Click here to close
Hello! We notice that you are using Internet Explorer, which is not supported by Xenbase and may cause the site to display incorrectly.
We suggest using a current version of Chrome,
FireFox, or Safari.
???displayArticle.abstract???
Unusual light-reflecting pigment cells, "white pigment cells", specifically appear in the periodic albino mutant (a(p) /a(p)) of Xenopus laevis and localize in the same place where melanophores normally differentiate in the wild-type. The mechanism responsible for the development of unusual pigment cells is unclear. In this study, white pigment cells in the periodic albino were compared with melanophores in the wild-type, using a cell culture system and a tail-regenerating system. Observations of both intact and cultured cells demonstrate that white pigment cells are unique in (1) showing characteristics of melanophore precursors at various stages of development, (2) accumulating reflecting platelets characteristic of iridophores, and (3) exhibiting pigment dispersion in response to α-melanocyte stimulating hormone (α-MSH) in the same way that melanophores do. When a tadpoletail is amputated, a functionally competent new tail is regenerated. White pigment cells appear in the mutant regenerating tail, whereas melanophores differentiate in the wild-type regenerating tail. White pigment cells in the mutant regenerating tail are essentially similar to melanophores in the wild-type regenerating tail with respect to their localization, number, and response to α-MSH. In addition to white pigment cells, iridophores which are never present in the intact tadpoletail appear specifically in the somites near the amputation level in the mutant regenerating tail. Iridophores are distinct from white pigment cells in size, shape, blue light-induced fluorescence, and response to α-MSH. These findings strongly suggest that white pigment cells in the mutant arise from melanophore precursors and accumulate reflecting platelets characteristic of iridophores.
Fig. 1. Pigment cells present in the wild-type tadpoletail (aâc) and the mutant tadpoletail (dâf) at stage 48. a The wild-type tail placed in BSS before α-MSH administration (transmitted light). b The wild-type tail after α-MSH administration (1 μg/ml) (transmitted light). c Ultrastructure of melanophores of the wild-type. d The mutant tail placed in BSS before α-MSH administration (incident light). e The mutant tail after α-MSH administration (1 μg/ml) (incident light). f Ultrastructure of white pigment cells in the mutant. While wild-type melanophores were filled with many mature melanosomes (c), white pigment cells in the mutant contained both irregular reflecting platelets (f, asterisk) and premelanosomes with internal lamellar structures (f, arrows). Note that white pigment cells (d,e) in the mutant responded to α-MSH and dispersed pigment organelles in the same manner as wild-type melanophores (a b)
Fig. 2. Differentiation of pigment cells from wild-type neural crest cells in culture using serum-free medium. a Differentiating melanophores and neural crest cells migrating out from the neural tube explant (nt) after 3 days in culture. b,c Differentiated melanophores and iridophores after 20 days in culture observed under transmitted light (b), or incident light (c). d,e Ultrastructure of differentiated melanophores (d) and iridophores (e) in culture. Wild-type melanophores, which differentiated first in culture, were dendritic and aggregated melanosomes (a,b). Note that melanophores also appeared on the neural tube explant (a). Wild-type iridophores, which differentiated later in culture, looked brown under transmitted light (b, arrowheads) and reflected light under incident illumination (c, arrowheads). Wild-type melanophores contained many melanosomes (d), while wild-type iridophores were filled with many rectangular reflecting platelets (e)
Fig. 3. Dopa and ammoniacal silver nitrate staining in mutant neural crest cell culture. a−c Differentiating melanophores in serum-supplemented medium on day 3 before dopa staining (a), and after dopa (b) and subsequent ammoniacal silver nitrate staining (c). d−f Melanophore precursors in serum-free medium on day 3 before dopa staining (d), and after dopa (e) and subsequent ammoniacal silver nitrate staining (f). Mutant melanophores differentiated in serum-supplemented medium and contained visible melanosomes (a). These melanophores showed strong dopa staining as well as ammoniacal silver nitrate staining (arrowheads). On the other hand, mutant neural crest cells were unmelanized in serum-free medium (d). These unmelanized cells were identified as melanophore precursors at various stages of development, because some cells were stained with both dopa and ammoniacal silver nitrate (arrows), whereas the other cells were stained with ammoniacal silver nitrate, but not with dopa (asterisks). The round bodies within the cells are yolk platelets
Fig. 4. Differentiation of pigment cells from mutant neural crest cells in culture using serum-free medium. a Neural crest cells migrating out from the neural tube explant (nt) after 3 days in culture. b,c Differentiated iridophores after 20 days in culture observed under transmitted light (b), or incident light (c). d−g Ultrastructure of melanophore precursors at various stages of development (d−f) and iridophores (g) in culture. In contrast to wild-type neural crest cells, melanophores did not differentiate from mutant neural crest cells in culture using serum-free medium (a,b). In the present culture condition, melanophore precursors at various stages of development were detected in the mutant (d−f). Mutant melanophore precursors at early to middle stages of development (d) contained stage I premelanosomes (m1) and stage II premelanosomes (m2). In contrast, mutant melanophore precursors at the late stage of development (f) contained stage II premelanosomes and a small number of partially melanized stage III melanosomes (m3). The number of premelanosomes varied among melanophore precursors (d−f). Mutant iridophores differentiated in culture (b,c, arrowheads) in the same manner as wild-type iridophores. However, reflecting platelets of mutant iridophores were irregular in size and shape (g, asterisk)
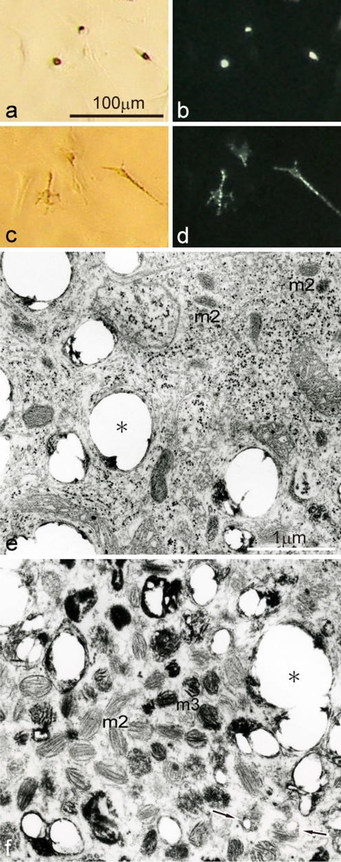
Fig. 5. Physiological and ultrastructural characteristics of white pigment cells which were cultured from mutant tadpole tails at stage 52. a,b Cultured white pigment cells before α-MSH administration observed under transmitted light (a), or incident light (b). c,d The same fields as (a) and (b), respectively, after α-MSH administration (1 μg/ml) observed under transmitted light (c), or incident light (d). e,f Ultrastructural variation of white pigment cells in culture. White pigment cells which had a few dendrites dispersed pigment organelles in response to α-MSH (aâd). Some white pigment cells (e) contained irregular reflecting platelets (asterisk), in addition to stage II premelanosomes (m2), whose organelles were characteristic of melanophore precursors at early to middle stages of development. The other white pigment cells (f) contained irregular reflecting platelets (asterisk), in addition to stage II premelanosomes and a small number of partially melanized stage III melanosomes (m3), whose organelles were characteristic of melanophore precursors at the late stage of development. Arrows indicate premelanosomes in which reflecting platelet formation seems to be occurring
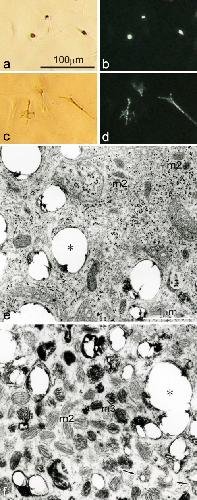
Fig. 6. Expression of pigment cells in the 6-day regenerating tail in the wild-type and the mutant (amputated at stage 50). a,b The wild-type regenerating tail observed under transmitted light (a) or incident light (b). c,d The mutant regenerating tail observed under transmitted light (c) or incident light (d). e Ultrastructure of differentiated iridophores in the mutant regenerating tail. Dashed lines indicate the amputation level. Melanophores appeared in the wild-type regenerating tail (a,b), and their distribution was similar to that in the intact tadpoletail. In contrast, white pigment cells (arrows) appeared in the mutant regenerating tail (c,d), and their distribution was similar to that in the intact tadpoletail. A small number of iridophores (arrowheads), which were never present in the intact tadpoletail, appeared in the somites of the mutant regenerating tail in addition to white pigment cells. Differentiated iridophores in the mutant regenerating tail were filled with reflecting platelets, which were irregular in size and shape (asterisk)
Fig. 7. The number of newly differentiated pigment cells in the regenerating tail of the wild-type and the mutant. After amputation of the posterior half of the tadpoletail (stage 48/49), melanophores or white pigment cells were counted in the regenerating tail of either the wild-type (nâ=â15) or the mutant (nâ=â16), respectively, on days 4, 5, and 6 post-amputation. The number of white pigment cells in the mutant regenerating tail was not statistically different from that of melanophores in the wild-type regenerating tail on days 5 and 6 post amputation (t test, Pâ>â0.05)
Fig. 8. Dopa staining in the 5-day regenerating tail in the mutant (amputated at stage 49). a,b The mutant regenerating tail before dopa staining observed under transmitted light (a), or incident light (b). c The mutant regenerating tail after dopa staining observed under transmitted light. Dashed lines indicate the amputation level. White pigment cells were appearing in the mutant regenerating tail on day 5 post-amputation (b). Dopa staining was observed in white pigment cells (arrowheads) as well as melanophore precursors which were not visible under transmitted light or incident light before dopa reaction (arrows)
Fig. 9. Differentiation of iridophores and white pigment cells in the 19-day mutant regenerating tail (amputated at stage 50). a,b The mutant regenerating tail observed under transmitted light (a) or incident light (b). câe Enlarged view of the mutant regenerating tail of another tadpole observed under transmitted light (c), incident light (d), or blue light (e). Dashed lines indicate the amputation level. White pigment cells (arrows) which were small and aggregated pigment organelles, looked white under incident light and emitted green fluorescence under blue light. In contrast, iridophores (arrowheads) which were large and dispersed pigment organelles, reflected light under incident light, but did not emit green fluorescence under blue light
Bagnara,
Common origin of pigment cells.
1979, Pubmed
Bagnara,
Common origin of pigment cells.
1979,
Pubmed BAGNARA,
Hypophysectomy and the tail darkening reaction in Xenopus.
1957,
Pubmed
,
Xenbase Beck,
Beyond early development: Xenopus as an emerging model for the study of regenerative mechanisms.
2009,
Pubmed
,
Xenbase Elworthy,
Transcriptional regulation of mitfa accounts for the sox10 requirement in zebrafish melanophore development.
2003,
Pubmed Fukamachi,
Medaka double mutants for color interfere and leucophore free: characterization of the xanthophore-somatolactin relationship using the leucophore free gene.
2006,
Pubmed Fukuzawa,
A ventrally localized inhibitor of melanization in Xenopus laevis skin.
1988,
Pubmed
,
Xenbase Fukuzawa,
Unusual leucophore-like cells specifically appear in the lineage of melanophores in the periodic albino mutant of Xenopus laevis.
2004,
Pubmed
,
Xenbase Fukuzawa,
Melanophore differentiation in the periodic albino mutant of Xenopus laevis.
1987,
Pubmed
,
Xenbase Fukuzawa,
Further studies on the melanophores of periodic albino mutant of Xenopus laevis.
1986,
Pubmed
,
Xenbase Fukuzawa,
Control of melanoblast differentiation in amphibia by alpha-melanocyte stimulating hormone, a serum melanization factor, and a melanization inhibiting factor.
1989,
Pubmed
,
Xenbase Goding,
Mitf from neural crest to melanoma: signal transduction and transcription in the melanocyte lineage.
2000,
Pubmed Hirobe,
Histochemical survey of the distribution of the epidermal melanoblasts and melanocytes in the mouse during fetal and postnatal periods.
1984,
Pubmed Hirobe,
Induction of melanogenesis in the epidermal melanoblasts of newborn mouse skin by MSH.
1977,
Pubmed Hoperskaya,
Induction - the main principle of melanogenesis in early development.
1981,
Pubmed
,
Xenbase Hoperskaya,
The development of animals homozygous for a mutation causing periodic albinism (ap) in Xenopus laevis.
1975,
Pubmed
,
Xenbase Hultman,
Differential contribution of direct-developing and stem cell-derived melanocytes to the zebrafish larval pigment pattern.
2010,
Pubmed Hultman,
Defects in ErbB-dependent establishment of adult melanocyte stem cells reveal independent origins for embryonic and regeneration melanocytes.
2009,
Pubmed JONES,
The culture of small aggregates of amphibian embryonic cells in vitro.
1963,
Pubmed Kelsh,
Genetic analysis of melanophore development in zebrafish embryos.
2000,
Pubmed Kelsh,
Stripes and belly-spots -- a review of pigment cell morphogenesis in vertebrates.
2009,
Pubmed Kumasaka,
Regulation of melanoblast and retinal pigment epithelium development by Xenopus laevis Mitf.
2005,
Pubmed
,
Xenbase Lin,
Regeneration of neural crest derivatives in the Xenopus tadpole tail.
2007,
Pubmed
,
Xenbase Lister,
Zebrafish Foxd3 is required for development of a subset of neural crest derivatives.
2006,
Pubmed Lister,
nacre encodes a zebrafish microphthalmia-related protein that regulates neural-crest-derived pigment cell fate.
1999,
Pubmed Lopes,
Leukocyte tyrosine kinase functions in pigment cell development.
2008,
Pubmed MacMillan,
Iridophore development in wild-type and periodic albino Xenopus larvae.
1981,
Pubmed
,
Xenbase MacMillan,
An analysis of pigment cell development in the periodic albino mutant of Xenopus.
1979,
Pubmed
,
Xenbase MacMillan,
Experimental evidence for autonomous action of the periodic albinism (ap) gene within developing retinal pigment cells and melanophores of Xenopus laevis.
1981,
Pubmed
,
Xenbase Minchin,
Sequential actions of Pax3 and Pax7 drive xanthophore development in zebrafish neural crest.
2008,
Pubmed MISHIMA,
New technic for comprehensive demonstration of melanin, premelanin, and tyrosinase sites. Combined dopapremelanin reaction.
1960,
Pubmed Parichy,
An orthologue of the kit-related gene fms is required for development of neural crest-derived xanthophores and a subpopulation of adult melanocytes in the zebrafish, Danio rerio.
2000,
Pubmed Parichy,
Mutational analysis of endothelin receptor b1 (rose) during neural crest and pigment pattern development in the zebrafish Danio rerio.
2000,
Pubmed Parichy,
Zebrafish sparse corresponds to an orthologue of c-kit and is required for the morphogenesis of a subpopulation of melanocytes, but is not essential for hematopoiesis or primordial germ cell development.
1999,
Pubmed Raposo,
Melanosomes--dark organelles enlighten endosomal membrane transport.
2007,
Pubmed Rawls,
Temporal and molecular separation of the kit receptor tyrosine kinase's roles in zebrafish melanocyte migration and survival.
2003,
Pubmed Seldenrijk,
A comparative ultrastructural and physiological study on melanophores of wild-type and periodic albino mutants of Xenopus laevis.
1982,
Pubmed
,
Xenbase Slack,
The Xenopus tadpole: a new model for regeneration research.
2008,
Pubmed
,
Xenbase Slominski,
Melanin pigmentation in mammalian skin and its hormonal regulation.
2004,
Pubmed Tseng,
Tail regeneration in Xenopus laevis as a model for understanding tissue repair.
2008,
Pubmed
,
Xenbase