also abolished or severely compromised. Hence, Cep192 activates AurA by a mechanism different from that previously described for TPX2. The Cep192-mediated mechanism maximizes AurA activity at centrosomes and appears essential for the function of these organelles as MTOCs.
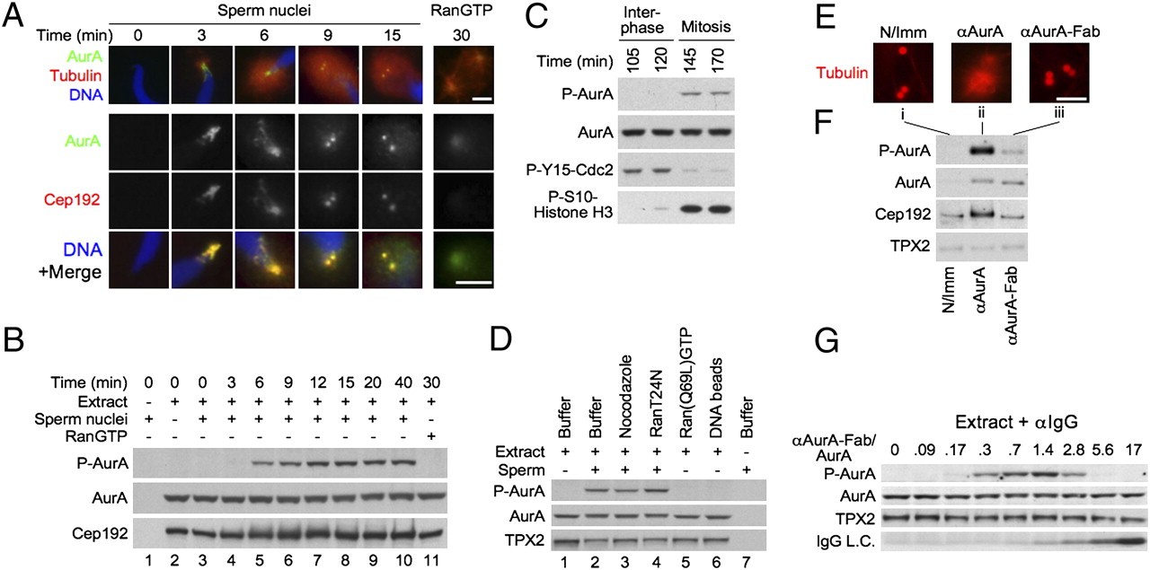
Fig. 1. AurA activation and MT assembly promoted in egg extract by sperm nuclei and αAurA beads. (A) Localization of AurA and Cep192 during MT assembly promoted by sperm nuclei-associated centrosomes (time course) and RanGTP. (Scale bars: 5 μm.) (B) W-blots showing the time course of AurA activation in extract by sperm nuclei (4 à 104/μL). (C) Extract was driven into interphase by the addition of calcium and supplemented with demembranated sperm nuclei (2 à 103/μL). Extract aliquots were withdrawn at the indicated times after sperm addition and analyzed by W-blotting using the indicated antibodies. (D) W-blots of extracts supplemented with XB buffer, nocodazole (50 μM), RanT24N (30 μM), Ran(Q69L)GTP (30 μM), or DNA beads (0.1 μL/μL). Where indicated, reaction mixtures contained sperm nuclei (4 à 104/μL). (E and F) Beads coated with nonimmune IgG (N/Imm), αAurA, or αAurA-Fab were incubated in rhodamine-tubulin+Ran(Q69L)GTP-supplemented extract and analyzed by fluorescence microscopy (E) and W-blotting (F). (Scale bar: 10 μm.) (G) W-blots of extract incubated with 1.7 μM goat anti-rabbit IgG, IgG fraction (αIgG) and increasing concentrations of αAurA-Fab [detected as IgG light chain (IgG L.C.)]. The concentration of AurA in egg extract is â0.35 μM.
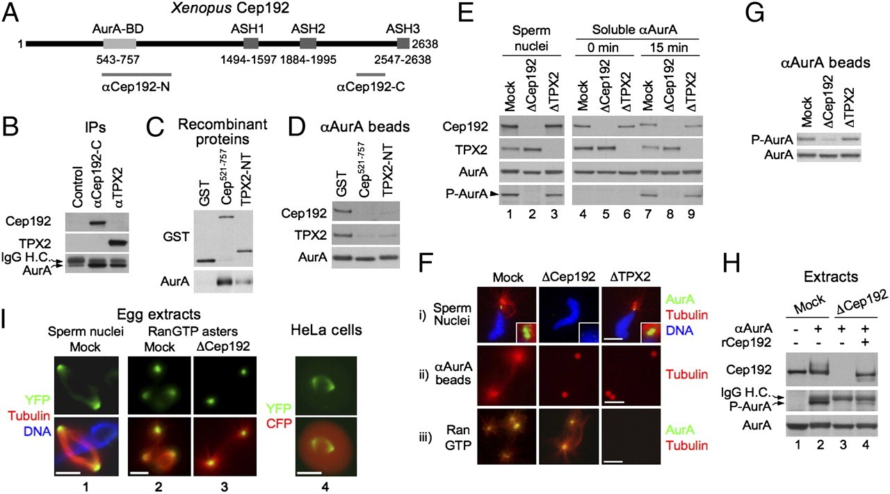
Fig. 2. Cep192 is a cofactor of AurA at centrosomes. (A) Schematic diagram of Xenopus Cep192. The AurA-BD and the three ASH (ASPM, SPD-2, Hydin) domains (40) are shown. The numbers denote aa. The underlying gray lines indicate the polypeptides used for antibody production. (B) W-blot of Cep192 and TPX2IPs from extract. IgG H.C., IgG heavy chain. Note that the nonimmune IgG, even when used in approximately a twofold excess over αCep192-C and αTPX2 (as assessed by the intensity of IgG H.C.), brings down only a small, background amount of AurA. (C) Binding of recombinant Xenopus AurA to glutathione Sepharose-immobilized glutathione S-transferase (GST), GST-Cep521â757, and GST-TPX2-NT. (D) W-blot of αAurA beads retrieved from extracts incubated with 3 μM of the indicated GST polypeptides. (E) W-blot of mock-treated, Cep192-, and TPX2-depleted extracts incubated with 4 à 104/μL sperm nuclei (30 min) or with αAurA (0.3 μM) for the indicated times. (F) MT structures assembled in extracts supplemented with sperm nuclei, αAurA beads, or Ran(Q69L)GTP. (Scale bars: 10 μm.) (G) P-AurA and AurA detected by W-blot of αAurA beads retrieved from extracts in Fii. (H) W-blot showing partial rescue of the AurA activation defect by rCep192 in Cep192-depleted, fivefold diluted, extract. (I) Visualization of AurA oligomers by BiFC in extracts and transfected HeLa cells. BiFC complexes are shown in green; MTs (columns 1â3) and CFP (which denotes transfected cells; column 4, pseudocolor) in red; and DNA (DAPI; row 1) in blue. (Scale bars: 10 μm.)
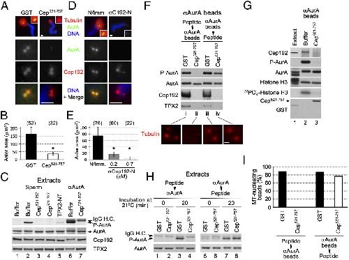
Fig. 3. Cep192-mediated AurA activation is essential for MTOC function. (A and D) Localization of AurA and Cep192 on centrosomal asters assembled in extracts supplemented with 3 μM GST or Cep521â757 (A) or with 0.7 μM nonimmune IgG or αCep192-N (D). (Scale bars: 2.5 μm.) (B and E) Quantitation of MT aster surface area in A and D, respectively. The results obtained in the presence of 0.2 μM αCep192-N are also shown for comparison (E). Error bars, SD. *P < 0.0001 compared with the corresponding control extract, as determined by a two-tailed Student's t test. The number of asters analyzed is shown in parentheses. (C) W-blot of extracts incubated with XB buffer, Cep521â757 (3 μM), or TPX2-NT (6 μM) in the absence or presence of sperm nuclei (4 à 104/μL) or αAurA (0.6 μM). (F) W-blots and images of αAurA beads that were added to extract before (iii and iv) or after (i and ii) its incubation with 3 μM GST or Cep521â757 on ice. (Scale bar: 10 μm.) (G) In vitro kinase assay of endogenous AurA complexes isolated from egg extract incubated with XB buffer or Cep521â757 (3 μM). The reaction products were resolved by SDS/PAGE and transferred onto a nitrocellulose membrane, which was subjected to autoradiography (32PO4-histone H3 row) followed by W-blotting (the remaining rows). (H) W-blots of extracts incubated with soluble αAurA (0.5 μM) added either before (lanes 5â8) or after (lanes 1â4) incubation of extracts with 3 μM GST or Cep521â757 on ice. (I) Quantitation of MT-nucleating αAurA beads in F, Lower.
Barr,
Aurora-A: the maker and breaker of spindle poles.
2007, Pubmed
Barr,
Aurora-A: the maker and breaker of spindle poles.
2007,
Pubmed Basto,
Flies without centrioles.
2006,
Pubmed Bayliss,
Structural basis of Aurora-A activation by TPX2 at the mitotic spindle.
2003,
Pubmed
,
Xenbase Bettencourt-Dias,
Centrosome biogenesis and function: centrosomics brings new understanding.
2007,
Pubmed Bird,
Building a spindle of the correct length in human cells requires the interaction between TPX2 and Aurora A.
2008,
Pubmed Carazo-Salas,
Long-range communication between chromatin and microtubules in Xenopus egg extracts.
2003,
Pubmed
,
Xenbase Carazo-Salas,
Ran-GTP coordinates regulation of microtubule nucleation and dynamics during mitotic-spindle assembly.
2001,
Pubmed
,
Xenbase Carmena,
Making the Auroras glow: regulation of Aurora A and B kinase function by interacting proteins.
2009,
Pubmed Desai,
The use of Xenopus egg extracts to study mitotic spindle assembly and function in vitro.
1999,
Pubmed
,
Xenbase Dutertre,
Phosphorylation of CDC25B by Aurora-A at the centrosome contributes to the G2-M transition.
2004,
Pubmed
,
Xenbase Eyers,
A novel mechanism for activation of the protein kinase Aurora A.
2003,
Pubmed
,
Xenbase Fuh,
Rational design of potent antagonists to the human growth hormone receptor.
1992,
Pubmed Gomez-Ferreria,
Human Cep192 is required for mitotic centrosome and spindle assembly.
2007,
Pubmed Gruss,
Chromosome-induced microtubule assembly mediated by TPX2 is required for spindle formation in HeLa cells.
2002,
Pubmed
,
Xenbase Gruss,
Ran induces spindle assembly by reversing the inhibitory effect of importin alpha on TPX2 activity.
2001,
Pubmed
,
Xenbase Hannak,
Investigating mitotic spindle assembly and function in vitro using Xenopus laevis egg extracts.
2006,
Pubmed
,
Xenbase Heald,
Self-organization of microtubules into bipolar spindles around artificial chromosomes in Xenopus egg extracts.
1996,
Pubmed
,
Xenbase Hirota,
Aurora-A and an interacting activator, the LIM protein Ajuba, are required for mitotic commitment in human cells.
2003,
Pubmed
,
Xenbase Hu,
Visualization of interactions among bZIP and Rel family proteins in living cells using bimolecular fluorescence complementation.
2002,
Pubmed Joukov,
Functional communication between endogenous BRCA1 and its partner, BARD1, during Xenopus laevis development.
2001,
Pubmed
,
Xenbase Joukov,
The BRCA1/BARD1 heterodimer modulates ran-dependent mitotic spindle assembly.
2006,
Pubmed
,
Xenbase Kelly,
Chromosomal enrichment and activation of the aurora B pathway are coupled to spatially regulate spindle assembly.
2007,
Pubmed
,
Xenbase Kemp,
Centrosome maturation and duplication in C. elegans require the coiled-coil protein SPD-2.
2004,
Pubmed
,
Xenbase Khodjakov,
Centrosome-independent mitotic spindle formation in vertebrates.
2000,
Pubmed Kufer,
Human TPX2 is required for targeting Aurora-A kinase to the spindle.
2002,
Pubmed
,
Xenbase Littlepage,
Identification of phosphorylated residues that affect the activity of the mitotic kinase Aurora-A.
2002,
Pubmed
,
Xenbase Molli,
Arpc1b, a centrosomal protein, is both an activator and substrate of Aurora A.
2010,
Pubmed Murray,
Cell cycle extracts.
1991,
Pubmed Nigg,
Centrioles, centrosomes, and cilia in health and disease.
2009,
Pubmed Ozlü,
An essential function of the C. elegans ortholog of TPX2 is to localize activated aurora A kinase to mitotic spindles.
2005,
Pubmed
,
Xenbase Pelletier,
The Caenorhabditis elegans centrosomal protein SPD-2 is required for both pericentriolar material recruitment and centriole duplication.
2004,
Pubmed Pellicena,
Protein-protein interactions in the allosteric regulation of protein kinases.
2006,
Pubmed Ponting,
A novel domain suggests a ciliary function for ASPM, a brain size determining gene.
2006,
Pubmed Portier,
A microtubule-independent role for centrosomes and aurora a in nuclear envelope breakdown.
2007,
Pubmed Sardon,
Dissecting the role of Aurora A during spindle assembly.
2008,
Pubmed
,
Xenbase Tsai,
A Ran signalling pathway mediated by the mitotic kinase Aurora A in spindle assembly.
2003,
Pubmed
,
Xenbase Tsai,
Aurora A kinase-coated beads function as microtubule-organizing centers and enhance RanGTP-induced spindle assembly.
2005,
Pubmed
,
Xenbase Wilde,
Stimulation of microtubule aster formation and spindle assembly by the small GTPase Ran.
1999,
Pubmed
,
Xenbase Zhao,
The GIT-associated kinase PAK targets to the centrosome and regulates Aurora-A.
2005,
Pubmed Zhu,
The mammalian SPD-2 ortholog Cep192 regulates centrosome biogenesis.
2008,
Pubmed