XB-ART-42327
Proc Natl Acad Sci U S A
2010 Nov 16;10746:19991-6. doi: 10.1073/pnas.1010166107.
Show Gene links
Show Anatomy links
Identification of the pre-T-cell receptor alpha chain in nonmammalian vertebrates challenges the structure-function of the molecule.
???displayArticle.abstract???
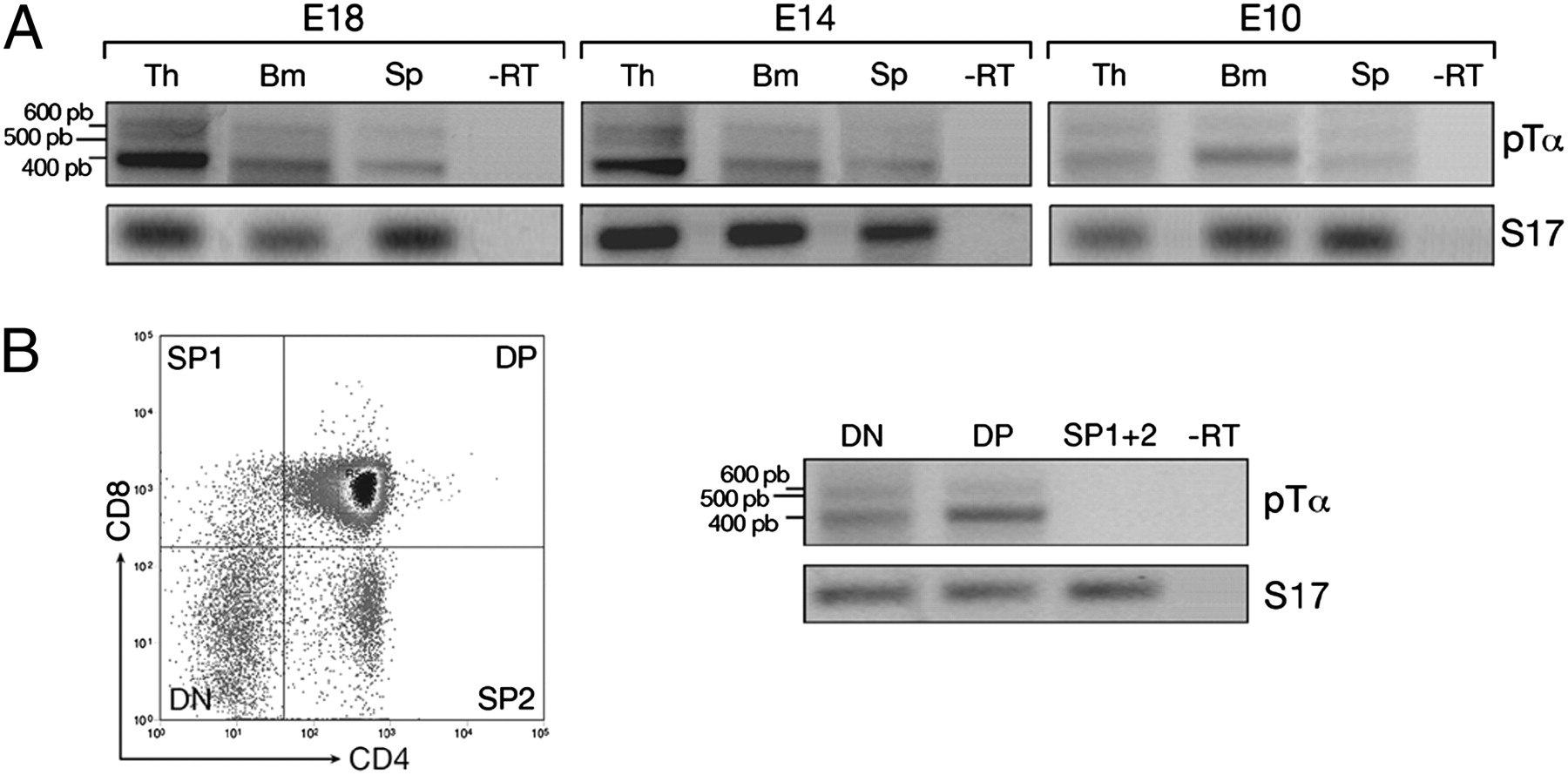
In humans and mice, the early development of αβ T cells is controlled by the pre-T-cell receptor α chain (pTα) that is covalently associated with the T-cell receptor β (TCRβ) chain to form the pre-T-cell receptor (pre-TCR) at the thymocyte surface. Pre-TCR functions in a ligand-independent manner through self-oligomerization mediated by pTα. Using in silico and gene synteny-based approaches, we identified the pTα gene (PTCRA) in four sauropsid (three birds and one reptile) genomes. We also identified 25 mammalian PTCRA sequences now covering all mammalian lineages. Gene synteny around PTCRA is remarkably conserved in mammals but differences upstream of PTCRA in sauropsids suggest chromosomal rearrangements. PTCRA organization is highly similar in sauropsids and mammals. However, comparative analyses of the pTα functional domains indicate that sauropsids, monotremes, marsupials, and lagomorphs display a short pTα cytoplasmic tail and lack most residues shown to be critical for human and murine pre-TCR self-oligomerization. Chicken PTCRA transcripts similar to those in mammals were detected in immature double-negative and double-positive thymocytes. These findings give clues about the evolution of this key molecule in amniotes and suggest that the ancestral function of pTα was exclusively to enable expression of the TCRβ chain at the thymocyte surface and to allow binding of pre-TCR to the CD3 complex. Together, our data provide arguments for revisiting the current model of pTα signaling.
???displayArticle.pubmedLink??? 21045129
???displayArticle.pmcLink??? PMC2993383
???displayArticle.link??? Proc Natl Acad Sci U S A
Species referenced: Xenopus
Genes referenced: acss1 atl2 cd3g cnpy3 eif4a3 entpd6 fbln7 fbxo42 gnmt klc4 klhdc3 mapt mea1 mrpl2 npat prph prph2 rnf112 rpl7l1 slc22a7 tbcc trpc5 ttbk1 ttl ubr2 vsx1 zc3h6
???attribute.lit??? ???displayArticles.show???
References [+] :
Aifantis,
A critical role for the cytoplasmic tail of pTalpha in T lymphocyte development.
2002, Pubmed
